Implantologie 19.10.2015

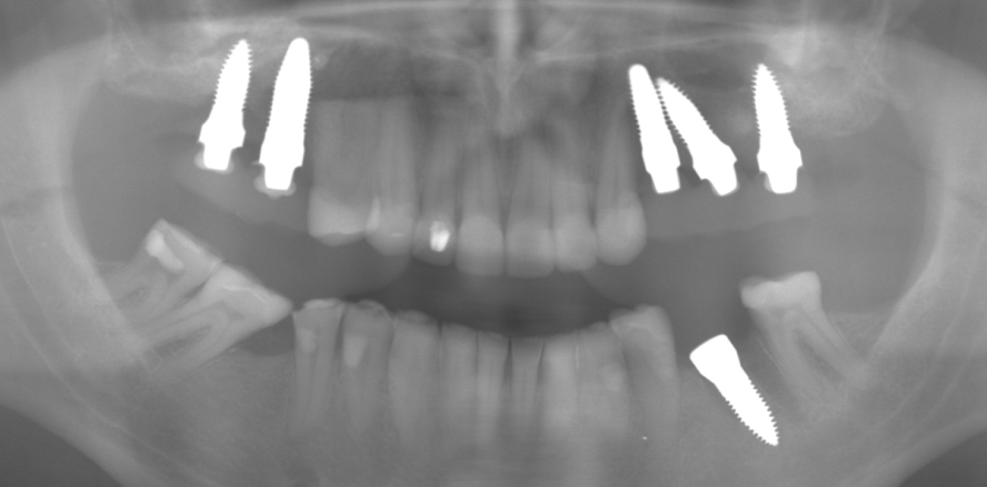
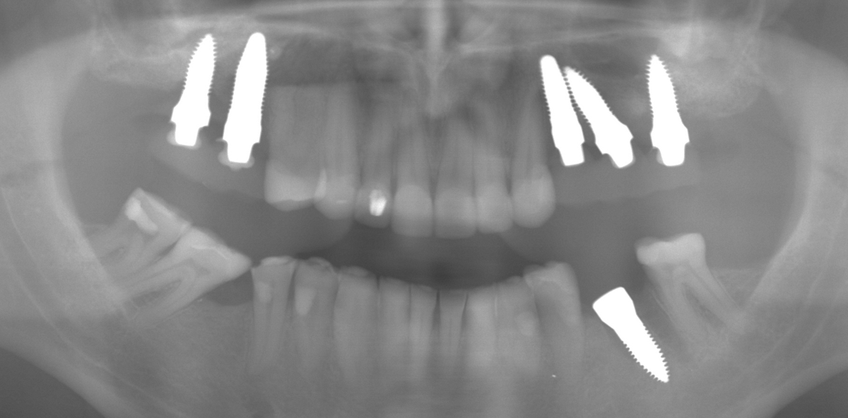
Titanexplantation mit sofortiger Zirkonimplantation



Titanexplantation mit sofortiger Zirkonimplantation

Foto: © Autor

TX2Z: Titanexplantation mit sofortiger Zirkonimplantation. Short Cut Concept aus einer anderen Perspektive oder das Titanimplantat als Antenne für elektromagnetische Felder.

Titanexplantation und Sofortimplantation mit Sofortversorgung im Seitenzahngebiet mit einteiligen Zirkonimplantaten der Firma SDS (Swiss Dental Solutions). 

Der Patient kam über Umwege aus Südafrika in die Praxis des Autors mit dem Ziel, seine Titanimplantate zu entfernen und direkt durch neutrale Zirkonimplantate ersetzen zu lassen. Wenn möglich wollte er die Praxis vollbezahnt verlassen. Die Aufklärung und Kommunikation erfolgte vorab, anhand eines digitalen OPGs und ausschließlich per E-Mail.

Das Hauptanliegen des Patienten war die optimale Gesundheit, und da er in den letzten Jahren deutlich an Vitalität und Power verloren hatte, war es ihm wichtig, nach Ursachen zu suchen. Sein Allgemeinarzt, ein bekannter Integrativmediziner, stellte bei ihm eine starke Elektrosensibilität fest.

Jedes Metall im Körper fungiert sozusagen als eine Art Antenne für Mikrowellen und andere elektromagnetische Felder (EMF). Alleine die Nutzung eines Mobiltelefons kann laut WHO (2011) krebserregend sein und ist in der gleichen Kategorie wie Autoabgas, Chloroform und Blei zu finden. Hinzu kommt außerdem die zunehmende Elektrosensibilität der Patienten aufgrund der exponentiell ansteigenden Verbreitung von Mikrowellen durch WLAN und Handy-Sendefunk.

