Implantologie 28.11.2025

Digitale Präzision und Ästhetik – Sofortimplantation im Frontzahnbereich



Die moderne Implantologie vereint heute funktionelle Stabilität mit höchsten ästhetischen Ansprüchen. Gerade im Frontzahnbereich hängt der Behandlungserfolg entscheidend von der präzisen Planung, der gewebeschonenden chirurgischen Umsetzung und einer frühzeitigen prothetischen Integration ab. Im vorliegenden Fall wurde eine Sofortimplantation mit digitaler Planung realisiert, um Ästhetik, Funktion und Patientenkomfort optimal zu verbinden.

Digitale Präzision und Ästhetik – Sofortimplantation im Frontzahnbereich

Foto: Dr. Ila Davarpanah

Die Wiederherstellung eines ästhetisch anspruchsvollen Frontzahnbereichs stellt eine besondere Herausforderung in der oralen Implantologie dar. Neben funktioneller Stabilität und Langzeitprognose spielt die Weichgewebsästhetik eine zentrale Rolle für das Gesamtergebnis. In den letzten Jahren hat sich die Sofortimplantation – also die Insertion eines Implantats unmittelbar nach der Zahnextraktion – als klinisch bewährte Therapieoption etabliert. Ziel ist es, die Hart- und Weichgewebsstrukturen zu erhalten, die Behandlungsdauer zu verkürzen und gleichzeitig ein ästhetisch harmonisches Resultat zu erzielen. Im vorliegenden Fallbericht wird eine Sofortimplantation im Frontzahnbereich beschrieben, die unter Anwendung digitaler Planungs- und Fertigungstechnologien durchgeführt wurde. Der Fokus liegt auf der biologischen und ästhetischen Begründung des Vorgehens sowie dem Vergleich zu konventionellen Behandlungsstrategien mit Spätimplantation.

Ausgangssituation und Diagnostik

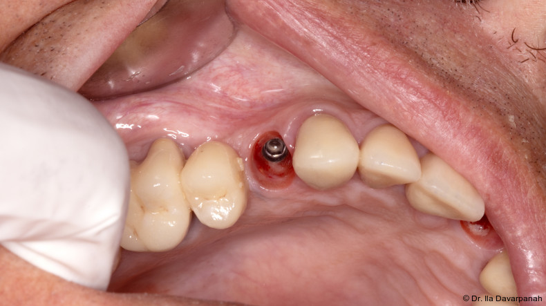
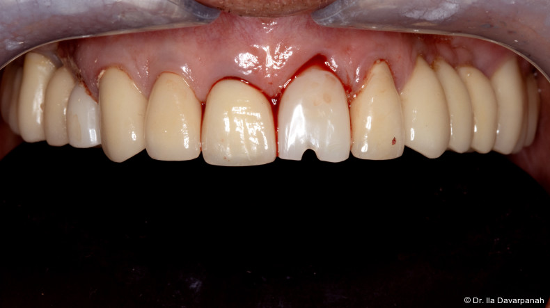
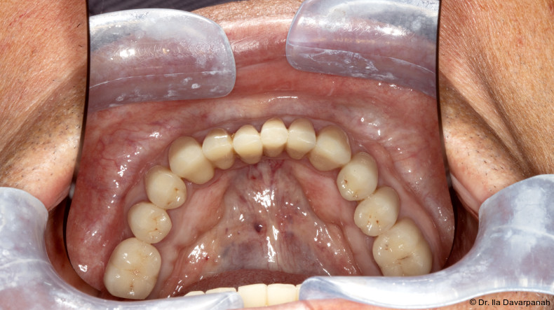
Der Patient stellte sich mit einer insuffizienten Frontzahnsituation und ästhetisch störender Asymmetrie vor. Klinisch und radiologisch zeigte sich ein fortgeschrittener Knochenabbau an den Zähnen 14, 21 und 41, begleitet von chronischer Entzündung und eingeschränkter Stabilität. Aufgrund des hohen ästhetischen Anspruchs und des Wunsches nach einer festsitzenden Sofortlösung wurde die Indikation zur Sofortimplantation gestellt.

