Implantologie 24.10.2013

Der ältere Mensch – die navigierte Chirurgie



Der ältere Mensch – die navigierte Chirurgie

Foto: © Autor

Durch die Zunahme der Lebenserwartung unterliegt die Altersverteilung der Bevölkerungsstruktur in Deutschland einem deutlichen demografischen Wandel. Den Anteil der Altersgruppe über 60 Jahren sieht das statistische Bundesamt für das Jahr 2030 bei 30,5 Prozent. 1960 lag dieser zum Vergleich noch bei 17,4 Prozent (Abb. 1). Für die zahnärztliche Behandlung bedeutet der demografische Wandel einen Anstieg des älteren Patientenklientels, auch im Bereich der Implantologie.

Die Generation 60+ ist heute, bedingt durch eine verbesserte medizinische Versorgung, aktiver und mobiler in ihrem sozialen Leben und zeigt einen steigenden Anspruch an ihre Lebensqualität auch in Hinblick auf die dentale Versorgung. Der Wunsch nach „festen Zähnen“ wird immer häufiger geäußert.

Allgemeinerkrankungen erfordern ein spezielles Vorgehen

In den zahnärztlichen Fokus rücken mit zunehmendem Durchschnittsalter der Patienten vermehrt vorliegende Allgemeinerkrankungen, die im Hinblick auf die damit verbundene Dauermedikation ein spezielles Vorgehen bei operativen Eingriffen erfordern. So zeigt jeder zweite Patient über 60 Jahren eine Erkrankung des Herz-Kreislauf-Systems auf (Abb. 2, Seite 60). Aufgrund der zunehmenden Häufigkeit dieser koronaren Herzerkrankungen mit steigendem Alter, die oft eine postoperative Antikoagulation erfordern, gehören Patienten mit gerinnungshemmender Medikation zum Alltag in der Zahnarztpraxis. Mit Rücksicht auf die vorliegenden Grunderkrankungen werden blutverdünnende Medikamente aus vitaler Indikation verabreicht. Grundsätzlich gilt deshalb: Chirurgische Eingriffe sollten bei bestehender Antikoagulationstherapie stets erst nach Rücksprache mit dem behandelnden Allgemeinarzt bzw. Kardiologen erfolgen, denn das Hämorrhagierisiko bei oralchirurgischen Eingriffen ist geringer einzustufen als das Risiko einer Thromboembolie nach Unterbrechung der Antikoagulation. Siehe auch die Stellungnahme der DGZMK vom Juli 2001 zur zahnärztlichen Chirurgie bei Patienten mit Antikoagulationstherapie. Weitverbreitet ist die Antikoagulation mit Cumarinderivaten wie Phenprocoumon (Marcumar©) oder Coumadin (Warfarin©), die als Vitamin-K-Antagonist die -Carboxylierung von Glutaminsäure hemmen. Empfohlen wird neben der regelmäßigen Überwachung der individuellen Gerinnungsfähigkeit des Patienten eine Bestimmung der In-vitro-Gerinnungszeit präoperativ am Tag der OP als INR-Wert (International Normalisierte Ratio).

 

Kleinere operative Eingriffe können bei einem INR-Wert von 2.0–3.0 durchgeführt werden, sofern eine engmaschige Kontrolle des Patienten im Anschluss daran gewährleistet werden kann. Bei umfangreichen chirurgischen Eingriffen ist eine vorübergehende Änderung des INR-Wertes auf 1.6–1.9 durch den die Antikoagulation einstellenden Arzt möglich. Dieser muss im individuellen Fall entscheiden, ob das hierdurch erhöhte Thromboembolierisiko eine vorübergehende Substitution mit niedermolekularem Heparin erfordert (Stellungnahme der DGZMK V 2.0 07/01). Zwei neue Wirkstoffe, die bereits zur Antikoagulation zugelassen sind, weisen im Vergleich zu den oben genannten Cumarinderivaten deutlich kürzere Halbwertszeiten auf. Rivaroxaban (Xarelto©) bewirkt eine Gerinnungshemmung über die direkte Inhibition des Faktors Xa. Dabigatran (Pradaxa©) entfaltet seine Wirkung über eine direkte Thrombininhibition (Faktor IIa). Beide Medikamente sind oral verfügbar und werden zu festen Tageszeiten eingenommen. Sind chirurgische Eingriffe geplant, ist das einmalige Absetzen der Präparate für oralchirurgische Eingriffe ausreichend, allerdings ebenfalls nur nach Rücksprache mit dem behandelnden Arzt. Eingriffe sollten auf den frühen Nachmittag gelegt werden. In diesen Fällen verzichtet der Patient am Morgen des Operationstages auf die Einnahme des gerinnungshemmenden Medikamentes, wobei die Wirkung vom Vortag noch in ausreichendem Maße bestehen bleibt, das Blutungsrisiko aber bereits erniedrigt ist. Im Anschluss daran können die Medikamente in der Regel wie gewohnt wieder eingenommen werden und entfalten innerhalb von zwei Stunden ihre volle Wirksamkeit. Bei allen operativen Eingriffen gilt: Zur lokalen Blutstillung können als zusätzliche Maßnahmen ein hämostatischer Nahtverschluss sowie die Einbringung einer resorbierbaren Einlage wie z.B. eines Kollagenpräparates oder Tabotamp indiziert sein. Bei Risikopatienten bringt eine Verbandsplatte präoperativ eine erhöhte Sicherheit für den postoperativen Verlauf. Diese kann bei Bedarf unterfüttert werden, um eine ausreichende Kompression im Operationsbereich zu gewährleisten (ZM 103, Nr. 1 A, 1.1.2013, 18–21; Stellungnahme der DGZMK V 2.0 07/01).

