Implantologie 06.11.2015
Sofortbelastete Implantatprothetik im ästhetischen Bereich
share
Gerade die implantatgetragenen Versorgungen im Frontzahnbereich des Oberkiefers unterliegen einem besonderen ästhetischen Anspruch. Neben der zahntechnischen Gestaltung der zumeist vollkeramischen Werkstücke, spielt die physiologische Wiederherstellung einer harmonischen Rot-Weiß-Ästhetik eine übergeordnete Rolle.
Dieser Fallbericht erläutert und illustriert die Direktversorgung der Region 11 bis 24 nach unmittelbar zuvor erfolgten Extraktionen in Sofortbelastung mithilfe eines neuen Implantatsystems zur Sofortbelastung.
Präimplantologische Behandlungsplanung
Die Patientin stellte sich im folgenden Fallbericht nach einer etwa anderthalbjährigen Behandlungspause mit diffusen Beschwerden im Bereich der Zähne 23 und 24 in unserem Hause vor. Gemäß der vorliegenden Dokumentationen erfolgte in dieser Region bereits im Jahre 2013 eine offene Kürettage mit Lasersterilisation und GTR-Technik. Hierbei wurde unter direkter Sicht das Granulationsgewebe entfernt, die Wurzeloberfläche des Zahnes mechanisch gereinigt und die Läsion mittels Emdogain® (Straumann) und einer entsprechend dimensionierten Membran abgedeckt. Die Patientin beschrieb in den darauffolgenden Kontrollen eine subjektiv empfundene Besserung der Symptome und eine Festigung der Zähne.
Innerhalb der symptombezogenen intraoralen Begutachtung erschien die Gingiva leicht entzündlich gerötet und geschwollen. Die Zähne 11, 21, 22, 23 und 24 waren allesamt aufgrund des weiteren Voranschreitens der parodontalen Vorerkrankung elongiert und stark gelockert (LG II–III). Darüber hinaus zeigten die Zähne 22, 23 und 24 massive Schleimhautrezessionen sowie zum Teil unversorgte Substanzdefekte an den Zahnhälsen. Die ermittelte Taschentiefe des Zahnes 23 betrug distal in etwa 15 mm, bei Sondierung entleerte sich sowohl Blut als auch Pus aus der Tiefe der Tasche. Die Sondierung der Zähne 11 bis 24 ergab ebenfalls stark erhöhte Werte (> 7 mm) (Tab. 1, Abb. 1–4). Auf die Darlegung der Befunde in den übrigen Quadranten wird an dieser Stelle verzichtet.
Im Rahmen weiterer implantatprothetischer Planungen wurde im Folgenden ein digitales Volumentomogramm angefertigt (Abb. 5 und 6). Aufgrund der massiven ästhetischen Kompromittierungen sowie den mit den Lockerungen der Zähne einhergehenden Funktionseinschränkungen, entschied sich die Patientin gegen einen erneuten Erhaltungsversuch der Zähne 23 und 24. Die Zähne 11, 21 und 22 zeigten sich in der Rekonstruktion des digitalen Volumentomogramms aufgrund des massiven horizontalen Knochenverlustes ebenfalls mit einer schlechten Langzeitprognose. Infolgedessen, ebenso wie zur Herstellung eines einheitlichen ästhetischen Gesamteindrucks, wurde sich auf eine sofortbelastete implantatgetragene Frontzahnbrücke in vollkeramischer Ausführung auf drei Implantaten (PerioType Rapid, Clinical House) zum Ersatz der Zähne 11 bis 24 verständigt. Der Eingriff sollte unter örtlicher Betäubung erfolgen.

Chirurgisches Vorgehen
Unter antibiotischer Abschirmung erfolgte intraoperativ zunächst die möglichst knochenschonende Extraktion der Zähne 11, 21, 22, 23 und 24 sowie die Entfernung des residualen Granulationsgewebes aus den frischen Extraktionsalveolen. Mittels krestaler Inzision wurde das Implantationsgebiet freigelegt und wie im Vorfeld durch das digitale Volumentomogramm festgelegt, drei Implantate mit einem Drehmoment von etwa 40 Ncm in den Alveolarfortsatz der Oberkieferfront inseriert (Abb. 7–10):
Pos. 11: PerioType Rapid 4,1 x 13 mm
Pos. 22: PerioType Rapid 4,1 x 13 mm
Pos. 24: PerioType Rapid 4,1 x 15 mm
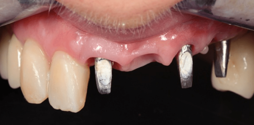
Aufgrund der speziellen Gewindegeometrie des angewendeten Implantatsystems konnte bereits eine ausreichende Primärstabilität zur sofortigen Belastung der Implantate mit einem laborseitig angefertigten Provisorium erreicht werden. Die Implantate wurden durch individualisierte provisorische Zirkonnitrid-Abutments (PerioType, Clinical House) verschlossen und die unversorgten Extraktionsalveolen zum Zwecke des Resorptionsschutzes mit einem Gemisch aus autogenem Knochen aus den Bohrlöchern und xenogenem Knochenersatzmaterial (Bio-Oss, Geistlich Biomaterials) aufgefüllt (Abb. 11–13). Im Weiteren erfolgte die Adaptation der Wundränder mit einem plaqueabweisenden Nahtmaterial (GORE-TEX Suture, GORE-TEX). Auf die Einlage einer Membran konnte in diesem Falle verzichtet werden.