Durch die Antennenwirkung bauen sich Spannungsfelder auf, die das zentrale Nervensystem sensibel stören. Unweigerlich ist man überall dem sogenannten Elektrosmog (EMF) ausgesetzt. Die Standard-Absorptionsrate elektromagnetischer Felder kann allein durch die Nutzung eines Mobiltelefons (klingeln oder SMS-Empfang)  in Kombination mit Metallen im Mund um 400- bis 700-fach erhöht sein [1].

Laut Dr. Pascal Eppe sind die fünf häufigsten Symptome einer Elektrosensibilät (Electromagnetic Hypersensitivity – EHS): Verwirrung, Vergesslichkeit und mangelhafte Konzentrationsfähigkeit, Abgeschlagenheit und allgemeiner Schwächezustand, Kopfschmerz und Tinitus, Druck auf der Brust und Herzprobleme sowie juckende, brennende Haut und Hautausschläge. In einer klinischen Studie von Fujiy kam es bei Patienten mit Titanimplantaten zu Balanceproblemen, ausgelöst durch eine Verstärkung der elektromagnetischen Felder durch die dentalen Titanimplantate [2].

Bei dem 48-jährigen, männlichen Patienten waren neben der diagnostizierten Elektrosensibilität auch die Entzündungsparameter im Blut sowie der Cortisol-Spiegel erhöht, was für chronischen Stress spricht. Da die Ernährung und sonstige proinflammatorische Auslöser unauffällig waren, lag es nahe, an anderer Stelle im Körper nach der Ursache zu forschen. Typischerweise reagiert der Körper bzw. das Immunsystem auf einen chronischen Reiz mit einer erhöhten Produktion von Entzündungsparametern und antientzündlichen Kompensationsmechanismen im Hormonhaushalt (Cortisol wird verstärkt ausgeschüttet – Stresshormon).

Auch der Testosteronspiegel des Patienten war deutlich zu niedrig. Alle Nebennierenhormone werden aus Cholesterin synthetisiert. Über Progesteron und Pregnenolon werden einerseits die Sexualhormone Testosteron und Östrogen hergestellt, andererseits aber auch Cortisol. Bei chronischem Stress kommt es zu dem sogenannten „Pregnenolone Steal.“ Aus Pregnenolon wird vermehrt Cortisol gebildet und die Sexualhormone schwinden, da nicht genug Rohstoff für die Synthese bleibt. Auf Dauer kann dies zu einem Nebennieren-Burn-out (Nebennierenschwäche) führen [3].

Klinisch waren leichte Anzeichen einer Titanunverträglichkeit und minimaler Periimplantitis zu sehen. Vor allem in der Regio 25 war das periimplantäre Gewebe deutlich geschwollen und reagierte, wie auch die übrigen Implantate, mit einer verstärkten Blutung auf Sondierung.

Bereits 15 bis 20 Prozent der Bevölkerung reagieren laut Dr. Volker von Baehr (IMD-Berlin) unverträglich auf Titan [4], hauptsächlich ausgelöst durch die massenhafte Verwendung von Titandioxid als Füllstoff oder Farbstoff in Medikamenten, Nahrungsergänzungsmitteln, Körperpflegeprodukten, Kosmetika, Kaugummi und Zahnpasta. Die gewebsspezifischen Fresszellen reagieren auf die beim Eindrehen der Implantate durch Abrieb entstandenen Titanoxidpartikel mit einer gesteigerten unspezifischen Immunantwort. Dabei entsteht vermehrt oxidativer Stress [5,6]. In einer Studie von Weingart wurden Titanoxidpartikel in regionalen Lymphknoten gefunden [7]. Das Lymph- und Immunsystem wird also zusätzlich belastet. Auch eine Beteiligung an der Entstehung von Autoimmunreaktionen wird diskutiert [8]. Radar et al. konnten zeigen, dass Zirkonoxidpartikel gleicher Größe im Gegenzug keine entzündliche Immunantwort (TNF-α) in einem Fresszell-Kulturmedium induzieren [9].

Der logische Schluss daraus war, dass der Patient ein vollkommen neutrales Material als Ersatz für seine Titanimplantate benötigte. Aus oben genannten Gründen ist es verständlich, dass im Zuge der konsequenten Biologischen Zahnmedizin bei chronisch kranken Patienten alle Metalle entfernt werden sollten, um zum einen das Immunsystem zu entlasten, zum anderen aber auch Mikroströme und Wechselwirkungen mit elektromagnetischen Feldern zu reduzieren.

Therapie

Chirurgische Versorgung

Anfang April 2015 kam der Patient aus Südafrika in die Praxis des Autors zur bevorstehenden Operation.

Im Vorfeld wurden operationsrelevante Daten abgeklärt, vor allem, um welches Implantatsystem es sich in seinem Fall handelte. In Regio 16, 25, 26 waren ANKYLOS® Implantate in situ, Regio 15 und 24 waren mit NobelActive™ Implantaten versorgt worden.