Zur Planung wurde ein digitales Volumentomogramm (DVT) angefertigt und zusätzlich ein intraoraler Scan durchgeführt. Die Kombination beider Datensätze ermöglichte eine präzise dreidimensionale Beurteilung des anatomischen Umfelds, insbesondere der vestibulären Knochenlamelle und der Gingivakonturen.

Digitale Planung und Workflow

Die gewonnenen DICOM- und STL-Daten wurden für eine virtuelle Implantatplanung zusammengeführt. Die Implantatpositionierung erfolgte prothetisch rückwärtsgerichtet: Der geplante Verlauf der zukünftigen Restauration definierte die Achse und Tiefe der Implantate. Durch diese digitale Vorgehensweise ließ sich eine optimale Ausrichtung im vorhandenen Knochen erzielen, wodurch die Notwendigkeit augmentativer Maßnahmen reduziert wurde.

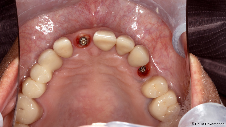
Ein weiterer Vorteil des digitalen Workflows liegt in der präzisen Übertragbarkeit der Planung in den chirurgischen Ablauf. Mithilfe einer Bohrschablone konnte die Implantation positionsgenau durchgeführt werden. Die exakte Implantatinsertion in der geplanten Tiefe und Achse gewährleistete eine hohe Primärstabilität und schuf die Basis für eine provisorische Sofortversorgung.

Chirurgisches Vorgehen

Nach atraumatischer Extraktion der nicht erhaltungswürdigen Zähne erfolgte die Sofortimplantation im Bereich 14, 21 und 41. Das Ziel bestand darin, die vorhandene alveoläre Architektur zu bewahren und die vestibuläre Knochenlamelle zu stützen. Die Implantate wurden mit hohem Drehmoment inseriert, um eine ausreichende Primärstabilität für die sofortige provisorische Versorgung zu erzielen.

Im Gegensatz zur Spätimplantation, bei der nach der Extraktion zunächst eine mehrmonatige Knochenheilung erfolgt, ermöglicht die Sofortimplantation die unmittelbare Nutzung des vorhandenen biologischen Kompartiments. Dadurch können Resorptionsprozesse der vestibulären Knochenlamelle und ein Kollaps des Weichgewebes weitgehend vermieden werden. Zudem verkürzt sich die Gesamtbehandlungszeit erheblich, was sowohl den funktionellen als auch den psychologischen Komfort des Patienten verbessert.

Nach der Insertion wurden die Implantate mit provisorischen Kronen versehen, um die Papillen und die Weichgewebsarchitektur während der Einheilung zu stützen.

Bild von einem Quotenzeichen
„Ziel ist es, die Hart- und Weichgewebsstrukturen zu erhalten, die Behandlungsdauer zu verkürzen und gleichzeitig ein ästhetisch harmonisches Resultat zu erzielen.“

