Cosmetic Dentistry 22.03.2017

Durch strukturierte Therapieplanung zu einem strahlenden Lächeln

Durch strukturierte Therapieplanung zu einem strahlenden Lächeln

Foto: © Autoren

Dank zahlreicher empirischer Studien stehen der modernen Zahnmedizin diverse Orientierungshilfen und Parameter zur Verfügung, die bei der Umsetzung ästhetischer Behandlungsziele zu Rate gezogen werden können. Neben funktionellen und finanziellen Aspekten wünschen Patienten in allen zahnmedizinischen Teildisziplinen vermehrt ästhetisch zufriedenstellende Resultate. Dabei ist eine detaillierte und strukturierte Vorgehensweise, besonders in der Planungsphase, von großer Bedeutung für die spätere Eingliederung hochästhetischer Restaurationen. Eine enge Zusammenarbeit von Patient, Behandler und Zahntechniker ist dabei entscheidend, um ein möglichst vorhersagbares und zufriedenstellendes Endresultat zu erreichen. 

Der vorliegende Patientenfall stellt eine umfassende Behandlung vor, die im Zuge der studentischen Behandlung 
im Zahnambulatorium der Danube 
Private University in Krems an der 
Donau unter der Leitung von Prof. Dr. 
Dr. Junker durchgeführt wurde. Der 
Fallbericht präsentiert einen prothetischen Lückenschluss multipler Diastemata im Oberkiefer mittels vollkeramischer Kronen.

Nach Abschluss einer generalsanierenden Behandlung und Erzielung kariesfreier sowie parodontal gesunder Verhältnisse dominierten bimaxillär multiple Diastemata. Die ausgeprägten Lücken liegen diagnostisch einem starken 
Missverhältnis von Zahn- und Kiefergröße zugrunde. Dieser Befund von 
zu kleinen Zähnen in Kombination mit verhältnismäßig zu großen Kieferdimensionen schließt kieferorthopädische Behandlungsalternativen aus. Eine Verbesserung des Gesamterscheinungsbildes kann nur durch restaurativ-kosmetische Maßnahmen erzielt werden. Darüber hinaus wurde eine Zungendysfunktion mit einem ausgeprägten muskulären Tonus diagnostiziert. Dieser Befund erfordert eine 
simultane, indirekte Schienung zur 
späteren Retention des Behandlungsergebnisses nach Eingliederung der 
Restaurationen.

Dieser Patientenfall verdeutlicht komplexe Herausforderungen auf verschiedenen Ebenen, die eine strukturierte 
Erstellung eines detaillierten Therapiekonzepts erfordern. In der Rehabilitation der ästhetischen Zone steht die diagnostische Planung im Vordergrund und muss in stetiger Einbeziehung der Patientin erfolgen, um Missverständnisse zu vermeiden und ein reproduzierbares, zufriedenstellendes Resultat zu erreichen.  

Therapieplanung

Am Anfang der Behandlung stand die Erörterung der Bedürfnisse der Patientin in einem eingehenden Beratungsgespräch. Durch Erläuterung verschiedener Herangehensweisen wurde der Wunsch der Patientin nach einem vollständigen Lückenschluss im Oberkiefer deutlich. Die Patientin legte besonderen Stellenwert auf ein natürlich wirkendes, individuelles Ergebnis. Anschließend 
erfolgte die Erstellung eines extra- und intraoralen Fotostatus, welcher neben Situationsmodellen die Basis für eine fundierte Analyse der Ausgangssituation bildet. Zusammen mit dem Zahntechniker konnte nun ein Wax-up nach den Wünschen der Patientin erstellt werden. Durch die erhebliche Differenz der Ausgangssituation und des gewünschten Ergebnisses wurde der Bedarf von Einzelkronenversorgungen von 13 bis 24 ersichtlich, um die Rotationen und Diastemata auszugleichen. Aus Stabilitätsgründen war keine Veneerversorgung indiziert. Mitentscheidend war auch ein geringes Schmelzangebot 
aufgrund multipler, kleiner Kompositfüllungen in Regio 13 bis 24.

Eine aufgrund der Zungendysfunktion zu erwägende direkte Verblockung wurde durch die Möglichkeit einer 
indirekten Verblockung mittels einer Nachtschiene umgangen. Dies bietet 
für die parodontale Gesundheit der 
Patientin diverse Vorteile. Das Wax-up konnte anschließend dubliert werden, um eine flexible Tiefziehschiene (Miniplastschiene Erkodur 0,5 mm, Ø 120 mm, Erkodent) herzustellen. Diese Tiefziehschiene diente zur intraoralen Überführung des Wax-ups. Das intraorale Mock-up wurde mit einem dünnfließenden provisorischen Kunststoff (Luxatemp, DMG) durchgeführt.

