Branchenmeldungen 05.12.2019

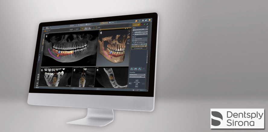
Moderne und intuitive Implantologie mit Sidexis 4 und der neuen SICAT Implant 2.0

Dentsply Sirona stellt mit der neuen Implantat-Planungssoftware SICAT Implant 2.0 und der bewährten Bildgebungssoftware Sidexis 4 einen optimierten Ansatz für die Implantologie vor. Unabhängig davon, ob der Anwender ein fortgeschrittener Implantologe ist oder gerade erst in die Implantologie einsteigt: Die voll in Sidexis 4 integrierte SICAT Implant 2.0 unterstützt effektiv die Behandlung und führt einfach und effizient durch die Arbeitsabläufe in der Implantologie.

Dank der neuen Implantat-Planungssoftware SICAT Implant 2.0 wird die Planung von Einzelzahn- und Mehrfachversorgungen so einfach wie nie. Durch die neue nahtlose Integration in Sidexis 4 erhält der Anwender ein einzigartiges Benutzererlebnis und einen effektiven Partner für die Implantologie.

Die Bildgebungssoftware Sidexis 4 ist die zentrale Speicherplattform für alle Patienteninformationen und -medien. Sie sorgt für effizientere Abläufe: 2D-Röntgen-, Intraoral- oder Fotoaufnahmen sowie STL- und DVT-Daten sind in der Patientenhistorie verfügbar. Dadurch geht keine Zeit mehr mit der Suche nach Patientendaten verloren. Mit nur einem Klick in Sidexis 4 navigiert der Anwender direkt in die SICAT Suite zu SICAT Implant 2.0 und kann sofort mit der Implantatplanung beginnen. Neben der Implantatplanung mit SICAT Implant stehen dem Anwender auf Wunsch innerhalb der SICAT Suite auch weitere Applikationen beispielsweise für die Endodontie zur Verfügung.

Nahtlose Integration – optimale Ergebnisse

SICAT Implant 2.0 bietet neben den Vorteilen ihres Vorgängers Galileos Implant eine Reihe neuer Funktionen und Verbesserungen. Die Software beinhaltet die bewährten Planungsfunktionen, die von Anwendern bereits in Galileos Implant geschätzt wurden. Neben der Nervkanalmarkierung und der 360-Grad-Drehung um das Implantat können 3D-Röntgendaten aus den Orthophos 3D-Geräten mit CAD/CAM-Daten überlagert werden. So kann auch in Hinblick auf die spätere prothetische Versorgung das Implantat korrekt positioniert werden.

Dank überarbeiteter und damit noch intuitiverer Funktionen, wie zum Beispiel die automatischen Kollisionswarnungen und an der Restaurationsachse vorausgerichtete Implantatpositionen, wird die Implantatplanung noch einfacher und schneller. Ungünstige Komplikationen können bereits vor der Behandlung erkannt werden, was die Sicherheit erhöht und es dem Kliniker ermöglicht, minimalinvasiver zu arbeiten. Die dreidimensionalen Bilder und die fotorealistische Darstellung von optischen Abdrücken schaffen eine klare Visualisierung der klinischen Situation, sodass wertvolle Zeit während der Patientenberatung gespart wird. Dank einer der weltweit größten Bibliotheken an Implantaten, Abutments und Bohrhülsen mit integrierter Farbkodierung sind Anwender stets flexibel bei der Implantatplanung.

Mit gutem Gewissen chirurgische Eingriffe durchführen

Über die reine Implantatplanung hinaus bietet SICAT Implant 2.0 die Möglichkeit, direkt aus der Software heraus eine Vielzahl an hochklassigen Bohrschablonenlösungen zu beauftragen, um den Prozess bis zur endgültigen Platzierung des Implantats zu unterstützen. Dabei haben Anwender die freie Wahl: unabhängig davon, ob die Bohrschablonen zentral bei SICAT gefertigt, als DIGITALGUIDE in Kooperation mit einem lokalen Labor bzw. dem eigenen Drucker gedruckt oder für CEREC-Anwender mit CEREC Guide 2 oder 3 chairside in der eigenen Praxis erstellt werden. SICAT Implant 2.0 bietet volle Flexibilität.

So erhalten Patienten und Kliniker jederzeit die gewünschten Ergebnisse und können sich auf das Wesentliche konzentrieren. Dafür stehen SICAT Implant 2.0 und Sidexis 4.

Dr. Nadia Amor, Head of Product Management Software & Solutions Imaging bei Dentsply Sirona, betont die Bedeutung der geführten Implantologie: „Die Implantologie kann ein Haupttreiber für den Erfolg einer Zahnarztpraxis sein und wird damit mehr und mehr zur festen Konstante im Praxisalltag. Bei Dentsply Sirona kombinieren wir hochqualitative Technologie mit modernster Software, um nahtlose digitale Lösungen anzubieten, die den Anwender darin unterstützen, durch verbesserte Prozesse und vorhersehbare akkurate Ergebnisse nennenswerten Mehrwert zu generieren. Das erzeugt ein wahrhaft einzigartiges Nutzererlebnis, das die klinische Sicherheit und herausragende Patientenversorgung unterstützt.“

Weitere Informationen SICAT Implant 2.0: www.dentsplysirona.com/sicat-implant

Quelle: Dentsply Sirona

Foto: Dentsply Sirona

Dieser Beitrag stammt von dem Anbieter und spiegelt nicht die Meinung der Redaktion wider.
Mehr News aus Branchenmeldungen

ePaper