Implantologie 05.10.2022

Altersspezifische Aspekte in der Implantatversorgung bei Senioren

Altersspezifische Aspekte in der Implantatversorgung bei Senioren

Foto: Dr. Malin Janson

Was ist zu beachten?

Durch den demografischen Wandel unserer Bevölkerung werden immer häufiger Konzepte für die zahnärztlich-chirurgische Behandlung benötigt, die vor allem auf ältere und pflegebedürftige Menschen eingehen. In den vergangenen Jahren ist der Therapiewunsch dieser Altersgruppe nach implantatgestütztem Zahnersatz angestiegen. In der zahnärztlichen Praxis sollte der Fokus deshalb auch in der Beachtung und Berücksichtigung komplexer altersspezifischer Aspekte liegen.

Heutzutage tritt durch etablierte Präventionsmaßnahmen erst im höheren Alter eine teilweise oder völlige Zahnlosigkeit auf. Durch diese Morbiditätskompression verlagern sich demnach komplexe prothetisch-chirurgische Rehabilitationen immer weiter nach hinten. Da alte und sehr alte Patienten häufig eine funktionelle Abhängigkeit, Multimorbidität und Gebrechlichkeit aufweisen, kann ein Risiko für die Implantatinsertion, -erhaltung und -überlebensdauer vorliegen, muss es aber nicht (Abb. 1).

Klinische Studien haben gezeigt, dass die Versorgung älterer oder geriatrischer Patienten mit implantatgetragenem Zahnersatz eine Behandlungsoption mit hohen Überlebensraten ist.1 Es konnte gezeigt werden, dass mit einer positiven Implantatüberlebensrate bei geriatrischen Patienten zu rechnen ist und die Ein-Jahres- und Fünf-Jahres-Überlebensraten mit denen jüngerer Kohorten vergleichbar sind. Trotz dieser positiven Aspekte ist und bleibt der entscheidende Faktor für den Therapieerfolg die Individualprophylaxe des Implantats selbst.2, 3 Ein indirekter Behandlungsmisserfolg kann aufgrund vernachlässigter Mundhygiene und unsachgemäßer Implantatpflege auftreten, wie es wegen kognitiver oder motorischer Gründe häufig bei dementen Patienten zu beobachten ist.1

Um einen langfristigen Erfolg in der Behandlung mit implantatgetragenem Zahnersatz zu erzielen, spielen verschiedene Faktoren eine tragende Rolle. Insbesondere bei dieser Patientengruppe sollte eine genaue Befundung, Diagnostik und Therapieplanung erfolgen, um den Einfluss dieser Risikofaktoren zu minimieren.4 Generell kann die individuelle Lebens- und Gesundheitssituation des Patienten dabei essenziell für den Erfolg der Osseointegration, der Reaktion des Weichgewebes sowie für das langfristige Überleben des Implantats sein.5 Wichtige Aspekte, die das vorzeitige Implantatversagen beeinflussen können, sind u. a. Rauchgewohnheiten, der systemische Zustand, die Knochenqualität, die Anzahl und Verteilung sowie prothetische Belastung der gesetzten Implantate. Im Rahmen der chirurgischen Behandlung sind zudem chirurgische Traumata, bakterielle Kontaminationen, Periimplantiden oder frühzeitige Belastungen für den langfristigen Erhalt der Implantate ausschlaggebend.4 Auch wenn einige funktionelle und psychosoziale Vorteile für eine Implantatversorgung sprechen, sollten sie zur Vermeidung von Komplikationen stets gegen die relativen Risiken abgewogen werden.

Geriatrisches Assessment

Zusätzliche Herausforderungen in der zahnärztlichen Behandlung älterer Menschen schließen die Beurteilung körperlicher oder kognitiver Fähigkeiten, wie Gebrechlichkeit, Mobilitätsverlust, Hörverlust, Alterssichtigkeit oder Beeinträchtigung der manuellen Geschicklichkeit und der Greifkraft ein und beeinflussen die Therapieoptionen maßgeblich.