Das Mock-up nimmt bei der Patientenkommunikation einen besonderen Stellenwert ein und dient der Visualisierung des möglichen Endergebnisses. Verbesserungswünsche seitens der Patientin können leichter artiku
liert und direkt durch Abtrag oder 
additive Modellation von Kunststoff 
umgesetzt werden. Für den Behandler dient das diagnostische Mock-up neben der Beurteilung ästhetischer Richtlinien auch einer funktionellen 
Analyse des Gingivaverlaufs, der Okklusion, der Sprach- und Schluckfunktion. Sind parodontalchirurgische Eingriffe zur Weichteilrevision bzw. Verbesserung der roten Ästhetik erforderlich, zeigt das Mock-up rechtzeitig den Behandlungsbedarf auf (Weichteilmanagement). Durch eine Alginatabformung wurde das erzielte Ergebnis festgehalten und diente stets als 
Orientierung.

Materialauswahl

Die Auswahl des passenden Werkstoffs bedarf in der Oberkieferfront nicht nur der Berücksichtigung funktioneller Aspekte, sondern muss darüber hinaus optische Eigenschaften, wie Transluzenz, Chroma und Farbwirkung erfüllen. Lithiumdisilikatkeramik zeichnet sich zum einen durch Stabilität und ausgezeichnete lichtleitende Eigenschaften1 aus. Die Biegefestigkeitswerte liegen zwischen 215 MPa und 440 MPa2, 3 und bieten die Grundlage zur Fertigung keramischer Restaurationen, welche den funktionellen und kosmetischen4 Anforderungen in der ästhetischen Zone gerecht werden. Die Entscheidung hinsichtlich des Herstellungsverfahrens fiel auf die Fertigung im Pressverfahren, welches von der Firma Ivoclar Vivadent (IPS e.max Press, Ivoclar Vivadent) angeboten wird. Diese Fertigungsmöglichkeit hebt sich durch einen sehr 
guten Randschluss5, 6 und überzeugende Langzeitergebnisse ab. Die von der DGPro veröffentlichte S3-Leitlinie 
zu dem Thema „Vollkeramische Kronen und Brücken“ kann orientierend 
bei der Materialauswahl dienen und sprach einen starken Konsens für die Verwendung von Lithiumdisilikat als Werkstoff aus. Im anterioren Bereich 
erreichen Lithiumdisilikatkronen Überlebensraten von 87,1 Prozent7  bis hin zu 100 Prozent8 nach neun Jahren. 

Probepräparation

Eine Probepräparation am Situationsmodell wurde durchgeführt, sodass mögliche Probleme im Voraus ersichtlich und eine strukturierte Vorgehensweise hinsichtlich einer substanzschonenden Präparation vorbereitet werden konnten. Die starke Proklination 
der Schneidezähne imponierte und musste durch eine ausgeprägte ästhetische Anschrägung ausgeglichen werden. Die Anlegung von horizontalen 
und vertikalen Orientierungsrillen ermöglichte eine zeitsparende Vorgehensweise, welche einen gleichmäßigen anatoformen Materialabtrag sicherstellte.

Therapeutische Intervention

Vor Beginn der Präparation wurde 
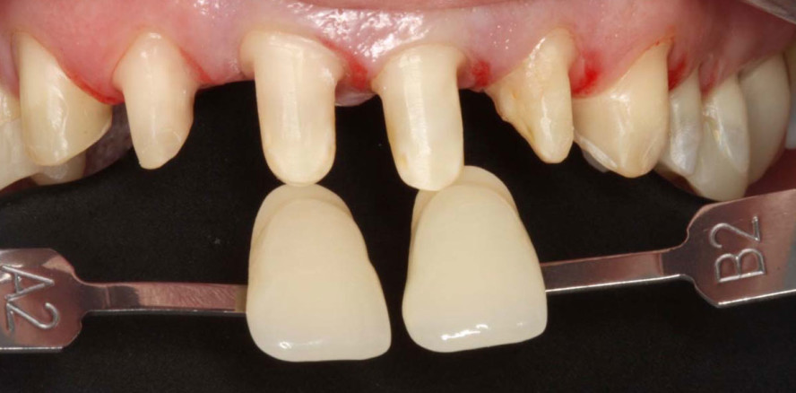
der Eingriffsbereich von 13 bis 24 lokal anästhesiert (Ultracain D-S, Sanofi-Aventis) und die Zahnfarbe bestimmt, um diese mit der Zielzahnfarbe zu 
vergleichen. Die bestimmte Zahnfarbe B2 deckte sich mit der gewünschten Kronenfarbe. Das Vorgehen der Präparation orientierte sich chronologisch an dem bereits ausgearbeiteten Vorgehen der Probepräparation. Silikonvorwälle dienten der Kontrolle des 
Substanzabtrags, sodass eine materialgerechte Präparation generiert wurde. Die Bestimmung der Stumpfzahnfarbe entscheidet maßgeblich die Auswahl des Keramikblocks.

Dieser Fall bot dank gleichfarbiger, 
vitaler Stümpfe in Kombination wenig verfärbter Kompositfüllungen eine hervorragende Grundlage für eine harmonische Farbangleichung. Mithilfe der bereits angefertigten Tiefziehschiene konnten Kunststoffprovisorien (Luxatemp, DMG) hergestellt und mit eugenolfreiem, provisorischem Zement (Freegenol, GC Germany) eingegliedert werden.

