Digitale Zahnmedizin 03.05.2011

Digitale Abformung von Primärkronen aus Zirkonoxid



Digitale Abformung von Primärkronen aus Zirkonoxid

Der schnelle technische Fortschritt ermöglicht viele Indikationen für die Anwendung der digitalen Abformung in der Zahnarztpraxis. Im folgenden Artikel werden anhand eines Fallberichts die Vorteile der digitalen Abformung für den Patienten, den Zahnarzt und den Zahntechniker dargestellt.

 

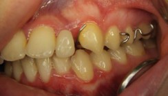
Ein 82-jähriger Patient war mit seiner insuffizienten Unterkiefer-Teleskopprothese zum Ersatz der Seitenzähne nicht mehr zufrieden. Die Frontzähne waren parodontal vorgeschädigt, jedoch fest. Der mit einem Schraubenaufbau versorgte und endodontisch behandelte Teleskop­pfeilerzahn 44 zeigte keine apikalen Veränderungen. Der Zahn 43 wurde zwei Jahre zuvor erfolgreich endodontisch behandelt und mit einem Glas­faserstift adhäsiv aufgebaut. Im Oberkiefer trägt der Patient eine Teleskopprothese.

 

 

Nach Erläuterung der Behandlungs­alternativen entschied sich der Patient für einen Teleskopzahnersatz unter Einbeziehung aller restlichen Unterkieferzähne. Die Primärkronen sollten aus Zirkoniumdioxid hergestellt werden – eine digitale Abformung mit dem Lava-C.O.S. (3M ESPE) bot sich hierfür an. Dieses Gerät ist in unserer Praxis seit Oktober 2009 erfolgreich im Einsatz. Nach einer Eingewöhnungsphase zum Erlernen der Scantechnik an Einzelzahnrestaurationen und kleineren Brücken wollten wir die Vorteile der digi­talen Abformung auch bei Kombi-Arbeiten nutzen. Bedingt durch den immer weiter steigenden Goldpreis wurden die Kostenunterschiede zwischen Hochgold-Primärkronen und Zirkoniumdioxid-Primärkronen immer geringer, sodass auch für den Patienten die Mehrkosten vertretbar sind. Trotz des hohen Alters wollte der Patient im Unterkiefer keine Goldkronen (wie im Oberkiefer) haben. Unter Lokalanästhesie wurde die Gold-Primärkrone entfernt und nach entsprechender Präparation bzw. Nachpräparation der Zähne erfolgte die Vorbereitung für die digitale Abformung mit dem intraoralen Scanner C.O.S. Es wurde je ein Faden (000, Ultrapak) mit  Surgident getränkter Lösung (Sigma Dental) in den Sulkus eingebracht. Die Mundöffnung wurde durch das Anlegen eines OptraGate (Ivoclar Vivadent) unterstützt. Anschließend wurden die Zähne nach vorsichtiger Trocknung leicht mit Scanpuder beschichtet (Abb. 1).

Einfacher Scanvorgang

Der Scanvorgang selbst ist, wenn alles gut vorbereitet ist, recht einfach durchzuführen. Beginnend von okklusal werden zuerst die präparierten Stümpfe erfasst und danach die angrenzenden Weichteile. In Echtzeit kann auf dem Touchscreenmonitor die Kontrolle der gescannten Bereiche erfolgen. Zwischenzeitlich kann der Scanvorgang unterbrochen werden, um das virtuelle Modell auf dem Monitor zu überprüfen. Hierfür ist der Touchscreenmonitor besonders auch aus hygienischen Gründen bestens geeignet. Seine Oberfläche kann leicht komplett desinfiziert und gereinigt werden. Sind alle Bereiche deutlich auf dem Monitor zu erkennen, wird der Gegenkiefer in gleicher Weise erfasst. Eine Kontrolle der Stufen, sowohl 2-D- als auch im 3-D-Ansicht, ist möglich. Abschließend wird ein intraoraler Zwischenbiss gescannt. Im vorliegenden Fall wurde der Biss mit zusätzlich angefertigten aufgesteckten Einzelzahnpro­visorien der distalen Zähne (32 und 44) fixiert und von frontal durchgeführt. Hierfür werden im Schlussbiss die Frontzähne von Ober- und Unterkiefer gescannt – der C.O.S. rechnet den virtu-ellen Biss in Sekundenschnelle für das gesamte Modell zusammen und zeigt das Ergebnis am Monitor (Abb. 2). Eine Kontrolle der Platzverhältnisse im okklusalen Bereich wird damit sofort möglich. Sind alle Bereiche exakt erfasst, werden die Reste vom Scan­puder abgespült. Der Patient wird mit entsprechenden Provisorien versorgt.

