Endodontologie 02.03.2016

Die Transreplantation als zahnerhaltende Maßnahme



Die Transreplantation als zahnerhaltende Maßnahme

Foto: © Autor

Mit der Transreplantation können extrem gelockerte und elongierte Zähne in die ansonsten (oft) unversehrte Zahnreihe zurückgesetzt und stabilisiert werden. Diese Methode der Zahnerhaltung wurde erstmals von Dr. Thomas Hiedl, Straubing, vorgestellt. Ein Fallbericht.

Zirkulärer Knochenabbau an einem einzelnen Zahn (mit Elongation und Lockerungsgrad III) kann nach dessen (ggf. voreiliger) Extraktion zu therapeutischen Schwierigkeiten führen, die man sich als Behandler bewusst machen sollte. In der Folge müssen evtl. gesunde Nachbarzähne für eine Brücke beschliffen werden oder der mitunter erhebliche Alveolarfortsatzverlust wird möglicherweise eine Implantation sehr erschweren und kostenintensiv machen.

Fallbeschreibung

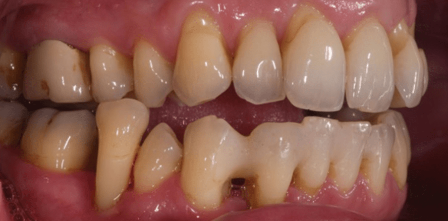
Die zum Zeitpunkt der Erstvorstellung 49-jährige Patientin bemerkte die Lockerung und Verlängerung des Zahnes 45 schon mehrere Monate, dies führte auch zu einer Bisssperrung, die von der Patientin toleriert wurde (Abb. 1–3). Der Zahn war vital, Sondierungstiefen 5–11 mm, LG III. Die Mundhygiene war befriedigend. Nach Besprechung der Behandlungsalternativen (Extraktion und Lückenschluss durch Brücke oder Implantation) wurde über die Möglichkeit der Transreplantation aufgeklärt.

Behandlungsablauf 

 Am 14.10.2014 wurde nach Extraktion des Zahnes 45 und Amputation der Wurzelspitze (Abb. 4) um ca. 4 m die endodontische Behandlung vorgenommen (Abb. 6). Anschließend wurden sämtliche Auflagerungen sowie die Wurzelhaut vollständig mit einer Kürette entfernt (Abb. 5), die Wurzel mit Aluminiumoxid abgestrahlt und für ca. 15 Sekunden mit Ätzgel konditioniert. Nach gründlichem Spülen mit steriler Kochsalzlösung wurde der Zahn abschließend mit amelogeninhaltigem Gel beschickt (Abb. 7). Vor dem Zurücksetzen des Zahnes wurde die Alveole intensiv mittels eines (großen) chirurgischen Rosenbohrers und scharfer Löffel von Granulationsgewebe befreit, nach apikal erweitert und gespült. Auch in die Alveole wurde amelogeninhaltiges Gel eingebracht. Die Schienung des Zahnes erfolgte adhäsiv am Nachbarzahn 44. Da beide Zähne dafür vorbereitet sein mussten (Säuberung der Zähne mit Pulverstrahler, Auftrag von Ätzgel und Adhäsiv) schien es vernünftig, vorher Kofferdam anzulegen, um das Operationsfeld zu schützen 
(Abb. 8–11).

Eine Antibiose wurde nicht vorgenommen. Von 43 bis 46 wurde sowohl bukkal als auch lingual ein Peripac®-Verband (DENTSPLY DeTrey GmbH, Konstanz) angelegt, der am 16.10. entfernt wurde. An diesem Tag erfolgte auch die Röntgenkontrolle des transreplantierten Zahnes (Abb. 2–15). Die Kompositschienung (44/45) ist bis heute stabil. Sondierungstiefen sind: mesial 4, bukkal 1, distal 3, lingual 1 mm. Der Zahn kann nun in ein umfassendes konservierendes und prothetisches Gesamtsanierungskonzept nach abgeschlossener funktioneller Vorbehandlung einbezogen werden. Allerdings kann es sinnvoll sein, eine dauerhafte (wie auch immer geartete ZE-) „Schienung“ zwischen 44 und 45 zu etablieren, z. B. e.max-Krone auf 45 und Keramikinlay 44, die – verblockt – gemeinsam adhäsiv befestigt werden. Der „ankylotische“ Verbund kann möglicherweise nicht stabil genug sein, denn bis heute gibt es unterschiedliche Auffassungen darüber, ob es sich (tatsächlich) um eine (vollständige) Ankylose handelt. 

Diskussion 

Die Transreplantation stellt eine relativ einfach durchzuführende Methode der Zahnerhaltung dar. Der Erfolg ist in hohem Maße von der vollständigen Entfernung infizierten Gewebes aus der Alveole, der vollständigen Entfernung der infizierten Knochenhaut und dem Einsatz des amelogeninhaltigen Gels abhängig. Die Alternative Extraktion sollte gerade dann kritisch hinterfragt werden, wenn die Nachbarzähne, die oft kariesfrei sind, für eine Brückenkonstruktion beschliffen werden müssen oder im ästhetisch anspruchsvolleren Frontzahnbereich eher auf Zahnerhalt mit natürlichen, eigenen Zähnen gesetzt werden kann.

Die Literaturliste kann hier heruntergeladen werden.

Mehr Fachartikel aus Endodontologie

ePaper