Im Rahmen einer umfassenden zahnmedizinischen Untersuchung vor möglicher Implantatversorgung werden häufig die kognitiven, funktionellen, körperlichen und geistigen Fähigkeiten sowie die sozioökonomischen Rahmenbedingungen erfasst. Individuell kann hierbei die Mundöffnung über längere Zeit, die Mobilität auf dem Behandlungsstuhl, Anpassungsschwierigkeiten an neuen Zahnersatz, Mundhygienefähigkeit sowie der Zugang zu Mundhygieneprodukten bewertet werden (Abb. 2).

Medikation und Gesundheitszustand

Bei der klinischen Entscheidungsfindung sollte der orale und systemische gesundheitliche Status eines jeden Patienten mit Komorbiditäten in Form einer individuellen Risikobewertung berücksichtigt werden und falls nötig eine Rücksprache mit Fachärzten erfolgen. Für die Erfassung des Gesundheitsstatus des zu behandelnden Patienten stellt sich die Erhebung der täglichen Medikation als einfaches und sicheres Hilfsmittel dar. Die Zahl der Allgemeinerkrankungen sowie die Zahl der regelmäßig konsumierten Medikamente nimmt mit dem Alter zu, was mit dem Auftreten oraler Erkrankungen und für ältere Menschen typischer Symptome wie Mundtrockenheit zusammenfällt. In Deutschland leiden 75,8 Prozent der Seniorinnen im Alter von 65 bis 74 Jahren an mindestens zwei chronischen Krankheiten.6 Die Prävalenz der Polypharmazie (d. h. Patienten mit mindestens fünf gleichzeitig eingenommenen Medikamenten) liegt in der Gruppe der Senioren im Alter von 70 bis 79 Jahren bei etwa 50 Prozent.7, 8 Seit einiger Zeit wird zusätzlich ein ACB-Score erhoben, der vor allem die anticholinerge Last der Medikation erfasst.9 Eine zu hohe Last führt zu zusätzlichen Symptomen wie Hyposalivation, Sturzgefahr oder Fehlsichtigkeit.

Kardiovaskuläre Erkrankung

Beleuchtet man die kardiovaskulären Erkrankungen, verändert sich das allgemeine Risiko bei chirurgischen Eingriffen aufgrund von Antikoagulanzien und Thrombozytenaggregationshemmern. Beispielsweise muss bei der Antikoagulation zwischen Phenprocoumon/Warfarin auf der einen Seite und den neuen oralen Antikoagulanzien (NOAKs) auf der anderen Seite unterschieden werden. Letztgenannte werden meist im Verlauf des chirurgischen Eingriffs fortgeführt, wohingegen bei Vitamin-K-Antagonisten nach Rücksprache mit dem Hausarzt die Bestimmung des INR-Wertes ggf. mit Pausieren der Medikation aufgrund der besseren Steuerbarkeit abgesetzt werden kann. Ist der Patient doppelt antikoaguliert (z. B. Clopidogrel und Marcumar), wird aufgrund der besseren Kontrolle der Gerinnungsparameter auf Heparin zurückgegriffen. Dies sollte im Rahmen einer Fachklinik erfolgen, da das Nachblutungsrisiko erhöht ist.10

Diabetes

Bei Diabetes mellitus Typ 2 handelt es sich um eine Erkrankung, die in der Regel ältere Patientengruppen betreffen. Der Behandlungserfolg dieser Erkrankung wird über den sog. Langzeitblutzuckerspiegel (HbA1c) evaluiert, wobei ein gut eingestellter Diabetiker einen Wert von < 8,5 aufweist. Dies kann bei der implantatchirurgischen Behandlung mit einem Nichtdiabetiker gleichgesetzt werden. Ein unbehandelter Diabetes mellitus bzw. ein HbA1c-Wert > 8,5 kann zu Wundheilungsstörungen und gestörter Osseointegration führen, was u. a. am hyperreaktiven Makrophagenphänotyp liegt. Daher sollte der Patient in solchen Fällen vor einer chirurgischen Behandlung antibiotisch abgeschirmt werden.11, 12

