Cosmetic Dentistry 12.02.2019

Behandlung einer Funktionsstörung mittels Bisslageveränderung



Behandlung einer Funktionsstörung mittels Bisslageveränderung

Foto: Autoren

Amelogenesis imperfecta

In diesem Beitrag wird die Behandlung einer Patientin (35 Jahre) mit guter allgemeiner Gesundheit vorgestellt. Die Ausgangssituation in diesem Patientenfall zeigt eine parafunktionell (Zähneknirschen) und erblich (Amelogenesis imperfecta) kompromittierte Frontbezahnung.

Der Erstbesuch und die Erhebung der allgemeinmedizinischen Anamnese erfolgte am 12. September 2016. Es liegen keine Grunderkrankungen vor. Die letzte zahnärztliche Behandlung fand vor einigen Tagen statt. Alio loco wurde eine Wurzelbehandlung an Zahn 16 aufgrund rezidivierender Beschwerden nochmals rekapituliert. Die Patientin wünscht nun eine zweite Meinung zum weiteren Vorgehen, da der Zahn stark druckempfindlich reagiert. Zudem interessiert sie sich für Veneers im Ober- und Unterkiefer-Frontzahnbereich. Sie weist darauf hin, dass die Frontzähne zusehends „kürzer“ und „unregelmäßiger“ würden. Sie wünscht sich daher eine langfristige Verbesserung der ästhetischen Situation mit keramischen Veneers. 

Die Patientin entscheidet sich nach der Aufklärung und eingehenden Beratung für eine Versorgung der Oberkieferfront mit minimalinvasiven „dünnen“ Veneers (0,3 mm „Non-Prep Veneers“). Sie legt großen Wert auf eine ästhetisch-funktionelle und dauerhafte Verbesserung ihrer orofazialen Ästhetik und steht einer notwendigen, umfangreichen ästhetisch-rekonstruktiven Rehabilitation aufgeschlossen gegenüber.

Klinischer Befund (Funktionsstatus)

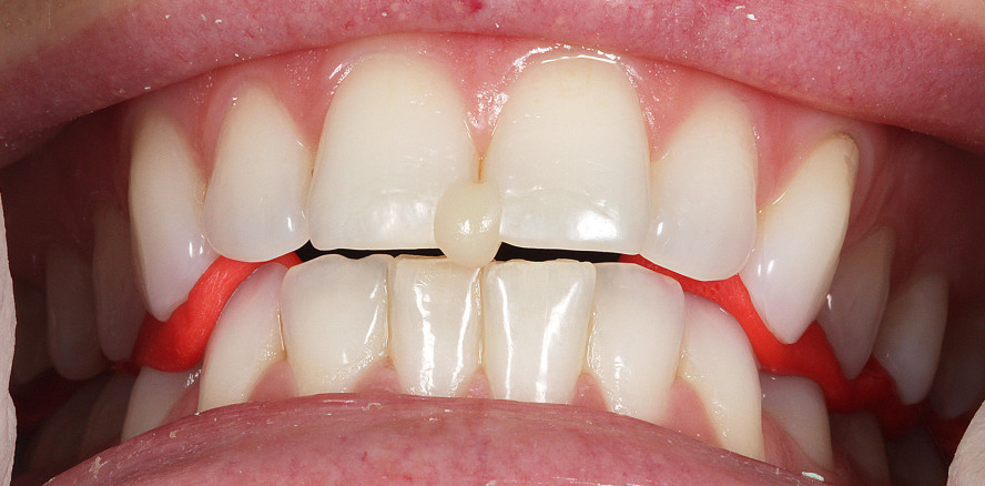
Die manuelle und klinische Funktionsanalyse lässt auf eine leichte parafunktionelle Aktivität schließen. Die Frontbezahnung zeigt Attritionsfacetten (Pressen/Knirschen; Abb. 1a). Es finden sich zudem Hyperbalancen an 17/47. Die manuelle Führung ergibt eine Abweichung in maximaler Interkuspidation (ohne Führung) und zentraler Kondylenposition (mit Führung). Die Kiefergelenke sind unauffällig, ebenso die Öffnungs- und Schließbewegungen, es gibt leichte Druckdolenzen der Muskulatur bei Palpation sowie gelegentliche leichte Kopfschmerzen.

