Zahntechnik 08.08.2016
Modernste Keramik und Ästhetik – alles andere als ein Selbstläufer!
share
Die Schere zwischen den Arten der prothetischen Versorgungen wird zunehmend größer und qualitative Unterschiede werden immer augenscheinlicher.
Die moderne Zahnmedizin hat im Bereich der Silikat-, Oxid-, und glasinfiltrierten Keramik einen Quantensprung vollzogen – nur hat diese Art der Versorgung auch ihren Preis. Das muss sie auch, denn nur Kollegen, die aus Überzeugung viel Zeit in Weiterbildungen und Qualifikationen auf dem Gebiet der ästhetischen Zahnmedizin investieren, sind in der Lage, diese aus heutiger Sicht anspruchsvollste Disziplin so umzusetzen, dass der Patient den Zahnersatz nicht als solchen wahrnimmt.
Amalgamfüllungen, aber auch unschöne und nur zweckmäßige Aufbauten aus Glasionomerzement, gehören in modernen ästhetisch orientierten Zahnarztpraxen zum größten Teil der Vergangenheit an. Dennoch wird die Schere zwischen den Arten der prothetischen Versorgungen immer größer und die qualitativen Unterschiede sind deutlicher zu erkennen denn je.
Anforderungen an den Behandler
Ästhetische Zahnmedizin ist ein Schulterschluss aus Kieferorthopädie, Parodontologie, Endodontologie, Implantologie, minimalinvasiver Gewebechirurgie und Prothetik. Patienten, die auf der Suche nach einer optischen Verbesserung ihres Lachens in unsere Praxen kommen, erwarten ein Auge für deformierte dentale Areale, ja für das Erkennen der physischen Attraktivität der jeweiligen Person. Gesunde Zähne mit idealen Zahnreihen erkennt das Gegenüber als attraktiv, sie signalisieren einen gesunden Organismus und genetische Stabilität. Das Auge folgt instinktiv bestimmten Führungslinien, die es auf der Zahnoberfläche abfährt und so blitzschnell zwischen attraktiv und unattraktiv entscheidet.
Dieses stets gleiche Phänomen des „Abscannens“ von Augen, Nase und Mund hat den Vorteil für den ästhetisch tätigen Zahnarzt, dass er bestimmten Grundregeln oder Mustern folgen kann und diese entsprechend der physischen Attraktivität des jeweiligen Patienten variieren kann. Anders als Theoretiker müssen wir die Regeln nicht nur erlernen und können – wir müssen sie, ähnlich wie ein Künstler, am Ende des Tages auch praktisch umsetzen. Pablo Picasso hat das in dem Zitat „Learn the rules like a pro, so you can break them like an artist.“ sehr treffend zusammengefasst.
Wer ist ein „ästhetischer Fall“?
Nicht jeder Patient, der mit einer auffälligen Front in unsere Praxis kommt, ist auch ein Fall für eine ästhetische Rekonstruktion. Die DGÄZ hat die Art der Patientenführung in ihrem Ehrenkodex sehr eindrucksvoll beschrieben. So heißt es in einem der Punkte: „Wir nehmen uns die Zeit, die wir brauchen, um unseren Patienten unabhängig von Restriktionen allein nach ihren Wünschen, Bedürfnissen und unter Berücksichtigung ihrer finanziellen Möglichkeiten eine nur an medizinischen Gesichtspunkten orientierte, erstklassige Zahnmedizin zu bieten.“ Nicht wir entscheiden über die Dinge, welche uns rein optisch stören, sondern allein der Patient. Ein ästhetisches Ziel erschwert in der Regel die Behandlung, denn es stellt eine zusätzliche Anforderung dar, die mit der medizinischen Grundlage konkurrieren kann.
Ästhetische Zahnmedizin bedeutet, dass man dem Patienten die Möglichkeit gibt, sein Zahnbild zu finden und insbesondere die Gesunderhaltung der Zahn- und Gewebestrukturen in den Fokus zu rücken. Natürlich müssen wir dem Patienten darüber hinaus erklären, welche Maßnahmen er zur Erhöhung der Haltbarkeit und Langlebigkeit seiner Zähne treffen sollte. Großflächig gefüllte Frontzähne mit hohem Frakturrisiko und das Fehlen einer Eckzahnführung mit funktionellen Defiziten muss den Patienten ebenso aufgezeigt werden wie insuffiziente Füllungs- und Kronenränder.
