Zahntechnik 10.01.2013
„Vollzirkon“ – eine prospektive Versorgung?
ZrO2-Monolithen für verblendfreie Kronen und Brücken
Computergestützte Fertigungsverfahren haben die Verarbeitung von polykristallinen Oxidkeramiken möglich gemacht. In den 70er-Jahren des vorigen Jahrhunderts entwickelt,2, 3, 10 erwies sich besonders das mit Yttrium stabilisierte Zirkoniumdioxid (ZrO2) als geeigneter Gerüstwerkstoff für Kronen und Brücken. Die weiß-opake Keramikstruktur macht trotz der Option, die Dentinfarbe und damit die Farbtiefe der Zahnhartsubstanz durch Kolorieren des Gerüsts zu imitieren, eine aufbrennkeramische Verblendung erforderlich. Im Vergleich zur Metallkeramik (VMK) zeichnet sich ZrO2 dadurch aus, dass die weiß-opake Eigenfarbe prinzipiell dünnere, aufbrennkeramische Verblendungen ermöglicht, da im Gegensatz zur VMK kein Opaker benötigt wird, um das Metallgerüst zu maskieren. Zusammen mit der hohen Biegebruchfestigkeit des ZrO2-Gerüsts sind dünne Kronenwandstärken und somit substanzschonende Präparationen möglich. Für die Haftung der Verblendung auf ZrO2 ist keine Haftoxidschicht notwendig, deren potenziell toxisch wirkenden Ionen zu gingivalen Entzündungen führen können. Keramiken sind chemisch inert, im Mundmilieu unlöslich, enthalten keine Allergene und sind somit biologisch sehr verträglich.5, 7, 8 ZrO2 ermöglicht zusammen mit einer aufgebrannten Schulter aus Feldspatkeramik aufgrund der optischen Eigenschaften und der Farbadaptation isogingivale oder supragingivale Kronenränder, ohne dass der Randverlauf vom unbewaffneten Auge erkannt wird. Subgingivale Kronenränder bieten auch bei einer Gingivarezession kein ästhetisches Problem wie vergleichsweise die „Trauerränder“ bei freiliegenden Kronenrändern von Metallkeramikkronen.
Mit dieser Qualifikation haben sich ZrO2-getragene Rekonstruktionen bei geeigneten Indikationen zu bewährten Therapielösungen entwickelt. Universitär geführte, klinische Langzeitstudien mit Kronen und Brücken überblicken inzwischen Zeiträume bis zu zehn Jahren. Die Überlebenswahrscheinlichkeit liegt im Korridor von 90 bis 100 Prozent und damit auf dem Niveau, das auch metallgetragenen Re-konstruktionen zugeschrieben wird.23 Dadurch hat sich ZrO2-Keramik zu einem akzeptierten Gerüstwerkstoff für festsitzenden Zahnersatz in der niedergelassenen Praxis entwickelt.22 Es fällt in einigen Studien aber auf, dass die manuell geschichteten Verblendungen auf ZrO2-Gerüsten zu Abplatzungen (Chipping) neigen, zumindest eingetreten in der Frühphase des klinischen Einsatzes von ZrO2.16, 17 Grund für die Verblendfrakturen waren anfänglich sicherlich die zwischen Gerüst- und Verblendwerkstoff unzureichend abgestimmten Wäremeausdehnungskoeffizienten (WAK). Ferner hatten sehr dünne Wandstärken dazu geführt, dass die Verblendschichten 2mm und mehr mit wechselnden, zugspannungauslösenden Schichtstärken aufgetragen wurden.11 Zwischenzeitlich wurde erkannt, dass eine höckerunterstützende Gerüstgestaltung, der Verzicht auf mesiale und distale Okklusionskontakte,18 Verblendstärken bis maximal 1,5mm und eine Verlängerung der Abkühlungsphase nach jedem Brand zur Vermeidung von Strukturspannungen das Chipping-Risiko wesentlich reduzieren. Wichtig erscheint auch in diesem Zusammenhang, dass das okklusale Funktionskonzept den Bedingungen der Keramik angepasst und eine suffiziente Front-Eckzahn-Führung etabliert wird, um Schleifkontakte bei exzentrischen Unterkieferbewegungen zu vermeiden. Jüngere Studien zeigen, dass unter Berücksichtigung dieser Rahmenbedingungen die Verblendfrakturrate ZrO2-basierter Kronen und Brücken deutlich gesunken ist und ein Niveau erreicht hat, das auch den Zwischenfällen von VMK-Versorgungen entspricht.13 Lediglich implantatgetragene Verblendkronen auf ZrO2-Gerüsten haben ein höheres Chipping-Risiko.19 Die fehlende Eigenbeweglichkeit der Implantate nach ossärer Einheilung sowie fehlende Propriorezeptoren verursachen eine Verblendfrakturrate, die signifikant über jener von Kronen auf natürlichen Zähnen liegt.4,9
Ist verblendfrei die Lösung?