Im Hinblick auf elektive Eingriffe, zu denen auch Implantationen zählen, ist bei einer vorliegenden Antikoagulation bei Patienten mit koronaren Herzerkrankungen die Empfehlung der Kardiologischen Gesellschaft (ESC) zu beachten. Diese sieht vor, bei Patienten mit einem unbeschichteten Stent sechs Wochen nach Stentsetzung auf elektive oralchirurgische Eingriffe zu verzichten. Bei den medikamentenbeschichteten Stents liegt dieser Zeitraum sogar bei bis zu zwölf Monaten (Abb. 3). Auch Stoffwechselerkrankungen wie Diabetes mellitus und Osteoporose treten mit zunehmendem Alter immer häufiger auf und erfordern eine spezielle Herangehensweise. Bei einem länger bestehenden, unzureichend eingestellten Diabetes mellitus kann es im Bereich der zahnärztlichen Chirurgie zu einer erhöhten Infektanfälligkeit kommen, weshalb operative Eingriffe bei einer manifestierten Stoffwechselentgleisung zurückgestellt oder unter stationären Bedingungen vorgenommen werden sollten. Zeigt der Patient eine stabile Blutzuckereinstellung, sind operative Eingriffe morgens nach dem Frühstück oder nach einer eventuellen Insulininjektion durchzuführen, um hypoglykämische Zustände zu vermeiden (Stellungnahme der DGZMK 4/96 V 2.0, Stand 6/96). Bei umfangreichen chirurgischen Eingriffen sollten bei einer vorliegenden Stoffwechselerkrankung der erhöhten Infektanfälligkeit und dem Risiko einer anschließenden Wundheilungsstörung mit dem Einsatz eines Antibiotikums Rechnung getragen werden. Soweit keinerlei weitere Allgemeinerkrankungen vorliegen, stellen jedoch beide Krankheitsbilder unter Beachtung der üblichen mundhygienischen Voraussetzungen und Empfehlungen keine Hindernisse für eine zahnärztliche chirurgische Behandlung einschließlich der Versorgung mit Implantaten dar. In jedem einzelnen Fall sollte jedoch vor jedem chirurgischem Eingriff eine individuelle Einschätzung des vorliegenden Risikoprofils des Patienten erfolgen. Mit dem gehäuften Auftreten von Osteoporoseerkrankungen im Alter (Abb. 4) tritt die medikamentöse Therapie mit oral oder in Verbindung eingenommenen Bisphosphonaten und monoklonalen Antikörpern (z.B. Prolia) zunehmend in den Fokus des behandelnden Zahnarztes. Hierbei sollte eine zahnärztliche Implantation in Abhängigkeit vom bestehenden Risikoprofil des Patienten (Grunderkrankungen, Art, Dauer und Dosierung der Medikation, Cofaktoren u.a.) individuell abgewogen werden (DZZ 60[10] 2006). Mithilfe des DGI-Laufzettels, einem Risikoevaluationspapier für alle Patienten mit antiresorptiver Medikation, kann das jeweilige Risikoprofil auch für Osteoporosepatienten, an einer bisphosphonat-assoziierten Kiefernekrose zu erkranken, evaluiert und dokumentiert werden (Oralchirurgie Journal 3/2013, 22–25).