Prothetische Umsetzung

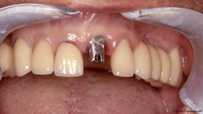
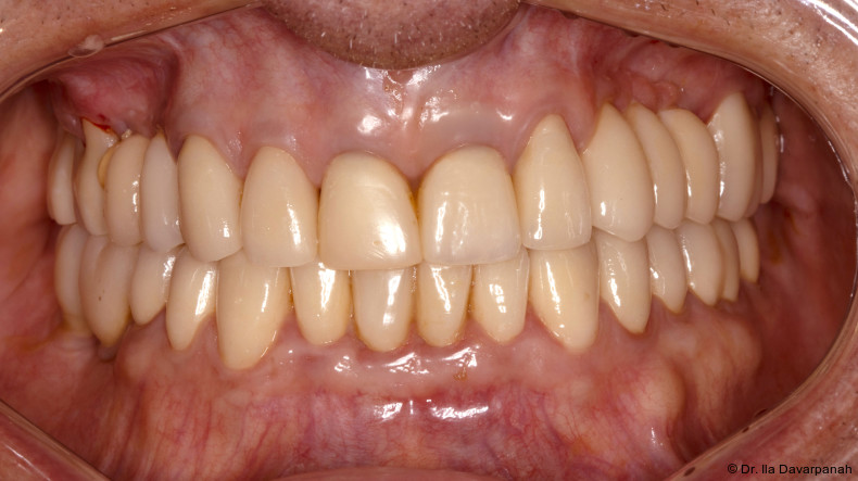
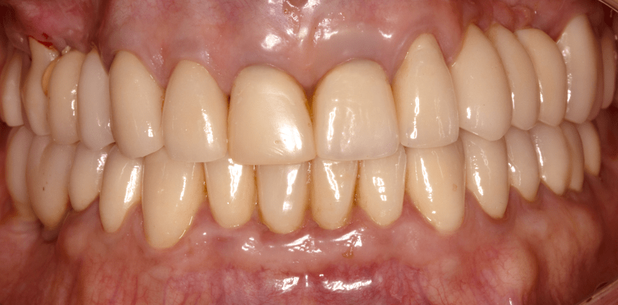
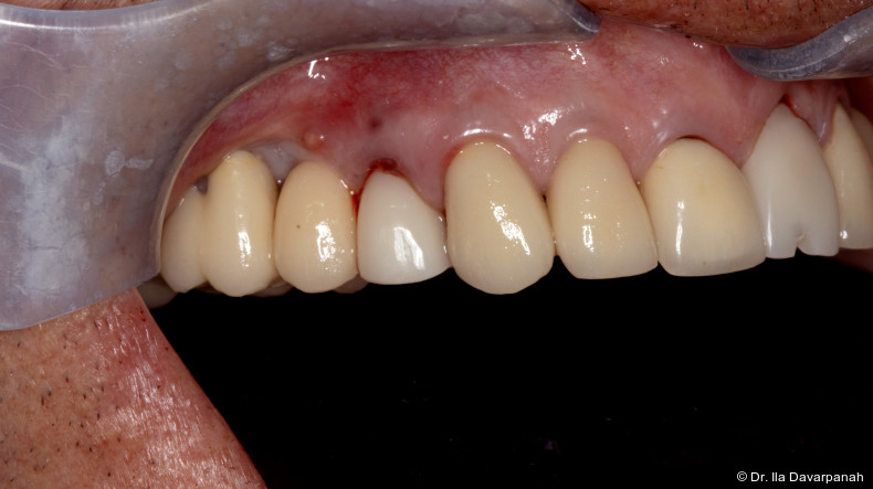
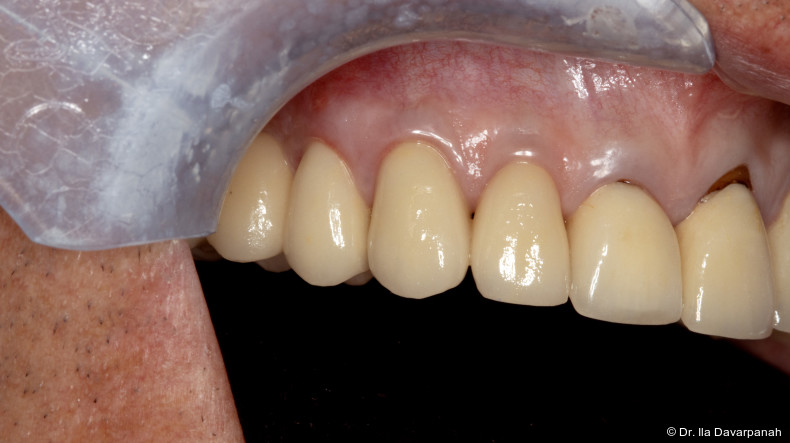
Nach einer dreimonatigen Einheilphase zeigten sich stabile periimplantäre Verhältnisse mit harmonischem Verlauf der marginalen Gingiva und vollständiger Papillenbildung. Die zuvor individuell ausgeformten Weichgewebeprofile ermöglichten eine exakte Übertragung auf diedefinitive Versorgung.