Radiotherapie

Antiresorptive Therapie und Osteoporose

Eine antiresorptive Therapie mit Wirkstoffen wie Bisphosphonaten oder Denosumab kann ein Risiko für die Implantatchirurgie aufgrund der lang anhaltenden Wirkung auf den Knochen darstellen. Hierbei ist zwischen Patienten zu unterscheiden, die an Knochenmetastasen oder multiplem Myelom erkrankt sind und aufgrund dessen eine intravenöse Therapie mit hochdosierten antiresorptiven Wirkstoffen erhalten und an Osteoporose erkrankten Patienten, die in der Regel geringe Dosen von Antiresorptionsmitteln erhalten. Bei beiden Patientengruppen liegt eine relative Kontraindikation vor, sodass Implantate inseriert werden können, jedoch anhand der Anamnese alle Risikofaktoren abgefragt werden sollten, um eine Bisphosphonat- oder Antiresorptiva-assoziierte Kiefernekrose zu vermeiden. Nach der Leitlinie richtet sich das Risiko einer Osteonekrose sowohl nach der Grunderkrankung, dem genauen antiresorptiven Medikament, deren Applikationsfrequenz und weiteren Begleiterkrankungen (cave: Immuntherapie).13 Auch weitere Medikamente, wie die Einnahme von Glukokortikoiden, können ein potenzielles Risiko in der Implantatchirurgie und für die Überlebensrate der Implantate darstellen, da sie Osteoporose verursachen und somit den Knochenstoffwechsel negativ beeinflussen können.11, 14

Hyposalivation

Xerostomie und Hyposalivation treten vermehrt bei älteren und geriatrischen Patienten aufgrund der konsumierten Medikamente bzw. Polypharmazie auf und wirken sich negativ auf die allgemeine und orale Gesundheit aus (Mundgesundheit, Lebensqualität). Diese Faktoren können wiederum negative Auswirkungen haben, wie z. B. Dysphagie, Kariesinzidenz, Mangelernährung und Einschränkungen der Lebensqualität. Die Hyposalivation bei geriatrischen Patienten ist häufig die Folge einer vorausgegangenen Strahlentherapie, des Sjögren-Syndroms, Alters, Geschlechts oder steht im Zusammenhang mit der Polypharmazie.15 Eine Studie zur genauen Analyse des Einflusses der Hyposalivation auf die Überlebens- und Erfolgsraten von Implantaten zeigt zumal eine Wissenslücke in der Geroimplantologie auf, wobei das Sjögren-Syndrom in einer geringen Anzahl zu frühzeitigen Implantatversagen geführt hat.1, 16

Periimplantäres Gewebe

Da auch die Prävalenz der Parodontitis und ihr Schweregrad mit zunehmendem Alter steigen, spielen die Prävention sowie regelmäßige Kontrollen eine wichtige Rolle. Zwar unterscheiden sich die Risikofaktoren der älteren Bevölkerungsgruppe nicht von denen jüngerer Patienten, doch verschlechtert sich das Krankheitsbild häufig aufgrund einer unzureichenden Mundhygiene. Die Entscheidung, wie häufig eine professionelle Zahn- und Implantatreinigung ergänzend zur häuslichen Mundhygiene erfolgen soll, richtet sich dabei nach den individuellen Bedürfnissen des Patienten.17

Zusammenfassend lässt sich festhalten, dass es keine absoluten Kontraindikationen für die Implantatrehabilitation bei systemisch beeinträchtigten Patienten gibt. Dennoch sollte zur Risikominimierung bei implantatgestützten Rehabilitationen zunehmendes Alter, rheumatologischer Zustand, kardiovaskulärer Zustand und Hepatitis aufgrund ihres negativen Einflusses auf das Ergebnis berücksichtigt werden, da es bis zu 40 Prozent höhere Ausfallraten geben kann.18

