Oralchirurgie 02.05.2022

Implantattherapie beim Vorliegen einer zemento-ossären Dysplasie



Implantattherapie beim Vorliegen einer zemento-ossären Dysplasie

Foto: © Muhammad Shehadeh

Fibro-ossäre Läsionen der Kiefer umfassen fibröse Dysplasie, ossifizierendes Fibrom und zemento-ossäre Dysplasie (COD: cemento-osseous dysplasia). Die zemento-ossäre Dysplasie tritt in den zahntragenden Bereichen des Kiefers auf und ist wahrscheinlich die häufigste fibro-ossäre Läsion in der klinischen Praxis.1 Sie stellt einen reaktiven Prozess dar, bei dem normaler Knochen durch ein schwach zellularisiertes zementartiges Material und fibröses Bindegewebe ersetzt wird. Der folgende Fachbeitrag stellt einen Patientenfall dar, in dem eine kombinierte Implantattherapie durchgeführt wurde und die Patientin eine zemento-ossäre Dysplasie aufwies.

Floride zemento-ossäre Dysplasie (FCOD)

Die zemento-ossäre Dysplasie wird je nach klinischem und röntgenologischem Befund in drei Subtypen eingeteilt2:

  • periapikal: beschränkt auf den Frontzahnbereich
  • fokal: einzelne Läsion im Molarenbereich, egal, ob zahntragender oder zahnloser Kiefer3
  • florid: umfangreichste Form der zemento-ossären Dysplasie

Die floride zemento-ossäre Dysplasie gilt als umfangreichste Form der zemento-ossären Dysplasie. Der Begriff „florid“ wurde 1976 von Melrose4 eingeführt, um den multiquadranten fibro-ossären bzw. fibro-zementalen Prozess im zahntragenden Bereich der Kiefer, hauptsächlich im Bereich der Molaren und Prämolaren, zu beschreiben.5 Die Ätiologie von FCOD ist unbekannt. Die Läsion könnte aber vom parodontalen Ligament, dem Knochenmark oder von beiden entstehen.6,7

FCOD tritt überwiegend bei Frauen zwischen dem 40. und 50. Lebensjahr auf,8 hauptsächlich bei afrikanisch-stämmigen Frauen (90 Prozent) und weniger bei Kaukasiern und Asiaten.9,10

Die Diagnosestellung einer FCOD basiert hauptsächlich auf der Lokalisation der Läsion, dem Alter, Geschlecht, der klinischen Beschwerdefreiheit und ethnischen Zugehörigkeit des Patienten sowie den radiologischen Merkmalen.11,12 Die meisten Studien raten zwar von einer Biopsie ab,13 allerdings kann die endgültige Diagnosestellung aufgrund der zahlreichen Differenzialdiagnosen nur durch eine Biopsie erreicht werden.14 Als Kompromiss wurde die Probe im Patientenfall dieses Fachbeitrags – wie in der Studie von Heuberger – im Rahmen der indizierten Wurzelspitzenresektion und nicht als alleiniger Eingriff durchgeführt. Radiologisch werden drei Stadien beschrieben:15

  • Stadium 1 – osteolytisches Stadium: radioluzente Läsionen
  • Stadium 2 – gemischtes Stadium: radioluzente und radiopake Läsionen
  • Stadium 3 – osteogenes Stadium: radiopake Läsionen

Mit der Zeit nimmt die Mineralisation im Gewebe zu, nähert sich allmählich dem normalen Zement an und verschmilzt mit diesem, wodurch Zementoblasten in benachbarte Bereiche verdrängt werden und eine Kontinuität mit dem Zahn herstellen. In der mittleren und fortgeschrittenen Phase der zemento-ossären Dysplasie kann eine Abgrenzung der Läsion vom Zahn nicht immer möglich sein.16

Die histologische Analyse von FCOD zeigt ein zelluläres fibröses Bindegewebe. Im späteren Stadium wird ein zementoider avaskulärer Knochen gesehen. Es ist essenziell, die Zahnvitalität für die Differenzialdiagnostik der FCOD durchzuführen, um eine korrekte Diagnose zu stellen, eine Infektion dentalen Ursprungs auszuschließen und dementsprechend eine unnötige endodontische Behandlung zu vermeiden.17-19 Die betroffenen Zähne reagieren positiv auf den Vitalitätstest. Das kann dadurch geklärt werden, dass das im Knochen neu gebildete fibröse Gewebe weder den Pulparaum noch die Pulpa versorgenden Gefäße komprimiert. Das heißt, es gibt keine Entzündungen oder Pulpanekrose.16

