Cosmetic Dentistry 07.03.2019

Kieferorthopädisch-parodontologische Kombinationstherapie



Kieferorthopädisch-parodontologische Kombinationstherapie

Ästhetik als Schwerpunkt

Die Anzahl der Patienten, die den Zahnarzt aus ästhetischen Gründen aufsuchen, wächst täglich. Zudem wünschen sie – angelehnt an den Gesundheitstrend in der Ernährung – eine medizinische Lösung, die möglichst frei von Nebenwirkungen, Ersatzmaterialien und Fremdkörpern zu erreichen ist. Ein Zahnarzt kann sich heute vor allem abheben, wenn er dem Patienten eindeutig sagen kann, wo er ästhetisch enden wird. Ein großer Vorteil ist zudem, wenn die Behandlung auch tatsächlich von einem einzigen Zahnarzt durchgeführt wird, denn eine exakte Planung wird besonders bei Kombinationstherapien erschwert.

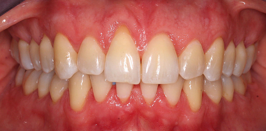
Ästhetische Verbesserungen sind nur an gesunden Zähnen möglich, daher ist es oftmals erforderlich, im Vorfeld entsprechende Kombinationstherapien vorzunehmen. Im vorliegenden Fall hatte die Patientin einen ganz einfachen Wunsch: Die Front sollte so natürlich wie möglich erhalten bleiben und die Zähne dennoch schön sein. Zahnersatz lehnte sie grundsätzlich ab, da sie mit Mitte 50 ein gut erhaltenes, überwiegend naturgesundes Gebiss besaß (Abb. 1–3). Bei der Betrachtung der Ausgangsbefunde wurde deutlich, dass die Patientin keine parodontalen Vorerkrankungen aufwies und die Rezession an Zahn 11 als Folge einer Anteinklination des Zahns einzustufen war. Dies ist vor allem bei Kombinationsbehandlungen entscheidend, denn jeder parodontal vorgeschädigte Zahn muss zwingend vor einer möglichen kieferorthopädischen Behandlung auch parodontologisch therapiert werden. Erfolgt dies nicht, dann ist das ein sicherer Verlust für den Zahn. Sollte der Patient eine Parodontitis aufweisen, ist es daher zwingend notwendig, dass ca. sechs Wochen vor Beginn der kieferorthopädischen Therapie die Parodontalbehandlung professionell und erfolgreich abgeschlossen wurde. Bei Kombinationsfällen, bei denen die frontale Ästhetik im Vordergrund stehen muss, ist für den Erfolg entscheidend, dass ein exaktes Backward Planning erfolgt.

Im vorliegenden Fall wurde zunächst festgelegt, welche Art der kieferorthopädischen Behandlung am Erfolg versprechendsten war und inwiefern Zahn 11 für eine spätere parodontalchirurgische Maßnahme vorbereitet werden musste. Zudem war dem Patienten plausibel zu erklären, warum sich beispielsweise die Rezession während der kieferorthopädischen Behandlung verschlechtern könnte und wie diese im Anschluss zu beseitigen wäre.

Schritt 1: Kieferorthopädische Behandlung

Bei Patienten, die mitten im Leben stehen und oftmals berufsbedingt stark im Kundenkontakt eingespannt sind, ist es in der Regel ratsam, kieferorthopädische Techniken anzuwenden, die den Patienten nicht dazu zwingen, seine normalen Lebensgewohnheiten zu verändern. Alignersysteme, wie das von Invisalign, sind hier mit Sicherheit festen Apparaturen vorzuziehen. Neben den sehr geringen ästhetischen Beeinträchtigungen stellen diese Systeme keine neuen Anforderungen an die häusliche Mundhygiene, was die Behandlung vor allem bei erwachsenen Patienten deutlich einfacher macht. Grundsätzlich ist die Compliance dann recht stabil, wenn möglichst wenige Reizfaktoren in den oft stark eingefahrenen Alltag eingebracht werden.

