Prophylaxe 26.04.2016
Patienten unter Tumortherapie
share
Intensive Betreuung der Mundhöhle Teil 3: Antiresorptive Substanzen und Nebenwirkungen
Viele Tumortherapien haben Auswirkungen auf die Mundhöhle und die verschiedenen Gewebe und Funktionen. Die Komplexität der Therapien und ihrer Risiken und Nebenwirkungen wächst immer mehr an. Für eine Zahnarztpraxis, in der oft nur wenige Patienten pro Jahr von einer Tumorerkrankung betroffen sind (und dann noch mit jeweils einer anderen) und wo häufig nur wenig Informationen durch die onkologischen Behandler ankommen, ist dies eine besondere Herausforderung. Die vorliegende Artikelserie soll einen Überblick über besondere Probleme der (im weitesten Sinne) zahnärztlichen Behandlung onkologischer Patienten geben und für das gesamte Team eine Sensibilisierung bezüglich potenzieller Probleme schaffen.
Während im ersten Teil (Prophylaxe Journal 3/15) der Serie die Strahlentherapie im Fokus stand, wies der zweite Teil (Prophylaxe Journal 1/16) auf die Probleme und Besonderheiten bei onkologischer Systemtherapie hin. Im dritten und letzten Teil steht nun die Bedeutung der zahnärztlichen Versorgung im Rahmen der antiresorptiven Therapie mit Bisphosphonaten und Denusomab im Mittelpunkt.
Besonderheiten von Bisphosphonaten und Denusomab
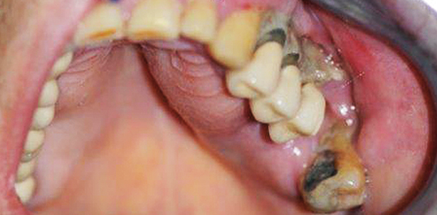
Bisphosphonate (BP) werden seit Jahren erfolgreich bei Knochenmetastasen und anderen Erkrankungen (Osteoporose, Plasmozytom u. a.) eingesetzt. Ihre Wirkung am Knochen beruht darauf, dass Osteoklasten (den Knochen abbauende Zellen) gehemmt werden. Der Knochen wird dadurch zwar härter, weniger anfällig für Brüche (besonders Wirbelbrüche) und eventuelle Schmerzen durch Knochenmetastasen werden geringer, aber der physiologische Knochenumbau wird wesentlich verlangsamt. Auch die Osteoblasten (den Knochen aufbauende Zellen) sind indirekt betroffen und können nur unzureichend Knochen nachbilden. Somit wird der Knochen weniger belastbar als in gesundem Zustand. Bisphosphonate werden chemisch an den Knochen gebunden, sodass die Verweildauer (und Wirkung) jahrelang anhalten kann. Das Wirkungsprofil wird insgesamt als günstig beurteilt. 2003 erschienen die ersten Berichte von Kiefernekrosen (osteonecrosis of the jaw = ONJ) unter BP-Medikation. Die Häufigkeit wird bei Patienten mit einer Tumorerkrankung zwischen drei und 15 Prozent angegeben; wesentlich seltener treten Kiefernekrosen bei Osteoporose auf, weil hier deutlich geringere Mengen eingenommen werden.
Seit einigen Jahren finden sich Kiefernekrosen auch unter der Therapie mit moderneren monoklonalen Antikörpern, insbesondere bei Denusomab. Anders als bei BP beruht die Wirkung dieses Antikörpers auf seiner hemmenden Wirkung bereits auf die Vorstufen der Osteoklasten. Denosumab besitzt eine verhältnismäßig kurze Halbwertszeit von rund vier Wochen. Deshalb macht eine kurzzeitige Unterbrechung einer Denosumab-Gabe („drug holiday“) für einen notwendigen zahnärztlichen Eingriff durchaus Sinn, muss aber im Einzelfall mit dem Onkologen abgesprochen werden.