Zum Abschluss der Operation wurden die Zirkonnitrid-Abutments mittels ei-nes Alginatabdrucks (PerioType, Clinical House) abgeformt und dieser zur Anfertigung eines Labside-Provisoriums ins Hauslabor gegeben. Die Anpassung des Provisoriums erfolgte etwa anderthalb Stunden nach der Operation. Selbiges wurde für die achtwöchige Einheilzeit der Implantate sowohl in statischer Okklusion als auch in Latero- und Protrusion stark entlastet. Die Nähte wurden eine Woche postoperativ entfernt.
Prothetische Versorgung
Etwa sieben Wochen nach der Implantation folgte die Abdrucknahme mittels offenem Verfahren (Präzisionsabformmaterial Impregum Penta, 3M ESPE). Die inserierten Implantate erreichten in der Zwischenzeit eine sehr gute Stabilität, die umgebende Schleimhautsituation stellte sich als absolut reizlos dar. Darüber hinaus gab die Patientin an, über den gesamten Zeitraum keine Schmerzen verspürt zu haben (Abb. 14–18). Nur wenige Tage später konnten die definitiven Zirkonnitrid-Abutments angepasst und mittels eines Checkbiss-Profils die Bisslage zur Anfertigung der definitiven Brückenversorgung überprüft und mit einem Bissregistrat verschlüsselt werden (Occlufast, Zhermack). Im Zuge dessen erfolgte ebenfalls die Registration der gelenkbahnbezogenen Scharnierachse mit dem Gesichtsbogen (Artex, Amann Girrbach). Nach Festlegung der ästhetischen Parameter wurde sich zugunsten einer Lithiumdisilikat-verblendeten Brücke auf einem Vollzirkongerüst in VITA A2 entschieden (Abb. 19–21).
Insgesamt acht Wochen nach der Implantation wurde die vollkeramische Brücke (e.max Ceram, Ivoclar Vivadent, Cercon ceram kiss, DeguDent) eingesetzt. Die Schleimhautsituation war zu diesem Zeitpunkt gänzlich abgeheilt. Eine chirurgische Intervention zur Verbesserung der Rot-Weiß-Ästhetik wurde nicht notwendig. Zum Zwecke eines einheitlicheren Farbverlaufes wurden die Zähne 12 und 13 nach Einsetzen der Brücke minimal angeraut und Chairside-Kompositveneers (Filtek Supreme XTE, 3M ESPE) adhäsiv versorgt. Die Abutments wurden zunächst handfest eingeschraubt und die Brückenversorgung temporär zementiert. Nach Adjustierung der Okklusion in Statik und Dynamik wurde die Patientin in die etwa vierwöchige Zeit des Probetragens entlassen. Nach Verstreichen dieses Zeitraumen konnten die Abutments mit einem Drehmoment von 35 Ncm fixiert und die Versorgung definitiv einzementiert werden. Die nächste Kontrolle des Zahnersatzes wurde auf sechs Monate festgelegt (Abb. 22–25).
Fazit
Aufgrund des hohen ästhetischen Anspruchs wird den Frontzahnrestaurationen eine Sonderstellung innerhalb der Implantatprothetik zuteil. Die Entscheidung zugunsten einer Sofort- bzw. Spätbelastung der Frontzahnregion wird in der aktuellen Literatur mehr als kontrovers diskutiert. Eine sofortige Belastung geht zwar mit einer leicht erhöhten Verlustquote der Implantate einher, allerdings steht dem ein nachgewiesener Verlust in Knochen- und/oder Weichteilniveau bei Spätbelastung entgegen. Der beschriebene Fall veranschaulicht die Möglichkeit, nach adäquater Vorbereitung auch in dieser speziellen Versorgungsregion ein zuverlässig voraussagbares Ergebnis in Ästhetik und Funktion zu erreichen. Unter Erhaltung der vestibulären Knochenlamellen durch eine möglichst minimalinvasive Extraktion der Zähne, der Verwendung eines zur Sofortbelastung geeigneten Implantatsystems und angemessenen Maßnahmen zum Resorptionsschutz ist es in der heutigen Zeit durchaus möglich, ein mehr als zufriedenstellendes und natürliches Gesamtergebnis in Sofortbelastung zu erzielen. Eine entsprechend engmaschige Nachsorge/Prophylaxe und Hygieneinstruktion der Patienten vorausgesetzt, sollte dieses Ergebnis darüber hinaus über Jahre zu manifestieren sein.