Bei diesem Patientenfall wurde bei der Planung der Invisalign-Behandlung das Augenmerk auf die Staffelstellungen der Front in beiden Kiefern gelegt. Beim Zahn 11 musste im Hinblick auf eine spätere Rezessionsdeckung beachtet werden, dass wir mit der Kieferorthopädie einen interessanten Hebel zur Verfügung gestellt bekamen: die Extrusion des Einzelzahns. Diese Methode ermöglichte es uns, das Knochenniveau nach zervikal zu verlagern und die Breite der befestigten Gingiva zu optimieren. Der Inzisivus 11 wurde daher um 1 mm extrudiert. Die Bildung neuer zervikaler Knochenverhältnisse reduzierte das Risiko einer weiteren Reduktion der vestibulären Lamelle. Zudem wurde der Zahn noch retroinkliniert, sodass sich der Druck auf die vestibuläre Lamelle und somit die Gefahr einer weiteren Fraktur der dünnen Knochenbereiche reduzierte. Zudem half uns die Extrusion auch dabei, schwarze interdentale Dreiecke zu verhindern, die häufig durch die Derotation und Einstellung in der Front entstehen, da sich die Lage des Kontaktpunktes und damit der Abstand zum Knochen verändert.

Da es bei der Invisalign®-Behandlung von Kombinationsfällen in der Regel nicht ausreicht, dass ein Aligner-Set hergestellt wird, planten wir eine Mid-Course Correction (MCC) mit ein, da wir so sicher sein konnten, dass für die parodontalchirurgische Maßnahme auch alle Zahnbewegungen optimal abgeschlossen waren (Abb. 4–6). Anhand der Bilder der MCC-Planung wurde deutlich, dass die Rezession nun wesentlich breiter und abgegrenzter erschien und die in der Chirurgie oft schweren spaltenähnlichen Bereiche (im Sinne einer Stillman-Spalte) – wie auf dem Ausgangsbefund angedeutet – nicht mehr vorhanden waren. Dies führte dazu, dass wir intraoperativ weniger Probleme hatten, um den Lappen an seiner neuen Position zu adaptieren, und ästhetisch so optimal aufgestellt waren.

Nach Abschluss der kieferorthopädischen Behandlung war es notwendig, dass die Zähne retiniert wurden. Eine Überstellung von frontalen Engständen ist ohne eine dauerhafte Retention aus heutiger Sicht nicht denkbar, da es sicher zu einem Rezidiv kommen würde. Sie sollte heute mit mehrfach getwisteten Drähten erfolgen, die eine Vertikalbewegung der Zähne nach wie vor möglich machen. Feste Metalldrähte tragen das Risiko mit sich, dass es zu einer Veränderung in der ungünstigen Kraftverteilung innerhalb des Desmodonts kommt und somit ein partieller Abbau des Knochens möglich wird.

Schritt 2: Parodontalchirurgische Behandlung

Bei der Auswahl der parodontalchirurgischen Maßnahmen im Bereich der frontalen Ästhetik sind gleich mehrere Dinge zu beachten. Allen voran gilt der Grundsatz, dass derjenigen Therapie der Vorzug gegeben werden muss, die mit den geringsten postoperativen Risiken behaftet ist. In der Front geht es vor allem darum, sicherzustellen, dass es auch bei einem ungünstigen Heilungsverlauf zu keiner größeren Rezession, als der bereits vorhandenen, kommt.