Die Patientin wünscht sich eine perfekte Oberkiefer-Frontbezahnung (Abb. 1b). Das entspannte Lächeln zeigt knapp zwei Drittel der Länge der Frontzähne. Die Schneidekanten treffen beim Lächeln nicht auf die Unterlippe (berührungsinaktives Lächeln). Es zeigen sich, hauptsächlich bedingt durch die Parafunktion im Inzisalbereich der oberen Frontzähne, Schmelzabsplitterungen und, bedingt durch eine Amelogenesis imperfecta, „Stippelungen“ im oberen Kronendrittel der mittleren Frontzähne.

Es imponieren oval-rechteckige Zahnformen. Im Ober- und Unterkiefer zeigt sich ein ausreichendes Band an keratinisierter Gingiva, das Weichgewebe entspricht einem dünnen Biotyp. Der Alveolarfortsatz verläuft bukkal 2 mm unterhalb der Schmelz-Zement-Grenze (high-crest). Der Oberkiefer-Gingivaverlauf ist harmonisch (mittelhohe Lachlinie). Die anatomische Kauflächenstruktur in den Seitenzahnbereichen ist durch die vorhergehende Kompositfüllungstherapie größtenteils erhalten geblieben.

Das Längen-Breiten-Verhältnis der zentralen Schneidezähne beträgt 90 Prozent (Idealvorstellung ca. 80 Prozent). Die Frontzähne zeigen leichte Attritionen (Zähne 11, 21). Der Verlauf der Inzisallinie 13–23 ist positiv. Es zeigt sich eine Stippelung des Zahnschmelzes (Amelogenesis imperfecta) im apikalen Kronendrittel der oberen 1er und 2er. Neben den erwähnten Abrasionen im Ober- und Unterkiefer-Frontzahnbereich erscheinen die seitlichen Schneidezähne leicht nach palatinal versetzt. Der Engstand in der Unterkieferfront soll (vorerst) unbehandelt bleiben, da der Oberkiefer erste Priorität hat und die Behandlung des Unterkiefers zu einem späteren Zeitpunkt durchgeführt werden soll. Die Zahnfarbe ist dem Alter entsprechend natürlich. Die Patientin wünscht sich dennoch im Rahmen der Rehabilitation eine dezente Aufhellung der Zahnfarbe.

Diagnosen

Zahn 28 ist nicht erhaltungswürdig (Elongation). Es gibt eine leichte Amelogenesis imperfecta an den Zähnen 11, 21 und 22, eine insuffiziente Wurzelfüllung an 16 mit apikaler Aufhellung und ein prothetisch und konservierend insuffizient versorgtes Erwachsenengebiss. Zudem finden sich funktionell Locked Occlusion (steile Höcker), eine leichte Myopathie rechts, eine Störung der dynamischen Okklusion (ungenügende Eckzahnführung, Elongation 28), Schmelzabsprengungen sowie Facetten (Attritionen Oberkiefer-/Unterkiefer-Frontzahnbereich, Latero- und Protrusionsfacetten Front- und Seitenzahnbereich).

Behandlungsplan

  • Situationsmodelle, Axiografie, Wax-up/Mock-up
  • Dentalhygiene
  • chirurgische Vorbehandlung
  • mikroskopische Wurzelspitzenresektion an Zahn 16 aufgrund diffuser Beschwerden (manchmal dumpf, leichter Druck „je nach Wetterlage“)
  • Verschluss mit MTA, Extraktion von Zahn 28 (Alternativtherapien für Zahn 16 wurden mit der Patientin ausführlich besprochen und abgewägt)
  • Reparaturfüllung Komposit 36/Rekonturierung, Entfernung Füllungsüberschüsse 36, 45 und 46 (aus finanziellen Gründen)
  • Schienenvorbehandlung/Kieferphysiotherapie (für 6–8 Wochen)
  • In-Office-Bleaching
  • Non-Prep Veneers 13–23 (Creation „Willi Geller“, KLEMA, Österreich)
  • Präparation des Oberkiefer- und Seitenzahnbereichs (4–6 beidseits) für eine Presskeramikteilkrone
  • Etablierung einer neuen vertikalen und horizontalen Relation des Unterkiefers in ZKP (zentrischer Kondylenposition) nach Austestung der Lageveränderung (ZKP) mit CAD/CAM
  • gefräste provisorische Teilkronen im Oberkiefer (Temp Basic, Zirkonzahn)
  • Kompositaufbauten 17/27 in ZKP (aus finanziellen Gründen)
  • Abformung, Kieferrelationsbestimmung in ZKP
  • Gesichtsbogenübertragung, Anproben und definitive Eingliederung in den Folgesitzungen
  • Nachkontrolle

