Zahntechnik 04.04.2013
Premium-Zirkonoxid als Allrounder im Labor
share
Was mit multiindikativen Werkstoffen heute machbar ist
In der modernen Zahntechnik wird sowohl aus Gründen der Biokompatibilität als auch aus betrieblichen Überlegungen heraus zunehmend versucht, bei der Herstellung von Zahnersatz auf eine möglichst geringe Anzahl unterschiedlicher Materialien zurückzugreifen. Besonders gefragt sind in diesem Zusammenhang multiindikative Werkstoffe wie beispielsweise Premium-Zirkonoxid. Um einen Eindruck von der Vielseitigkeit dieser Hochleistungskeramik zu vermitteln, schildert der folgende Bericht gleich drei verschiedene Patientenfälle, die mithilfe des außergewöhnlichen Werkstoffs erfolgreich gelöst werden konnten.
Aus zahntechnischer Sicht ist die Reduktion der Materialvielfalt im Mund des Patienten ein interessanter und zielführender Ansatz. Nicht ohne Grund waren hochgoldhaltige Legierungen lange Zeit das Maß aller Dinge bei den Gerüstwerkstoffen – ihre physikalischen Eigenschaften ließen sie zu der Allroundlösung für zahlreiche Indikationen werden. Das brachte sowohl Vorteile in Sachen Verträglichkeit als auch bei der Verarbeitung mit sich: Die Minimierung materialbedingter Wechselwirkungen sowie ein reibungsloser Workflow sind dabei als entscheidende Aspekte zu nennen. Wegen des stark gestiegenen Goldpreises lassen sich hochgoldhaltige Arbeiten allerdings immer seltener umsetzen. Mit Zirkonoxid steht dem zahntechnischen Labor heute jedoch ein Werkstoff zur Verfügung, der ebenfalls über ein sehr großes Indikationsspektrum verfügt und der sich darüber hinaus bestens in das Zeitalter der Digitalisierung einfügt. Die hochtransluzente Variante dieses Materials, das sogenannte Premium-Zirkonoxid, sowie die speziell darauf abgestimmten Verblendkeramiken eröffnen dem Zahntechniker ganz neue Gestaltungsmöglichkeiten. Was genau heute machbar ist, zeigen die folgenden drei Fallbeispiele.
Falldarstellung
1. Fall – Seitenzahnversorgung im Unterkiefer
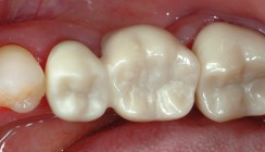
In unserem ersten Fall ging es um die Seitenzahnversorgung eines nur zur Hälfte bezahnten Unterkiefers. Hier waren lediglich noch die Front- und Eckzähne erhalten, die Positionen 4 bis 6 waren auf beiden Seiten zahnlos. Auf ausdrücklichen Wunsch der Patientin hin entschieden wir uns für eine festsitzende Versorgung, obwohl eine teleskopierende Arbeit ebenfalls denkbar gewesen wäre. Auf jeder Seite sollten je zwei Implan-tate gesetzt werden. Die 3-D-Planung ergab, dass aufgrund des dünnen Kieferknochens der Patientin sowie der Lage des Kieferknochennervs im Bereich der 6er lediglich sehr kurze Implantate infrage kommen würden. Aus diesem Grund griff der Behandler hier auf Implantate mit einer Länge von 6mm und einem Durchmesser von 4,1mm zurück (Standard Implantat SLA RN, Straumann, Freiburg), wäh-rend an den Positionen 34 und 44 12-mm-Implantate mit einem Durchmesser von 3,3mm gesetzt werden konnten (Abb. 1). Auf Grundlage der Unterkieferabformung mit den eingeschraubten Transferpfosten (Abb. 2 und 3) fertigten wir im Labor das Modell an (Abb. 4). Im nächsten Schritt erfolgte das Wax-up für die Abutmentkonstruktion (Abb. 5 und 6). Auf den Wachsunterbau wurden Konfektionszähne aufgestellt, so- dass diese eine Gesamtlänge von 2cm erreichten. Auf diese Weise konnten