Businessnews 20.01.2025

Plandent und Pearl kooperieren bei Ausweitung Europavertrieb

Plandent und Pearl kooperieren bei Ausweitung Europavertrieb

Foto: Pearl

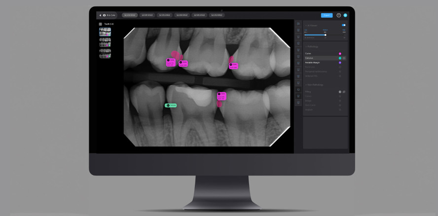
Second Opinion® von Pearl ist eine KI-Software, die in der Lage ist, Zahnröntgenbilder zu lesen und Krankheiten sofort zu erkennen. Durch die Kooperation mit Plandent möchte das KI-spezialisierte Unternehmen sich auf den europäischen Markt ausweiten.

Pearl, der weltweit führende Anbieter von KI-Lösungen für den Dentalbereich, und Plandent Division, Europas zweitgrößter Händler für Dentalbedarf, -technologie und -dienstleistungen, gaben ihre Partnerschaft bekannt, um den europäischen Vertrieb von Pearls Second Opinion® KI-Analysesoftware für zahnmedizinische Röntgenaufnahmen auf die nordischen Länder und Deutschland auszuweiten. Second Opinion bietet Krankheitserkennungsfunktionen sowohl als eigenständiges Gerät als auch als integrierter Bestandteil der robusten Planmeca-Softwareplattform Planmeca Romexis® für die Bildgebung. Diese Ankündigung folgt auf die Partnerschaft zwischen Pearl und Planmeca aus dem Jahr 2023, die den Nutzern von Planmeca Romexis verbesserte KI-basierte Bildanalysedienste bietet. Planmeca ist die Muttergesellschaft der Planmeca Group, zu der die Plandent Division gehört. Planmeca ist ein privates Unternehmen, das zahnmedizinische Geräte entwickelt und herstellt, darunter digitale Dentaleinheiten, Bildgebungsgeräte und Softwarelösungen.

„Als wir letztes Jahr eine Partnerschaft mit Planmeca Romexis eingingen, wussten wir, dass wir Pearl mit einer der beliebtesten, leistungsfähigsten und technologisch fortschrittlichsten Bildgebungsplattformen in der Zahnmedizin zusammenbringen würden. Die Vertiefung unserer Beziehung zu Planmeca, die einen breiteren Vertrieb in den nordischen Ländern und Deutschland einschließt, ist für unser anhaltendes Wachstum sowohl bei KMUs als auch bei DSOs weltweit von entscheidender Bedeutung“, so Ophir Tanz, Gründer und CEO von Pearl. „Unser Ziel ist es, die klinische Effizienz zu steigern und die Dentalbranche in eine vollständig KI-gestützte Zukunft zu führen. Um das zu erreichen, ist es wichtig, dass wir weltweit präsent sind.“

Second Opinion® ist die erste und einzige Chairside-KI-Software mit globaler Zulassung, die Zahnärzte bei der Erkennung zahlreicher häufiger Erkrankungen in Bissflügel-, periapikalen und Panorama-Röntgenbildern erwachsener Zähne bei Patienten im Alter von 12 Jahren unterstützt. Für Romexis-Anwender bietet die Second Opinion®-Software KI-Auswertungen von intraoralen 2D-Röntgenbildern direkt auf der Romexis-Plattform, was eine optimierte Patientenkommunikation, verbesserte diagnostische Möglichkeiten und einen höheren Standard in der zahnärztlichen Versorgung ermöglicht. Die Integration ist für Romexis-Anwender auf der ganzen Welt verfügbar.

„Plandent ist ein führender Dentalanbieter in Nord- und Mitteleuropa. Wir bieten unseren Kunden branchenführende Dentalgeräte und umfassende Softwarelösungen sowie alle erforderlichen Experten- und Wartungsdienste. Wir engagieren uns sehr dafür, die fortschrittlichsten Funktionen in der Bildgebungssoftware bereitzustellen, um die täglichen klinischen Arbeitsabläufe und die Patientenkommunikation in der Zahnklinik zu verbessern“, sagt Janne Antilla, Vice President bei Plandent. „Diese Zusammenarbeit mit Pearl wird die diagnostische Konsistenz, Genauigkeit und Transparenz in der zahnärztlichen Versorgung weiter verbessern und Romexis-Anwender mit den fortschrittlichsten KI-Tools und Patientenkommunikationstechnologien ausstatten.“

Für weitere Informationen zu Second Opinion und zur Buchung einer Demo besuchen Sie www.hellopearl.com/romexis.

Ebenfalls wird Pearl auf der diesjährigen IDS vertreten sein, Standnummer lautet: Halle 4.2, Stand J8.

Quelle: Pearl

Dieser Beitrag stammt von dem Anbieter und spiegelt nicht die Meinung der Redaktion wider.
Mehr News aus Businessnews

ePaper