Die Grundidee der weltweit eingesetzten Sagittal First™-Behandlungsphilosophie ist es, gleich zu Beginn einer Klasse II- bzw. Klasse III-Therapie für Klasse I-Okklusionsverhältnisse zu sorgen. Das heißt, noch bevor Brackets geklebt oder Aligner eingebracht werden, wird die vorliegende Malokklusion in eine Klasse I überstellt, was durchschnittlich etwa vier bis sechs Monate in Anspruch nimmt. Da keine Kräfte entgegenwirken, ist die Überstellung umso effektiver, sodass sich die Dauer der Behandlung insgesamt verkürzt. Der folgende Beitrag zeigt einen klinischen Fall mit Klasse II/1-Malokklusion, der mithilfe der Carriere® Motion 3D™ Apparatur sowie selbstligierenden Brackets innerhalb von zwölf Monaten therapiert wurde.
Eine 14-jährige Patientin stellte sich mit einer Klasse II/1-Malokklusion (dental und skelettal) in unserer Praxis vor. Ihre Hauptbeschwerde zeigte sich in einem vergrößerten Overjet sowie Schwierigkeiten, den Mund zu schließen.
Abb. 1a und b: Gesichtsfotos der Patientin,
Front und Profil. Die Unterlippe ist durch den vergrößerten Overjet nach außen gewölbt, was zu einem unästhetischen
Erscheinungsbild führt.
Abb. 1a und b: Gesichtsfotos der Patientin,
Front und Profil. Die Unterlippe ist durch den vergrößerten Overjet nach außen gewölbt, was zu einem unästhetischen
Erscheinungsbild führt.
Abb. 2a–f: Okklusale, frontale und seitliche Ansichten der Zähne. Beachten Sie den vergrößerten Overjet, den Tiefbiss sowie das dentale Klasse II/1-Verhältnis.
Abb. 2a–f: Okklusale, frontale und seitliche Ansichten der Zähne. Beachten Sie den vergrößerten Overjet, den Tiefbiss sowie das dentale Klasse II/1-Verhältnis.
Abb. 2a–f: Okklusale, frontale und seitliche Ansichten der Zähne. Beachten Sie den vergrößerten Overjet, den Tiefbiss sowie das dentale Klasse II/1-Verhältnis.
Abb. 2a–f: Okklusale, frontale und seitliche Ansichten der Zähne. Beachten Sie den vergrößerten Overjet, den Tiefbiss sowie das dentale Klasse II/1-Verhältnis.
Abb. 2a–f: Okklusale, frontale und seitliche Ansichten der Zähne. Beachten Sie den vergrößerten Overjet, den Tiefbiss sowie das dentale Klasse II/1-Verhältnis.
Abb. 2a–f: Okklusale, frontale und seitliche Ansichten der Zähne. Beachten Sie den vergrößerten Overjet, den Tiefbiss sowie das dentale Klasse II/1-Verhältnis.
Abb. 3a–e: OPG und FRS einschließlich computergestützter Analyse (cephX). Beachten Sie die skelettale und dentale Klasse II-Beziehung sowie das horizontale Wachstum mit reduzierter vertikaler Höhe.
Abb. 3a–e: OPG und FRS einschließlich computergestützter Analyse (cephX). Beachten Sie die skelettale und dentale Klasse II-Beziehung sowie das horizontale Wachstum mit reduzierter vertikaler Höhe.
Abb. 3a–e: OPG und FRS einschließlich computergestützter Analyse (cephX). Beachten Sie die skelettale und dentale Klasse II-Beziehung sowie das horizontale Wachstum mit reduzierter vertikaler Höhe.
Abb. 3a–e: OPG und FRS einschließlich computergestützter Analyse (cephX). Beachten Sie die skelettale und dentale Klasse II-Beziehung sowie das horizontale Wachstum mit reduzierter vertikaler Höhe.
Abb. 3a–e: OPG und FRS einschließlich computergestützter Analyse (cephX). Beachten Sie die skelettale und dentale Klasse II-Beziehung sowie das horizontale Wachstum mit reduzierter vertikaler Höhe.