Prothetik

Bei der implantatprothetischen Behandlung geriatrischen Patienten stellt eine gute Mundhygiene und Beibehaltung der Mundhygienefähigkeit einen wichtigen Stellenwert dar. Herausnehmbare und festsitzende Implantatversorgungen sollten daher so gestaltet sein, dass sie sich vom Patienten oder von geschultem Pflegepersonal gut reinigen lassen. Bei Bedarf sollten Angehörige oder das Pflegepersonal in die prothetische Planung und in die Anleitung zur Implantatreinigung miteinbezogen werden, um den Erhalt der Implantate und den Mundgesundheitszustand des Patienten aufrechtzuhalten (Abb. 3 und 4). Bei der Zahnersatzplanung älterer Patienten wird häufig die sogenannte „Back-off“-Strategie angewandt, die zwar den aktuellen Behandlungsbedarf der Patienten deckt, aber auch zukünftige Schwierigkeiten und Hindernisse beleuchtet. Gerade bei älteren Patienten können Strategien hilfreich sein, die eine etwaige Demenz oder Altersschwäche des Patienten mit einbindet und prothetische Alternativen der Implantatprothetik bietet. Falls der Patient im letzten Lebensabschnitt motorisch oder kognitiv nicht mehr in der Lage ist, eine ausreichende Mundhygiene der osseointegrierten Implantate zu betreiben, sollten die Implantatsuprakonstruktionen ausbaufähig sein oder durch einfachere Konstruktionen ersetzt werden können.11

Neben der Back-off-Strategie lassen sich einige weitere Strategievorschläge benennen, wenn ein Funktionsverlust eingetreten ist und medizinische Aspekte die Behandlungsplanung beeinflussen. Bei teilbezahnten Patienten kann zur Vermeidung von herausnehmbarem Zahnersatz und Adaptionsschwierigkeiten eine Implantation erfolgen. Hierbei steht zunächst die Beurteilung des Restgebisses im Vordergrund, um eine Prognose des Zahnerhalts zu geben (cave: multiple Zahnhalskaries, Xerostomie). Auch in komplexeren oder unsicheren Fällen des Zahnerhalts kann die Implantation in strategischen Positionen hilfreich sein, um umfangreiche, schwer zu erweiternde Prothesen zu vermeiden.

Findet bei älteren Patienten, die bereits eine Teilprothese tragen, ein Verlust eines strategischen Pfeilers statt, kann es jedoch aus Adaptionsgründen und zur Vermeidung einer komplett neuen Prothese hilfreich sein, ein Implantat an strategischen Stellen zu inserieren und die Prothese umzuarbeiten.11

Gaumenfreie implantatgetragene Deckprothesen im zahnlosen Oberkiefer werden bei älteren Patienten in der Regel zur Vermeidung von Komplikationen nur ohne komplexe augmentative Verfahren geplant. Im Oberkiefer sollten aus Stabilitätsgründen mindestens vier Implantate eingesetzt werden. Im zahnlosen Unterkiefer bewirken zwei bis vier Implantate bereits eine ausreichende Stabilisierung der Prothesen und können sowohl die Kaueffizienz und die mundgesundheitsbezogene Lebensqualität erhöhen sowie die periimplantäre Knochenatrophie oder Atrophie des Kaumuskels reduzieren.19

Festsitzender implantatgetragener Zahnersatz wird bei älteren Patienten aufgrund der geringeren motorischen oder kognitiven Fähigkeiten bei gleichbleibendem Mundhygienebedarf gegenüber herausnehmbarem implantatgetragenem Zahnersatz als komplex gesehen. Da sich der Zahnersatz bezüglich Kaukraft und Lebensqualität nicht stark unterscheidet, kann bei älteren Patienten eher zur herausnehmbaren Implantatprothetik tendiert werden.8

Zweiteilige Implantate bieten zur späteren Erweiterbarkeit und Anpassung des Zahnersatzes an den Allgemeinzustand der Patienten einige Vorteile, da sich verschraubte Suprakonstruktionen einfacher modifizieren lassen. An die Mundhygiene und den Allgemeinzustand des Patienten angepasst, kann beispielsweise komplexer festsitzender implantatgetragener Zahnersatz in eine einfacher zu pflegende herausnehmbare Prothese umgeändert werden. In späteren Stadien, in welchen der ältere Patient kognitiv und motorisch der Mundhygiene des implantatgetragenen Zahnersatzes nicht mehr gerecht wird, können Abutments von Einheilkappen ersetzt und der Zahnersatz somit gingival gelagert werden, um eine komplexe operative Explantation zu umgehen.11

