Cosmetic Dentistry 21.02.2011

Ästhetisch-kosmetische Sanierung mittels Hypnose

Zahnärztliche Behandlungen lösen bei vielen Patienten erhebliche Angst aus, was oft zu Vermeidungsstrategien führt. Meist sind die Folgen für die Zahngesundheit so erheblich, dass eine ästhetisch-kosmetische Behandlung nötig wird. Einen möglichen Weg aus der Zahnbehandlungsangst stellt der Einsatz klinischer Hypnose dar. Die vorliegende Fallbeschreibung einer zahnärztlichen Gesamtsanierung unter Einsatz moderner medizinischer Hypnose stellt den Ablauf der Behandlung dar.

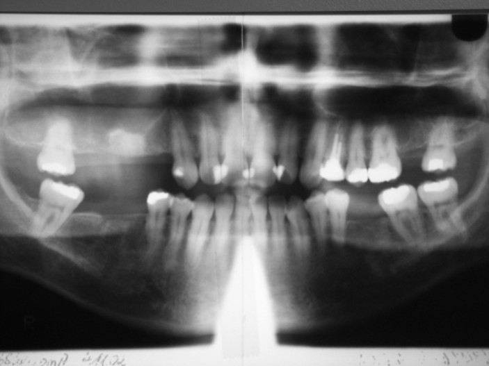
Am 5.12.2000 stellte sich die zu dem Zeitpunkt 30-jährige Patientin erstmalig in unserer Praxis vor. Aufgrund von starken Zahnbehandlungsängsten vermied die Patientin trotz gelegentlich starker Zahnschmerzen seit über zehn Jahren den Besuch beim Zahnarzt. Die mittlerweile auch im sichtbaren Bereich entstandenen Zahnschäden ließen aber letztendlich den Leidensdruck der Patientin so stark ansteigen, dass sie sich an unsere Praxis mit der Bitte einer Zahnbehandlung unter Einsatz zahnärztlicher Hypnose wandte. Beim ersten Termin wurde das Aufklärungsgespräch über Hypnose durchgeführt und die zu erwartenden Investitionen besprochen. Um den zu erwartenden Sanierungsbedarf einiger-maßen abschätzen zu können, wurde ein Orthopantomogramm (OPG) an­gefertigt (Abb. 1). Nach genauer Ex­ploration der die Angst auslösenden Faktoren erfolgte eine positive Zielorientierung hin zu einer entspannten Zahnbehandlung.


Schrittweise Heranführung an die Hypnose

Der zweite Termin beinhaltete eine Hypnosesitzung ohne zahnärztliche Therapie. Insbesondere bei phobischen Patienten mit einem jahrelangen Vermeidungsverhalten ist die schrittweise Heranführung der Patienten an eine zahnärztliche Behandlung von besonderer Bedeutung. Ein vor der eigentlichen Hypnoseinduktion durchgeführter Suggestibilitätstest, zum Einsatz kamen die sogenannten Mesmer’schen Passes, half die Eignung der Patientin für die Hypnose zu verifizieren. Es erfolgte eine konservatorische Tranceinduktion sowie daran anschließend die Vertiefung des Trancezustandes durch die Utilisation eines hypnotischen Phänomens, der sog. Armlevitation (Abb. 4). Durch spezielle Suggestionen wurde das innere Erleben der Patientin auf ein für sie besonders positiv besetztes Erlebnis gelenkt. Diese emotionale schöne Erfahrung wurde im weiteren Verlauf der Hypnose „geankert“. Einen Anker kann man als externen Reiz de­finieren, der einen bestimmten inne­ren Zustand oder eine innere Reaktion auslöst. Das Neuro-Linguistische-Programmieren (NLP) bietet mit der Ankertechnik eine einfach zu erlernende und sehr wirksame Methode einen positiven inneren Zustand immer wieder durch einen äußeren Reiz, wie z.B. eine Be­rührung an der Schulter, abzurufen. Im Nachgespräch wurde die Patientin über ihre Hypnoseerfahrungen befragt. Sowohl die eigene Erfahrung der Patientin mit dem Phänomen Trance wie auch die Einschätzung des Behandlers über die Hypnotisierbarkeit führten zu dem Ergebnis, dass auch für die weitere The­rapie der Einsatz von Hypnose als sinn­voll und hilfreich angesehen wurde.