Aus den USA kommend, hat sich in Europa der Trend zu monolithischen, vollanatomisch geformten ZrO2-Kronen etabliert, die keine Verblendung tragen. Dafür müssen jedoch einige Parameter werkstofflicher und klinischer Art verändert werden, um ZrO2 für monolithische Kronen zu qualifizieren. Dies betrifft die Eigenfarbe und Opazität, die Oberflächenbeschaffenheit der Restauration sowie die Kontaktpunktdurchdringung zum Antagonisten. Um die Opazität zugunsten einer Semi-Transparenz zu vermindern, wurde der Anteil von Aluminiumoxid (Al2O3) im ZrO2 reduziert. Messungen an 0,6mm dicken Proben haben gezeigt, dass die Lichttransmission gegenüber dem konventionellen ZrO2 mit der Al2O2-Absenkung verbessert werden konnte.15 Die weiße Eigenfarbe des Werkstoffs kann dadurch an die Zahnfarbe angenähert werden, indem industriell bereits eingefärbte Rohlinge in Anlehnung an bekannte Farbskalen (VITA Classical, 3D Master) Verwendung finden. Alternativ können die Gerüste im Grünzustand nach dem Fräsen mit Färbelösungen im Tauchverfahren eingefärbt und dann gesintert werden. Bisher limitiert das farbliche Ergebnis den Einsatz der monolithischen ZrO2-Krone auf den Seitenzahnbereich. Durch die Sinterung wird zwar eine hohe Biegebruchfestigkeit sowie eine harte Oberfläche erreicht, aber die beim Fräsen entstandenen Werkzeugspuren bleiben jedoch sichtbar. Der Abtrag dieser Rauigkeit erfordert eine professionelle Politur, um eine glatte, hochglänzende Oberfläche zu erzielen. Es stellt sich jedoch die Frage, wie der Antagonist auf die hochfeste ZrO2-Kronenoberfläche reagiert. Hierfür liegen bisher universitäre In-vitro-Studien aus Kausimulationen vor. In den Tests wurden monolithische ZrO2-Kronen gegen Schmelz, Lithium-Disilikat und Feldspat-Verblendungen (VMK) geprüft. Die Resultate zeigten, dass nicht die Härte des Werkstoffs, sondern die Oberflächenrauigkeit in Verbindung mit der Härte einen schädigenden Einfluss auf seinen tribologischen Partner hat.12 Dies erfordert, dass die Oberfläche der „Vollzirkon-Krone“ professionell poliert werden muss, um die verbliebene Rauigkeit des Schleifprozesses zu entfernen und eine hochglänzende Oberfläche zu erzielen.