Auf dem präoperativen DVT (Morita) wurde die geplante Explantation und Implantation mit dem Patienten besprochen. Klinisch zeigte sich eine ästhetisch kompromittierte Knochen- und Weichgewebssituation. Funktionell waren für den Patienten, trotz der reduzierten und teilweise sogar vollständig fehlenden „Attached Gingiva“, keine Probleme spürbar. Da der Seitenzahnbereich bei ihm komplett im nichtästhetischen Bereich lag, waren ein Bindegewebstransplantat oder sonstige Aufbaumaßnahmen nicht gewünscht. Der Autor behielt sich vor, bei eventuell auftretenden funktionellen Problemen im Bereich der beweglichen Schleimhaut, dort ein Tissue Graft zur Unterstützung einzusetzen.

14 Tage vor der OP begann der Patient mit dem Bone Healing Protokoll (BHP n. Dr. Nischwitz®), um seinen Körper optimal mit den richtigen Nährstoffen für Knochenregeneration und Wundheilung zu unterstützen. Direkt vor der Operation wurde dem Patienten Blut abgenommen, um eine Plasmamembran PRGF®-Endoret® herstellen zu können.

Die Explantation stellte sich als äußerst schwierig dar, da sich die beiden NobelActive™ Implantate weder mit dem Explantationstool der Firma BTI noch mit dem Fixture Remover Kit der Firma Neobiotech (Südkorea) entfernen ließen. Die übrigen drei ANKYLOS® Implantate wurden jeweils mit einem Drehmoment von ca. 250 Ncm entfernt. Die beiden NobelActive™ Implantate wurden in mühevoller Feinarbeit mit Extraktionsansätzen des Mectron PIEZOSURGERY® Gerätes unter maximaler Knochenschonung entfernt. Andernfalls wäre eine sofortige Implantation mit Keramikimplantaten nicht möglich gewesen.

Die Sofortimplantation erfolgte anschließend in die entstandenen Explantationsalveolen Regio 16, 15, 24, 26. Da das alte Implantat Regio 25 komplett außerhalb des Kieferkammes, prothetisch mangelhaft, inseriert worden war, musste eine neue Bohrung für das neue Implantat erfolgen. Da ein Sinuslift für die Sofortversorgung nicht infrage kam, wurde das Implantat 25 exzentrisch anguliert an der medialen Kieferhöhlenwand entlang inseriert. Eine Achsabweichung von bis zu 25 Grad ist mit den Implantaten der Firma SDS ohne Probleme durch direktes Beschleifen des Implantates möglich.

Zum Einsatz kamen die SDS-Implantate im Root Design (SDS RD ATZ), die auch bis zu einem Durchmesser von 5,4 mm verfügbar sind. Diese wurden alle mit demselben Drehmoment von ca. 35 Ncm primärstabil inseriert. Lediglich in den Bereichen 15 und 24 kam jeweils eine Haltnaht (PTFE) zum Einsatz. Die SDS-Zirkonimplantate wurden mit Rotringdiamanten präpariert und dabei in der Achsabweichung korrigiert. Mittels einer Tiefziehfolie (Formteil) wurden die Provisorien aus Protemp® 4 (3M ESPE) chairside gefertigt und mit Durelon® (Carboxylatzement der Firma 3M ESPE) eingesetzt. Die provisorische Versorgung war beidseitig außer Funktion eingeschliffen worden, um jegliche Überbelastung zu vermeiden. Der Patient wurde darauf hingewiesen, die Provisorien kaum zu belasten und nur weiche Kost zu sich zu nehmen. Trotz langer Operationsdauer hatte der Patient am Folgetag keine Schmerzen und auch keine Schwellungen.

Prothetische Versorgung

Nach drei Monaten Einheilzeit wurden die Implantate freigelegt und mit Rotringdiamanten am Beispiel eines natürlichen Zahnes feinpräpariert. Anschließend erfolgte ein Abdruck mit Impregum™ (3M ESPE). Die provisorische Versorgung wurde erneut aus Protemp™ 4 chairside gefertigt und mit Durelon® eingesetzt.

Vier Wochen später wurden die definitiven Zirkonbrücken ebenfalls mit einem Glasionomerzement (Fuji PLUS™, GC) definitiv eingesetzt. Bei der abschließenden Okklusions- und Artikulationskontrolle ist darauf zu achten, den Zahnersatz in leichter Infraokklusion (Shimstock-Folie ohne Widerstand) und ohne jegliche Artikulationskontakte einzuschleifen.

