Parodontologie 28.02.2011
Die Er:YAG-laserunterstützte offene Kürettage
share
Eine Bewertung und Falldokumentation
Als sinnvolle Ergänzung der Parodontalbehandlung zur konventionellen PA-Therapie bietet sich in vielen Fällen die Intervention mit verschiedenen Lasersystemen an. Bis heute sind auf dem Gebiet der laserunterstützten Parodontalchirurgie jedoch nur wenige kontrollierte Studien verfügbar, die eine Aussage über den Einsatz des Er:YAG-Lasers bei der chirurgischen beziehungsweise regenerativen Parodontaltherapie zulassen.
Sculean et al. (2004) untersuchten in einer kontrollierten klinischen Studie im Rahmen der chirurgischen Parodontaltherapie eine Reinigung der Wurzeloberfläche sowie Entfernung von Granulationsgewebe bei Energieeinstellungen von 160mJ/Puls und 10 Hz, eine Kontrollgruppe wurde konventionell therapiert. Es konnte gezeigt werden, dass im Vergleich zur klassischen handinstrumentellen Wurzeloberflächen- und Defektreinigung sechs Monate postoperativ vergleichbare klinische Attachmentgewinne beobachtet werden können. Für beide Gruppen konnte nach morphometrischer Bestimmung der verbliebenen Konkremente ein ähnlich hohes Leistungsniveau festgestellt werden, eine statistische Signifikanz lag jedoch nicht vor.
In einer weiteren kontrollierten Studie untersuchten Schwarz et al. (2003) die Kombination des Einsatzes des Er:YAG-Lasers (120mJ/Puls, 10 Hz; 14,5 J/cm2) mit der Applikation eines Schmelz-Matrix-Proteins (EMD). Bei der Kontrollgruppe wurde eine handinstrumentelle Wurzeloberflächen- und Defektreinigung vorgenommen, auf die eine Konditionierung der Wurzeloberfläche mit EDTA und Applikation von EMD erfolgte. Beide Behandlungsmethoden zeigten sechs Monate postoperativ signifikante Verbesserungen aller klinischen Parameter, wenn auch zwischen beiden Gruppen keine statistisch signifikanten Unterschiede aufgezeigt werden konnten. Als zusätzliches Ergebnis dieser Studie konnte eine deutliche Zeitersparnis bei Benutzung des Lasers formuliert werden: die Laseranwendung benötigte lediglich etwa zwei Drittel der Zeit, die zur handinstrumentellen Reinigung erforderlich war.
In einer ersten humanhistologischen Studie wurde die Heilung intraossärer parodontaler Defekte sechs Monate nach chirurgischer Therapie unter Zuhilfenahme eines Er:YAG-Lasers (KEY2R KaVo, Biberach, Germany/160mJ, 10 pulses/s). untersucht. Als klinische Parameter wurden die Taschentiefe, die Gingivarezession und das klinische Attachmentlevel herangezogen. Bei sechs Patienten wurde nach Bildung eines Access Flaps eine Wurzeloberflächen- und Defektreinigung vorgenommen, zur Extraktion vorgesehene Zähne wurden in die Studie integriert. Sechs Monate postoperativ wurden die behandelten Zähne extrahiert und das Hart- und Weichgewebe histologisch ausgewertet. Als Ergebnis zeigte sich, dass die Heilung überwiegend durch die Ausbildung eines langen Saumepithels entlang der instrumentierten Wurzeloberfläche charakterisiert war.
In zwei Fällen konnte eine stellenweise Zementneubildung mit inserierenden Kollagenfasern entlang der instrumentierten Wurzeloberfläche beobachtet werden. Es konnten keine Anzeichen für thermische Nebeneffekte nachgewiesen werden. Klinisch zeigten sich bei allen Patienten eine Reduktion der Taschentiefe und ein klinischer Attachmentlevelgewinn.
Zusammenfassend belegen diese Untersuchungen die Eignung des Er:YAG-Lasers mit Energieeinstellungen von 160mJ/pulse bei 10 Hz und Wasserkühlung auf dem Indikationsgebiet der offenen Kürettage. In keinem der geschilderten Studien konnte eine Schädigung der Zähne oder des umliegenden parodontalen Gewebes nachgewiesen werden, tendenziell scheint die Anwendung des Lasers die Bildung eines neuen bindegewebigen Attachments zu fördern.