Da wir durch die Extrusion des Zahns eine sehr günstige Situation erreichen konnten und die keratinisierte Gingiva nicht nur breit, sondern auch entsprechend dick ausgeprägt war, wurde für das operative Vorgehen eine Zucchelli-Technik ohne Entlastungsinzision gewählt. Diese bot hier den Vorteil, dass die Vorhersagbarkeit bei den vorliegenden anatomischen Verhältnissen sehr gut war. Zudem konnte bei dieser Technik ohne Entlastungsschnitte spannungsfrei vernäht werden, was für den Heilungsverlauf einer Rezession von entscheidender Bedeutung war. In der ästhetisch sehr sensiblen Front sollte grundsätzlich versucht werden, Entlastungsschnitte zu vermeiden, da diese oftmals unschöne Narbenzüge hinterlassen, die nicht mehr korrigierbar sind.

Im vorliegenden Fall wurde die Tiefe der Rezession vor Inzision auf die neue Papille übertragen. Sie erfolgte entsprechend der neuen Dimension. Durch reine Tunnelierung mit minimalinvasiven Instrumenten konnte der Lappen spannungsfrei positioniert werden. In der Regel erfolgt vorab eine Dekontamination und maschinelle Reinigung der freien Wurzeloberfläche, die zusätzlich durch die Konditionierung mit EDTA und der Einbringung von Schmelz-Matrix-Proteinen optimiert wird (Abb. 7–9). Zur optimalen Adaptation des Lappens wurde eine modifizierte Umschlingungsnaht mit ausschließlich monofilen Fäden angebracht, die sicherstellte, dass es zu keiner apikalen Verlagerung des Lappens während der Wundheilung kam. Postoperativ wurde ein Verband aus Coe-Pak angebracht, der aber unnötig wird, wenn man den Patient für die Reinigung in den ersten Tagen genau instruiert. Zudem hat der Verband aus meiner Sicht den Nachteil, dass eine Dekontamination während der Heilungsphase nicht möglich ist, auch wenn unterhalb des Coe-Pak ein bakterieller Speichelfilm vorhanden ist. Das Aufbringen von CHX-Gel in Verbindung mit Aureomycinsalbe kann hier die Wundheilung deutlich verbessern. Bei Aureomycin ist zu beachten, dass die klinische Wirksamkeit sehr gut ist, das Produkt sehr wohl aber ein Off-Label Use darstellt.

Nach 14 Tagen erfolgte die Entfernung der Fäden. Der Lappen hatte nach dieser Zeit eine so stabile Struktur, dass eine Apikalverlagerung nicht mehr möglich war (Abb. 10). Eine Reinigung sollte weitere sechs Wochen nicht durchgeführt werden. Auch nach dieser Zeitspanne war sie im Bereich des Lappens nur mit einer weichen Zahnbürste und einer ganz vorsichtigen Massage durchzuführen. Die Dekontamination erfolgte weiterhin mittels CHX-Gel. Nach sechs Monaten war dann eine normale Reinigung unbedenklich. Bereits sechs Wochen postoperativ war von dem operativen Eingriff kaum etwas zu erkennen, und die aktive Behandlung der Patientin wurde erfolgreich abgeschlossen (Abb. 11–13).

Fazit

Insgesamt ist die Vorhersagbarkeit bei kieferorthopädisch-parodontologischen Fällen dann gut, wenn die Planung entsprechend auf das gewünschte Ergebnis ausgerichtet wird. Insbesondere in der Parodontalchirurgie ist es nicht möglich, Fehler bei der Auswahl der geeigneten operativen Methode zu revidieren. Der Behandler hat dann Erfolg, wenn er die Techniken der ästhetischen Korrekturen im Bereich der Kieferorthopädie und Parodontologie kennt und beherrscht. Zum Abschluss kombinierter Behandlungen erfolgt in vielen Fällen ein Bleaching, um die Ästhetik noch deutlicher zu verbessern. Dies sollte aus meiner Sicht aber erst frühestens 16 Wochen postoperativ erfolgen.

Dieser Beitrag ist in Cosmetic Dentistry erschienen.

Foto: Dr. Martin Jaroch, M.Sc.

Mehr Fachartikel aus Cosmetic Dentistry

ePaper