Kieferorthopädie 04.03.2013

Neue Verankerungsoption



Neue Verankerungsoption

Dr. (H) Esfandiar Modjahedpour stellt das IncognitoTM Lite System mit Splints vor.

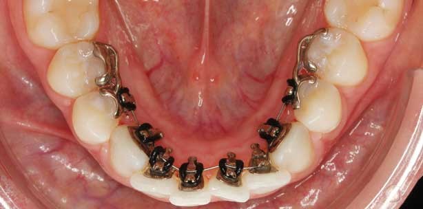
Das IncognitoTM Lite System (Fa. 3M Unitek*) wird seit Oktober 2012 durch die optional zu wählenden Splints zur Verankerung der Prämolaren oder Molaren ergänzt. Die Verankerungssplints dienen als Widerlager bei der Behandlung im Drehstand stehender Canini, bei der Platzbeschaffung durch komprimierte superelastische Bögen sowie bei der Korrektur des Torques. Dabei werden jeweils zwei Bracketbasen mithilfe eines Splints verbunden, wobei die jeweils distale Basis keinen Bracketkörper trägt. Die paralingual sehr flache Gestaltung der Apparatur erhöht deutlich den Patientenkomfort. Ähnlich der physiologischen Zahnbewegung ermöglicht der Verbindungssteg einen gewissen Bewegungsspielraum zwischen den beiden Splintbasen. Zur Herstellung der IncognitoTM Lite Apparatur wird eine Korrekturabformung mittels Silikon angefertigt. Anschließend wird das aus den Abformungen gefertigte Malokklusionsmodell gescannt und ein digitales Set-up nach den Vorgaben des Behandlers erstellt. Basierend auf diesem Set-up werden dann drei orthodontische Bögen produziert:

  • 0.014`` NiTi
  • 0.016`` x 0.022`` NiTi
  • 0.0182`` x 0.0182 `` Beta III Titanium.

Je nach Bedarf können zudem weitere orthodontische Bögen durch den Behandler angefordert werden. Die IncognitoTM Lite Lingualapparatur überträgt neben Bewegungen erster und zweiter Ordnung auch die der dritten Ordnung – den Torque. Dadurch wird das volle Spektrum der Zahnbewegung umgesetzt. Durch den full size 0.0182`` x 0.0182`` Beta III Titanium-Bogen wird das berechnete Drehmoment auf die Brackets vollständig übertragen. Die IncognitoTM Lite Brackets sowie Splints werden wahlweise entweder mit einem Silikontray für selbsthärtende Bracketkleber oder mit einem transparenten Tray für dual härtende Bracketkleber in einem indirekten Klebeprozess eingesetzt. Es ergeben sich verschiedene Behandlungsindikationen für das IncognitoTM Lite System, welche anhand folgender Fallbeispiele aufgezeigt werden sollen.

Fall 1 (Abb. 1a–e): Splints auf den UK-Prämolaren

  • Diagnose: ausgeprägter frontaler Engstand mit im Drehstand befindlichen Canini 
  • Maßnahme: IncognitoTM Lite mit Splints auf den Zähnen 34 und 35 sowie 44 und 45 
  • Bogensequenz: 0.014'' NiTi, 0.016'' x 0.022'' NiTi, 0.0182'' x 0.0182'' Beta III Titanium  
  • Behandlungsdauer: sechs Monate

Fall 2 (Abb. 2a–c; 3a, b): Splints auf den Prämolaren und Molaren

  • Diagnose: Rezidivbehandlung nach Extraktion von 14 und 24 sowie orthodontischem Lückenschluss 
  • Maßnahme: IncognitoTM Lite mit Splints auf den Zähnen 15 und 16 sowie 25 und 26  
  • Bogensequenz: 0.014`` NiTi, 0.016`` x 0.022`` NiTi, 0.0182`` x 0.0182`` Beta III Titanium  
  • Behandlungsdauer: sechs Monate

Der Vergleich vor versus nach der Behandlung zeigt unter anderem die Angulationseinstellung der Zähne 11 und 21 sowie die Korrektur des Torques der Zähne 12 und 13.

Fall 3 (Abb. 4a–e:): Splints auf den Zähnen 34-35 sowie 44-45

  • Diagnose: frontaler Engstand mit Platzmangel Regio 33 
  • Maßnahme: Zur Platzbeschaffung wurde ein komprimierter Draht mit Stop Regio 33 eingesetzt. Der Splint auf den Zähnen 34 und 35 diente als Verankerung. 
  • Bogensequenz: 0.014`` NiTi, 0.016`` x 0.022`` NiTi, 0.0182`` x 0.0182`` Beta III Titanium 
  • Behandlungsdauer: sechs Monate

Fall 4 (Abb. 5a–e): Splints auf den OK-Prämolaren

  • Diagnose: ausgeprägter frontaler Engstand mit Zahn 12 im mesialen Drehstand
  • Maßnahme: IncognitoTM Lite mit Splints auf den Zähnen 14 und 15 sowie 24 und 25 
  • Bogensequenz: 0.014`` NiTi, 0.016`` x 0.022`` NiTi, 0.0182`` x 0.0182`` Beta III Titanium 
  • Behandlungsdauer: sechs Monate

Fazit
Das IncognitoTM Lite System mit Splints bietet eine in ihrer Umsetzung sichere und klinisch einfache Möglichkeit, Patienten eine State of the Art-Lingualbehandlung zukommen zu lassen. Die Kontrolle der dritten Ordnung wird hierbei durch das IncognitoTM Lite Bracket ermöglicht. Individuelle Splints erlauben eine stabile Verankerung der distalen Segmente und dienen als Widerlager während der Korrekturen im Front-Eckzahn-Bereich. Durch das bewusste Fehlen der Bracketkörper am endständigen Prämolaren bzw. Molaren entsteht eine paralingual besonders flach gestaltete Apparatur, welche somit einen erheblich höheren Patientenkomfort bietet. Das Zusammenspiel von präzisen Bracketslots und individuell angepassten, industriell gefertigten orthodontischen Drähten ermöglicht eine präzise klinische Umsetzung des prätherapeutisch geplanten Set-ups.

*3M Unitek ist eine Zweitniederlassung der 3M Deutschland GmbH

Mehr Fachartikel aus Kieferorthopädie

ePaper