In der Situation einer Tumorerkrankung werden Bisphosphonate oder Denosumab in der Regel alle vier Wochen appliziert. Dies erfolgt oft über sehr lange Zeiträume, nicht selten über Jahre, die optimale Therapiedauer wird in vielen Situationen noch erforscht. Werden sie bei primärer Osteoporose eingesetzt oder in der Prophylaxe der sekundären Osteoporose bei antihormoneller Therapie einer Tumorerkrankung, gibt man sie ein bis vier Mal im Jahr. Aus dieser unterschiedlichen Dosierung resultieren neben dem hohen Risikoprofil bei onkologischer Indikation entsprechend unterschiedliche (mittlere oder niedrige) Risikoprofile, bei gleicher Art der Nebenwirkungen.
Kofaktoren und individuelles Risikoprofil
Obwohl die Kiefernekrose noch nicht in allen Einzelheiten geklärt ist, sind Faktoren bekannt, die diese begünstigen. Hierzu gehören Keimeintrittspforten in der Mundhöhle wie Infektionen des Zahnhalteapparates (Parodontitis), Schleimhautwunden am Kieferkamm (Prothesendruckstellen, scharfe Knochenkanten) und Kieferwunden nach Operationen (Zahnextraktion ohne plastische Deckung). Daneben begünstigen die onkologische Grunderkrankung und weitere Therapien (Chemo-, Hormon-, Cortison-, Strahlentherapie etc.) das Auftreten einer Kiefernekrose. Aber auch das Bisphosphonat selbst spielt eine Rolle: Hochwirksame, moderne BP (sogenannte Amino-BP) sind häufiger mit ihr vergesellschaftet. Weitere Risikofaktoren sind die intravenöse Anwendung (im Gegensatz zur Tabletteneinnahme), die hohe Dosierung und die Länge der Therapiedauer.
Diagnostik
Der freiliegende Kieferknochen ohne Heilungstendenz stellt das Leitsymptom dar. Aus diesem Grund ist die Untersuchung der Mundhöhle für die primäre Diagnostik meist wichtiger als ein Röntgenbild. Oft sind die betroffenen Kieferareale trotz Nekrose nicht schmerzhaft, häufiger dagegen tritt ein merkbarer Mundgeruch auf. Das Röntgenbild kann für den Zahnarzt, Oral- oder MKG-Chirurgen wichtig werden, um nach einer Zahnentfernung die knöcherne Durchbauung zu kontrollieren (Ausschluss einer persistierenden Alveole) oder um die Ausdehnung ei- ner Nekrose für die OP-Planung zu bestimmen.

Behandlungsempfehlungen
Das Betreuungskonzept umfasst die Prophylaxe vor und die Prävention bzw. Früherkennung während/nach einer BP-Therapie sowie die Behandlung der manifesten Nekrose.
1. Prophylaxe vor Bisphosphonat-Medikation
Vor einer BP-Therapie sollten durch den Zahnarzt Entzündungsprozesse identifiziert und saniert werden. Auch eine Verbesserung der Mundhygiene senkt das Risiko nachhaltig. Der Umfang der Sanierung und die Intensität der Betreuung sind abhängig von dem individuellen Risikoprofil. Deshalb ist ein guter Informationsfluss zwischen BP-Verordnenden und Zahnärzten sehr wichtig. Hilfreich ist ein „Laufzettel“, der im Internet zur Verfügung steht (www.asors.de).
2. Prävention und Früherkennung unter Bisphosphonat-Therapie
Patienten mit einer BP-Medikation sollten sich regelmäßig bei ihrem Hauszahnarzt vorstellen. Bei Beschwerden (beispielsweise Prothesendruckstellen oder Zahnlockerung) muss der Hauszahnarzt zeitnah aufgesucht werden. Wenn möglich, sollten elektive chirurgische Eingriffe vermieden werden, z. B. durch eine konservative Behandlung des Zahnhalteapparates. Notwendige Operationen dürfen aber nicht verzögert oder unterlassen werden. Diese müssen unter Sicherheitsvorkehrungen, die für alle Zahnärzte in einer Leitlinie (siehe Literaturhinweis) niedergelegt sind, erfolgen. Für Zahnentfernungen sind eine perioperative systemische (orale) Antibiotikagabe, eine schonende Operation (keine themischen oder mechanischen Läsionen des Knochens), ein eingehendes Abtragen scharfer Alveolenkanten und eine primäre plastische Deckung dringend zu empfehlen. Gegebenenfalls wird für operative Maßnahmen zu einem Oral- oder MKG-Chirurgen überwiesen.