Kommt der Patient nun mit „ästhetischen Problemen“ im Frontzahnbereich in unsere Praxis, so müssen wir als Spezialisten objektivieren können, ob es sich faktisch um ein ästhetisches Problem handelt. Liegt dieses Problem aus Sicht des Spezialisten nicht vor, so ist von einer Behandlung abzuraten oder im Sinne einer maximalen Zahnerhaltung auf Behandlungsmethoden auszuweichen, die noninvasiv erfolgen – wie beispielsweise eine kieferorthopädische Behandlung oder Non-Prep Veneers. Bei tatsächlichen Ästhetikeinbußen durch Deformationen sollte das Problem genau analysiert werden. Hierzu müssen die dazu nötigen Unterlagen (Modelle, Fotos, Funktionsstatus, Röntgenbilder etc.) erstellt werden, um zu einer eindeutigen Diagnose zu gelangen. Anschließend werden die möglichen Maßnahmen mit dem Zahntechniker geplant und im Anschluss mit dem Patienten besprochen.
Frontzahnästhetik – aber wie?
Die Versorgung der Front erfordert einen großen zeitlichen Aufwand, denn die Beurteilung, Planung und Ausführung hat einen direkten optischen Effekt. Folgt man den Regeln der dentalen Ästhetik nur ungenügend oder deutet diese nicht im richtigen Sinne, so hat dies nicht nur Auswirkungen auf die physische Attraktivität, sondern kann zu dauerhaften Schäden der biologischen Strukturen führen. Die medizinischen Grundlagen müssen zu jeder Behandlungszeit im Vordergrund stehen. Dazu zählen die Mundhygiene des Patienten, der PA-Status, das Kronen-Wurzel-Verhältnis, der Gingivatyp, der Speichelfluss u. v. m.
Neben den biologischen Faktoren müssen die Materialeigenschaften der einzusetzenden Werkstoffe ebenfalls zu dem Behandlungsfall passen, denn die Keramiken unterscheiden sich deutlich in Bezug auf Transluzenz, Fluoreszenz und Opaleszenz. So müssen bei dunkel eingefärbten Dentinstümpfen oder Stümpfen mit Stiftaufbauten andere Keramiken eingesetzt werden, als dies bei minimalinvasiven Präparationen von einzelnen oberflächlichen Schmelzarealen der Fall ist. In der Frontzahnästhetik machen sich Presskeramikkronen aus Lithiumdisilikat oder Glaskeramik besonders gut, denn die Transluzenz ist bei einer Presskeramik deutlich größer als bei einer Krone mit Zirkonoxidkappe.
Klinisches Beispiel – 360°-Veneers in Kombination mit Teilkronen
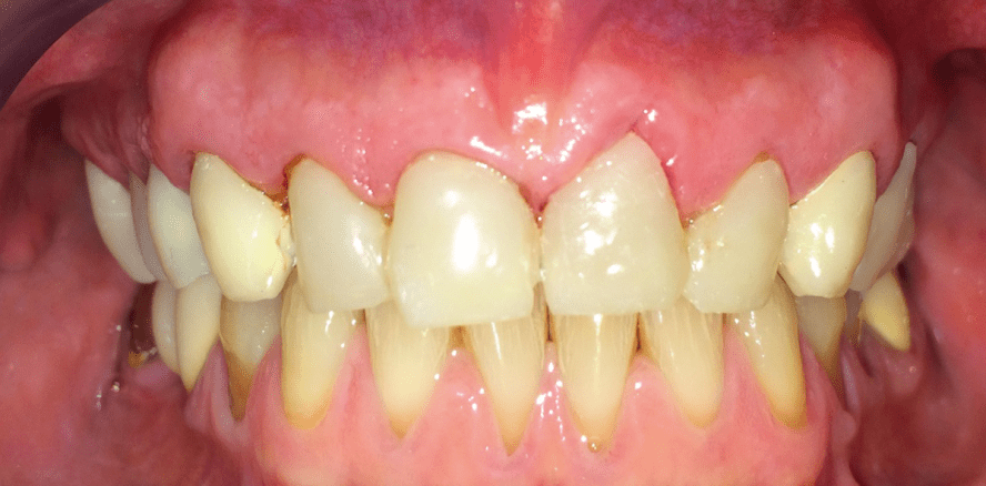
Bei der Patientin lag ein leichtes Zahnstellungsproblem vor, sie störte aber vor allem die Form, die Farbe und die zahlreichen Schmelzrisse an den Zähnen des Oberkiefers. Nach parodontaler Vorbehandlung zeigte sich lediglich im Bereich des Zahnes 21 eine Stillmann-Spalte, die ein ästhetisches Problem sein könnte. Nachdem eine vorgeschlagene kieferorthopädische Behandlung abgelehnt worden war, wurde ein Planungsmodell erstellt und in Zusammenarbeit mit dem Labor soweit besprochen und per Wax-up aufgebaut, dass einer Präparation nichts im Wege stand. Die klinische Funktionsanalyse ergab, dass die Eckzahnführung durch Abrasion von einer Gruppenführung ersetzt worden war, welche auch im neuen Zahnersatz beibehalten werden sollte. Zudem wünschte sich die Patientin eine leicht individuelle Aufstellung der Front, da sie nicht wollte, dass der Zahnersatz durch eine zu deutliche Ausrichtung erkennbar ist (Abb. 1–2a).
