Implantologie 22.06.2015

Sofortversorgung durchmesserreduzierter Implantate



Sofortversorgung durchmesserreduzierter Implantate

Foto: © Autor

Gerade bei Nichtanlagen stellt sich häufig die Problematik, dass in jungen Jahren noch nicht implantiert werden kann und oftmals die Lückensituationen belassen werden. Für Betroffene stellt es nicht nur eine funktionelle und ästhetische Einschränkung dar, sondern häufig liegt auch eine nicht zu unterschätzende psychologische Beeinträchtigung vor. Oftmals steht vor einer implantatprothetischen Rehabilitation eine kieferorthopädische Vorbehandlung, nach deren Abschluss der verständliche Wunsch einer möglichst raschen festsitzenden Versorgung besteht. Hierzu werden neben einer präzisen Planung und operativen Umsetzung besondere Anforderungen an das zu verwendende Implantatdesign gestellt, um bei schmaler Lückensituation mit durchmesserreduzierten Implantaten die notwendige primäre Stabilität sicher erzielen zu können.

Kasuistik

Bei dem 19-jährigen Patienten sind bei natürlicher Gegenbezahnung die Zähne 12 und 22 nicht angelegt (Abb. 1). Präoperativ erfolgte nach Abschluss der kieferorthopädischen Vorbehandlung eine DVT-Diagnostik, um die idealen Implantatpositionen in Bezug auf das vorhandene Knochenangebot festzulegen und etwaig konvergierende Nachbarzahnwurzeln dreidimensional erkennen und bei der Implantatpositionierung berücksichtigen zu können. Während das Knochenangebot vertikal gut ausreichend ist, ergibt sich aufgrund des geringen horizontalen Platzangebotes zu den Nachbarzähnen die Notwendigkeit der Verwendung durchmesserreduzierter Implantate (Abb. 2–4).

Wunsch nach Sofortversorgung und Implantatauswahl

Aufgrund der ästhetischen Beeinträchtigung besteht seitens des Patienten der dringende Wunsch, nach Abschluss der kieferorthopädischen Behandlung die Lücken nun möglichst rasch implantologisch zu schließen. Daher ist das für seine hohe Primärstabilität bekannte NobelActive Implantatsystem mit seinem konischen Kern und den weit ausladenden Gewindeflanken mit einem Durchmesser von 3 mm das Implantat unserer Wahl.

Implantation – chirurgisches Vorgehen

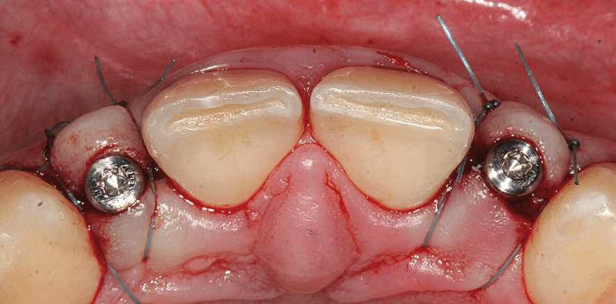
Zur besseren intraoperativen Orientierung bei gleichzeitiger Vermeidung von ästhetisch beeinträchtigenden Narben erfolgt beidseits eine minimale krestale Schnittführung ohne Entlastungsinzision (Abb. 5a und b). Die Aufbereitung der Implantatlager erfolgt mit dem 2-mm-Spiralbohrer in ganzer Länge und nur im oberen Drittel mit dem system typischen zweiten Stufenbohrer mit Durchmesser von 2,4/2,8 mm (Abb. 6 und 7). Dank des spezifischen Implantatdesigns des NobelActive Implantates mit seinem konischen Kern und den weit ausladenden Gewindeflanken resultiert eine hohe primäre Stabilität von jeweils > 45 Ncm, die für die angestrebte Sofortversorgung sicher ausreichend ist (Abb. 8). Die Insertion der Implantate erfolgt zunächst maschinell mit dem grünen Winkelstück, die exakte minimal subkrestale Implantatpositionierung dann mit der bis 70 Ncm drehmomentkalibrierten Handratsche (Abb. 9 und 10). Der gut adaptierende Wundverschluss beendet den chirurgischen Eingriff, bevor die „Open Tray“-Abdruckpfosten mit ihren Retentionselementen eingesetzt werden und mit einem konfektionierten, individuell perforierten Kunststofflöffel nach der Pick-up-Technik die Abformung für die provisorische Sofortversorgung durchgeführt wird (Abb. 11 und 12).Provisorische Sofortversorgung Binnen 24 Stunden werden im Labor direkt auf Implantatniveau verschraubte provisorische Kronen angefertigt. Dank der günstigen Konfiguration des Alveolarfortsatzes und der präzisen Ausrichtung der Implantate kommen die Schraubenzugänge palatinal hinter der Schneidekante zu liegen (Abb. 13 und 14). Aus der direkten Verschraubung resultieren Vorteile in mehrfacher Hinsicht: Die Konstruktion ist unkomplizierter, da die Krone nur aus einer Komponente besteht und Fehlpassungen aufgrund des konfektionierten Anschlusses an das Implantat ausgeschlossen sind. Es besteht nicht die Gefahr, Zement unter das unmittelbar postoperativ nur ganz locker anliegende Weichgewebe zu überpressen, und die kontrollierte Abnahme der Krone ist jederzeit ohne Beschädigung oder forcierten Aufwand möglich, ohne eine ungewollte Lockerung zu riskieren. Der Verschluss der Zugangskavität erfolgt mittels eines kleinen Wattepellets und einer Kompositfüllung (Abb. 15–17). Die radiologische Kontrolle zeigt die genaue epikrestale Positionierung der Implantate und den exakten Sitz der provisorischen Kronen auf den Implantaten (Abb. 18 und 19). Nach dreiwöchiger weiterer Abheilung ist es bereits zu einem signifikanten  Rückgang der postoperativ bei Eingliederung noch deutlich geschwollenen Gingiva gekommen (Abb. 20).

Ausblick – definitive Restauration

Die definitiven Einzelkronen sind nach einer Konsolidierungsphase von ca. drei bis vier Monaten vorgesehen. Die Weichgewebe werden dann sicher konsolidiert sein, sodass für die definitive Versorgung von konstanten Verhältnissen ausgegangen werden kann. Auch für die durchmesserreduzierten Nobel Active-3.0-Implantate besteht dank der CAD/CAM-Technologie die Mög lichkeit der Anfertigung passgenauer  direkt verschraubter Kronen sehr kleiner Dimension.

Zusammenfassung

Gemindertes Platzangebot und der nachvollziehbare Wunsch nach einer implantologischen Sofortversorgung stellen besondere Ansprüche an Planung, operative Technik und das verwendete Implantatsystem. Die dreidimensional bildgebende DVT-Diagnostik ermöglicht es, chirurgische Komplikationen zu vermeiden und die optimale Positionierung der Implantate festzulegen. Dank des spezifischen Implantatdesigns lässt sich auch mit dem durchmesserreduzierten NobelActive 3.0, bei entsprechender Aufbereitungstechnik, die zur Sofortversorgung erforderliche primäre Stabilität sicher erzielen. Die unmittelbare Versorgung mit direkt verschraubten provisorischen Kronen stellt eine  sichere, kosteneffiziente und einfach zu handhabende Versorgung dar, die zu einer hohen Patientenakzeptanz führt.

Mehr Fachartikel aus Implantologie

ePaper