Die Erkrankung ist in der Regel asymptomatisch und wird daher als Zufallsbefund bei einer zahnärztlichen Röntgenuntersuchung entdeckt. Eine Resorption, Lockerung oder Dislokation der Zähne wurde in der Literatur nicht beschrieben. Klinische Symptome (Schmerzen und Schwellungen) können nur bei Sekundärinfektionen erscheinen, wenn der avaskuläre Knochen freiliegen würde und demzufolge eine Osteomyelitis entwickelt.15,20 Aufgrund der drei radiologisch unterschiedlichen Stadien können bei vielen Differenzialdiagnosen FCOD infrage kommen.2

  • apikale Parodontitis
  • radikuläre Zyste
  • adenomatoide odontogene Tumoren
  • Odontome
  • ameloblastisches Fibroodontom
  • Osteoidosteom - Osteoblastom
  • Morbus Paget
  • chronische sklerosierende Osteomyelitis
  • kalzifizierender epithelialer odontogener Tumor
  • ossifizierendes Fibrom
  • fibröse Dysplasie

Im Allgemeinen ist keine Behandlung erforderlich. Es werden nur regelmäßige radiologische Nachuntersuchungen empfohlen.19,21

Die Patienten sollten über die langsam wachsende Natur der FCOD sowie das selbstlimitierende Verhalten der Läsionen aufgeklärt werden. Eine endodontische Therapie der betroffenen Zähne ist unabhängig von der Läsion zu indizieren und durchzuführen.15

Die wichtigsten prädisponierenden Faktoren für die Entstehung einer Knocheninfektion bzw. Osteomyelitis sind Zahnextraktionen und Druckstellen von Prothesen. Daher sollten Zahnmediziner an den betroffenen Zähnen operative Eingriffe – einschließlich kieferorthopädischer Bewegungen – möglichst vermeiden.10

Das Management einer infizierten zemento-ossären Dysplasie stellt für Zahnärzte und Kieferchirurgen aufgrund der geringeren Vaskularisierung und der erhöhten Knochenhärte eine große Herausforderung dar und könnte zu Nekrotisierung des Knochens führen.22 In diesem Falle läuft die Therapie ähnlich wie bei den bekannten Kieferknocheninfektionen bzw. -nekrosen (wie z.B. chronische Osteomyelitis, Osteoradionekrose) und umfasst verschiedene Therapieeinsätze je nach Schweregrad der Infektion, wie z.B. Sequesterotomie, Dekortikation, Kastenresektion und Segmentresektion. Die adjuvante Behandlung mit Antibiotika muss zusätzlich erfolgen. Eine plastische spannungsfreie Deckung ggf. mit Weichgewebetransplantation ist zur Vermeidung von Wundheilungsstörungen und freiliegendem Knochen unabdingbar.23

Falldarstellung

Anamnese

Eine beschwerdefreie, 49-jährige kaukasisch-stämmige Patientin wurde zur Implantattherapie Regio 46 überwiesen (Abb. 1). Der Zahn 46 wurde vor mehreren Jahren im Ausland entfernt. Klinisch zeigte sich eine Schaltlücke mit leichtem Knochendefizit. Es lagen im Allgemeinen keine sicht- oder tastbaren Raumforderungen in der Mundhöhle vor, die Mukosa war intakt und verschiebbar. Die Zähne 27, 34 und 36 waren perkussionsumempfindlich, 14, 15, 43, 45 und 47 reagierten vital auf den Kältetest und waren ebenfalls perkussionsunempfindlich. Zahn 26 war avital und hatte eine Karies profunda. Eine Wurzelkanalbehandlung des Zahns war im Therapieverlauf beim Hauszahnarzt geplant. Die allgemeine Anamnese sowie der extraorale Befund waren unauffällig.

Im OPG sowie im DVT – angefertigt im Rahmen der Implantatplanung – wurden insgesamt fünf apikale Läsionen als Zufallsbefund festgestellt. Eine sklerotische Läsion wurden an den Zähnen 14-15 (Abb. 2) und vier gemischte radiopak-radioluzente Strukturen mit zementdichter Masse und radioluzentem Randsaum verschiedener Größen an den Zähnen 36, 34, 45 und 47 (Abb. 3–5) festgestellt. Die Wurzelfüllung am Zahn 36 war insuffizient und am Zahn 34 bestand radiologisch der Verdacht auf eine überstopfte undichte Wurzelfüllung. Die vestibuläre Knochenlamelle schien intakt zu sein, eine Auftreibung des Unterkiefers lag nicht vor (Abb. 6–8).