Gerade in der prothetischen Behandlungsplanung der Alterszahnmedizin stellt die partizipative Entscheidungsfindung (PEF) einen bedeutenden Faktor dar. Da die Anpassung an neuen Zahnersatz insbesondere im Alter beeinträchtigt sein kann, hilft die PEF, an die patientenindividuelle Lebenssituation angepasst, den alten Patienten umfassend zu informieren und ihm zu ermöglichen, für sich selbst die bestmögliche Entscheidung für eine verbesserte Mundgesundheit zu treffen.20

Insbesondere in Behandlungsfällen, in denen mehrere Therapieoptionen zur Verfügung stehen und der Patient, wie im nachfolgenden Fallbericht, eine klare Meinung zu seinem Behandlungswunsch hat, kann eine umfangreiche Informationsweitergabe den Patienten über seine Risiken aufklären und verständlich auf Aspekte für eine langfristig erfolgreiche Behandlung hinweisen. Dabei kann es bei älteren Patienten mit langjährig getragenem Zahnersatz ein Erfolg versprechendes Konzept sein, zwar den Patientenwunsch bzw. die Autonomie zu beachten, jedoch die relevanten Eigenschaften des vorhandenen Zahnersatzes, wie die vertikale oder horizontale Dimension der Okklusion, Phonetik oder Ästhetik beizubehalten, wie es im folgenden Fallbericht geplant wurde.

Fallbericht

Im Oktober 2021 stellt sich die 72-jährige Patientin erstmalig im Zentrum für Zahn-, Mund- und Kieferheilkunde der Uniklinik Köln zur zahnärztlichen Kontrolle und Prophylaxe vor. Im Rahmen dieser Behandlung wurde ihr Hauptanliegen erörtert: das ästhetische Erscheinungsbild und die ästhetische Rekonstruktion ihrer Frontzähne mit Implantaten.

Allgemeinanamnestisch gab die Patientin eine dialysepflichtige Niereninsuffizienz (zweimal wöchentlich), einen Morbus Parkinson, kognitives Impairment, Colitis ulcerosa (ausgeheilt), eine Penicillinallergie und einen Pflegegrad 4 an. Zudem wurde die Patientin über ein Jahr nach einem Verkehrsunfall im künstlichen Koma ohne Schluckaktivität über eine Magensonde ernährt.

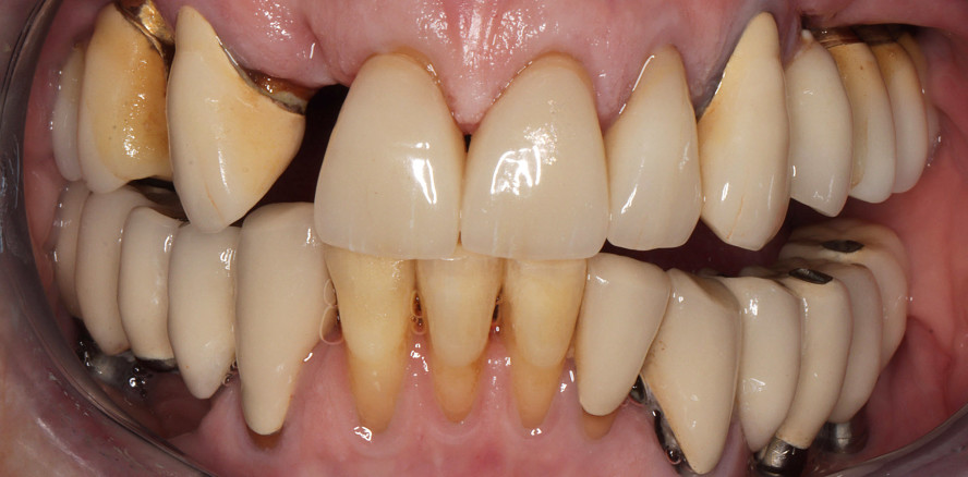
Klinisch wies die Patientin festsitzende implantatgestützte Einzelzahn- bzw. Brückenversorgungen in Regio 18–15, 24–28, 37, 35, 47 sowie einige wenige Restzähne 13, 11-23, 33-43 und die Wurzelreste 14, 12 auf. Die Implantate waren fest, jedoch lagen viele Implantathälse frei. Röntgenologisch zeigte sich rechts- und linksseitig ein Kieferhöhlenaugmentat sowie ein horizontaler Knochenabbau von 60/40/60/40/30/40 Prozent. Der Biss der Patientin war lateral linksseitig prothetisch nicht abgestützt (vgl. Abb. 1, Abb. 5a und b).Die häusliche Mundhygiene der Patientin war mäßig, was zum einen auf ihre eingeschränkte motorische Fähigkeit aufgrund des durch das Parkinson ausgelösten Tremors und zum anderen auf die verschachtelt stehenden Zähne und freiliegenden Implantathälse zurückgeführt werden kann. Die motorischen Einschränkungen der Patientin zeigten sich ebenfalls im Behandlungsstuhl, da zum einen die Mundöffnung reduziert war und die Patientin sich auch auf dem Behandlungsstuhl nicht mobil bewegen konnte.