Orale chirurgische Eingriffe

Um bei Patienten mit einem bestehenden Risikoprofil das operationsbedingte Trauma und die Risiken von allgemeinen Komplikationen im Zuge von chirurgischen Eingriffen möglichst gering zu halten, ist neben einer gründlichen präoperativen Planung eine entsprechend minimalinvasive Vorgehensweise empfehlenswert. Dazu gehören eine atraumatische Zahnentfernung mit Wurzeltrennungen und plastischen Knochendeckungen. Der Einsatz der dreidimensionalen Schnittbilddiagnostik eröffnet uns die Möglichkeit, die Anzahl und den Umfang der operativen Eingriffe zu reduzieren und diese so atraumatisch wie möglich zu gestalten.

Rechtfertigende Indikation durch zusätzlichen Nutzen einer dreidimensionalen Bildgebung

Die 3-D-Röntgendiagnostik ermöglicht eine über die zweidimensionale Darstellung hinausgehende, präzise und verzerrungsfreie metrische Analyse des vorhandenen Knochenlagers, die überlagerungsfreie Relation zu Nachbarstrukturen und die Beurteilung der Knochenstruktur sowie eines gegebenenfalls vorhandenen Augmentationsbedarfes bei gegebenen Defekten. Hierbei ist in jedem einzelnen Fall abzuwägen, ob das Gesamtpotenzial des diagnostischen Nutzens dieser Aufnahmetechnik gegenüber anderen bildgebenden Verfahren ausreichend ist, um die vergleichsweise stärkere Strahlenbelastung des Patienten zu rechtfertigen (Ergänzende Röntgenverordnung vom 30.4.2003). Im Hinblick auf die Implantatversorgung ist die dreidimensionale Schichtaufnahme von großer Bedeutung bei einem grenzwertigen Knochenangebot. So bietet die 3-D-Darstellung der Knochenstrukturen die Möglichkeit, präoperativ die vertikalen und horizontalen Dimensionen des Alveolarfortsatzes einzuschätzen. Dies ist ein deutlicher Vorteil gegenüber der zweidimensionalen Röntgendarstellung, vor allem, wenn eine intraoperative Änderung der Behandlungsstrategie (z.B. ergänzende umfangreiche Augmentation) aus der Sicht des Behandlers besondere Risiken für den Patienten aufgrund seiner Allgemeinerkrankungen bergen würde. So können bereits im Vorfeld bei einem begrenzten Knochenangebot Therapieentscheidungen anhand der dreidimensionalen Bildgebung getroffen werden, wenn diese von einer bestimmten Behandlungsstrategie (z.B. eine Implantation ohne Augmentation bei Patienten mit antiresorptiver Medikation) abhängen.

Navigierte Chirurgie im Sinne der computerassistierten Implantologie

Über die dreidimensionale Bildgebung mit einem CT bzw. DVT können computergestützt Planungs- und Versorgungskonzepte für die Durchführung von elektiven implantologischen Eingriffen erstellt werden. Verschiedene computerassistierte Softwaresysteme stehen dabei derzeit für nahezu alle führenden Implantathersteller zur Verfügung, mit zum Teil jedoch sehr unterschiedlichem Workflow. Das navigierte Vorgehen ermöglicht es, die Implantatpositionen und Längen entsprechend des vorhandenen Knochenangebotes, dennoch orientiert an der prothetischen Vorgabe, zu planen. Ziel ist es, aufwendige Knochenaugmentationen zu umgehen, die Anzahl der Eingriffe zu reduzieren und deutlich minimalinvasiver zu gestalten, wodurch sowohl das OP-Trauma als auch allgemeine Komplikationen deutlich minimiert werden. Eine Möglichkeit der Vermeidung von vertikalen Augmentationen besteht in der Insertion kurzer Implantate, wie in Abbildung 5 dargestellt (Brånemark 3,75 x 8,5 mm). Die Implantate wurden mit der Nobel Guide Software geplant (Abb. 6 und 7) und flapless bei einem Patienten unter ASS 100 Medikation durch die Operationsschablone inseriert. Abbildung 8 zeigt das Kontrollbild vier Jahre postoperativ. Geringes Knochenangebot, wie Abbildung 9 zeigt, kann optimal genutzt werden. Abbildungen 10 und 11 zeigen Ausschnitte aus der Planung mit maximaler Ausnutzung des geringen Knochenangebotes. Eine enge Zusammenarbeit mit dem Zahntechniker ist bei der Planung wie auch bei der Umsetzung der navigierten Arbeitsabläufe Voraussetzung für den Behandlungserfolg. Abbildung 12 zeigt die geteilte Stegkonstruktion und Abbildung 13 das fünf Jahre postoperative Kontrollbild.