Behandlungsablauf

  • Prophylaxesitzung einschließlich Reevaluation und professioneller Zahnreinigung, In-Office-Bleaching Ober- und Unterkiefer-Frontsegment 3–3 (Opalescence®Boost 35 Prozent, Ultradent) für 45 Minuten (3 x 15 Minuten)
  • Abformung Ober- und Unterkieferalginat, Fotostatus, klinische u. instrumentelle Funktionsanalyse (Abb. 11)
  • Bruxchecker-Folie zur Visualisierung des Press- und Knirschverhaltens
  • Axiografie, anatomische Gesichtsbogenübertragung (Condylograph comfort, Gamma Dental)
  • Bestimmung der Idealwinkel der Zähne aus frontaler Sicht mit dem Clinometer nach Dr. Behrend (Amann Girrbach; Abb. 12)
  • Wax-up
  • Zentrikbissnahme, Herstellung Michiganschiene (Schienenvorbehandlung für 6–8 Wochen; Abb. 13)
  • Diskussion über Wurzelfüllungsrevision Zahn 16: Wurzelfüllung dicht und blasenfrei, Zahn wurde aufgrund persistierender Beschwerden alio loco revidiert erneute Revision aufgrund überinstrumentierter, weiter apikaler Foramina fraglich, zudem bestand Gefahr weiterer Dislokation des (z. T. überstopften) Wurzelfüllmaterials, deshalb mit Patientin für Wurzelspitzenresektion entschieden. Patientin ist über Risiko Misserfolg (Wurzelfraktur, Verletzung mesiobukkale Wurzel 17, persistierende Entzündung nach Eingriff) informiert
  • Wurzelspitzenresektion an Zahn 16: Schnittführung an Mukogingivalgrenze bis Regio 7
  • keine Entlastungsinzision
  • Osteotomie mit Piezosurgery-Verschluss des Wurzelkanals mit MTA (ProRoot MTA, Dentsply), Nahtverschluss mit 7/0 monofilamentem Polyvinylidenfluorid, (Seralene®, Serag Wiessner, sieben Tage postoperativ)
  • Mock-up 13–23 mit Silikonschlüssel (gefertigt auf Wax-up-Modell; Abb. 14)
  • Testveneeranprobe mit anschließender Phonetikprobe (Patientin wünscht „quadratisch kurze“ Variante und ist von dem voluminöseren Erscheinungsbild der Non-Prep Veneers begeistert; Abb. 15)
  • Präparation der Seitenzähne im Oberkiefer in lokaler Anästhesie (Articain 1:100.000, Aventis) unter Zuhilfenahme einer Lupenbrille (4,5-fache Vergrößerung, Zeiss) Präparation 13–23 zur Aufnahme von Teilkronenrestaurationen (Hohlkehldiamant 886-012 M, ökoDENT und Finierer FG 8878/014, Komet; Abb. 16) 4–6 beidseits
  • zweifache Abdrucknahme der präparierten Zähne mittels Doppelfadentechnik
  • Einbringen eines ersten getränkten (Racestyptine solution, Septodont) Fadens (Ultrapak® 0, Ultradent), über welchen ein zweiter getränkter Faden größeren Durchmessers gelegt wird (Ultrapak® 1, Ultradent)
  • Wartezeit bis zur Abdrucknahme mit den gelegten Fäden etwa zehn Minuten

