Cosmetic Dentistry 22.01.2018

Zahnimplantate – Von der Planung im Team zum ästhetischen Gesamterfolg



Zahnimplantate – Von der Planung im Team zum ästhetischen Gesamterfolg

Foto: Autoren

Zahnlose Patienten mit Zahnersatz zu versorgen, stellt in der Zahnmedizin eine der größten Herausforderungen dar. Die zahnärztliche Implantologie bietet heutzutage jedoch eine Vielzahl an Möglichkeiten. Neben der klassischen Totalprothese können verschiedene Formen von implantatverankertem Zahnersatz angeboten werden.

Erfolge mit Totalprothesen ohne eine Verankerung durch Zahnimplantate sind nur durch einen hohen Aufwand – stark abhängig vom fachlichen Können und auch von den Voraussetzungen des Prothesenlagers – mit sehr variablen Ergebnissen zu erzielen.

Im Bereich der Implantologie sind die Anzahl und die Befestigung des Zahnersatzes beim zahnlosen Patienten ebenfalls sehr variabel. Rein implantatgetragener Zahnersatz beim zahnlosen Kiefer ist standardmäßig auf sechs Implantaten abgestützt, wobei im Oberkiefer auch mehr als sechs Implantate, im Unterkiefer in Ausnahmefällen auch lediglich vier Implantate notwendig sein können. Nach der aktuellen S3-Leitlinie sollen vier Implantate im Oberkiefer nur mit einer herausnehmbaren Suprakonstruktion versorgt werden.

Das All-on-4-System bietet durch die provisorische, festsitzende Sofortversorgung Vorteile, aber auch höhere Risiken durch die Sofortbelastung und in der Folge einen prothetischen Misserfolg, wenn nur ein Implantat verloren gehen sollte. Im Folgenden wird die Systematik einer verschraubten Suprakonstruktion aus Zirkon mit jeweils sechs Implantaten im Ober- und Unterkiefer gezeigt. Die Herstellung verschraubter Kunststoffprototypen lässt bei dem hier gezeigten Vorgehen alle Details der Ästhetik, Phonetik und Funktion vor Umsetzung in die definitive Arbeit auch über einen längeren Zeitraum überprüfen.

Patientenfall

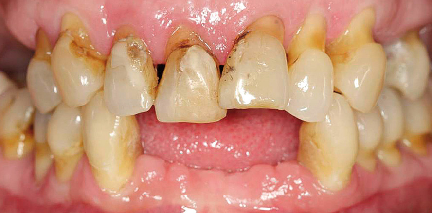
Die 53-jährige Patientin kam in unsere Praxis mit der Fragestellung, welche Möglichkeiten bei ihr für einen festsitzenden Zahnersatz bestehen würden. Die bisher behandelnde Zahnärztin hatte ihr gesagt, dass alle noch verbliebenen Zähne aufgrund der parodontalen Verhältnisse entfernt werden müssen (Abb. 1). Von der Zahnärztin wurden bereits Ober- und Unterkiefertotalprothesen als Interimsersatz hergestellt. Im Rahmen einer zahnmedizinischen Notfallbehandlung mussten bei der Erstkonsultation in unserer Praxis die vier Unterkieferfrontzähne kurzfristig aufgrund der starken Lockerungen entfernt (Abb. 2) und eine Interimsprothese eingesetzt werden.

Nach der Befundaufnahme folgten eine ausführliche Beratung und ein Planungsgespräch mit der Patientin über Implantate und die festsitzenden Möglichkeiten. Welche Wünsche und Vorstellungen hat die Patientin an den Zahnersatz? Wie sind die finanziellen Vorstellungen und mit welcher Implantatanzahl und welchem Material lässt sich das bewerkstelligen? Wie soll der zeitliche Ablauf erfolgen? Welche Vorstellungen gibt es bezüglich der Handhabung und Ästhetik? Wie kann gewährleistet werden, dass die Erwartungen und Wünsche der Patientin erfüllt werden?

Schnell wurde klar, dass für die Patientin nur ein festsitzender, hochwertiger Zahnersatz infrage kam. Insofern wurden ein Kostenplan und der zeitliche Ablauf der Behandlung festgelegt. Dabei war ihr wichtig, die bereits alio loco angefertigten Interimsprothesen als Provisorium zu verwenden.

Im ersten chirurgischen Schritt wurden die verbliebenen Oberkieferzähne entfernt, zwei externe Sinuslifts durchgeführt und zwei temporäre Implantate (K.S.I. Bauer-Schraube) Regio 13 und 23 mit Kugelkopf inseriert. Die vorhandene Oberkieferinterimstotale wurde mit einem Knopfmatrizensystem an den sofortbelasteten temporären Implantaten verankert. Hierüber war die Lage der Interimsprothese gesichert und die Augmentationsbereiche sowie die später inserierten Implantate nicht belastet (Abb. 3).

