Kieferorthopädie 12.06.2013
Die Herbst-Apparatur bei Erwachsenen der Angle-Klassen II/1 und II/2
share
Das erstmals Anfang des 20. Jahrhunderts von Emil Herbst vorgestellte und von ihm als Scharnier bezeichnete Gerät zur Unterkiefervorverlagerung geriet nach einigen Veröffentlichungen in den 1930er-Jahren mehr oder weniger in Vergessenheit, bis Hans Pancherz die Herbst-Apparatur wiederentdeckte und sie mit ihrem Mechanismus und ihrer Wirkungsweise so eingehend untersuchte, dass sie somit zu einer der am besten erforschten kieferorthopädischen Apparaturen wurde.1–5
Heute ist die Herbst-Apparatur aus der modernen kieferorthopädischen Praxis nicht mehr wegzudenken. Zudem stand sie Pate für viele an ihr orientierter Derivate.6,7
Entgegen herausnehmbarer Apparaturen zur Bisslagekorrektur eines Distalbisses, deren Erfolg maßgeblich von der Mitarbeit des Betroffenen abhängt und deren Indikation wachstumsabhängig nur in einem überschaubaren Zeitfenster zumeist in der zweiten Wechselgebissperiode zu sehen ist,8,9 wirkt die festsitzende Herbst-Apparatur den ganzen Tag, sodass die Kooperation des Patienten vernachlässigt werden kann und innerhalb kurzer Behandlungszeiten von wenigen Monaten der Behandlungserfolg eintritt.
Die Apparatur kann prinzipiell an Bändern gelötet oder mit Schienen gegossen hergestellt werden. Wir verwenden ausschließlich die gegossene Version, da neben der wenig zeitraubenden klinischen Arbeit am Patienten mit dem Entfall der Bandanprobe und die erleichterte Eingliederung mit geeigneten Glasionomerzementen insbesondere die hohe Stabilität der Modellgussschienen eine geringe Reparaturanfälligkeit zur Folge hat und durch die gute Oberflächenbeschaffenheit und Passgenauigkeit des Modellgusses die Mundhygiene erleichtert wird. Über die Schienen erfolgt zudem eine gute Verankerung, da die meisten Seitenzähne in die Apparatur körperlich integriert werden. Ferner spielt sicher auch die Prägung während der Weiterbildungszeit durch Professor Pancherz selbst eine Rolle bei der Vorliebe für die gegossene Variante (Abb. 1).
Galt als bester Zeitpunkt zur Verwendung der Herbst-Apparatur lange der jugendliche Patient mit bleibendem Gebiss und überschrittenem pubertären Wachstumsgipfel,10,11 so wurde diese Altersgrenze immer weiter nach hinten geschoben, denn insbesondere der zunehmende Anteil Erwachsener in unserer Praxis äußert den Wunsch nach nicht chirurgischen und extraktionsunabhängigen Therapiealternativen. Nach den Veröffentlichungen von Pancherz und Ruf,12,13 die gute Erfolgschancen bei jungen Erwachsenen bei entsprechender Indikationsstellung sahen, bevorzugen wir inzwischen weitgehend altersunabhängig die Behandlung mit der Herbst-Apparatur als vollwertige Alternative vor der kombiniert kieferorthopädisch-kieferchirurgischen oder der Extraktionstherapie bei Klasse II-Fällen (Abb. 2 bis 14).14–17 Voraussetzung für diese Therapie ist ein entzündungsfreies Parodontium und eine gute oder gut sanierte Zahnhartsubstanz, da die Apparatur über diese Gewebe befestigt wird und ihre Wirkung entfaltet. Die Verweildauer in situ beträgt unter normalen Umständen acht bis zehn Monate.
