Prophylaxe 28.02.2011
Die Abschätzung des Kariesrisikos
share
Karies wird als übertragbare Erkrankung angesehen, wobei Streptococcus mutans und Laktobazillen die primären Pathogene darstellen. Der kariöse Prozess kann durch die konsequente Beeinflussung der ätiologischen Faktoren verhindert, arretiert und – zumindest in sehr frühen Stadien – umgekehrt werden. Die Erfassung der individuell gefährdenden Faktoren und die damit verbundene Einschätzung des Kariesrisikos spielen in diesem Zusammenhang eine große Rolle. 
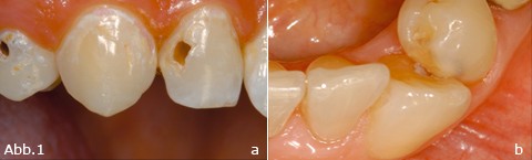
Die Karies (Abb.1) wird als multifaktorielles Geschehen angesehen, wobei die komplexe Ätiologie eine sichere Vorhersage aufgrund eines einzigen (einfachen) Tests nicht zulässt. Die Bestimmung des Kariesrisikos ist daher allenfalls mithilfe der Kombinationen mehrerer Informationen möglich. Hierzu zählen
- die Empfänglichkeit des Wirtes (Karieserfahrung in der Vergangenheit)
- die Bestimmung der St. mutans-Konzentration als Indikator für das relative Risiko
- die Bestimmung der Laktobazillen als Indikator für den Zuckergehalt der Diät
- das Remineralisierungspotenzial (Speichelfließrate und Pufferkapazität) als Indikator für die biologische Reparatur
Dieser Beitrag geht auf die Bedeutung der genannten Faktoren ein und stellt das Cariogram als bisher kaum verbreitetes, aber hilfreiches Werkzeug zur Erfassung des Kariesrisikos vor.

