Zur Übersicht
Profil
authorImage

ZT Dejan Ilic

Mundwerk Albstadt
Dr. Shabana Ilic-Brodam
ZT Dejan Ilic
Schillerstraße 15
72458 Albstadt-Ebingen
Deutschland
Vita anzeigen

Kurzvita

  • 1994-1998 Ausbildung zum Zahntechniker 
  • 1998-2014 Praxislabortätigkeiten 
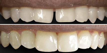
  • Zahlreiche Fortbildungen mit Schwerpunkt Hochleistungskeramik im Bereich Vollkeramikrestaurationen, Kronen/Brücken, Veneers, Implantatversorgung, Inlays, Teleskoprestaurationen 
  • Seit 2014 Zahntechniker im Eigenlabor Zahnarztpraxis Mundwerk Albstadt

Artikel auf ZWP online

Erwähnungen auf ZWP online

ePaper