In der Parodontologie wurden unterschiedliche Lasersysteme zur Konkremententfernung untersucht. Zwar zeichnen sich der Dioden-, Nd:YAG- und der CO2-Laser durch ein hohes bakterizides Potenzial und eine ausgeprägte hämostatische Wirkung aus, die eigentliche Konkrementenfernung stellt sich jedoch als sehr schwierig dar und macht eine mechanische subgingivale Instrumentierung unumgänglich. Zudem ist bei Anwendung dieser Lasersysteme eine irreversible thermische Schädigung der Pulpa und der Wurzeloberfläche nicht auszuschließen. Diese Tatsache ließ in den vergangenen Jahren den Er:YAG-Laser für dieses Indikationsgebiet immer mehr ins Zentrum des Interesses rücken.
Sasaki et al. konnten beobachten, dass die Bestrahlung der Wurzeloberfläche mit einem Er:YAG-Laser bei Energieeinstellungen von 40mJ/Puls und 10 Hz (14,2 J/cm2) unter Verwendung von Wasserkühlung keine chemischen Veränderungen des Wurzelzements oder des Dentins nach sich zogen. In einer weiteren Untersuchung von Sasaki et al. wurde beobachtet, dass mittels eines Er:YAG-Lasers bestrahltes Wurzelzement und Dentin frei von toxischen Substanzen wie Cyanaten (NCO_) oder Cyanamiden (NCN2-) war, welche dagegen nach Anwendung eines CO2- oder Nd:YAG-Lasers nachgewiesen werden konnten.
Die Anwendung des Er:YAG-Lasers scheint zusammenfassend auf diesem Gebiet ein probates Mittel zu sein: sein Laserlicht dient zur Abtragung von subgingivalen Konkrementen, zur Entfernung von entzündlich verändertem, parodontalen Granulationsgewebe bei gleichzeitiger Keimreduktion und fördert durch eine Verzögerung des Epitheltiefenwachstums parodontale Regenerationsprozesse. Ishikawa et al. schlussfolgerten 2004 in ihrer Studie, dass der Er:YAG-Laser ein effizientes Hilfsmittel in der Parodontaltherapie darstellt, wenn auch weitere klinische Studien bis zur routinemäßigen Anwendung erforderlich sind.
Mizutani et al. konnten in einer Tierstudie zeigen, dass der Er:YAG-Laser in der Parodontalchirurgie nicht nur sicher und effektiv eingesetzt werden kann, sondern zusätzlich die Bildung neuen Alveolarknochens begünstigt und fördert.
2007 untersuchten Gutknecht, Mir und Moghare Abed die Oberflächenbeschaffenheit von Wurzeln nach laserunterstütztem Scaling und Root Planing während der offenen Kürettage und empfehlen für diese Indikation den Einsatz des Er:YAG-Lasers bei kleineren Frequenzen mit längeren Pulsen (Fotona Fidelis II, Slovenien). Aus diesem Grunde wurde für den folgenden Patientenfall die neueste Generation dieses Lasersystems (Fotona Fidelis III) zum Einsatz gebracht. Die Energieeinstellungen orientieren sich an den aktuellsten Veröffentlichungen.
Fallbeispiel
Anamnese und Befund
Die Patientin war zu Behandlungsbeginn 49 Jahre alt und befand sich in einem guten Allgemeinzustand. Sämtliche Schleimhäute des Rachenrings, des Mundbodens, der Zunge, des harten und weichen Gaumens sowie der Wange und der Lippe waren ohne pathologische Befunde. Alle Zähne waren klinisch unauffällig und reagierten mit Ausnahme des Zahnes 36 auf den durchgeführten CO2-Kältetest sensibel. Es fanden sich lokalisiert weiche und harte supragingivale Beläge. Von der Patientin liegt eine aktuelle Panoramaschichtaufnahme vom 21.05.2007 vor, die im Rahmen der Vorbehandlungsmaßnahmen angefertigt wurde. Darauf findet sich ein parodontal geschädigtes Gebiss mit horizontalem und vertikalen Knochenabbau, der bis ins mittlere, teilweise untere Wurzeldrittel reicht, sowie Furkationsbefall der Molaren 36 und 46. Es gibt keine Hinweise auf Zysten, entzündete Kieferhöhlen oder chronisch apikale Parodontitis.