Von Vorteil bei der Behandlung mit der Herbst-Apparatur ist die Wirkung auf Unter- und Oberkiefer, die wir nicht nur bei Jugendlichen, sondern auch bei Erwachsenen beobachten. Führen reine Distalisationsmechanismen18 nur im Oberkiefer möglicherweise zu einer Verengung des retropharyngealen Raumes, kommt es bei der Herbst-Apparatur über den Headgear-Effekt zwar ebenfalls zu einer Distalisation der Oberkieferseitenzähne,19 was die Korrektur eines vergrößerten Overjets und die Beseitigung eines frontalen Platzmangels begünstigt und somit erwünscht ist, gleichzeitig jedoch führt die Unterkiefervorverlagerung zu einer Volumenvergrößerung des posterioren Luftraumes.20 Eine positive Beeinflussung der Atmung ist zu beobachten. Da neben dentalen auch skelettale Veränderungen eintreten, ist eine Verkleinerung der Gesichtsprofilkonvexität wie bei Jugendlichen nachweisbar.21
Ein weiterer Vorteil gegenüber dysgnathiechirurgischen Interventionen wie auch gegenüber der Extraktionstherapie ist allgemein und insbesondere bei Angle-Klasse II/2-Fällen mit einer retralen Zwangsführungskomponente der positive Einfluss der Herbst-Therapie bei Kiefergelenkerkrankungen durch die schrittweise Vorverlagerung des Unterkiefers. Der Unterkiefer wird zwar zunächst in einem ersten Schritt in Kopfbissrelation zum Oberkiefer eingestellt, doch durch Aktivierung der Teleskopstangen durch aufschiebbare Distanzhülsen während der Therapie wird er noch weiter nach anterior geführt (Abb. 15).
Entgegen der Fixierung der Kiefergelenke bei der operativen Methode und der damit möglicherweise verbundenen Beibehaltung der prätherapeutischen unphysiologischen Kiefergelenksituation kann es während der Herbst-Behandlung zu Adaptationsvorgängen im Kiefergelenk kommen, sodass die Möglichkeit besteht, eine Diskusverlagerung positiv zu beeinflussen (Abb. 16). Es finden unter der Herbst-Therapie Remodellationsprozesse an Diskus, Fossa und Kondylus statt (Abb. 17). Somit stellen kraniomandibuläre Dysfunktionen auf keinen Fall eine Kontraindikation für eine Herbst-Behandlung dar. Vielmehr begünstigt die Therapie die Rehabilitation der Kiefergelenksituation.21–24
Beim Einsatz der Herbst-Apparatur bei Erwachsenen orientieren wir uns weitgehend an der Behandlungsroutine bei Jugendlichen, nur die Verweildauer in situ ist verlängert. Durch Veränderung des Gerätedesigns und Modifikation der industriell hergestellten Teleskopstangen und -rohre können wir unseren Patienten eine nahezu uneingeschränkte Lateralbewegung ermöglichen, was einen enormen Gewinn an Tragekomfort zur Folge hat, die Akzeptanz für die Therapie erhöht und die spätere Entfernung der Apparatur erleichtert. Diese Modifikation geschieht durch reduzierende Veränderungen am Befestigungssockel und durch Vergrößerungen der Befestigungsösen von Teleskopstange und -rohr (Abb. 18). Die gegossene Herbst-Apparatur wird in unserer Praxis generell aus einer nickelfreien Aufbrennlegierung hergestellt. Diese minimiert das Risiko allergischer Reaktionen und ist durch die geringere Vickershärte im Vergleich zur klassischen CoCrMb-Legierung deutlich besser und feiner auszuarbeiten.
