Implantologie 02.11.2016

Socket Preservation 3.0: Sofortimplantation mit Keramikimplantaten



Socket Preservation 3.0: Sofortimplantation mit Keramikimplantaten

Foto: © Autor

Ab sofort präsentiert der bekannte Fachautor und Referent auf dem Gebiet der Zirkonimplantate, Dr. Dominik Nischwitz, seinen Fall des Monats.

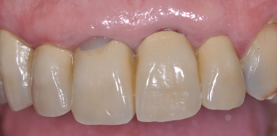
In unserer Praxis stellte sich Anfang des Jahres eine 60-jährige Patientin mit sowohl prothetisch als auch ästhetisch erneuerungsbedürftigem Zahnersatz vor. Die beiden Frontzähne waren bereits im Alter von 18 Jahren bei einem Unfall verloren gegangen und über die letzten 40 Jahre mehrmals revidiert und auch resiziert worden. Für eine erneute prothetische Versorgung kamen sie aufgrund mangelhafter Wertigkeit nicht mehr infrage.

Die Entscheidung fiel auf die Sofortimplantation mit einteiligen Keramikimplantaten, als ideale Socket Preservation. Im Gegensatz zum dicken Gingivabiotyp zeigte sich auf dem DVT ein extrem dünner Knochen. In diesem Fall ist eine Stabilisierung der Alveole unbedingt notwendig, um die spätere rot-weiße Ästhetik konservieren zu können. Parallel zur Sofortimplantation wurde eine chirurgische Kronenverlängerung durchgeführt, um die unterschiedlichen Zahnlängen korrigieren zu können. Durch die Sofortversorgung mit einem chairside gefertigten Provisorium, das anhand der Vorlage eines Wax- und Mock-ups hergestellt wurde, wurde die Einheilungsphase der Keramikimplantate gleichzeitig genutzt, um die Gingiva ästhetisch zu idealisieren. Drei Monate nach der Implantation wurden die Implantate freigelegt und der vollkeramische Zahnersatz eingegliedert.

Die Sofortimplantation mit Keramikimplantaten und sofortiger provisorischer Versorgung ist nach Meinung des Autors die ideale Socket Preservation. Das chirurgische Vorgehen ist standardisierbar, hat eine hohe Erfolgsquote, ist schmerzfrei und minimalinvasiv. Das Ergebnis spricht für sich.

dnaesthetics.de

Mehr Fachartikel aus Implantologie

ePaper