Endodontologie 20.01.2015

Die Prämolarisierung als zahnerhaltende Maßnahme



Die Prämolarisierung als zahnerhaltende Maßnahme

Eine freiliegende Furkation behindert die individuelle Mundhygiene und erhöht das Karies- und Parodontitisrisiko. Im vorliegenden Patientenfall wurde der betroffene Zahn im Zuge einer Prämolarisierung in der Furkation durchtrennt und anschließend überkront, sodass dem Patienten eine Extraktion erspart blieb.

Freiliegende Furkationen (Furkationsgrad II und III) lassen schlecht zugängliche Nischen entstehen, welche die Mundhygiene erschweren und Karies sowie Entzündungen des Zahnfleisches begünstigen. Dem daraus resultierenden vorzeitigen Zahnverlust kann möglicherweise durch eine Prämolarisierung entgegengewirkt werden. Dabei wird der Furkationsdefekt beseitigt und zu einem durch individuelle und professionelle Hygienemaßnahmen erreichbaren Zahnzwischenraum umgewandelt.

Fallbeschreibung

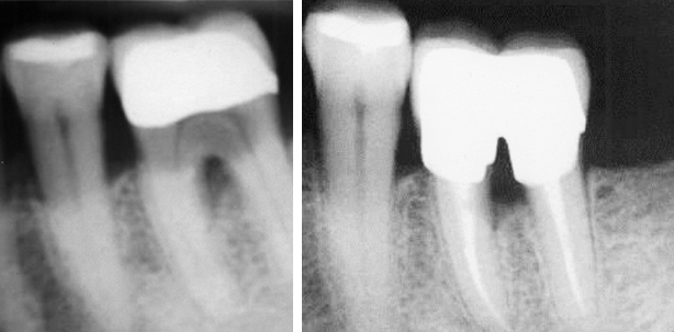
Der 55-jährige Patient stellte sich im Juni 2013 mit leicht ziehenden Schmerzen an Zahn 36 vor. Klinisch konnte eine sich bukkal von supra- bis infragingival ausdehnende Zahnhalskaries festgestellt werden. Die Vitalitätsprobe war positiv, es lag keine Lockerung vor. Während der weiteren Untersuchung ergaben sich Sondierungstiefen von 2 bis (bukkal) 5 mm, BOP fiel negativ aus. Trotz des insgesamt guten Mundhygienezustandes lag am Zahn Furkationsgrad II vor. Noch am gleichen Tag erfolgte die Aufklärung über den Ablauf, die Risiken und Komplikationen einer endodontischen Behandlung sowie über die möglichen Behandlungsalternativen: Extraktion und Freiendlücke, Extraktion und Implantation, Hemisektion und Kronenblock mit Zahn 35 oder Tunnelierung, die aber wegen des bis tief in die Furkation ausgedehnten kariösen Defekts wenig Aussicht auf Erfolg hatte. Da beide Wurzeln einen stabilen und erhaltungswürdigen Eindruck machten, wurde ein Termin für eine Prämolarisierung vereinbart.

Behandlungsablauf

Fünf Tage nach der Erstvorstellung wurde die Behandlung in einer Sitzung vorgenommen. Die Durchtrennung des Zahnes erfolgte gleich zu Beginn, um die Erhaltungsfähigkeit und -würdigkeit beider Wurzeln beurteilen zu können und abzuschätzen, ob deren Erhalt möglich und sinnvoll war. Danach wurde jede Wurzel einzeln unter Kofferdam vollständig aufbereitet. Beide Wurzeln enthielten jeweils zwei Kanäle, die mit #35/6°-GP gefüllt wurden (adhäsive WF). Zeitgleich mit dem adhäsiven Aufbau wurden in jeden vestibulären Kanaleingang Glasfaserstifte eingebracht. Abschließend wurde eine chairside gefertigte provisorische Krone mit TempBond eingegliedert (Zinnhülse mit Provisoriumskunststoff unterfüttert, interradikulär durchspülbar gestaltet).

Acht Monate später zeigte die Röntgen-Kontrollaufnahme gesunde apikale Verhältnisse sowie keine Anzeichen von zusätzlichem Knochenabbau. Die Präparation für eine Krone gestaltete sich aufgrund der kaum entzündeten marginalen Gingiva (Durchspülbarkeit des Provisoriums und sehr gute mundhygienische Mitarbeit des Patienten) komplikationslos, eine leichte Hohlkehle konnte angelegt werden.

Das zahntechnische Labor (DER UDE, Bochum) wurde angewiesen, interradikulär auf eine keramische Verblendung zu verzichten, um einen größtmöglichen Raum für Reinigung und Selbstreinigung zu erlauben.

Diskussion

Der Zahnerhaltungsversuch wurde vom Patienten ausdrücklich gewünscht. Mit der gewählten Behandlung und ihrem Resultat wurde bestätigt, dass die Extraktion furkationsbefallener Zähne nur dann nötig ist, wenn u. a. eine endodontische Therapie wenig Erfolg verspricht oder der Zahn parodontal kompromittiert ist.

Die vielfältigen technischen (u. a. maschinelle Aufbereitung, elektronische Längenmessung der Wurzelkanäle, aktivierte Spülungen) und materiellen Möglichkeiten (u. a. Adhäsivtechniken, Glasfaserstifte) in der Endodontie ermöglichen Lösungen, die dem Wunsch nach Zahnerhalt seitens der Patienten in großem Ausmaß entsprechen. Und: Die Endodontie ist eine altersunabhängige, (mund-)gesundheitsfördernde, für die Patienten vergleichsweise wirtschaftlich günstige und damit sinnvolle Therapiealternative.

Literatur

  • Heidemann D. (Hrsg.): Praxis der Zahnheilkunde 4. Parodontologie. 3. Aufl. Urban & Fischer, München, Jena (1997)
  • Rateitschak K.H., Wolf H.F. (Hrsg.): Farbatlantender Zahnmedizin 1. Parodontologie. 3. vollst. überarb. und erw. Aufl. Stuttgart, New York. Georg Thieme Verlag (2004)
  • Hülsmann M., Schäfer E.: Probleme in der Endodontie. Quintessenz Verlags-GmbH, Berlin (2007)
  • Gängler P., Hoffmann T., Willershausen B., Schwenzer N., Ehrenfeld M.: Zahn-, Mund- und Kieferheilkunde. Konservierende Zahnheilkunde und Parodontologie. 3. unveränderte Auflage, Georg Thieme Verlag (2010)
Mehr Fachartikel aus Endodontologie

ePaper