Kieferorthopädie 03.04.2012

Autotransplantation von im Wurzelwachstum befindlichen Prämolaren



Autotransplantation von im Wurzelwachstum befindlichen Prämolaren

Wie diese erfolgreich durchgeführt werden kann und welche Voraussetzungen dafür gegeben sein müssen, zeigen Dr. Ewa Monika Czochrowska und Dr. Pawel Plakwicz von der Abteilung Kieferorthopädie und Parodontologie der Medizinischen Fakultät der Universität Warschau/Polen.

Fehlen ein oder mehrere Zähne, bedeutet das beson­ders bei jungen Patienten eine klinische He­rausforderung, denn alle Behandlungsoptionen müssen auf die gesamte Lebensspanne ausgerichtet sein und somit auch das Wachstum berücksichtigen. Die Autotransplantation eigener Zäh­ne stellt dabei eine attraktive Lösung dar, um fehlende maxilläre Schneidezähne oder fehlen­de Zahnanlagen zu ersetzen. Au­totransplantation kann als die chirurgische Verlagerung eines Zahns von einer Stelle zur anderen innerhalb desselben Mundes definiert werden. Das vor mehr als 30 Jahren an der Universität Oslo (Norwegen) entwickelte Protokoll für Zahntransplantationen1,2 wird als eine vorhersehbare Behandlungsalternative bei he­ranwachsenden Patienten angesehen, die auch eine langfristige Perspektive berücksichtigt.3 Auch kieferorthopädische und chirurgische Indikationen sowie das chirurgische Vorgehen und die Nachsorge werden einbezogen. Die enge Zusammenarbeit zwischen dem Kieferorthopäden und dem Oralchirurgen während der Behandlungsplanung und dem Follow-up ist damit ein wichtiger Schlüssel zu einer erfolgreichen Zahntransplantation. In Polen wur­de diese im Oslo-Protokoll beschriebene Herangehensweise bereits vor mehr als zehn Jahren übernommen. Die besten Spenderzähne sind im Wurzelwachstum befindliche, noch nicht durchgebrochene Prämolaren, deren Wurzelentwicklung zu 50% oder 75% fortgeschritten ist. Diese weisen eine günstige Lage für die Entnahme aus dem Zahnbogen und eine Zahnmorphologie auf, die eine Platzierung innerhalb der Alveo­le erlaubt. Die Wurzel solcher Zähne ist weit geöffnet, sodass ei­ne Revaskularisierung der Pulpa und ein Verschließen der Wurzelspitze möglich sind. Außerdem sind sie für einen Chirurgen leicht im Zahnbogen zu erreichen, im Gegensatz zu Weisheitszähnen oder verlagerten Eckzähnen. Ein intaktes Zementum ist obligatorisch für die postoperative Entwicklung eines normalen Parodontalgewebes, damit das Risiko für eine Ankylose verringert werden kann. Ein typischer klinischer Befund bei einer erfolgreichen Zahntransplantation ist ein durchgebrochenes Implantat (Abb. 1). Für die Ankylose kann eine Beschädigung der Wurzeloberfläche verantwortlich sein, die eine häufige postoperative Kompli­kation darstellt. Ein häufiger radiologischer Befund sind eine Obliteration der Pulpa4,5 (Abb. 2) und ein fortgesetztes Wurzelwachstum nach der Transplan­tation. Liegt keine Pulpaobliteration vor, kann dies ein Anzeichen für eine beginnende Nekro­se oder einen Vitalitätsverlust des Zahns sein. Generell reagieren transplantierte Zähne weniger stark auf Vitalitätstests, jedoch sollten sie eine teilweise oder totale Pulpaobliteration aufweisen, um als vital eingestuft zu werden.