Die Invasivität einer Behandlung mittels 360°-Veneers und Teilkronen im gesamten Oberkieferbereich ist bei gesunder Zahnhartsubstanz genau abzuwägen, denn nicht der alleinige Wille des Patienten entscheidet über unser Handeln – wir müssen jede Behandlung reflektiert vornehmen und die Vor- und Nachteile abschätzen. Non-Prep Veneers kamen bei der Patientin aufgrund der Zahnstellung nicht in Frage, da wegen herausstehender Ecken der Frontzähne eine Präparation von bis zu 2 mm notwendig war. Um vor dem Eingriff genau feststellen zu können, ob mit klassischen Veneers (Präparationstiefe von 0,5–1,5 mm) ein gutes Ergebnis erzielt werden kann, sollte ein Präparationsschlüssel aus Silikon erstellt werden, der auf dem Wax-up hergestellt wurde.
Die Farbbestimmung erfolgte vor Präparation digital im Fremdlabor, um der Patientin eine Vorstellung von der definitiven Arbeit zu geben und entsprechend ihrer Vorstellung eine Ästhetik zu erarbeiten, die vor allem natürlich wirken sollte. Der Oberkiefer wurde in einer Sitzung unter Lokalanästhesie präpariert und direkt mit Einzelprovisorien versorgt (Abb. 3–5).
Nach der Präparation wurde erneut eine Farbbestimmung vorgenommen, um die Unterschiede der Stümpfe genau auszugleichen (Abb. 3). Die Veneers und Teilkronen wurden zur Feststellung der Passgenauigkeit mit Fit Checker (GC) einprobiert und anschließend adhäsiv eingesetzt (Abb. 6–8). Nach vollständiger Entfernung der Reste der adhäsiven Befestigung erfolgte eine penible Okklusionskontrolle, um Überbelastungen und funktionellen Problemen vorzubeugen (Abb. 9–12).
Fazit
Die ästhetische Umsetzung von vollkeramischen Restaurationen erfordert neben dem Verständnis der ästhetischen Grundregeln und der Kontrolle der technischen Möglichkeiten vor allem Erfahrung auf dem gesamten Gebiet der Zahnmedizin. Ein Zahnarzt, der sich auf ästhetische Rekonstruktionen spezialisiert, muss das nötige Wissen besitzen und im besten Fall auch das, was er weiß, selbst umsetzen können, damit der Erfolg nicht von verschiedenen behandelnden Händen abhängt. Die Zahnmedizin ist ein Fachgebiet, welches ohne Weiteres eine Daseinsberechtigung für einen ästhetischen Generalisten ermöglicht, denn nach den zahlreichen Spezialisierungen der letzten Jahre wird immer deutlicher, dass ein Zahnarzt sehr wohl den Zahn, den Zahnhalteapparat und den Mundraum beurteilen können muss, um den Patienten auch adäquat zu behandeln. Neben der Qualifikation des Zahnarztes steht der Patient, der mit individuellen Wünschen in die Praxis kommt. Solche Patienten können überdurchschnittlich kritisch reagieren und durch überhöhte und unrealistische Erwartungen mit keinem Behandlungsergebnis zu befriedigen sein. Hierbei spielt das frühzeitige Patientenmanagement eine zentrale Rolle, denn am Ende des Tages liegt jede ästhetische Arbeit alleine im Auge des Betrachters.
Pola For Aligners
TRIOS 6
CYTECpro + CONTECpro
BeautiLink SA
mμILLUSION Color Malfarben und -pasten
breCAM.multiCOM+
PALA Mill&Cast
Luxatemp MaxProtect
breCAM.base
Leaf Expander® Hybrid