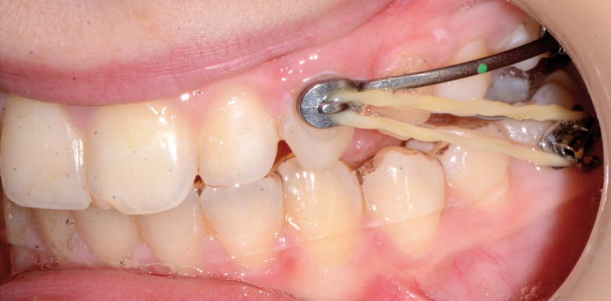
Abb. 4a–c: Carriere® MOTION 3D™ Apparatur in situ. Beachten Sie den auf die
oberen Eckzähnen und oberen ersten
Molaren geklebten Steg der Apparatur,
den Aligner im Unterkiefer sowie die rund
um die Uhr zu tragenden Klasse II-Gummizüge.
Abb. 4a–c: Carriere® MOTION 3D™ Apparatur in situ. Beachten Sie den auf die
oberen Eckzähnen und oberen ersten
Molaren geklebten Steg der Apparatur,
den Aligner im Unterkiefer sowie die rund
um die Uhr zu tragenden Klasse II-Gummizüge.
Abb. 4a–c: Carriere® MOTION 3D™ Apparatur in situ. Beachten Sie den auf die
oberen Eckzähnen und oberen ersten
Molaren geklebten Steg der Apparatur,
den Aligner im Unterkiefer sowie die rund
um die Uhr zu tragenden Klasse II-Gummizüge.
Abb. 5a–e: Klinische Situation vier Monate nach Einsatz der Carriere®
MOTION 3D™ Apparatur, frontale, laterale und okklusale Ansicht. Es wurde ein Klasse I-Molaren-Eckzahn-Verhältnis erreicht und der Raum zwischen den oberen Eckzähnen und lateralen Schneidezähnen sowie zwischen den oberen lateralen
und zentralen Schneidezähnen geöffnet. Der Overjet wurde durch die Distalisation und die mesiale Verschiebung des Kiefergelenkkopfes
auf 2 mm reduziert.
Abb. 5a–e: Klinische Situation vier Monate nach Einsatz der Carriere®
MOTION 3D™ Apparatur, frontale, laterale und okklusale Ansicht. Es wurde ein Klasse I-Molaren-Eckzahn-Verhältnis erreicht und der Raum zwischen den oberen Eckzähnen und lateralen Schneidezähnen sowie zwischen den oberen lateralen
und zentralen Schneidezähnen geöffnet. Der Overjet wurde durch die Distalisation und die mesiale Verschiebung des Kiefergelenkkopfes
auf 2 mm reduziert.
Abb. 5a–e: Klinische Situation vier Monate nach Einsatz der Carriere®
MOTION 3D™ Apparatur, frontale, laterale und okklusale Ansicht. Es wurde ein Klasse I-Molaren-Eckzahn-Verhältnis erreicht und der Raum zwischen den oberen Eckzähnen und lateralen Schneidezähnen sowie zwischen den oberen lateralen
und zentralen Schneidezähnen geöffnet. Der Overjet wurde durch die Distalisation und die mesiale Verschiebung des Kiefergelenkkopfes
auf 2 mm reduziert.
Abb. 5a–e: Klinische Situation vier Monate nach Einsatz der Carriere®
MOTION 3D™ Apparatur, frontale, laterale und okklusale Ansicht. Es wurde ein Klasse I-Molaren-Eckzahn-Verhältnis erreicht und der Raum zwischen den oberen Eckzähnen und lateralen Schneidezähnen sowie zwischen den oberen lateralen
und zentralen Schneidezähnen geöffnet. Der Overjet wurde durch die Distalisation und die mesiale Verschiebung des Kiefergelenkkopfes
auf 2 mm reduziert.