Im zweiten Schritt erfolgte die Entfernung der restlichen Unterkieferzähne mit der simultanen Implantation (CAMLOG-Implantate), die Augmentation der Restalveolen und die Insertion der temporären Implantate Regio 33 und 43 in einem Schritt mit Befestigung der UK-Interimstotalprothese. Im dritten und letzten Schritt wurden die Implantate im OK nach Planung mittels einer Simulation im DVT (Beispiel in Abb. 4) und nach Doublierung der Interimsprothese als intraoperative Bohrschablone eingesetzt (Abb. 5).

Die Situation des Oberkiefers zu Beginn der prothetischen Versorgung mit den osseointegrierten Implantaten zeigt die Abbildung 6. Da bei der Vielzahl der Implantate eine spannungsfreie verschraubte Suprakonstruktion geplant war, ist es wichtig, die Abformungsschritte sehr detailliert durchzuführen.In einem ersten Abformungsschritt werden geschlossene CAMLOG-Abdruckpfosten eingesetzt und Alginatabformungen durchgeführt. Im Labor werden dann offene Abdruckpfosten mit Pattern Resin (GC) verblockt und anschließend mit einer Trennscheibe fein getrennt (Abb. 7). Danach wurde ein passgenauer individueller Abformlöffel aus Formatray (Kerr) im Labor hergestellt. Hierbei ist es wichtig, dass die individuelle Pattern-Verblockung im Löffel ausgespart wird und gerade eben auf Höhe der Verblockung endet (Beispiel Abb. 8).

Im Mund werden diese Trennungen dann nach dem Einschrauben der offenen Implantatabdruckpfosten mit Pattern Resin geschlossen und ein Abdruck mit Impregum™ Penta™ (3M ESPE) durchgeführt. An den offenen Löffelstellen, an denen die offenen Abdruckpfosten herausstehen, wird das überschüssige Abformmaterial entfernt. Nach der Aushärtung des Abdruckmaterials werden die Verblockungen dann mit weiterem Pattern Resin am individuellen Löffel verankert (Abb. 9). Die Schrumpfung des Pattern Resin wird durch die Trennung im Labor und den nur kleinen Verbund der Trennungsstelle im Mund minimiert. Zudem erhält man eine sehr stabile Verankerung der Abdruckpfosten untereinander und simultan mit dem Abdrucklöffel. Nur so ist eine absolut sichere und bewegungsfreie Abformung der Implantatpfosten möglich (Abb. 10).

Eine erste, provisorische Registrierung erfolgte auf den vorhandenen Interimsprothesen mit einer Wachszentrikplatte. Diese waren weitgehend bewegungsfrei, da sie auf den provisorischen Implantaten und Gingivaformern abgestützt wurden.

Im Labor

Im Folgenden wurde zunächst ein verschraubter Prototyp auf Grundlage der Wünsche der Patientin zur Austestung der Ästhetik, Phonetik und der Funktion erstellt. Der Patientin war es wichtig, eine in Form und Farbe idealisierte Rekonstruktion zu erhalten. Die Lage der angefertigten Modelle wurde hierzu zunächst mittels der im PlaneFinder® (Zirkonzahn® in Zusammenarbeit mit ZTM Udo Plaster) ermittelten Ebenen der natürlichen Kopfhaltung (NHP = Natural Head Position) in den Artikulator PS1 (Zirkonzahn®) übertragen und der Gegenkiefer unter Zuhilfenahme der Interimsprothesen in der provisorischen zentrischen Relation montiert. Die Bisshöhe wurde zunächst provisorisch von den Interimsprothesen übernommen. Virtuell stellten wir für die Konstruktion der Prototypen neue Zähne auf und richteten sie nach den gemessenen Winkeln der Ala-Tragus-Linie aus. Die basale Gestaltung auf der Zahnfleischmaske wurde oval ausgeformt und für die Reinigungsfähigkeit die Interdentalbereiche jeweils mesial und distal der Implantate durchgängig konstruiert.

Nach dem Ausfräsen aus einem Kunststoffblank mit natürlichem Farbverlauf (Multistratum® Flexible, Zirkonzahn®) wurden die einteiligen Brücken ausgearbeitet, mit den Titanbasen (ZZ-Base®, Zirkonzahn®) verklebt und die gingivalen Anteile mit zahnfarbenem, lichthärtendem Komposit (Gingiva-Composites, Zirkonzahn®) verblendet, um optimal ästhetische Zahnlängen gestalten zu können und den atrophierten Kieferkammbereich auszufüllen (Abb. 11).

