Zur Übersicht
Profil
authorImage

Dr. med. dent. Christoph Meißner

Klopstockstr. 50
01157 Dresden
Deutschland
Vita anzeigen

Kurzvita

  • Jahrgang 1963
  • 1983-88 Studium der Zahnmedizin in Berlin und Dresden
  • 1988 Staatsexamen, Diplom und Approbation
  • seit 1992 in Dresden niedergelassen in eigener Praxis
  • 2003 Promotion an der Universität Dresden

Artikel auf ZWP online

articleImage
Digitale Zahnmedizin 03.05.2011

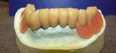
Digitale Abformung von Primärkronen aus Zirkonoxid

Der schnelle technische Fortschritt ermöglicht viele Indikationen für die Anwendung der digitalen Abformung in der Zahnarztpraxis. Im folgenden Artikel werden anhand eines Fallberichts die Vorteile der digitalen Abformung für den Patienten, den Zahnarzt und den Zahntechniker dargestellt.

Artikel in Publikationen

issueImage
Digital Dentistry

Digitale Abformung von Primärkronen aus Zirkonoxid

Jahr 2011, Ausgabe 01, Seite 20 Autoren: Dr. med. dent. Christoph Meißner

ePaper  |  PDF

Erwähnungen in Publikationen

issueImage
EDI Journal

Meeting in Bohemia—Third International Congress of the four dental associations of the Czech Republic, Austria, Bavaria and Saxony

Jahr 2024, Ausgabe 02, Seite 46 Autoren: Anita Wuttke

ePaper  |  PDF
issueImage
BZB

Länderübergreifender Austausch vor historischer Kulisse – 3. Internationaler Kongress im südböhmischen Český Krumlov

Jahr 2024, Ausgabe 07, Seite 44 Autoren: Anita Wuttke, München

ePaper  |  PDF
issueImage
EDI Journal

Joint venture with dental chambers—15th European Symposium to be held in Karlovy Vary end of May

Jahr 2022, Ausgabe 01, Seite 20 Autoren: Author

ePaper  |  PDF

Erwähnungen auf ZWP online

ePaper