Zur Übersicht
Profil
authorImage

Dr. Alexandra Bieck

Oralchirurgische Überweisungspraxis München
Schwerpunkt navigierte Implantologie
Steinsdorfstraße 14
80538 München
Deutschland
Vita anzeigen

Kurzvita

  • Examen 2007 Philipps Universität Marburg/ Lahn
  • 2008-2009 Assistenzzahnärztin,  Curriculum Umweltzahnmedizin
  • 2010 Promotion
  • Seit 2010 oralchirurgische Weiterbildung Dr. Schartmann, Garmisch-Partenkirchen; Praxisklinik für Mund-, Kiefer- und Gesichtschirurgie, Landshut; Praxis für Oralchirurgie Dr. Annette Felderhoff-Fischer, München

Artikel auf ZWP online

articleImage
Implantologie 24.10.2013

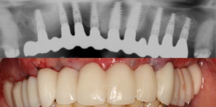
Der ältere Mensch – die navigierte Chirurgie

Durch die Zunahme der Lebenserwartung unterliegt die Altersverteilung der Bevölkerungsstruktur einem deutlichen demografischen Wandel. Für die zahnärztliche Behandlung bedeutet dies einen Anstieg des älteren Patientenklientels, auch im Bereich der Implantologie.

Artikel in Publikationen

Erwähnungen in Publikationen

ePaper