wir bereits in diesem Stadium ab-schätzen, mit welchen Größenverhältnissen wir es später zu tun bekommen würden. Schließlich galt es, zu große Hebelkräfte zu vermeiden – insbesondere bei den kleinen Implantaten an den 6er-Positionen. Die Planung der individuellen Abutments fand am Computer statt (Cercon art, DeguDent, Hanau), wobei vor allem an den Positionen 34 und 44 das hohe Gingivaniveau zu berücksichtigen war. Die mit einem CAM-Fräsgerät (Cercon brain expert, DeguDent, Hanau) laborintern gefertigten, voreingefärbten Zirkonoxid-Custom-Abutments (Cercon ht medium, DeguDent, Hanau) (Abb. 7) wurden im Anschluss nochmals farblich angepasst und im Sinterofen fertiggestellt (Abb. 8). Danach konnten sie mit der Klebebasis zusammengesetzt (Abb. 9 und 10) und zur Überprüfung auf dem Modell angebracht werden (Abb. 11). Für die spätere Übertragung auf die Mundsituation wurden die Abutments zusätzlich mit Positionierschlüsseln verblockt (Abb. 12 und 13). Der Scan des mit den Abutments bestückten Modells diente daraufhin als Grundlage für die computergestützte Planung der Brücken (3Shape by DeguDent, DeguDent, Hanau). Die Brückengerüste wurden mithilfe eines CAM-Fräsgeräts (Cercon brain expert, DeguDent, Hanau) aus einem Zirkonoxid-Rohling (Cercon ht, DeguDent, Hanau) herausgearbeitet. Dabei reduzierten wir jeweils das Brückenglied an Position 4, um eine spätere Vollverblendung zu ermöglichen (Abb. 14). Unter Berücksichtigung der höheren Kaukräfte im Seitenzahnbereich designten wir die 5er und 6er hingegen vollanatomisch, für sie war eine Charakterisierung mittels Malfarben vorgesehen. Für die Individualisierung der 4er setzten wir eine speziell auf das Gerüstmaterial abgestimmte Verblendkeramik (Cercon ceram Kiss, DeguDent, Hanau) ein. Gerade im Zahnhalsbereich mussten wir aufgrund der vorhandenen Mundsituation mit einer hohen Lachlinie und nach zervikal sehr chromatischen Nachbarzähnen eine besonders intensive Färbung vornehmen (Abb. 15 und 16). Mit dieser Anpassung an die Restbezahnung kamen wir zu einem ästhetisch ansprechenden Ergebnis (Abb. 17).
2. Fall – Frontzahnrestauration bei schwieriger Ausgangslage
Bei unserem zweiten Fall galt es, zwei Frontzähne im Oberkiefer zu ersetzen. Zu diesem Zweck wurden an Position 21 und 22 Implantate (Bone Level, Straumann, Freiburg im Breisgau) inseriert (Abb. 18). Insgesamt hatten wir es dabei mit einer außergewöhnlichen und schwierigen Bisssituation zu tun: Die oberen 3er waren nicht angelegt, und aufgrund des gegebenen Knochenangebots mussten die Implantate sehr nahe beieinander und darüber hinaus im schrägen Winkel zur Einschubrichtung in den Kiefer eingebracht werden. Für eine provisorische Versorgung sowie für die Optimierung der gingivalen Verhältnisse wurden die Implantate zunächst mit Kunststoffabutments und -kronen versehen. Auf Basis der Abformung erstellten wir im Labor das Modell mit Zahnfleischmaske, auf dem im nächsten Schritt das Wax-up der beiden Kronen erfolgte (Abb. 19). Für die Planung der Abutments griffen wir dann erneut auf eine CAD-Software (Cercon art, DeguDent, Hanau) zurück. Dabei stellte sich heraus, dass die Titanklebebasen aufgrund der gegebe-nen Platzverhältnisse labial nur minimal von den Abutments bedeckt sein würden – und das bei geringer Wandstärke (Abb. 20). Aus diesem Grund entschieden wir uns hier für ein klassisches, eingefärbtes Zirkonoxid (Cercon base medium, DeguDent, Hanau),