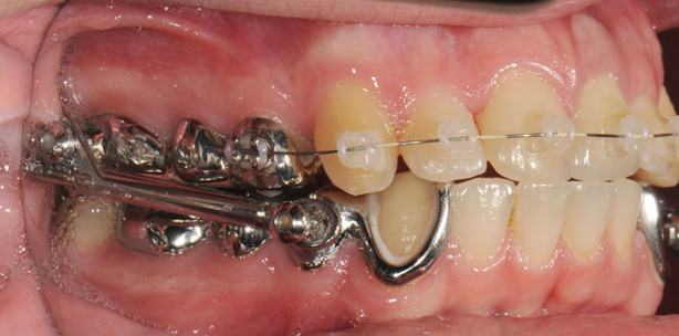
Bei der mit bukkalen Brackets durchgeführten Standardtherapie wird die Herbst-Apparatur in der ersten Phase mit Brackets an den Frontzähnen im Oberkiefer kombiniert (Abb. 19). Es werden im Normalfall keine Brackets im Unterkiefer verwendet, da diese nur die Hygiene erschweren und die Reparaturanfälligkeit erhöhen. Der linguale Verbindungsbügel sollte die Frontzähne nicht berühren (Abb. 20). Die Eckzähne werden nur dezent gefasst und demzufolge ohne aufgeschweißte Brackets versehen (Abb. 21).
Wir bevorzugen selbst beim Deckbiss die einzeitige Verfahrensweise, d.h. die Vorbehandlung zur Proklination der Frontzähne entfällt, da es durch die Bissöffnung durch den beim Deckbiss vergesellschafteten tiefen Biss letztendlich auch zu einer vergrößerten Frontzahnstufe kommt und somit der Effekt der Vorverlagerung bei Einstellung einer Kopfbissrelation festzustellen ist (Abb. 22). Die Überkorrektur bzw. Rezidivprophylaxe erfolgt durch Lückenbildung zwischen den oberen Eckzähnen und den ersten Prämolaren, eine Mesialrelation der Molaren wird eingestellt (Abb. 23). Dadurch können wir auf die Einstellung eines frontalen Kreuzbisses verzichten, die Patienten werden niemals weiter nach anterior als in Kopfbissrelation geführt.
In Sonderfällen kommen auch Brackets im Unterkiefer zum Einsatz (Abb. 24). Dies geschieht in Fällen ausgeprägter lückiger Proklination oder in Fällen notwendiger Frontzahnextraktionen bei massivem Platzmangel oder bei Vorliegen einer Boltondiskrepanz der Zahnbreiten. In diesem Fall kann die Verweilzeit der Herbst-Apparatur sinnvoll auch für die Therapie im Unterkiefer genutzt werden.
In der zweiten Phase der Behandlung nach Entfernung der Herbst-Apparatur erfolgt die Feinkorrektur mit einer komplettierten Multibracket-Apparatur in Ober- und Unterkiefer (Abb. 25c, d).
Äußert der Patient den Wunsch nach lingualen Behandlungsalternativen, hängt die weitere Verfahrensweise in unserer Praxis davon ab, welche Gründe für den Patienten für eine Therapie ausschlaggebend waren. Ist es subjektiv der vergrößerte Overjet, den der Patient als primäre Behandlungsindikation angibt, verwenden wir die gegossene Herbst-Apparatur zur alleinigen Bisskorrektur wie vorher beschrieben, demzufolge ohne Brackets im Oberkiefer (Abb. 26).
Um eine Bukkalrotation im anterioren Bereich der Oberkieferschienen durch die distal exzentrische Kraft der Teleskoprohre zu unterbinden, kombinieren wir die Herbst-Apparatur mit einem Transpalatinalbogen (Abb. 27), der passiv gebogen und befestigt wird. Bei transversalen Diskrepanzen kann dieser gegebenenfalls aktiviert werden. Nach Erreichen der gewünschten Bisslagekorrektur inklusive der Überkorrektur durch Lückenbildung werden aufgrund der Produktionszeit der Lingualbrackets bis zu deren Einsatz Retentionsschienen getragen, für die ähnlich dem TwinBlock nach Clark eine Verschlüsselung in Kopfbissrelation vorgegeben ist (Abb. 28). Starke Einzelzahnabweichungen werden bei der Schienenherstellung so ausgeblockt, dass trotzdem eine Sicherung der Zahnstellung bis zum Eingliedern der Lingualbrackets gewährleistet ist. Nach deren Eingliederung erfolgt die Feinkorrektur (Abb. 29).