Abb.1:  a: Aktive Läsionen mit zum Teil ausgeprägter Kavitation. b:  Karies zwischen 34 und 33 aufgrund eines Engstandes und erschwerter/unzureichender Mundhygiene. 
Anamnestisch erhobene Informationen
Neben den weiter unten beschriebenen, direkt messbaren Faktoren sollten weitere Hintergrundinformationen mithilfe der Anamnese gewonnen werden. Hierzu zählen
- Allgemeinerkrankungen
- Medikamente mit Auswirkungen auf die Speicheldrüsenfunktion
- der soziale Status/die familiäre Situation
- das Ernährungsverhalten
- die Mundhygienegewohnheiten
- die Fluoridanamnese
Alle genannten Faktoren können eine Auswirkung auf das Kariesrisiko haben, wobei auch hier die individuelle Situation und die voraussichtliche Dauer bei der Risikoabschätzung beachtet werden sollten. Hinsichtlich der Fluoridexposition ist nicht zuletzt die Fluoridkonzentration des Trinkwassers zu berücksichtigen.
Klinischer Befund
Zur Berücksichtigung des Kariesrisikos ist der klinische Befund von besonderer Bedeutung. So lassen die Zahl der Zähne (Wann wurden Zähne extrahiert?), die Anzahl und Größe der Füllungen (Zeitpunkt und Häufigkeit der Erneuerung) sowie die Zahl der vorhandenen Demineralisationen oder sogar Kavitationen (Abb.1b) Rückschlüsse auf eine erhöhte Kariesaktivität zu. Der Zustand der Gingiva deutet auf eventuelle Mängel bei der Mundhygiene hin; auch das gleichzeitige Vorliegen erschwerender Umstände (Engstände, anatomische Besonderheiten, Füllungsüber-/unterschüsse, kieferorthopädische Behandlung) deutet auf ein erhöhtes Kariesrisiko hin.
Streptococcus mutans
Streptococcus mutans besitzen mehrere kariogene Eigenschaften, die bei hochfrequenter Aufnahme niedermolekularer Kohlenhydrate besonders akzentuiert werden. Hierzu zählen die initiale Besiedlung der Zahnhartsubstanzoberflächen, die Fähigkeit, Säuren zu produzieren und in saurem Milieu zu überleben, die Toleranz gegenüber hohen Zuckerkonzentrationen und nicht zuletzt die Fähigkeit, intra- und extrazelluläre Polysaccharide zu bilden. Die Höhe der St. mutans-Konzentration im Speichel reflektiert die Zahl der kolonisierten Zahnoberflächen. Aus kariologischer Sicht ist wichtig, dass die Zahl der Streptokokken mit dem Ausmaß der Karies korreliert.
Laktobazillen
Laktobazillen siedeln vornehmlich auf retentiven Oberflächen (Fissuren, Grübchen, Füllungsüberhänge, Läsionen) und vertragen saure pH-Werte besonders gut. Sie sind verantwortlich für das Fortschreiten von bereits etablierten Läsionen. Die Zahl der Laktobazillen korreliert mit dem Zuckerkonsum und lässt daher Rückschlüsse auf die Azidität der Bedingungen in einer Mundhöle zu. 
Bedeutung hoher Bakterienzahlen
Streptococcus mutans- und Laktobazillen-Zahlen korrelieren häufig nicht miteinander, wenngleich hohe Kolonisationen mit beiden Keimen bei Patienten mit erhöhter Kariesaktivität beobachtet werden. Dieser Umstand deutet darauf hin, dass die beiden Testverfahren unterschiedliche Stadien der Kariesentstehung abbilden. Nichtsdestotrotz sollten die Ergebnisse immer auch unter dem Aspekt einer Momentaufnahme betrachtet werden; deshalb ist dieser Test in Phasen einer Antibiotikagabe oder unmittelbar nach Durchführung der Mundhygiene wenig aussagekräftig.
Speichelfließrate
Die ausreichende Speichelfließrate trägt zur Aufrechterhaltung der oralen Gesundheit in entscheidendem Maße bei. Der Speichel hat dabei die Funktion
- der mechanischen Reinigung (Spülfunktion, Entfernung von Debris und Bakterien)
- der antibakteriellen Wirkung (über Lyse und Aggregation)
- der Pufferwirkung (Neutralisation bakterieller Säuren)
- der remineralisierenden Wirkung
Für die Beurteilung des Kariesrisikos spielt der Speichel somit eine herausragende Rolle; die eingeschränkte Speicheldrüsenfunktion korreliert eindeutig mit einem erhöhten Kariesrisiko.
Pufferkapazität
Eine ausreichende Pufferkapazität trägt dazu bei, neutrale pH-Werte in Speichel und Plaque zu etablieren, während eine unzureichende Pufferkapazität zu einer Erhöhung des Kariesrisikos führt.
Andere Testverfahren
In der Vergangenheit wurde eine Vielzahl weiterer prognostischer Tests vorgeschlagen, die sich jedoch nicht durchsetzen konnten. Hierzu zählen
- der Snyder-Test (eine Alternative zur Bestimmung der Laktobazillen-Zahlen)
- die Pilzbestimmung (Hinweis auf eine eingeschränkte Immunabwehr und fortgeschrittene Kariesaktivität)
- die Plaque-Bildungsrate und Plaque-pH-Messungen (Hinweise auf erhöhte Kariesaktivität)
- die Viskositätsprüfung des Speichels (vornehmlich für ältere Patienten mit Medikamentengebrauch und qualitativ verändertem Speichel)
Die beschriebenen Verfahren können im Einzelfall ergänzende Hinweise zum aktuellen Kariesrisiko liefern.
Zusammenfassende Wertung und Risikoabschätzung
Die Bestimmung des Kariesrisikos ist vergleichbar mit anderen Methoden zur Vorhersage von Ereignissen (z.B. der Wahrscheinlichkeit von Erdbeben). Auch hier wird eine Vielzahl von unterschiedlichen Daten zusammengetragen, die dann mit unterschiedlicher Gewichtung in die Risikoabschätzung einfließen. Dabei bedient man sich computergestützter Methoden. Ein Beispiel für ein in der Kariologie genutztes Verfahren ist das von Brathall beschriebene Cariogram. Bei diesem Programm werden anamnestisch erhobene Daten und klinische Befunde unter Berücksichtigung des Einflusses auf die Kariesentstehung zur Erstellung des Risikoprofils zusammengetragen. Dabei berücksichtigt das Programm auch die lokalen Fluoridkonzentrationen des Trinkwassers. Die Berechnung der aktuell vorliegenden Wahrscheinlichkeit, nicht an Karies zu erkranken, wird nach Eingabe der unter-schiedlichen Daten grafisch als prozentualer Wert ausgegeben (Abb.2) und erlaubt bei Bedarf die Programmierung individueller Empfehlungen für auf den Patienten abgestimmte, präventive Maßnahmen. Das Programm steht kostenlos zum Download unter http://www.db.od.mah.se/car/cariogram/cariograminfo.html zur Verfügung und sollte nach einer kurzen Einarbeitungszeit eine gute Hilfe zur Kariesrisikoabschätzung darstellen und die Beratung der Patienten erheblich erleichtern.

Abb.2: Beispiel für die Kariesrisikoabschätzung mithilfe des Cariograms.
Eine Literaturliste kann beim Verfasser angefordert werden.
Seitenanfang
 
                             
                                         
                                         
                                                                                     
                         
                         
                         
                         
                        