Die Abdrucknahme erfolgt nach der Entfernung des zuletzt gelegten Fadens (der zuerst gelegte Faden geringeren Durchmessers verbleibt im Sulkus) mittels eines A-Silikons in Doppelmischtechnik einzeitig. Die Umspritzung der präparierten Zähne erfolgt mit dünnfließendem Material (Express™ Ultra-Light Body, 3M™ESPE™), und wird dann zusammen mit dem zuvorin den Abdrucklöffel (Rim-Lock®, DeTrey) eingebrachtenschwerfließenden Material (Express™ Penta Putty, 3M™ ESPE™) abgeformt. Die Kieferrelationbestimmung wird mit thermoplastischem Kunststoff (Bite Compound, GC, Japan) vorgenommen. Die Gegenkieferabformung (Unterkiefer) wird mit Alginat (Alginat, Cadco) durchgeführt. Die provisorische Versorgung der präparierten Zähne erfolgt mittels Silikonschlüssel (via Wax-up angefertigt) und Protemp 3 Garant A1 (3™ ESPE™). Die Chairsideprovisorien werden nach Ausarbeitung und Kontrolle von Randpassgenauigkeit und Okklusion durch punktförmige Schmelzätzung mit 35-prozentiger Phosphorsäure, Primen und Bonden mit Syntac® Classic (Ivoclar Vivadent) eingegliedert. Die CAD/CAM-gefertigten Testteilkronen (Temp Basic, Zirkonzahn) werden zur Austestung der neuen Bisslage in ZKP für vier Wochen eingesetzt.

Die Anprobe der Feldspatkeramikveneers (CreationCC, Creation Willi Geller, KLEMA) erfolgt mit Glyceringel (Variolink® II Try-In, Ivoclar Vivadent). Es folgt die Kontrolle auf Randpassung, exakten Sitz sowie die Überprüfung der Okklusion, Artikulation und Phonetik.Danach wird die definitive Versorgung im Oberkiefer eingegliedert. Zum Einsetzen der Veneers wird nach vorherigem Abstrahlen (Rondoflex plus, KaVo) mit Aluminiumoxidpulver der Korngröße 27 mm (Rondoflex plus, KaVo) und Schmelzätzung mit 35 Prozent Phosphorsäure (Ultra-Etch®, Ultradent) eine selektive adhäsive Befestigung der zuvor geätzten und silanisierten (Monobond-S Silan, Ivoclar Vivadent) Feldspatkeramik-Veneers (Creation CC, Creation Willi Geller, KLEMA) und Presskeramik-Seitenzahnrestaurationen (IPS e.maxPress, Ivoclar Vivadent) mit Syntac® Classic (Ivoclar Vivadent) und Empress® Direct Enamel A1 (Ivoclar Vivadent) vorgenommen (Abb. 19, 20).

Den Abschluss der Behandlung bildet die ausführliche und detaillierte Besprechung des ästhetischen Ergebnisses mit der Patientin, die Abschlusskontrolle sämtlicher funktioneller und ästhetischer Parameter sowie die Nachkontrolle und Erhebung der Abschlussbefunde. Die Aufbissschiene sowie Nachkontrollen werden eingegliedert, und die Patientin wird ins Nachsorgeprogramm aufgenommen.

Diskussion

Im vorliegenden Fall handelt es sich um eine aufwendig ästhetisch-rekonstruktive Rehabilitation2, mit deren Ergebnis sich die Patientin vollumfänglich zufrieden zeigt. Seitens des Behandlers wurde eine Verlängerung der klinischen Kronen 13–23 (prothetisch) mit einhergehender Korrektur der Eckzahnführung (additiv) sowie eine Bisslageveränderung in ZKP angeregt.4 Die Versorgung der Frontzähne sollte im Non-Prep Design umgesetzt werden. Die Rehabilitation mit Non-Prep Veneers7 geschah auf Wunsch der Patientin. Alternativ hätte auch eine Versorgung mit dünnen Prep Veneers durchgeführt werden können5, um den Volumenzuwachs zu kompensieren; jedoch entschied sich die Patientin nach Anprobe eines Non-Prep Testveneers zugunsten der zahnsubstanzschonenderen Variante. Zudem legte sie Wert auf eine „voluminösere“ Ausführung.