Der Knochenabbau liegt zwischen zwei und neun Millimetern, gemessen als Distanz zwischen Schmelz-Zement-Grenze und Limbus alveolaris. Es zeigt sich an den Zähnen 14 und 15 ein vertikaler Knochendefekt, der bis in das apikale Wurzeldrittel reicht (Abb. 1). Klinisch zeigten die Zähne 14 und 15 präoperativ einen Lockerungsgrad von 2.

Abb. 1: Präoperatives OPT Abb. 2: Deepithelialisierung
Therapie
Zunächst erfolgte neben einer ausführlichen Aufklärung der Patientin die Entfernung harter und weicher Beläge im Sinne einer professionellen Zahnreinigung. Die korrektiv-chirurgische Therapie wurde als Lappenoperation in Regiones 14/15 mittels Er:YAG-laserunterstützter offener Kürettage (Er:YAG, Fotona Fidelis III, RO 14 Handstück) in Kombination mit Knochenersatzmaterial (Bio-Oss®) durchgeführt.
Nach entsprechender Lokalanästhesie wurde zunächst eine Deepithelialisierung der Gingiva propria bis in die Mucosa vestibularis auf einer Distanz von etwa 8 bis 10 mm vorgenommen (Abb. 2). Die Energieeinstellungen betrugen 15 Hz, 120 mJ bei VLP (800μs) ohne Luft und Wasserkühlung im non-contact. Anschließend wurde ein vollmobilisierter Mukoperiostlappen (modifizierter Widman-Flap) nach bukkal mobilisiert.
Es erfolgte die Entfernung des Granulationsgewebes (10 Hz, 120mJ, LP) und die Bearbeitung der Wurzeloberflächen sowie des interdentalen Gewebes und Knochens (10 Hz, 120mJ VSP) unter Wasser- und Luftkühlung. Bei diesen Energieeinstellungen ist die thermische Belastung extrem gering und damit eine thermische Schädigung des Hartgewebes nicht zu erwarten. Nach Applikation xenogenen Knochenersatzmaterials (Bio-Oss®, Geistlich Biomaterials Deutschland) auf die gesäuberten Wurzeloberflächen wurde der Lappen remoblilisiert (Abb. 3 und 4) und vernäht.

Abb. 3 und 4: Einbringung von Bio-Oss®.

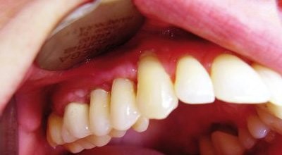
Abb. 5 und 6: Klinische Situation vier Wochen postoperativ.
Diskussion
Die Abbildungen 5 und 6 zeigen die klinische Situation genau vier Wochen nach dem chirurgischen Eingriff. Der postoperative Heilungsverlauf verlief komplikationslos. Es kam zu keinen postoperativen Beschwerden, wie Schwellungen oder Entzündungen. Ebenso gab es keine allergischen Reaktionen oder Unverträglichkeitsreaktionen auf die verwendeten Materialien.
Zusammenfassung
Obwohl zurzeit nur wenige Studien existieren, die die Eignung des Er:YAG-Lasers im Bereich der Parodontaltherapie untersucht haben, scheint die Anwendung dieses Lasersystems sinnvoll, da er in der Lage ist, sowohl ulzeriertes Taschenepithel wirksam zu entfernen, aber auch subgingivale Konkremente effektiv zu beseitigen. Der Er:YAG-Laser zeichnet sich durch ein hohes bakterizides Potenzial auf parodontopathogene Keime aus. Beobachtet wurden ähnliche und bessere Reduktion der Taschentiefe durch Einsatz des Lasers im Vergleich zur mechanischen Behandlung, analog verhält es sich mit dem Blutungsindex. In keiner Untersuchung konnten jedoch das Auftreten von Karbonisationen oder Verschmelzungen beobachtet werden, wie sie nach Nd:YAG- und CO2-Laserbehandlung beschrieben wurden. Ein wesentlicher Vorteil besteht darüber hinaus darin, dass die meisten Patienten diese Behandlung als angenehmer und stressfreier empfinden.
Eine Literaturliste kann in der Redaktion angefordert werden.
Autoren: Prof. Dr. Norbert Gutknecht, Dr. Maziar Mir, Dr. Frank Bäumchen/Aachen