Die Abformung wurde nach sieben Tagen durchgeführt, um damit einen entzündungs- und blutungsfreien Zustand, welcher die Grundlage für eine problemlose Trockenlegung bildet, sicherzustellen. Die Präzisionsabformung im Doppelmischverfahren stellt die Basis für die weitere zahntechnische Fertigung dar und muss demnach mit der Lupenbrille auf Blasen, insbesondere im Randbereich, kontrolliert werden. Die Gegenkieferabformung mit 
Alginat (Alginat rosa normalhärtend, Omnident) und die Bissregistrierung (Exabite, GC Germany) erfolgten im 
Anschluss.

Die zahntechnische Fertigung wurde in fünf Tagen abgeschlossen. Es wurden e.max Ingots der Farbe MO1 in einer mittleren Opazität zur Fertigung von Käppchen verwendet, die im Anschluss mit IPS e.max Ceram Massen verblendet und mit IPS e.max Ceram Shade Farbmassen charakterisiert wurden. In der Erzielung der geeigneten Kronenform unter Berücksichtigung ästhetischer Guidelines lag die größte Herausforderung. Die Patientin weist längliche, schmale Gesichtszüge auf. Eine unverhältnismäßige Verbreiterung der Kronen würde sich unharmonisch auf die Gesichtsproportionen auswirken. Das in der Planungsphase erarbeitete Gestaltungskonzept erleichterte die zahntechnische Arbeit immens und diente stets der Orientierung.

Im Einsetztermin wurden die Provisorien unter lokaler Anästhesie entfernt und vorsichtig von Zementresten gereinigt. Es konnten entzündungs- und blutungsfreie Verhältnisse konstatiert werden, die eine optimale Grundlage 
für die spätere adhäsive Befestigung darstellten. Nach Einprobe der Kronen und Kontrolle der Passung mit Fit Checker (GC FitChecker, GC Germany) konnten die Kronen mit Try-In Pasten (Variolink Esthetic Try-In Paste, Ivoclar Vivadent) provisorisch eingesetzt werden. Dieser Schritt diente der erneuten Rücksprache mit der Patientin, die sehr zufrieden mit der Gestaltung der Kronen war.

Nach Vorbereitung der Restaurationen und der Zahnstümpfe konnten die 
Keramikkronen mit einem dualhärtenden Befestigungskomposit (Variolink Esthetic neutral, Ivoclar Vivadent) in einem neutralen Farbton inkorporiert werden. Im Anschluss erfolgte die 
Überschussentfernung mittels Scalern und die Überprüfung von Okklusionskontakten. Das Endergebnis überzeugte durch eine deutliche Verbesserung der weißen Ästhetik. Das neue Lachen der 
Patientin ist dank der kosmetisch-prothetischen Rehabilitation symmetrisch und fügt sich harmonisch in das freundliche Gesamtbild ein. Die große Veränderung wirkt sich nicht nur physisch, sondern auch psychisch auf 
die Selbstempfindung der Patientin 
aus und führte zu einem neuen gesteigerten Selbstbewusstsein.

Anhand der Vorher-Nachher-Fotos ist eine deutliche Verbesserung wichtiger ästhetischer Eckpunkte ersichtlich, die zu einem harmonischeren Erscheinungsbild beitragen:

  • Einhaltung der Mittellinie, Orientierung an Nasenspitze und Philtrum 
  • Achsenstellung der Zähne 
  • Schneidekantenverlauf an Unterlippe angepasst 
  • Eckzahnspitzen berühren leicht die Unterlippe 
  • geringer bukkaler Korridor 
  • Zähne im Seitenvergleich symmetrisch 
  • Zentrale Inzisivi bestimmen das Längen-Breiten-Verhältnis der Frontzähne und den Ersteindruck

Fazit

Die Erzielung ästhetischer Rekonstruktionen kann durch eine gezielte Materialauswahl unter Berücksichtigung 
der genannten Eckpfeiler ästhetischer Guidelines zu reproduzierbaren, zufriedenstellenden Resultaten führen. Der dargestellte Patientenfall stellt die Vorteile des materialgerechten Einsatzes von Lithiumdisilkatkeramik dar und 
kann dementsprechend eine Empfehlung für die Verwendung von e.max Press Restaurationen im ästhetisch
anspruchsvollen Frontzahngebiet aussprechen.

Autoren: Alexa Panhans, OÄ Dr. Yana Anastasova-Yoshida, Prof. Dr. Dr. Rüdiger Junker, M.Sc.

Eine vollständige Literaturliste finden Sie hier

Der Beitrag ist in der ZWP Zahnarzt Wirtschaft Praxis 03/2017 erschienen.

Ästhetik in der Traumatologie – Minimalinvasive Keramikversorgung einer Kronenfraktur
„Schwarze Dreiecke“ behandeln – Kronen, Veneers oder Komposite?
Mehr Fachartikel aus Cosmetic Dentistry

ePaper