denn eine zu hohe Lichtdurchlässigkeit hätte möglicherweise zu einem Durchscheinen der Klebebasen führen können. Nachdem die Abutments gefräst (Cercon brain expert, DeguDent, Hanau), mit den Klebebasen zusammengesetzt und zur Überprüfung auf dem Modell angebracht worden waren (Abb. 21), folgte die Fertigung der Kronen. Aus transluzentem Zirkonoxid (Cercon ht, DeguDent, Hanau) stellten wir mithilfe eines CAM-Fräsgeräts (Cercon brain expert, DeguDent, Hanau) die dazu nötigen Gerüste her (Abb. 22), die auf Wunsch des Behandlers verblockt wurden (Abb. 23). Die abschließende ästhetische Gestaltung der Versorgung stellte eine besondere Herausforderung dar, denn die Nachbarzähne zeichneten sich durch eine sehr hohe, fast schon glasig wirkende Transluzenz aus (Abb. 24). Auf Basis des besonders lichtdurchlässigen Gerüstwerkstoffs konnten wir mithilfe einer extra auf Zirkonoxid zugeschnittenen Verblendkeramik (Cercon ceram Kiss, DeguDent, Hanau) trotz der schwierigen Ausgangslage ein überzeugendes Ergebnis erzielen – sowohl hinsichtlich der Parameter Farbe und Transluzenz als auch bezogen auf das Breiten- bzw. Längenverhältnis (Abb. 25).
3. Fall – Frontzahnkronen auf Implantaten und natürlichem Zahn
Unser dritter Fall zeigt eine Frontzahnversorgung im Oberkiefer einer Patientin mit ausgeprägtem Deckbiss. Insgesamt sollten hier drei Implantate unterschiedlichen Durchmessers (Camlog, Wimsheim) an den Positionen 11, 12 und 21 sowie ein natürlicher Pfeiler an Position 22 prothetisch versorgt werden (Abb. 26). Nach der Einheilphase (Abb. 27) stellten wir auf Grundlage der Abformung das Meistermodell mit Zahnfleischmaske her. Dabei ließ sich deutlich erkennen, wie gut sich die Gingiva um die Implantate herum angelegt hatte (Abb. 28). Bei der auf das Wax-up folgenden Abutmentplanung am Computer galt es insbesondere, den Deckbiss der Patientin zu berücksichtigen. Konkret bedeutete dies, dass wir die Abutments palatinal stark abschrägen mussten, um genug Platz für die spätere Verblendung zu schaffen. Wie schon im vorangegangenen Fall konnten die Titanklebebasen auch hier stellenweise nur bis zu einem Minimum von den Abutments bedeckt werden. Insbesondere an Position 11 lässt sich das deutlich erkennen (Abb. 29). Deshalb entschieden wir uns erneut für ein klassisches, voreingefärbtes Zirkonoxid (Cercon base medium, DeguDent, Hanau). Nach dem Fräsen der Abutments (Ceron brain expert, DeguDent, Hanau) wurden diese wie gewohnt mit den Titanklebebasen zusammengefügt (Abb. 30) und zur Kontrolle auf dem Modell angebracht. Auf Grundlage der Modellsituation nahmen wir dann die Planung der Kronen am PC vor (3Shape by DeguDent, DeguDent, Hanau). Diese wurden mittels CAM-Frästechnik (Cercon brain expert, DeguDent, Hanau) aus hochtransluzentem Zirkonoxid (Cercon ht, DeguDent, Hanau) in unserem Labor
gefertigt. Nach dem Sintern wurden die Gerüste auf dem Modell aufgebracht und schließlich mit einer auf Zirkonoxid abgestimmten Verblendkeramik (Cercon ceram Kiss, DeguDent, Hanau) individualisiert. So kamen wir zu einem ästhetisch und morphologisch hochwertigen Ergebnis (Abb. 31), mit dem die Patientin heute, zwei Jahre nach der Eingliederung, noch immer sehr zufrieden ist.
