Cosmetic Dentistry 24.11.2015

Digitales Smile Design nach Coachman



Digitales Smile Design nach Coachman

Foto: © Autor

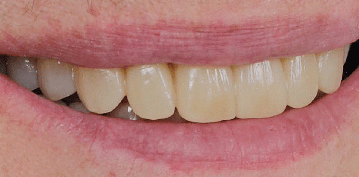
Mithilfe des Digitalen Smile Designs ist es möglich, die dentale Behandlung präzise zu planen und dem Patienten bereits vor ihrem Beginn einen Ausblick auf die möglichen Endergebnisse zu liefern. Mit einer Variation des Verfahrens nach Coachman erzielt der Autor eine noch bessere und standardisierte Bilddokumentation.

Das Digitale Smile Design (DSD) von Christian

Coachman ist ein integraler Bestandteil der täglichen Praxisarbeit des Autors. Dieses ganzheitliche Konzept verbessert deutlich die Qualität der Behandlungsplanung, erhöht die Patientenakzeptanz durch die emotionale Präsentation des realistisch möglichen Behandlungsergebnisses und steigert schließlich bedeutend die funktionelle und ästhetische definitive Versorgung. Das DSD-Konzept setzt der Autor als bekannt voraus, möchten aber einige Ergänzungen vorstellen. Neben der generellen Befundaufnahme ist es ganz entscheidend, ein optimales Ausgangsfoto auszuwählen, da auf diesem die weitere Planung basiert. Hierzu hat Christian Coachman im Foto- und Video-Protokoll hilfreiche Hinweise gegeben. Aufgrund seiner Erfahrungen schlägt der Autor vor, manchmal ein nach seiner Meinung mehr standardisiertes Vorgehen zu verwenden.

Methode Kopfstütze

Zuerst sollte genau beobachtet werden, wie der Patient in verschiedenen Situationen den Kopf hält, spricht, lacht und wie die Augenhorizontale angeordnet ist. Die Parameter werden notiert und bei jeder weiteren Messung verwendet. Falls eine CMD-Behandlung nötig ist, werden die Werte nach Abschluss der CMD-Therapie verifiziert. Eine opthalmologische Kopfstütze benutzt der Autor für die primären frontalen Fotos. Dabei richtet er den Patienten in allen Ebenen genau aus. Der Vorteil hierbei ist, dass der Kopf an der Stirn- und Kinnstütze gut fixiert ist. Somit ist auch bei notwendigen nachfolgenden Messungen im Verlaufsprozess immer eine annähernd gleiche Position gewährleistet. Der Autor verwenden die frontalen Fotos für das Mock-up zur Patientenpräsentation, nach Präparation zur Einstellung des Oberkiefermodells in der Horizontal- und Vertikalebene, für Bissnahmen sowie zur Überprüfung von Mock-ups, Rohbrand- und definitiven Einproben. Die Bildbeispiele demonstrieren, ohne näher auf das Smile Design einzugehen, dass auch im täglichen Praxisablauf das DSD-Konzept sehr praxisorientiert und zielführend ist. Es spart Behandlungszeit am Patienten, da Kronen, Veneers oder Totalprothesen sofort in allen Ebenen nahezu korrekt ausgerichtet sind und notwendige Korrekturen deutlich minimiert werden.

Zusammenfassung

In verschiedenen Fallbeispielen zeigt der Autor einen weiterentwickelten Aspekt im Konzept des DSD von Christian Coachman. Die Methode Kopfstütze kann zu besseren, standardisierten frontalen Fotos beitragen. Das DSD-Konzept führt effektiv zu einer besseren Qualität der Patientenbehandlung und ist ein sehr gutes visuelles Hilfsmittel für den Patienten und das Behandlerteam.

Danksagung:

ZTM Sergei Müller, Müller & Trovato Zahntechnik GmbH, Neckaraue 24, 71686 Remseck am Neckar

Die Literaturliste kann hier heruntergeladen werden.

Mehr Fachartikel aus Cosmetic Dentistry

ePaper