Zur Übersicht
Profil
authorImage

Univ.-Doz. Dr. Johann Beck-Mannagetta

Univ. Doz. Dr. Johann Beck-Mannagetta
FA für Mund-, Kiefer- und Gesichtschirurgie
Karl-Illner-Str. 11
5020 Salzburg
Deutschland
Vita anzeigen

Kurzvita

Artikel auf ZWP online

articleImage
Prophylaxe 26.04.2016

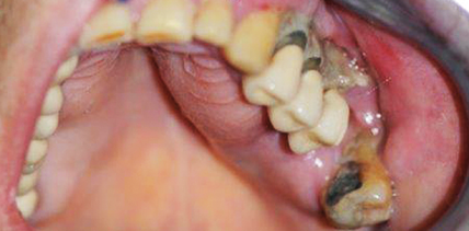
Patienten unter Tumortherapie

Die vorliegende Artikelserie soll einen Überblick über besondere Probleme der zahnärztlichen Behandlung onkologischer Patienten geben und für das gesamte Team eine Sensibilisierung bezüglich potenzieller Probleme schaffen. weiterlesen
articleImage
Prophylaxe 24.02.2016

Patienten unter Tumortherapie

Die vorliegende Artikelserie soll einen Überblick über besondere Probleme der zahnärztlichen Behandlung onkologischer Patienten geben und für das gesamte Team eine Sensibilisierung bezüglich potenzieller Probleme schaffen. weiterlesen

Artikel in Publikationen

Erwähnungen auf ZWP online

ePaper