Durch die korrekte Positionierung und Übertragung in den Artikulator mussten Kauebenenverlauf und Mittellinie nicht korrigiert werden. Diese Prototypen wurden von der Patientin insgesamt zwölf Wochen getragen. Die Bisshöhe sollte wegen der vorhandenen Mundwinkelrhagaden mit dem Prototypen angehoben werden, musste aber bedingt durch den Sprechabstand wieder etwas abgesenkt werden (Abb. 12 und 13). In diesem Zeitraum konnte die Patientin alle Aspekte des neuen Zahnersatzes austesten. Insbesondere schleift sich während der dreimonatigen Tragdauer die Funktion im Kunststoff weiter ein.

Vor Umsetzung in den definitiven Zahnersatz wurde die Schleimhautsituation nochmals drucklos erfasst. Dabei wurden die Prototypen mit Abformmaterial R-SI-Line Light SH von R-dental unterspritzt. Es erfolgte eine Feinzentrik mit laborgefertigten Zentrikplatten auf den Prototypen. Für die Umsetzung in der Zahntechnik werden die Prototypen nochmals einen Tag im Labor benötigt. Solange wurden die vorhandenen Interimsprothesen als Provisorium für diese Arbeitsschritte wieder eingesetzt. Bis zum definitiven Eingliedern der fertigen Zirkonarbeit konnten die Prototypen von der Patientin weiterhin getragen werden.

Die neu erstellten Modelle artikulierten wir wieder in die NHP (Abb. 14), die Prototypen scannten wir als Wax-up ein und rechneten sie auf die neue Gingivasituation (Abb. 15 und 16). Die Implantate in Regio 12 und 22 konnten aus ästhetischen Gründen (Austrittsöffnung der Schraubenkanäle auf der Labialfläche) nicht okklusal verschraubt werden, sondern wurden auf die Implantate durch die Titanbasen ohne Verschraubung abgestützt.

Die digitale Modellation wurde in Prettau® Zirkon (Zirkonzahn®) gefräst, individuell eingefärbt und gesintert (Abb. 17). Die gewünschte helle Zahnfarbe der vestibulären und die ausgewählte Zahnfarbe der gingivalen Anteile verblendeten wir mit ICE Zirkon Keramik (Zirkonzahn®), während okklusal und die basalen Auflagen aus Zirkon glasiert und auf Hochglanz poliert wurden (Abb. 18). Für die Patientin stellte das Einsetzen der Zirkonbrücken keine Veränderung der erarbeiteten Ästhetik und der gewohnten Funktionsabläufe dar, da diese von den Prototypen übernommen werden konnten (Abb. 19–21). Die temporären Implantate konnten hierzu komplikationslos ohne Anästhesie herausgeschraubt werden. Die Abutmentschrauben werden zum definitiven Einsetzen mit 25 Ncm angezogen und die Kanäle mit weißem Teflonband und einer gnathologischen Deckfüllung aus Kunststoff verschlossen.

Fazit

Um ästhetisch und funktionell ein sehr gutes Ergebnis zu erzielen, ist es wichtig, im Vorfeld alle Wünsche und Vorstellungen mit der Patientin abzustimmen und diese in der konsequenten Planungsumsetzung in einen Prototyp münden zu lassen. Entscheidender Faktor bei einer rein implantatgetragenen Versorgung ist die spannungsfreie Suprakonstruktion, insofern muss die Abformungsgenauigkeit so hoch wie möglich gehalten werden. Des Weiteren ist ausreichend Zeit zur Testung der Prototypen mit erforderlichen Korrekturphasen bis zur Umsetzung in den definitiven Ersatz aus Zirkon notwendig. Änderungen an der definitiven Arbeit sollen möglichst nicht mehr vorgenommen werden. Vorteil der aus Prettau® Zirkon hergestellten Arbeit ist das Entfallen des „Chippings“ der Keramikverblendung. Es werden nur die vestibulären, nicht kautragenden Bereiche verblendet. Dadurch ist die Arbeit extrem langlebig und nahezu verschleißfrei. Um die Langlebigkeit der neuen Brücken zu gewährleisten, müssen sie reinigungsfähig gestaltet werden. Die Auflageflächen des extrem hochverdichteten Prettau® Zirkons liegen auf der Gingiva dicht auf, das Material weist zudem praktisch keine Plaqueretention auf. Weiterhin sind die Implantatdurchtrittsstellen durch Führungsrillen jeweils mesial und distal mit Interdentalbürsten reinigungsfähig gestaltet. Eine intensive Pflege und regelmäßige Intensivreinigungen durch das Prophylaxeteam sind unentbehrlich.

Der Beitrag ist in der cosmetic dentistry 4/2017 erschienen.

Mehr Fachartikel aus Cosmetic Dentistry

ePaper