Alle Befunde wurden interdisziplinär diskutiert und die Patientin umfassend über ihre Therapieoptionen aufgeklärt. Als Vorbehandlung erfolgte zunächst eine Mundhygieneinstruktion sowie eine professionelle Zahn- und Implantatreinigung, die in einem Recall von drei Monaten wiederholt wurde. Nach EKR fand die Entfernung der Wurzelreste 14, 12, 33 statt (Abb. 6). Das Hauptanliegen der Patientin von neuen Implantaten im Oberkiefer zum Lückenschluss wurde von einem weiteren Implantat im Unterkiefer ergänzt. Im Rahmen der partizipativen Entscheidungsfindung (PEF) wurde die Patientin ausführlich über Befunde, alle Behandlungsoptionen (herausnehmbare Interimsversorgung, Brücke, Implantat), Prognose, mögliche Risiken und Komplikationen aufgeklärt und lehnte zunächst einen provisorischen herausnehmbaren Zahnersatz für die Lückensituation ab, da sie ausschließlich Implantate als Versorgung akzeptierte. Erst nach mehrmaligen Behandlungsterminen bat die Patientin um eine herausnehmbare Prothese als Interimsersatz bis zur Etablierung einer suffizienten Mundhygiene (Abb. 7a und b).

Zur Beurteilung des Knochenangebots und zur weiteren digitalen chirurgischen Planung wurde ein DVT angefertigt, was ergab, dass eine Implantation ohne augmentatives Verfahren in Regio 14, 12 und 33 trotz einer generellen Knochenatrophie möglich wäre (Abb. 8). In einem ausführlichen Beratungsgespräch wurde der Patientin der Reinigungsbedarf der Implantate erläutert und auch auf die Risiken, wie Implantatverlust, Periimplantiden, Infektionen bei Nichteinhaltung einer adäquaten Pflege, hingewiesen und mit anderen prothetischen Alternativen (Brücke) verglichen. Nach PEF entschied sich die Patientin für die Versorgung der Lückensituation mit festsitzender Implantatprothetik sowie für eine prothetische Neuversorgung der Implantatkronen im dritten Quadranten zur Stabilisierung des Bisses (Abb. 9).

Fazit für die Praxis

Die Notwendigkeit einer umfangreichen Befundung, Diagnostik und Erarbeitung individueller Therapiekonzepte bei älteren Patienten ist unstrittig für einen langfristigen Erfolg in der Implantologie und Aufrechterhaltung der Mundgesundheit. Auch wenn Implantate für den Einzelzahnersatz eine oft simple und effektive Behandlungsoption bei hohen Erfolgsraten darstellen, sollten patientenindividuelle Risiken angesprochen und falls möglich interdisziplinär diskutiert werden, um auch in komplizierten Patientenfällen eine langlebige Versorgung zu ermöglichen.

Eine Literaturliste steht hier zum Download für Sie zur Verfügung.

Dieser Beitrag ist im Implantologie Journal erschienen.

Mehr Fachartikel aus Implantologie

ePaper