Zur Übersicht
Profil
authorImage

Dr. Martina Lee

Dr. Thomas Drechsler
Dr. Martina Lee
Wilhelmstraße 40
65183 Wiesbaden
Deutschland
Vita anzeigen

Kurzvita

  • Studium der Zahnheilkunde in Mainz
  • Zahnärztliche Vorbereitungszeit in freier Praxis in Darmstadt
  • Hospitanz an der Zahnklinik der Yonsei University Seoul, Korea
  • Weiterbildung in KFO-Praxis Dr. Drechsler, Wiesbaden
  • Kieferorthopädisches Weiterbildungsprogramm der Universität Frankfurt, Pilotprojekt Kieferorthopädie VI. Staffel

Artikel auf ZWP online

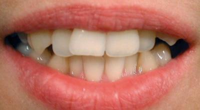
articleImage
Kieferorthopädie 28.02.2011

Die ASR in der Lingualbehandlung

Dass durch Kombination von lingualer Orthodontie und gezielt sicherer Schmelzreduktion eine unsichtbare, patientengerechte und schonende Zahn­korrektur möglich ist, zeigen Dr. Thomas Drechsler und Dr. Martina Lee.

Artikel in Publikationen

Erwähnungen in Publikationen

Erwähnungen auf ZWP online

ePaper