Diskussion
Die beschriebenen Fälle haben gezeigt, wie sich prothetische Versorgungen mithilfe von Premium-Zirkonoxid (Cercon ht, DeguDent, Hanau) realisieren lassen. Ob im Front- oder im Seitenzahnbereich, ob implantat- oder zahngetragen: Mit diesem Werkstoff verfügen wir über ein Material, das eine Vielzahl von Indikationen abdeckt. So haben wir nicht nur die
Möglichkeit, Kronen und Brücken aus dem multiindikativen Werkstoff herzustellen. Bei implantatgetragenen Arbeiten können wir sogar die dazugehörigen Abutments daraus fertigen. Besteht das Risiko von durchscheinendem Metall, lässt sich alternativ klassisches Zirkonoxid einsetzen. Es deckt Titanklebebasen und -implantate dank seiner Opazität sicher ab. Das Gerüst für die Krone bzw. für die Suprastruktur kann in diesem Falle wiederum aus dem Premium-Material angefertigt werden. Damit ist zugleich ein erster wesentlicher Vorteil einer Versorgung mit Premium-Zirkonoxid genannt. Denn durch das große Indikationsspektrum können selbst umfangreiche Restaurationen mit dem gleichen Werkstoff umgesetzt werden. Nicht nur für den Patienten, der sich in der Regel möglichst wenige unterschiedliche Materialien in seinem Mund wünscht, ist das attraktiv. Auch aus medizinischer und besonders aus zahntechnischer Sicht lassen sich Vorzüge feststellen. So schätzen Zahnärzte unter anderem die Möglichkeiten zur substanzschonenden Präparation im Seitenzahnbereich sowie das durch Studien belegte antagonistenschonende Verhalten vollanatomischer Premium-Zirkonoxid-Restaurationen. Für das Labor bietet das für CAD/CAM-Verfahren sehr gut geeignete Zirkonoxid vor allem hinsichtlich des Workflows spürbare Vorteile. Ob dabei laborintern gefräst oder ein externer Dienstleister hinzugezogen wird – Planung und präzise Fertigung gehen Hand in Hand und geben dem Labor den nötigen Freiraum, um mit überzeugenden Individualisierungen oder Charakterisierungen zu punkten. Neben den genannten Aspekten spie-len bei der Entscheidung für einen bestimmten Werkstoff aber häufig auch wirtschaftliche Fragen eine Rolle. Vergleicht man Zirkonoxid auf diesem Gebiet mit dem klassischen Allrounder der Zahntechnik, den hochgoldhaltigen Legierungen, kommt ein weiterer Vorteil der Keramik zum Vorschein. Obwohl es sich bei Premium-Zirkonoxid ebenfalls um einen Hochleistungswerkstoff handelt, ist es deutlich
günstiger als Edelmetall. Für eine Versorgung, wie wir sie beispielsweise in unserem ersten Fallbeispiel realisiert haben, müsste man circa 70Gramm Gold einsetzen – allein der Materialpreis für diese Menge betrüge im Moment rund 4.000 EUR.
Fazit
Zusammenfassend lässt sich festhalten, dass Premium-Zirkonoxid mit seinen multiindikativen Einsatzmöglichkeiten einen für Zahntechniker, Zahnärzte und Patienten attraktiven Werkstoff darstellt. Biokompatible Gesamtlösungen, hochästhetische Frontzahnrestaurationen, substanzschonend vollanatomische Versorgungen im Seitenzahnbereich sowie individuelle Abutments für implantatgetragene Arbeiten: Mit Zirkonoxid haben wir die Antwort auf eine Vielzahl von Fragestellungen in der Prothetik. Durch die herausragende Transluzenz der Premium-Variante dieses Materials haben sich die Voraussetzungen für das Erzielen einer besonders hochwertigen Ästhetik nochmals verbessert – ein weiteres Argument für diesen außergewöhnlichen Werkstoff.
Pola For Aligners
TRIOS 6
CYTECpro + CONTECpro
BeautiLink SA
mμILLUSION Color Malfarben und -pasten
breCAM.multiCOM+
PALA Mill&Cast
Luxatemp MaxProtect
breCAM.base
Leaf Expander® Hybrid