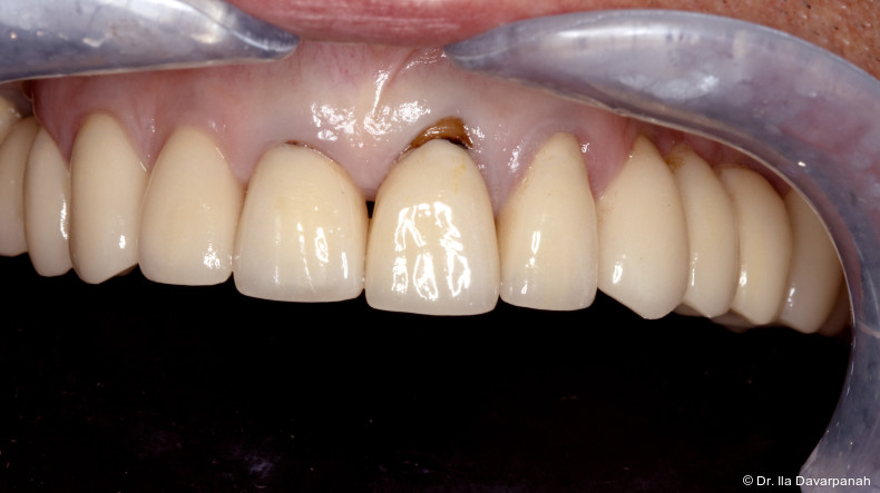
Die definitive Restauration erfolgte mit patientenindividuellen Abutments und vollkeramischen Kronen, die in Farbe, Form und Oberflächenstruktur optimal an die natürliche Bezahnung angepasst wurden. Durch die exakte Implantatposition und das konturierte Weichgewebe ergab sich eine harmonische Integration in das natürliche Lächeln.

Diskussion

Die Sofortimplantation stellt bei korrekter Indikationsstellung eine vorhersagbare und gewebeschonende Methode zur Rehabilitation im Frontzahnbereich dar. Zu den wesentlichen Vorteilen zählen die Reduktion der chirurgischen Eingriffe, der Erhalt der alveolären Architektur sowie eine verkürzte Behandlungsdauer. Durch die unmittelbare Versorgung wird zudem der Weichgewebeerhalt gefördert, was zu einer stabileren Ästhetik führt.

Im Vergleich dazu kann die Spätimplantation, insbesondere im ästhetischen Bereich, mit zusätzlichen Herausforderungen verbunden sein. Die postextraktive Knochenresorption und der Verlust der vestibulären Lamelle führen häufig zu einer ungünstigen Gewebetopografie, die eine augmentative Vorbehandlung erforderlich macht. Die Sofortimplantation bietet hier einen biologischen Vorteil, da das Implantat als „Raumhalter“ fungiert und den alveolären Prozess stabilisiert.

Allerdings erfordert dieses Vorgehen eine präzise Diagnostik und Planung, ein atraumatisches chirurgisches Vorgehen und eine ausreichende Primärstabilität. Nicht jeder Fall ist für eine Sofortimplantation geeignet – insbesondere bei akuten Infektionen, ausgeprägter Defektbildung oder ungünstiger Knochenqualität sollte eine verzögerte Implantation in Betracht gezogen werden.

Fazit

Die Kombination aus Sofortimplantation, provisorischer Sofortversorgung und digitaler Planung ermöglicht ästhetisch und funktionell hochwertige Ergebnisse im Frontzahnbereich. Die digitale Technologie unterstützt dabei nicht nur die Präzision der Implantatpositionierung, sondern auch die Kontrolle der Weichgewebsarchitektur. Unter Beachtung der biologischen Prinzipien bietet die Sofortimplantation gegenüber der Spätimplantation klare Vorteile hinsichtlich Behandlungsdauer, Patientenkomfort und ästhetischem Ergebnis.

Implantologie Journal 12/25

Implantologie Journal


Dieser Beitrag ist im IJ Implantologie Journal erschienen.

Das Implantologie Journal hat sich als eine unverzichtbare Informationsquelle für Fachleute der zahnärztlichen Implantologie etabliert. Das Themenspektrum reicht von Fachbeiträgen über aktuelle Entwicklungen in der Forschung bis hin zu Expertenmeinungen, Kongressberichten und Neuigkeiten zu den Aktivitäten der DGZI sowie Industrie. Jede Ausgabe widmet sich einem spezifischen Fokusthema, das einen Teilbereich der Implantologie vertieft.

Jetzt das ePaper lesen.

Mehr Fachartikel aus Implantologie

ePaper