Cosmetic Dentistry 07.12.2016
Ästhetische Versorgung eines Diastemas mit Keramikveneers
share
Veneers stellen eine minimalinvasive Form der keramischen Versorgung dar und weisen die für die dentalen Keramiksysteme typischen Vorzüge auf. So erzielen sie beispielsweise eine natürliche und ästhetische Wirkung durch die auftretende Lichtbrechung und -reflexion und überzeugen durch Biokompatibilität.
Indikationen für eine Versorgung mit Veneers stellen Zahnverfärbungen, Hypoplasien, umfangreiche Schädigungen und Diastemata dar, wie im folgenden Fallbeispiel dargestellt.
Fallbericht
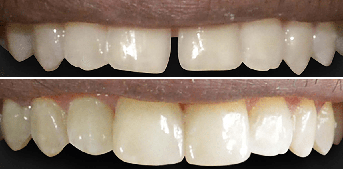
Ein 28-jähriger Patient stellte sich mit dem Wunsch bei uns vor, sein Diastema schließen zu lassen. Er beklagte zu der durch das Diastema hervorgerufenen mangelnden Ästhetik noch die nicht zufriedenstellende Zahnstellung und Phonetik. Verschiedene Therapiemöglichkeiten wurden dem Patienten aufgezeigt und Vor- und Nachteile mit ihm durchgesprochen. Der Patient entschied sich für eine Schließung seines Diastemas durch Veneers. Er wünschte sich zudem hellere Zähne.

Ausgangssituation
Vorangangene Maßnahmen
Zunächst erfolgte eine ausgiebige Befunderhebung. Die Zähne waren frei von konservierenden und prothetischen Versorgungen sowie frei von kariösen Läsionen. Die Gingiva zeigte sich entzündungsfrei. Die Diastemagröße betrug 1,5 mm an der breitesten Stelle. Vor der Versorgung des Diastemas wurde eine professionelle Zahnreinigung durchgeführt und in einer darauffolgenden Sitzung die Zähne mittels Chairside-Bleaching (ZOOM, Philips, Discus Dental) aufgehellt. Zudem wurden Situationsabformungen genommen. Im Eigenlabor wurden daraufhin am Modell vom Zahntechniker ein Wax-up und ein Mock-up patientenorientiert hergestellt. Nach der Einprobe des Mock-ups am Patienten und dessen Einverständnis konnte mit der prothetischen Versorgung begonnen werden.
Präparation und Veneerherstellung
Vestibulär erfolgte ein Abtrag von ca. 0,6 – 0,8 mm, die gingivale und approximale Präparationsgrenze wurde in Form von einer Hohlkehle gelegt. Approximal endete die Präparationsgrenze in distaler Richtung kurz vor dem Approximalkontakt, in mesialer Richtung aufgrund des Diastemas oral. Die Inzisalkanten wurden umschliffen, um bei der Neuversorgung die Länge zusätzlich zu korrigieren, wodurch eine positive Lachlinie erzielt werden sollte. Die Abformung erfolgte mit einem Polyether (Impregum, 3M ESPE). Zur provisorischen Versorgung diente das Mock-up.

Endversorgung
Im Eigenlabor wurden die Veneers vom Zahntechniker in der Presskeramik-Schichttechnik hergestellt (e.max, Ivoclar Vivadent; initial LiSi, GC). Die vorangegangene Farbnahme am Patienten und eine entsprechende Fotodokumentation wurden als Orientierungshilfe herangezogen. Die Eingliederung der Veneers erfolgte nach vorheriger Gerüst- und Ästhetikeinprobe adhäsiv (Variolink, Ivoclar Vivadent).Durch eine gute Aufklärung des Patienten und einer engen Zusammenarbeit mit Zahnarzt und Zahntechniker kann das Maximum an Ästhetik für den Patienten erzielt werden.