Ist die Overjetkorrektur aus Sicht des Patienten eher sekundär, ist diese aber im Rahmen der Therapieplanung vorgesehen, können die Lingualbrackets auch als erste Therapiemaßnahme eingegliedert werden, um dann nach Ausformen der Kiefer gemäß vorgegebenem Set-up die Bisslagekorrektur hintenan zu stellen. Hier orientieren wir uns ebenfalls an dem durch den Hersteller der Lingualbrackets vorgegebenen Protokoll und kombinieren die Herbstteleskopstangen und -rohre über gegossene Befestigungsbänder an den unteren Eckzähnen und den oberen ersten Molaren mit der lingualen Apparatur (Abb. 30).
In den letzten Jahren konnten wir in unserer Praxis weit mehr als 100 Erwachsene im Alter zwischen 20 und 55 Jahren mit der Herbst-Apparatur behandeln, trotz allgemeinen Anstieges der Anzahl kombiniert kieferorthopädisch-kieferchirurgischer Behandlungsfälle sind die chirurgisch zu lösenden Klasse II-Fälle bei uns zu vernachlässigen. Die ersten 30 mit der Herbst-Apparatur behandelten Erwachsenen wurden für ein im Rahmen der DGKFO-Jahrestagung in Dresden vorgestelltes Poster nach praxisrelevanten Parametern ausgewertet. Bei allen Patienten konnte eine neutrale Bissrelation erreicht werden. Die untersuchten Parameter der FRS- und Modellanalyse veränderten sich in Richtung der angestrebten Standardwerte. Die erreichten Behandlungsergebnisse waren auch nach Abschluss der aktiven Behandlung nach ca. zwei Jahren und in einigen Fällen über Retentionszeiträume von nunmehr bis zu zehn Jahren unverändert und stabil. Besonders hervorzuheben waren in diesem Zusammenhang die dauerhafte Verlängerung des horizontalen Unterkieferastes und der geringe Einfluss des vertikalen Schädelaufbaus auf den Therapieausgang (Tab. 1).


Tabelle 1: Ergebnisse der Mittelwerte der untersuchten Parameter der FRS- und Modellanalyse und die Veränderung der UK-Länge nach der Behandlung in Prozent. Die Auswertung erfolgte anhand der Befundunterlagen vor Behandlungsbeginn und nach der Retentionsphase bei Abschluss der Therapie.
Entgegen der zahngetragenen Herbst-Derivate weist die gegossene Herbst-Apparatur eine geringe Reparaturanfälligkeit auf und es kommt zu einer geringeren Proklination der Unterkieferfront als bei den Derivaten. Dies liegt möglicherweise an der kompletten Fassung der klinischen Krone bei den Ankerzähnen, sodass durch die Geometrie der Fassung eine geringere Kippung dieser Zähne resultiert und der Krafteinfluss auf die untere Front minimiert wird. Durch die Kombination der Herbst-Apparatur mit ästhetischen oder Lingualbrackets wird zudem dem Anspruchsdenken der Erwachsenenklientel Rechnung getragen. Eine mäßige Akzeptanz durch das Gerätedesign ist in unserer Praxis nicht festzustellen.
Insbesondere durch die von uns aus der industriell gelieferten Teleskopstangen/-rohrkombination geschaffene nahezu uneingeschränkte Beweglichkeit, sonst ein Vorteil der Herbst-Derivate, erfolgt auch bei Erwachsenen eine erstaunlich schnelle Gewöhnung an die Apparatur. Probleme bei der Mundhygiene oder bei der Nahrungsaufnahme treten üblicherweise nicht auf. Zudem entfallen Operations- und Narkoserisiko der chirurgischen Alternativen.
Die Literaturliste ist beim Autor erhältlich.