Abb. 5a–e: Klinische Situation vier Monate nach Einsatz der Carriere®
MOTION 3D™ Apparatur, frontale, laterale und okklusale Ansicht. Es wurde ein Klasse I-Molaren-Eckzahn-Verhältnis erreicht und der Raum zwischen den oberen Eckzähnen und lateralen Schneidezähnen sowie zwischen den oberen lateralen
und zentralen Schneidezähnen geöffnet. Der Overjet wurde durch die Distalisation und die mesiale Verschiebung des Kiefergelenkkopfes
auf 2 mm reduziert.
Abb. 6a–e: Aufnahmen von Zähnen und
Gesicht der Patientin mit festsitzender
Apparatur. Man beachte die Verbesserung
des Profils, die vertikale Dimension ist erhöht, Overjet und Overbite sind normal.
Abb. 6a–e: Aufnahmen von Zähnen und
Gesicht der Patientin mit festsitzender
Apparatur. Man beachte die Verbesserung
des Profils, die vertikale Dimension ist erhöht, Overjet und Overbite sind normal.
Abb. 6a–e: Aufnahmen von Zähnen und
Gesicht der Patientin mit festsitzender
Apparatur. Man beachte die Verbesserung
des Profils, die vertikale Dimension ist erhöht, Overjet und Overbite sind normal.
Abb. 6a–e: Aufnahmen von Zähnen und
Gesicht der Patientin mit festsitzender
Apparatur. Man beachte die Verbesserung
des Profils, die vertikale Dimension ist erhöht, Overjet und Overbite sind normal.
Abb. 6a–e: Aufnahmen von Zähnen und
Gesicht der Patientin mit festsitzender
Apparatur. Man beachte die Verbesserung
des Profils, die vertikale Dimension ist erhöht, Overjet und Overbite sind normal.
Abb. 7a–d: Laterale und frontale Ansicht der Zähne nach Abschluss der aktiven Behandlung und dem Debonding der Brackets.
Abb. 7a–d: Laterale und frontale Ansicht der Zähne nach Abschluss der aktiven Behandlung und dem Debonding der Brackets.
Abb. 7a–d: Laterale und frontale Ansicht der Zähne nach Abschluss der aktiven Behandlung und dem Debonding der Brackets.
Abb. 7a–d: Laterale und frontale Ansicht der Zähne nach Abschluss der aktiven Behandlung und dem Debonding der Brackets.
Abb. 8a–c: OPG und FRS einschließlich computergestützter Analyse (cephX) zum Ende der Behandlung. Beachten Sie die Veränderung der Position der Frontzähne.
Abb. 8a–c: OPG und FRS einschließlich computergestützter Analyse (cephX) zum Ende der Behandlung. Beachten Sie die Veränderung der Position der Frontzähne.
Abb. 8a–c: OPG und FRS einschließlich computergestützter Analyse (cephX) zum Ende der Behandlung. Beachten Sie die Veränderung der Position der Frontzähne.
Klinische Untersuchung
Die Aufnahmen des Profils sowie des Lächelns der Patientin zeigten ein symmetrisches Gesicht mit retrudiertem Unterkiefer. Die Unterlippe war durch den vergrößerten Overjet nach außen gewölbt, was zu einem unästhetischen Erscheinungsbild führte (Abb. 1a und b).
Die Patientin hatte ein vollständiges bleibendes Gebiss mit komplett durchgebrochenen zweiten Molaren. Sowohl der obere als auch untere Zahnbogen waren verengt und wies eine V-Form auf, was zu einer Proklination der Frontzähne führte. Das Molaren-Eckzahn-Verhältnis entsprach einer Klasse II/1, der Overjet betrug 6 mm, der Overbite 5 mm. Die Patientin hatte an Zahn 21 ein früheres Trauma erlitten (was bei Kindern mit proklinierten unteren Schneidezähnen sehr häufig vorkommt), sodass der Zahn mithilfe von Komposit restaurativ aufgearbeitet worden war (Abb. 2a bis f). Zudem wies die Patientin eine schlechte Mundhygiene auf.