3. Therapie der BP-assoziierten Osteonekrose
Die Kiefernekrose ist schwierig zu therapieren, der Therapieverlauf zögerlich. Bei kleinen Befunden kann ein Therapieversuch mit begrenzter Abtragung und plastischer Deckung oder offener Nachbehandlung unternommen werden. Führt dies nicht zum Erfolg oder liegen ausgedehnte Befunde vor, ist eine schonende, aber vollständige Entfernung der Nekrose sowie das Abtragen scharfer Knochenkanten erforderlich. Sehr wichtig für den Heilverlauf ist eine sichere mehrschichtige plastische Deckung, oft unter Nutzung von Weichgewebe aus der Nachbarschaft. Nicht selten wird der Eingriff unter Vollnarkose vorgenommen. Dies und die Tatsache, dass oft ein Antibiotikum über die Vene gegeben wird und spezielle Kostformen die mechanische Wundbelastung reduzieren, erfordert nicht selten eine stationäre Behandlung in einer Klinik für Mund-Kiefer-Gesichtschirurgie.
Entscheidungsalgorithmus für die Zahnarztpraxis
In der Artikelserie wurde dargestellt, welche Faktoren im Rahmen einer Tumorbehandlung in der Zahnarztpraxis berücksichtigt werden müssen. Aus den verschiedenen Aspekten onkologischer Therapie ergeben sich individuelle Risikoprofile für die Mundgesundheit, die sich entsprechend im Konzept der zahnärztlichen Betreuung niederschlagen. Damit diese Risikoabschätzung im Alltag leichter gelingen kann, sind die verschiedenen Aspekte abschließend in einem Flowchart dargestellt, das als Entscheidungsbaum für die Planung von Maßnahmen benutzt werden kann.
Zusammenfassung
Onkologische Therapiekonzepte sind so unterschiedlich wie die zugrundeliegenden Krebserkrankungen. In vielen Fällen ist eine kompetente zahnärztliche Mitbetreuung notwendig und kann, wo sie gelingt, den Patienten das Leben sehr erleichtern. Eine gute Kommunikation von Onkologen aller Fachrichtungen und Ärzten der zahnmedizinischen Fachrichtungen ist daher unbedingt wünschenswert.
Informationsquellen
Die Mundhöhle ist ein Bereich, der in der Krebstherapie eine besondere Rolle spielt. Daher gibt es auch viele Arbeitsgruppen, die sich mit diesem Thema beschäftigen. Die Deutsche Gesellschaft für Radioonkologie e.V. (DEGRO) hat eine Arbeitsgemein-schaft Nebenwirkungen & Supportivtherapie (AG NW-Suppo), die in der Betreuung von Kopf-Hals-Patienten einen ihrer Schwerpunkte hat. Die Deutsche Krebsgesellschaft e.V. (DKG) hat eine Arbeitsgemeinschaft für Supportivtherapie (ASORS). Es gibt die Multinationale Gesellschaft für Supportivtherapie bei Krebs (MASCC) und die Internationale Gesellschaft für Mund-Onkologie (ISOO). Seit Kurzem gibt es nun auch eine europäische Arbeitsgruppe (EOCC), die sich mit der praktischen Umsetzung von Leitlinien und dem Thema Schulungen auseinandersetzt. Diese sind alle im Internet zu finden. Die meisten Informationen gibt es auf der Homepage der ASORS unter www.asors.de. Ein Merkblatt in praktischem Kitteltaschenformat kann unter mucositis@nw-suppo.de bestellt werden.
Informationen zur BP-ONJ
Literatur:
http://www.awmf.org/leitlinien/detail/ll/007-091.html
(S3-Leitlinie: Bisphosphonat-assoziierte Kiefernekrosen)