Branchenmeldungen 17.06.2015
Neues Gesicht aus dem PC: Virtuelle Planung einer Kieferumstellung
Neues Gesicht aus dem PC: Virtuelle Planung einer komplexen Unter- und Oberkieferumstellung
Die neuen digitalen Technologien ermöglichen die exakte virtuelle Planung und Simulation von mund-kiefer-gesichtschirurgischen Eingriffen zur Korrektur von Fehlbissen (Orthognathe Chirurgie): Mittels dreidimensionaler Vermessung und Operationsplanung wird die Verlagerung des Ober- und Unterkiefers am Computer analysiert. Per CAD/CAM1-Verfahren kann in einem zweiten Schritt der für das gelungene Ergebnis erforderliche Bissschlüssel zur optimalen Positionierung der Kiefer für die Stuttgarter MKG-Chirurgen computergesteuert erstellt werden. Seit neuestem setzen die Spezialisten einen Gesichtsscanner zur Erfassung des Weichgewebes ein. So kann die Beeinflussung der Gesichtsästhetik virtuell durch die Kieferverlagerung simuliert werden. Einer der ersten Patienten, dessen Fehlbiss mit der neuen Technik behandelt wurde, berichtete auf der Jahrespressekonferenz der Deutschen Gesellschaft für Mund-, Kiefer- und Gesichtschirurgie (DGMKG) anlässlich des großen 65. Kongresses in Stuttgart über seine Geschichte.
Im Oktober letzten Jahres stellte sich der Patient erstmals in der Stuttgarter Spezialsprechstunde für Kieferfehlstellungen vor. Die Ausformung der Zahnbögen durch den behandelnden Fachzahnarzt für Kieferorthopädie ist bereits fortgeschritten. Eine operative Umstellung der Kieferknochen kann somit zeitnah erfolgen. Die klinische Situation bei Erstvorstellung zeigt die Abbildung 1 in der Bildergalerie: Der Unterkiefer ist zu prominent. Der Oberkiefer und das Mittelgesicht liegen zurück. In der Front liegt ein umgekehrter Überbiss vor. Der Unterkiefer steht vor dem Oberkiefer. Das erschwert das Abbeißen und Kauen der Nahrung.
Veranschaulichung des Eingriffs
Die Operation
Im Dezember 2014 führten die MKG-Chirurgen die Umstellung des Ober- und Unterkiefers nach virtueller Chirurgieplanung durch: Dabei trennten sie den Oberkiefer horizontal vom Gesichtsschädel ab (horizontale Osteotomie in der LeFort Ebene). Hierzu wird von einem Schnitt im Mund der Oberkieferknochen freigelegt. Mit einer Säge kann ein gezielter Knochenschnitt erfolgen und nach Präparation wird der zahntragende Abschnitt des Oberkiefers vom restlichen Gesichtsschädel gelöst. Nun muss die Bisssituation anhand des computergefertigten Bissschlüssels exakt eingestellt werden, bevor mit 2 mm dicken Osteosyntheseplatten aus Titan der Knochen in der neuen Position mit Hilfe von Titanschrauben fixiert wird.
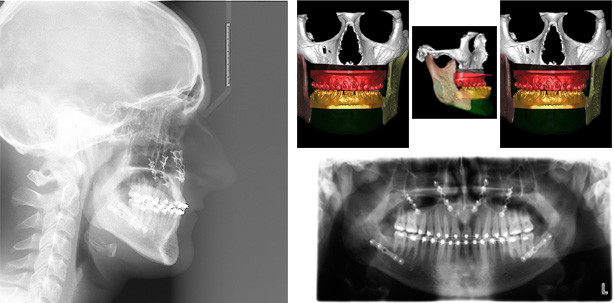
Im Unterkiefer erfolgt die Schnittführung im Zahnfleisch hinter dem letzten Backenzahn beidseits. Nun wird der Unterkiefer mit spezieller Technik durchtrennt. Dies erlaubt eine Verschiebung der zahntragenden Basis vom gelenktragenden Knochenabschnitt des Unterkiefers. Bei der Präparation wird der im Unterkieferknochen verlaufende Gefühlsnerv der Unterlippe sorgfältig geschont. Die neue Position wird mit einem zweiten Bissschlüssel, der die endgültige Bisssituation einstellt, zugeordnet und mit Osteosyntheseplatten und -schrauben gesichert. Die Platten und Schrauben fixieren den Knochen in der Art und Weise, dass der Patient postoperativ weiche Kost essen darf. Nach einer Woche werden die Fäden entfernt, die kieferorthopädische Feineinstellung des Bisses kann dann durchgeführt werden. Die Abbildung 2 stellt die Röntgenkontrolle in 2 Ebenen nach der OP dar.
Die virtuelle Planung

Operationsplanung anhand der Daten der dreidimensionalen Röntgenaufnahmen: Jeweils vor (links) und nach der OP (rechts). Obere Reihe Frontalansicht, untere Reihe seitliche Ansicht. Der Oberkiefer wurde virtuell nach vorne verlagert, der Unterkiefer wurde zurückverlagert. (Quelle: Klinik für MKG-Chirurgie Klinikum Stuttgart, Katharinenhospital)

Simulation des Gesichtsprofils anhand der Daten der dreidimensionalen digitalen Volumentomographien: Präoperativ (links) vs. Postoperativ (rechts) (Quelle: Klinik für MKG-Chirurgie Klinikum Stuttgart, Katharinenhospital)
Abbildung 5 dokumentiert schließlich das Profil und die Bisssituation nach dem Eingriff.
Gesichtsscanner: Mehr als nur Zukunftsmusik
Zukünftig kann das postoperative Ergebnis mittels eines Gesichtsscanners der neuesten Generation noch besser für den Patienten vorhersagbar werden. Hochtechnologie für genauere Vorhersagbarkeit des OP-Ergebnisses und damit gesteigerte Patientensicherheit. Da es sich hierbei um ein ganz neues Verfahren handelt, stehen Langzeituntersuchungen und -auswertungen noch aus.
1 CAD (computer aided design) = rechnergestützte Formgebung, CAM (computer aided manufakturing) = rechnergestützte Fertigung
Quelle: Klinik für MKG-Chirurgie Klinikum Stuttgart, Katharinenhospital
Seethrough
Synea Power Edition
Sprayschlauchsysteme
NovaBone
BaLUPO 3 HD
CS 2100
CS 1500
CS 1200
Striate+™
Xylonor Spray N 15 %