Ästhetischer Erfolg nach mehreren Sitzungen

Wenige Tage nach der ersten Hypnosesitzung erfolgte nach dem Prinzip der kleinen Schritte eine erste konservierende Behandlung unter Hypnose. Vor Beginn der Sitzung wurde mit der Patientin klar das Behandlungsziel für diesen Termin definiert. Zahn 12 und Zahn 11 sollten unter Einsatz von Lokalanästhesie mit je einer Füllung versehen werden. Insbesondere bei phobischen Patienten ist für eine adäquate Schmerzausschaltung unbedingt Sorge zu tragen. Eine ausreichende Anästhesiedosis verbunden mit einer adäquaten Einwirkungszeit helfen eine Schmerzfreiheit sicherzustellen. Auch diese Sitzung verlief in der Einschätzung der Patientin sehr zufriedenstellend. Nach einer weiteren konservierenden Behandlung konnte ein stetiger Angstabbau aufseiten der Patientin beobachtet werden. In der dritten Behandlungs­sitzung war es bereits möglich, eine, von vielen Patienten gefürchtete, Wurzel­kanalbehandlung durchzuführen. Ab diesem Zeitpunkt konnte auf eine zeitaufwendige Induktions- und Vertiefungstechnik zum Etablieren des hypnotischen Zustandes völlig verzichtet werden. Zum Einsatz kam die CD „Beim Zahnarzt in Hypnose“ von Albrecht Schmierer, die über spezielle Kopfhörer (QuietComfort – Acoustic Noise Cancelling Headphones, Firma Bose) der Patientin eingespielt wurden (Abb. 5).

Da eine ausreichende Compliance seitens der Patientin als gesichert angesehen werden konnte, erfolgte zu diesem Zeitpunkt die Planung für die komplette Restauration des stark geschädigten Gebisses. Neben mehreren aufwendigen Extraktionen und Osteotomien der zerstörten Zähne erfolgte die Etablierung einer adäquaten Mundhygiene durch ein entsprechendes Prophylaxeprogramm. Die mit der Patientin vereinbarten Termine wurden von ihr konsequent eingehalten. Aufgrund starker beruflicher Beanspruchung umfasste die Vorbehandlung den Zeitraum eines Jahres (Abb. 2). An einer inzwischen völlig angstfreien Patientin konnte nun die abschließende prothetische Therapie vorgenommen werden. Insgesamt wurden zwei Brücken und eine Krone zur Wiederherstellung der Funktion und der Ästhetik eingegliedert (Abb. 3). Seit Abschluss der Gesamtsanierung befindet sich die Patientin im permanenten Recall zum langfristigen Erhalt des erreichten Zustandes.