Zusammenfassung

Dieser Fall soll zeigen, dass auch völlig neue Wege in der Implantologie denkbar sind. Es ist also möglich, auch komplett osseointegrierte Titanimplantate ohne großen Knochendefekt und anschließende Knochanaufbau-Odyssee zu entfernen und sofort mit einem Zirkonimplantat zu ersetzen. In manchen Fällen kann es aus gesundheitlichen Gründen, sei es aus Gründen der Elektrosensibilität oder aus immunologischen Problemen (Periimplantitis oder Titanunverträglichkeit), notwendig werden, diesen Schritt zu gehen. Direkt im Anschluss an die zeitaufwendige Operation berichtete der Patient, sich „klarer“ zu fühlen und deutlich entspannter. Der Druck aus seinem Kopf war verschwunden.

Grundsätzlich empfiehlt der Autor zunächst einmal die offensichtlicheren Therapien an den Anfang zu stellen, wie zum Beispiel zunächst Abutments und Suprakonstruktionen aus unterschiedlichen Materialien zu entfernen und ggf. durch ein individuelles Abutment und Krone aus biokompatibler Vollkeramik zu ersetzen. Das galvanische Element, das sehr wahrscheinlich durch die Kombination aus Titanimplantat und Suprakonstruktion auf Goldbasis entstanden ist, kann so effektiv beseitigt werden, was für die Gesundung des Patienten häufig bereits ausreichend ist.

Für grenzwertige Operationen wie im vorliegenden Fall, ist ein effektives OP-Protokoll entscheidend. Ein besonders großes Augenmerk liegt bei Zirkonimplantaten auf der absolut gründlichen Säuberung und Desinfektion des OP-Gebietes, da diese, im Gegensatz zu Titanimplantaten, nur in völlig gesundem Knochen einheilen. Dieses Protokoll umfasst die orthomolekulare Unterstützung mit Nährstoffen vorab (BHP n. Dr. Nischwitz®), die lokale Desinfektion mit Ozon und Neuraltherapie sowie die immunologische Unterstützung mittels intravenösen Vitaminen und Mineralien (BTP-Infusion n. VNV). Auf ein Antibiotikum kann damit vollständig verzichtet werden.

Auch die Aufklärung des Patienten über die postoperative Verhaltensstrategie ist von größter Bedeutung. Die Implantate dürfen während der Einheilphase nicht belastet werden, da es ansonsten zu einer bindegewebigen Einheilung kommen kann. Wird dies eingehalten, steht der optimalen Osseointegration nichts mehr im Wege. Für tiefere Einblicke in die Biologische Zahnheilkunde, ist die Seminarreihe des Autors „Biologische Zahnheilkunde“ zu empfehlen.

Literatur:

  1. Virtanen H., Huttunen J., Toropainen A., Lappalainen R.: Interaction of mobile phones with superficial passive metallic implants. Phys Med Biol. 2005 Jun 7;50(11):2689–700. 
  2. Yoshiro Fujij: Sensation of Balance Dysregulation caused/aggravated by a Collection of Electromagnetic Waves in a Dental Implant. Open Journal of Antennas and Propagation, 2014; 2, 29–35.
  3. Tsigos C., Chrousos G.P.: Hypothalamic-pituitary-adrenal axis, neuroendocrine factors and stress. J Psychosom Res. 2002 Oct;53(4):865–71.
  4. Schütt S., von Baehr V.: Hyperreaktivität von Gewebemakrophagen nach Kontakt mit Titanoxidpartikeln als Ursache einer verstärkten lokalen Entzündungsreaktion bei Patienten mit Periimplantitis. ZWR – Das Deutsche Zahnärzteblatt 2010, 119:222–232.
  5. Hedenborg M.: Titanium dioxide induced chemiluminescence of human polymorphonuclear leukocytes. Int Arch Occup Environ Health;61:1–6 (1988).
  6. Stejskal V.D., Danersund A., Lindvall A., Hudecek R., Nordman V., Yaqob A., Mayer W., Bieger W., Lindh U.: Metal-specific lymphocytes: biomarkers of sensitivity in man. Neuroendocrinol Lett;20:289–298 (1999).
  7. Weingart D., Steinemann S., Schilli W., Strub J.R., Hellerich U., Assenmacher J., Simpson J.: Titanium deposition in regional lymph nodes after insertion of titanium screw implants in maxillofacial region. Int J Oral Maxillofac Surg;23:450–452 (1994).
  8. Stejskal, J., Stejskal, V.D.: The role of metals in autoimmunity and the link to neuroendocrinology. Neuroendocrinol Lett;20:351–364 (1999).
  9. Radar C.P., Sterner T., Jakob F. et al.: Cytokine response of human macrophage-like cells after contact with polyethylene and pure titanium particles. J Arthroplasty 1999; 14:840–848.

www.dnaesthetics.de

Mehr Fachartikel aus Implantologie

ePaper