Die röntgenologische Untersuchung zeigte ein vollständiges bleibendes Gebiss mit Keimen aller vier Weisheitszähne. Die kephalometrische Analyse wies einen kleinen Unterkiefer und Oberkiefer bei einem ANB-Winkel von 4,5 Grad auf. Die oberen Schneidezähne waren nach vorn geneigt (31 Grad nach NA). Es zeigte sich eine aufgrund des Tiefbisses reduzierte vertikale Höhe; die Unterkieferebene wies 23 Grad auf (Abb. 3a bis e).
Behandlung
Der Behandlungsplan umfasste die Korrektur des Klasse II-Verhältnisses durch Distalisierung der oberen ersten und zweiten Molaren bei gleichzeitiger Rotation der ersten Molaren zur Erreichung einer Klasse I-Beziehung sowie Schaffung von Platz, um die Frontzähne nach hinten zu bewegen. Wir entschieden uns für den Einsatz der Carriere® Motion 3D™ Apparatur1 (Fa. Henry Schein Orthodontics*). Die von Dr. Luis Carrière entwickelte Behandlungsapparatur wurde so designed, dass das komplette obere Segment (Eckzahn bis Molar) distalisiert wird und zeitgleich die Molaren in ein Klasse I-Verhältnis rotiert werden. Der untere Zahnbogen wird mithilfe eines Aligners sowie rund um die Uhr zu tragenden intermaxillären Gummizügen verankert (Abb. 4a bis c).
Nach vier Monaten konnte ein Klasse I-Eckzahn-Molaren-Verhältnis erreicht werden. Zwischen den oberen Eckzähnen und seitlichen Schneidezähnen sowie zwischen den oberen seitlichen und mittleren Schneidezähnen konnte zudem Platz geschaffen werden. Durch die erfolgte Distalisation sowie die mesiale Verschiebung des Kiefergelenkkopfes konnte der Overjet auf 2 mm reduziert werden (Abb. 5a bis e).
Die Carriere® Motion 3D™ Apparatur wurde entfernt und selbstligierende Brackets geklebt (WePass, 3B, Hangzhou/China, .018"er Slot, MBT-Prescription). Innerhalb von acht Monaten konnten die Zähne bei anteriorer Torquekontrolle ausgerichtet werden. Die aktive Behandlungszeit betrug insgesamt zwölf Monate (Abb. 6a bis e).
Nach Entfernung der Multibracketapparatur wurden festsitzende Lingualretainer geklebt (Abb. 7a bis d).
Die nach Behandlungsende erstellten Röntgenaufnahmen zeigten parallele Zahnwurzeln, wie sie am Ende einer kieferorthopädischen Behandlung erwartet werden. Die zephalometrische Analyse (cephX) wies fast keine Veränderung der skelettalen Faktoren auf. Die wichtigste Änderung bestand in der distalen Translation der Molaren in ein Klasse I-Verhältnis sowie in der Korrektur von Overjet und Overbite in normale Werte (Abb. 8a bis c).
Diskussion
Der Sagittal First™-Behandlungsansatz setzt die Carriere® Motion 3D™ Appliance zur Behandlung der Anterior-Posterior-Dimension zu Beginn der Behandlung vor dem Einbringen einer Multibracket- oder Alignerapparatur ein. Indem zunächst der schwierigste Part der Behandlung absolviert wird, kann eine Klasse I-Plattform binnen drei bis sechs Monaten erreicht werden, wodurch sich die Gesamtbehandlungszeit um mindestens sechs Monate verkürzt.2 Brackets mit .018''er Slotgröße sind für die Kontrolle des Frontzahntorques einfacher zu handhaben, da weniger starre Behandlungsbögen in kürzerer Zeit zum Einsatz kommen, obgleich selbstligierende Brackets sich bei der Torquekontrolle als weniger günstig erweisen.3
* Vertrieb DE u. a. über ODS oder World Class of Orthodontics
Die vollständige Literaturliste gibt es hier.
Dieser Beitrag ist in KN Kieferorthopädie Nachrichten erschienen.
Foto: Rafi Romano DMD, MSc