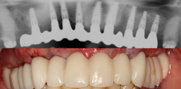
Des Weiteren ist es möglich, durch die exakte präoperative Längenbestimmung des Restknochenangebotes im Seitenzahnbereich des Oberkiefers im DVT und die exakte Führung der Operationsschablonen in ausgewählten Fällen einen internen Sinuslift an stelle eines externen durchzuführen. Spezielle Osteotome mit individuell montierten Stopps verhindern ein zu weites Eindringen in den Sinusbereich (Abb. 14). Zudem kann in ausgewählten Fällen die Implantatversorgung im Sinne eines sogenannten „Backward Plannings“ ausgehend von einem angestrebten, optimalen Therapieziel bzw. einer bereits im Vorfeld konstruierten Prothetik geplant werden. Hierfür wird zunächst im Rahmen der präoperativen Planung der Zahnersatz nach einer ästhetischen und funktionellen Anprobe in Wachs erstellt. Durch die Verwendung einer Scanschablone (Abb. 15) oder einer Übertragung der Modell- und Wax-up-Konstruktionen über STL-Daten können anschließend die Bilddaten der Schichtaufnahme in Relation zur geplanten Prothetik gesetzt werden. Am PC können nun in der Navigationssoftware die Implantatpositionen unter Berücksichtigung der Prothetik festgelegt werden (Abb. 16 und 17). Durch die Anfertigung einer Operationsschablone (Abb. 18), die systembedingt stereolitografisch, durch Umarbeitung der Scanschablone oder durch Industriedruck hergestellt wird, können die festgelegten Implantatpositionen auf den Patienten übertragen werden. Die Genauigkeit dieses Vorgehens bietet bei einer ausreichend hohen Primärstabilität der eingebrachten Implantate die Möglichkeit einer sofortigen prothetischen Versorgung der Implantate mittels eines im Vorfeld und in Übereinstimmung mit der präoperativen Planung hergestellten provisorischen Zahnersatzes (Abb. 19). Des Weiteren erlaubt diese detaillierte präoperative Planung ein operatives Vorgehen mit einer hohen Präzision und einer großen forensischen Sicherheit. Der Eingriff und das prothetische Ergebnis (Abb. 20 und 21) werden vorhersehbarer. Die Zahl der Eingriffe konnte durch die navigierte Planung reduziert werden. Aufgrund einer ausreichend keratinisierten Gingiva (Abb. 22) wurden die Implantate im anterioren Oberkiefer und Regio 15 mit internem Sinuslift flapless inseriert, Regio 24–26 wurde ein externer Sinuslift mit sofortiger Insertion der Implantate, ohne Sofortbelastung vorgenommen. Dem häufig geäußerten Wunsch nach einer festen Versorgung kann in diesem Fall entsprochen werden (Abb. 23).

Altersgerechte prothetische Versorgung nach dem Konzept „Generation 60+“

Betrachtet man beide oben beschriebenen Fälle, die festsitzende und die herausnehmbare Konstruktion, so ist zu bedenken, dass in Hinblick auf das zunehmende Alter und bestehende Allgemeinerkrankungen und Risikoprofile der Patienten die prothetische Versorgung kritisch mit dem Patienten zu erörtern ist. Bei der Planung der prothetischen Suprakonstruktion sollte berücksichtigt werden, dass eine mögliche Verschlechterung des Allgemeinzustandes und die zum Teil eingeschränkten motorischen und geistigen Fähigkeiten der Patienten im Alter die Durchführung von notwendigen Mundhygienemaßnahmen im Mundbereich deutlich erschweren kann. Bereits in der Planungsphase sollte diesbezüglich eine Risikoaufklärung der Patienten erfolgen, in der ausführlich über die Vor- und Nachteile der verschiedenen prothetischen Versorgungsmöglichkeiten gesprochen wird. Unter dem Gesichtspunkt der Mundhygienefähigkeit ist oftmals die prothetische Versorgung mit einer herausnehmbaren Lösung besser zu bewerten als eine festsitzende prothetische Suprakonstruktion. Über eine Teleskop- oder Locatorverankerung der Prothese kann eine gute Mundhygiene gewährleistet werden, die auch im Bedarfsfall von Pflegepersonal durchgeführt werden könnte. Des Weiteren ist die Versorgung bei Zahn- oder Implantatverlust einfach erweiterbar ohne zusätzliche chirurgische Eingriffe. Zum anderen kann mit dieser Lösung bei angemessener Implantatanzahl ein ausreichend fester Halt erzielt und dem Wunsch des Patienten nachgekommen werden, auch im höheren Alter das sichere Gefühl von „festen Zähnen“ beizubehalten.

Mehr Fachartikel aus Implantologie

ePaper