Bearbeitung im Labor

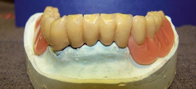
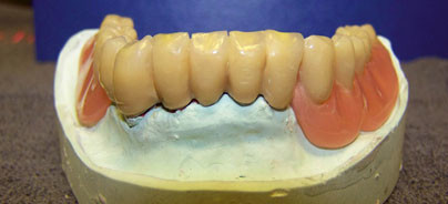
Das integrierte Auftragsmenü erleichtert dem Zahnarzt die Fertigstellung und den Online-Versand zur Bearbeitung an 3M ESPE. Die Daten wurden am nächsten Tag online auf dem Laborrechner empfangen und mit der C.O.S.-Laborsoftware vom Zahntech­niker (ZTM Ina Meißner) bearbeitet. Es erfolgen eine virtuelle Artikulation, die Festlegung von Sägeschnitten und die Markierung der Präparationsgrenzen sowie die Kennzeichnung der zu unterkehlenden Bereiche. Dem Zahntechniker stehen eine 2-D- und eine 3-D-Ansicht zur Verfügung (Abb. 3). Zum Abschluss erfolgt der Online-Versand zur Herstellung eines SLA-Mo-dells (LaStruttura, Italien). Ein weiterer Datensatz geht zum Fräszentrum. Dort werden die Daten über die Schnittstelle von 3Shape angenommen und zur Fräsung von Zirkoniumdioxid-Primärkronen (1 Grad konstruiert und gefräst) bearbeitet. Nach ca. drei Arbeitstagen kommen die Modelle und die Primärkronen wieder in das Labor und werden vom Zahntechniker entsprechend weiter bearbeitet (Abb. 4). Die ausgearbeiteten Primärkronen werden danach im Mund einprobiert. Passung und Friktion waren absolut überzeugend, mindestens ebenso gut wie nach einer konventionellen Abformung (Abb. 5).Anschließend erfolgte die Funktions- und Fixationsabformung mit Impregum Penta Soft (3M ESPE) und einem individuellen Löffel. Auf den anschließend auf 2 Grad nass gefrästen keramischen Primärkronen wurden im Labor Galvanosekundärteile angefertigt (Abb. 6). Die weiteren Laborarbeiten wurden dann auf dem Gipsmodell der Funktionsabformung (nach Bissnahme und Registrierung mit Gesichtsbogen) vollwertig einartikuliert durchgeführt. Nach einer Wachseinprobe im Mund konnte die Arbeit fertiggestellt werden (Abb. 7–9).

Fazit

Für den Patienten war die digitale Abformung im Vergleich zur konventionellen Abformung (im vorliegenden Fall Funktion-/Fixationsabformung) wesentlich angenehmer. Für mich als Zahnarzt spielen bei dieser digitalen Abformtechnik neben der Freude an der neuen Technik besonders die Minimierung von Fehlerquellen und die bessere Selbstkontrolle eine große Rolle. Faszinierend sind der digitale Work-flow und die daraus resultierende Passgenauigkeit. Für den Zahntechniker ist diese Arbeitsweise eine deutli-che Arbeitserleichterung mit exakteren Ergebnissen. Bei sattelfreien Arbeiten könnte das Modellgussgerüst sogar komplett designt und gefräst werden und somit ein vollständig digitaler Arbeitsablauf entstehen. Der schnelle technische Fortschritt wird sicher in absehbarer Zeit noch zahlreiche weitere Indikationen für die Anwendung der digitalen Abformung in der Zahnarztpraxis ermöglichen.

Mehr Fachartikel aus Digitale Zahnmedizin

ePaper