Die Angst vorm Zahnarzt

Der Einsatz von Hypnose in der Zahnheilkunde hat eine lange Geschichte. Während bis zum Beginn des 20. Jahrhunderts eine hypnotische Schmerzausschaltung im Vordergrund des Interesses stand, erweiterte sich parallel zur Entwicklung der modernen Lokalanästhetika das Indikationsspektrum der Hypnose in der Zahnmedizin (Rauch, 2006). Der Gang zum Zahnarzt ist auch in Zeiten moderner Lokalanästhetika für viele Menschen mit unguten Gefühlen verbunden. Ausgelöst werden diese Angstreaktionen häufig durch frühere Erfahrungen mit (zahn-)ärztlichen Tätigkeiten, die durch negative Vorstellungsbilder noch verstärkt werden. Selten werden dabei die tatsächlich zu erwartenden Situationen richtig eingeschätzt, es genügen die mitgebrachten Phantasien oder die Erzählungen anderer, die selbst die einfachste Behandlung zu Stress werden lassen (Chaves u. Brown, 1987). Schlechter Schlaf in der Nacht vor dem Termin, Appetitlosigkeit, Engegefühle und Verkrampftheit im Körper belasten viele Patienten schon bei der Vorstellung einer zahnärztlichen Behandlung (Raith u. Ebenbeck, 1986). Jöhren und Sartory (2002) gehen davon aus, dass lediglich 20 bis 30 Prozent aller Patienten angstfrei zu einer zahnärztlichen Behandlung erscheinen. Die Autoren summieren unter dem Begriff „Zahnbehandlungsangst“ alle psychologischen und physiologischen Aus­prägungen eines unangenehmen, aber nicht krankhaften Gefühls, das sich gegen eine vermeintliche oder tatsäch­liche Bedrohung im Zusammenhang mit einer Zahnbehandlung oder mit ihr verbundener Stimuli richtet. Die wohl deutlichste Konsequenz einer extremen Angst vor der Zahnbehandlung ist die völlige Vermeidung notwendiger zahnmedizinischer Versorgung. Gerade durch das Umgehen der angstauslösenden Situation unterscheidet sich der Patient mit einer Angsterkrankung von einem normal ängstlichen Patienten (Kaufman et al. 1991).
Umgekehrt stellt der Umgang mit dieser Klientel eine Belastung für den Behandler dar. Zwei Drittel der Zahnärzte ge­ben an, dass die Angst ihrer Patienten ein großes Problem für sie darstellt (Edmonts, D.H., Roosen, R. 1989). Nach einer Studie von Quast (1994) empfinden 81,2 Prozent den täglichen Umgang mit Angstpatienten als mehr oder weniger belastend. Parallel zu Innovationen hinsichtlich der Technik besteht innerhalb der Zahnmedizin ein hohes Interesse an Verfahren zur Stressreduktion und Anxiolyse. Viele in der allgemeinen Medizin etablierte pharmakologische Optionen (Prämedikation, Sedierung, Analgosedierung, Lachgasinhalation, Vollnarkose) sind durch ihren organi­satorischen und technischen Aufwand, Nebenwirkungen, Risiken und Kosten mit nicht zu vernachlässigenden Nachteilen behaftet und stehen ferner Zahnmedizinern im Normalfall nicht zur Verfügung. Psychologische Ansätze im Sinne der Verhaltenstherapie oder der kognitiven Therapie benötigen einen ausgebildeten Psychothe­rapeuten und disqualifizieren sich so durch den zeitlichen Vorlauf und Aufwand sowie fraglich prognostizierbare Effizienz zumindest für einen routinemäßigen Einsatz in der zahnärztlichen Praxis.

Der Trancezustand als Lösungsansatz

Anders dagegen die moderne medizi­nische Hypnose. Bei der insbesondere durch den amerikanischen Psychiater Milton Erickson (1901–1980) maßgeblich beeinflussten Hypnose kommen Auto- und Fremdsuggestionen zum Einsatz, welche u.a. zur Anxiolyse, Relaxation und zur Analgesie während (zahn-)medizinischer Eingriffe dienen (Hermes, 2004). Ohne dass bislang eine abschließende wissenschaftliche Erklärung für das Zustandekommen von Trancezuständen gefunden werden konnte, lassen sich durch die von Erickson formulierten Techniken bei bis zu 90 Prozent der Patienten unterschiedlich tiefe Trancezustände induzieren (Erickson, M.H. u. Rossi, E.L., 1981). In einer kürzlich durchgeführten Untersuchung über die Akzeptanz der Hypnose in der Zahnheilkunde belegen die Studienergebnisse eine hohe Akzeptanz klinischer Hypnose bei zahnärztlichen Patienten (Rauch, 2008).