Die Oberfläche entscheidet
Eine Kausimulation an der Universität Zürich zeigte, dass Zahnschmelz und poliertes ZrO2 nach 1,2 Millionen Kauzyklen mit Temperaturwechseln ein ähnliches Abrasionsverhalten zeigen. Stärkere Abrasionen zeigten Feldspat-Verblendungen und polierte edelmetallfreie Legierungen.20, 21 Neueste Ergebnisse aus In-vitro-Testungen – auf dem AADR-Kongress 2012 vorgetragen – ergaben, dass unter der Voraussetzung einer professionellen Politur „vollanatomisch geformte, verblendfreie ZrO2-Kronen und -Brücken für Zahnersatz geeignet sind“. 6, 14, 15 Die Herstellung glatter, hochglänzender ZrO2-Oberflächen ist laborseitig sicher zu gewährleisten. Sollte sich jedoch bei der definitiven Eingliederung zeigen, dass die Okklusalfläche eingeschliffen werden muss, kann dies eventuell zu einem Problem führen. Selbst feinkörnige Diamantschleifer und diamantfeinstkorngefüllte Polierkörper hinterlassen eine zu hohe Rauigkeit. Dadurch steigt die Abrasivität der ZrO2-Krone erheblich an und kann Schäden am Antagonisten verursachen. Deshalb ist nach okklusalen Schleifkorrekturen nochmals eine sorgfältige, mehrphasige Politur notwendig – laborseitig oder intraoral. Wenn nun das monolithische ZrO2 verschleißarm ist und nicht abradiert, stellt sich die Frage nach dem Verhalten der Nachbarzähne, die aus natürlicher Zahnhartsubstanz oder weniger abrasionresistenten Werkstoffen bestehen und der natürlichen Abrasion unterliegen. Werden langfristig Höhendifferenzen und Störkontakte entstehen? Es gibt Hoffnungen, dass sich ZrO2-Kronen okklusal nicht anders verhalten als VMK-Kronen. Klinische Studien zum Langzeitverhalten monolithischer ZrO2-Kronen und -Brücken liegen allerdings noch nicht vor. Deshalb sollten vollanatomische ZrO2-Restaurationen 1- bis 2-mal jährlich nachkontrolliert werden.
Ist die Vollzirkon-Krone für Knirscher geeignet?
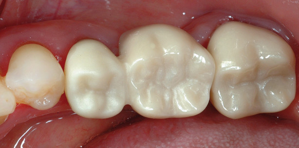
Diese Frage ist noch nicht geklärt. Die hohe Biegebruchfestigkeit des Werkstoffs spricht für die Anwendung bei Bruxismus, obwohl bei craniomandibulären Dysfunktionen punktuell extreme Kräfte auftreten können, ohne dass der Patient sich dessen bewusst ist. Aufgrund der Materialeigenschaften der ZrO2-Keramik findet eine Anpassung von Okklusionstörungen im Sinne von Eigenabrasion nicht statt, sodass von nicht exakt okklusal adjustierten Vollzirkon-Restaurationen Parafunktionen ausgelöst werden können. Vielfach wird in der Praxis aus Sicherheitsgründen dem Patienten gleich eine Knirscherschiene als präventive Maßnahme für die Nacht verordnet. Abschließend ist festzuhalten, dass monolithische ZrO2-Kronen und -Brücken sich aus ästhetischen Gründen bisher für den weniger einsehbaren Molarenbereich eignen als Ersatz für Vollgusskronen und -Brücken (Abb. 1–4). Die okklusale Adjustierung muss sehr sorgfältig vorgenommen werden, damit keine Suprakontakte als Auslöser für Parafunktionen wirksam werden.
Die Literaturliste finden Sie hier.
Autor: Manfred Kern
Pola For Aligners
TRIOS 6
CYTECpro + CONTECpro
BeautiLink SA
mμILLUSION Color Malfarben und -pasten
breCAM.multiCOM+
PALA Mill&Cast
Luxatemp MaxProtect
breCAM.base
Leaf Expander® Hybrid