Behandlungsverlauf

Zur weiteren Abklärung der apikalen Läsionen und im Rahmen der indizierten Wurzelspitzenresektionen an den Zähnen 34 und 36 wurde die Patientin über eine notwendige Knochenprobe aufgeklärt. An den klinisch unauffälligen Zähnen 45 und 47 wurde zunächst, unter Vorbehalt des histologischen Befunds, kein Eingriff durchgeführt.

In Lokalanästhesie und unter antibiotischer Abschirmung erfolgte die Entfernung der Zähne 38 und 27 mit einer Zystektomie Regio 27 (Abb. 9 und 10) und eine Wurzelspitzenresektion – nach Darstellung des Nervus mentalis (Abb. 11) – an den Zähnen 36 und 34 (Abb. 12–14). Die Wurzelspitze des Zahns 34 wurde zur histologischen Abklärung in kubischer Form mit dem umgebenden Knochen reseziert. Der apikale Knochen an beiden Zähnen konnte sich vom normalen Knochen nicht unterscheiden. Abschließend erfolgte die Kürettage der Knochenhöhle mittels eines scharfen Löffels. Der Defekt wurde mit Eigenblut und Kollagen gefüllt und plastisch gedeckt (Abb. 15).

Die histopathologische Aufbereitung ergab zum größten Teil regelhaften kompakten Knochen und zum kleinen Teil neu gebildetes Osteoid mit fibroblastenreichem vaskularisiertem Bindegewebe in den Zwischenräumen. Diese Veränderungen sind vereinbar mit einer zemento-ossären Dysplasie. Die Patientin brachte nach Abklärung der seltenen Diagnose zur nächsten Kontrolle ein zwölf Jahre altes OPG (Abb. 16) mit. In diesem Bild bestand keine der aktuellen Veränderungen, was mehr für die Diagnose zemento-osssäre Dysplasie spricht, da diese in den meisten Fällen erst bei Frauen über 40 Jahren auftritt.

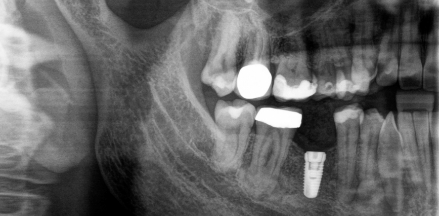
Die postoperative Röntgenkontrolle zeigte ein regelrechtes OP-Ergebnis (Abb. 17). Die Patientin kam eine Woche später mit rückläufigen Beschwerden zur Nahtentfernung. Im Intervall und bei vollständiger Beschwerdefreiheit sowie unauffälliger klinischer Untersuchung erfolgte die gewünschte Implantattherapie Regio 46 (Abb. 18). Die Patientin wird zur regelmäßigen Röntgenkontrolle im Rahmen der Nachsorge der zemento-ossären Dysplasie bestellt. Drei Monate später erfolgte die Röntgenkotrolle nach der Implantatfreilegung. Diese zeigte eine gute Osseointegration, sodass das Implantat einwandfrei versorgt wurde. (Abb. 19). 

Fazit

Die zemento-ossäre Dysplasie ist eine gutartige symptomfreie Läsion im Knochen beider Kiefer. Sie kommt in verschiedenen radiologischen Formen vor und kann dadurch fehldiagnostiziert werden, da viele Differenzialdiagnosen infrage kommen. Die Diagnose kann anhand der Anamnese und des klinischen und röntgenologischen Befunds gestellt werden. Eine Exzisionsbiopsie ist nicht nötig und in manchen Studien sogar abzuraten. Die empfohlene Behandlung der Läsion besteht in der radiologischen und klinischen Beobachtung, und die betroffenen Zähne müssen bei vorhandener Vitalität nicht behandelt werden. Sollte bei Infektionen bzw. Zahnextraktion auf den Knochen interveniert werden, muss eine antibiotische Abschirmung sowie eine plastische Deckung erfolgen.

Die dazugehörige Literaturliste finden Sie hier.

Produkte
Mehr Fachartikel aus Oralchirurgie

ePaper