Eine weitere Alternative wäre, ausschließlich mit Komposit oder kombiniert mit Veneers und Komposit zu arbeiten.6 Die gegenüber Keramik verminderte Abrasionsresistenz und ein damit verbundener zyklischer Erneuerungsbedarf der Kompositrestaurationen sprachen wiederum für die prothetische Versorgung. Zudem zeichnet sich Keramik durch bessere biologische (Plaqueakkumulation) und materialspezifische Eigenschaften (Farbtransluzenz und Beständigkeit) gegenüber Komposit aus.8 Somit war auch angesichts des mittleren Alters der Patientin und dem Wunsch einer langfristig ästhetischen Versorgung Rechnung getragen.1,5 Einem regelmäßigen Recall steht die Patientin sehr aufgeschlossen gegenüber. Abschließend betrachtet, stellt sich das Behandlungsergebnis auch für den Behandler in ästhetisch-rekonstruktiver Hinsicht als Erfolg dar. Die Prognose ist aufgrund der wiederhergestellten Front-Eckzahn-Führung4 sowie der Bisslage in ZKP aus funktioneller Sicht betrachtet als sehr positiv zu werten. Parodontal liegen keine Entzündungen vor. Die Patientin ist gesund. Das Tragen einer Nachtschiene wurde der Patientin empfohlen und wird auch konsequent befolgt. Die manuelle und klinische Funktionsanalyse ergab keinen auffälligen Befund. Für die dynamische Okklusion wurde eine Front-Eckzahngeschützte Variante programmiert. Die manuelle Führung ergab keine Abweichung in maximaler Interkuspidation (ohne Führung) und zentraler Kondylenposition (mit Führung). Die Kiefergelenke sind unauffällig (kein Reiben, kein Knacken), ebenso die Öffnungs- und Schließbewegungen, es gibt leichte Druckdolenzen der Muskulatur bei Palpation.

Der Gingivaverlauf ist harmonisch (mittelhohe Lachlinie). Das Weichgewebe um die Restaurationsränder zeigt eine hervorragende Integration. Die Interdentalpapillen sind zwei Monate nach dem Einsetzen wieder vollständig gereift (Abstand Sounding-Präpgrenze/Approximalkontakt < 5mm). Die Verlängerung der gesamten Oberkieferfront um ca. 2 mm empfindet die Patientin als sehr attraktiv, das entspannte Lächeln zeigt fast die gesamte Frontzahnreihe. Der Schneidekantenverlauf folgt der Konkavität der Unterlippe. Die größeren und längeren Schneide- und Eckzähne sowie die kleine Stellungskorrektur der beiden seitlichen Schneidezähne fügen sich harmonisch in das Gesamtbild der Restbezahnung ein und schenken der Patientin ein attraktives Erscheinungsbild (Abb. 21). Form, Größe und Charakterisierung durch den ausführenden Zahntechniker (Transparenz, Transluzenz) sowie die Oberflächenstruktur (Textur) der keramischen Veneers zeigen ein ansprechendes Ergebnis. Das Längen-Breiten-Verhältnis beträgt nun circa 80 Prozent (Länge 11 mm, Breite 8 mm). Die leicht nach distal rotierten seitlichen Schneidezähne konnten durch die Einzelzahnrestaurationen etwas ausgeglichen werden. Durch die „Verlängerung“ der Eckzähne konnte gezielt eine gute Front-Eckzahn-Führung in die Veneers-Restaurationen eingearbeitet werden. Die Zahnfarbe entspricht nun ganz den Vorstellungen der Patientin (A1 Bleach, Creation Willi Geller, KLEMA). Es zeigt sich hinsichtlich der Länge (Lächeln), Form, Farbe und Stellung der Zähne sowie der rosa Ästhetik ein ansprechendes dentogingivales Erscheinungsbild. Die unteren Frontzähne haben leichten Kontakt auf den Palatinalflächen der oberen Eck- und Schneidezähne. Der Overbite beträgt durch die vergrößerten mittleren Restaurationen 3 mm, der Overjet 2 mm.

Die Literaturliste steht hier zum Download bereit.

Der Fachbeitrag ist in der cosmetic dentistry erschienen.

Mehr Fachartikel aus Cosmetic Dentistry

ePaper