Der durch die Hypnose induzierte Zustand der Trance ist ein körperlichgeistiger Zustand fokussierter, innerer Aufmerksamkeit, der sich im EEG über die sog. Alpha-Wellen nachweisen lässt und geprägt ist durch tiefe mentale und körperliche Entspannung (London, Cooper u. Engstrone, 1974). Trance ist ein völlig natürliches Phänomen und wird seit jeher und in vielen Kulturen weltweit auch dazu benutzt, um zu heilen – sich selbst oder andere (Bongartz u. Bongartz, 1987). Über Hypnose und Trance wird seit vielen Jahren intensiv geforscht. Speziell über den Einsatz von Hypnose in der Zahnheilkunde sind in jüngerer Zeit in Deutschland zwei Ha­bilitationen geschrieben worden (Hermes, 2004, Eitner, 2005).

Durch die Hypnose als spezielle Kommunikationsform wird der Patient in angenehmer Weise körperlich und geis­tig entspannt. Er liegt mit geschlossenen Augen auf dem Behandlungsstuhl, seine Muskeln sind locker, er gibt – bildlich gesprochen – den Mund zur Reparatur ab. Er ist mit seinem inneren Erleben z.B. mit einem schönen Urlaubsaufenthalt oder anderen positiv besetzten Erinnerungen auf das Angenehmste beschäftigt, reagiert aber auf Ansprechen und behält seine natürlichen Reflexe. Der Patient ist nicht „weg“ in einem wie auch immer definierten Nirwana, sondern erlebt die Behandlung dissoziiert, wie durch einen Nebel quasi aus eini­ger Entfernung. Patienten beschreiben ihre Wahrnehmungen von der zahnärztlichen Therapie mit Formulierungen wie: „Ich habe schon mitbekommen, dass Sie meinen Zahn präpariert haben. Aber es war mir nicht so wichtig. Es war irgendwie weit weg von mir.“

Fazit: Hypnose als hilfreiche Option

Ein weitverbreitetes Vorurteil in der Kollegenschaft besteht in der Annahme, dass der Einsatz von Hypnose einen hohen Zeitaufwand bedeutet, der im hektischen Praxisalltag nicht zu bewerkstelligen sei. In dem oben beschriebenen Fallbericht bestand der zusätzliche Zeitaufwand in einer Trainingshypnose-Sitzung von 45 Minuten Dauer sowie zwei Hypnoseeinleitun­gen vor den konservierenden Behandlungen à 15 Minuten. Dieser Zeitaufwand wurde der Patientin nach vorhe­riger Aufklärung und Einwilligung separat in Rechnung gestellt. Im weiteren Verlauf der Behandlung konnte sogar eine Zeitersparnis festgestellt wer­den, da alle Therapien ohne jegliche Zwischenfragen, Mundausspülen oder sonstigen Zeitverzögerungen seitens der Patientin durchgeführt werden konnten.

Klinische Hypnose stellt eine nicht­invasive und bei Patienten akzeptierte Möglichkeit zur Behandlung von Patienten mit extremer Zahnbehandlungsangst dar. Die klinische Hypnose bietet den Patienten einen erhöhten Behandlungskomfort während zahnmedizinischer Behandlungen und dem zahnärztlichen Team eine deutliche Verbesserung der Arbeitssituation bei ängstlichen Patienten. Neben weiteren Fallberichten sollten valide und entsprechend publizierte Studien die Praktikabilität und Effektivität im Praxisalltag weiter evaluieren und helfen, eventuelle Vorbehalte in der Kollegenschaft gegenüber diesem fas­zinierenden und effektiven Verfahren abzubauen.

Autor: Prof. Dr. med. dent. Christian Rauch


Mehr Fachartikel aus Cosmetic Dentistry

ePaper