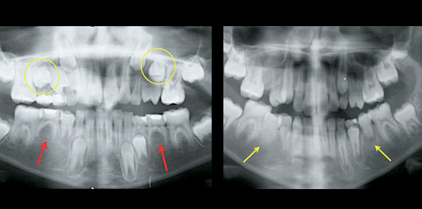
Oft sind transplantierte Prämolaren etwas kürzer als normale Zähne, ihre Wurzellänge ist um 10% bis 15% geringer. Wenn sie jedoch mit der halben Wurzellänge von normalen Zähnen oder kürzer transplantiert werden, sollten sie nach der Operation ein erhebliches Wurzelwachstum zeigen (Abb. 3). Deshalb können als die drei Hauptindikationen für eine erfolgreiche Autotransplantation von im Wurzelwachstum befindlichen Prämolaren die folgenden Aspekte zusam­men­gefasst werden: Pulpaobliteration, fortgesetztes Wurzelwachstum und Durchbruch des Transplantats, wenn es auf gingivaler Ebene transplantiert worden ist. Liegen diese Indikatoren nicht vor, wird gemäß der von Kristerson und Lagerström6 erstellten Kriterien die Autotransplantation nicht als erfolgreich bewertet. Wenn es keine anderen Behandlungsoptionen gibt, sollte dennoch erwogen werden, den transplantierten Prämolaren an dieser Stelle zu belassen. Der Patient sowie dessen Eltern sollten über etwaige postoperative Komplikationen und mögliche Behandlungsalternativen informiert werden. Die meistgenannten kieferorthopädischen Indikationen für eine Autotransplantation von im Wurzelwachstum befindlichen Prämolaren7 beziehen sich auf Patienten mit einer leichten Klasse II-Malokklusion und fehlenden Anlagen der unteren Prämolaren, Patienten, die aufgrund eines Traumas einen oder mehrere maxillare Schneidezähne verloren haben, sowie Patienten mit einer multiplen Agenesie. Solche Anomalien treten oft bei kiefer­orthopädischen Screenings von Patienten unter zehn Jahren auf, wo nicht durchgebrochene Prämolaren vorhanden sein können, die als Spenderzähne geeignet sind. Grundlage hierfür sind kieferorthopädische Indikationen, die deren Entnahme begünstigen. Die Autotransplantation von Prämolaren bei heranwachsenden Klasse II-Patienten mit fehlenden unteren Prämolaren kann erwogen werden, wenn es erstens kei­ne Milchmolaren gibt, die Zeichen einer fortgesetzten Wurzelresorption und damit einer Infraposition (Abb. 1a) oder verkürzte Zahnwurzeln aufweisen, und zweitens das Patientenprofil ei­ne Erhaltung der unteren Zahnbogenlänge und vorzugsweise die Extraktion der oberen Prämolaren erfordert. Abbildung 1 zeigt eine Panoramaaufnahme eines elf Jahre und sechs Monate alten Mädchens mit fehlenden Zahnanlagen der zweiten unteren Prämolaren und einer Infraokklusion der unteren Milchmolaren auf der linken Seite (Abb. 1a). Der Behandlungsplan sah die Au­totransplantation zweier nicht durchgebrochener oberer zweiter Prämolaren vor, um die zwei fehlenden unteren zweiten Prämolaren zu ersetzen (Abb. 1b). Kieferorthopädische Indikatoren implizierten Klasse II-Molaren- und Eckzahnbeziehungen auf beiden Seiten (Abb. 1c, g). Die oberen ersten Prämolaren auf der linken Seite waren übereruptiert. Sechs Monate nach der Operation brachen die transplantierten Prämolaren durch (Abb. 1d, h). Dies dauerte weitere sechs Monate an (Abb. 1e, i). Ein Jahr und acht Monate nach der Transplantation wurden im Zu­ge der kiefer­orthopädischen Behandlung festsitzende KFO-Geräte eingesetzt.

Die orthodontische Bewegung transplantierter Zähne sollte in­nerhalb der ersten sechs Monate vermieden werden. Meist wird damit erst ein bis zwei Jahre nach dem chirurgischen Eingriff begonnen, um nach der Transplantation ein ungestörtes Heilen zu gewährleisten. Nach der kieferorthopädischen Behandlung wurden normale okklusale Beziehungen realisiert (Abb. 1f, j, l) und die oberen Prämolaren wurden im unteren Bogen normal ausgerichtet (Abb. 1m). Die endgültige Wurzellänge der transplantierten Prämolaren war drei Jahre nach dem chirurgischen Ein­griff kürzer als erwartet, aber das Verhältnis von Krone zur Wur-zel war >1 und wurde als zufriedenstellend eingestuft (Abb. 1n). Die Autotransplantation von sich im Wurzelwachstum befindenden Prämolaren bei Klasse II-Behandlungen mit Agenesie der unteren zweiten Prämolaren ermöglicht es, eine normale Län­ge des unteren Zahnbogens beizubehalten und eine zahnärztliche Prothetik als Ersatz für fehlende Zähne zu vermeiden.

Heranwachsende Patienten mit schwer geschädigten oder avulsierten mittleren Schneidezähnen sind oft geeignete Kandidaten für eine Transplantation von im Wurzelwachstum befindli­chen Prämolaren. Wenn fehlende Vor­derzähne nicht durch Zahnersatz ersetzt wurden, welcher sich dem Wachstum anpasst, kann eine signifikante Resorption des alveolaren Knochens auftreten. Die­-se würde zukünftige Transplantationen nach abgeschlossenem Wurzelwachstum unmöglich machen. Die Vorteile der Autotransplantation von sich im Wurzelwachstum befindenden Prämolaren bei beschädigten Schneidezähnen sind nicht nur durch den sofortigen Austausch eines fehlenden Zahns oder fehlender Zähne gegeben. Sie begründen sich auch in ihrem Potenzial für Knochenregeneration, wenn ein Trauma den Alveolarenfortsatz beeinträchtigt oder eine Resorption des alveolaren Knochenkamms vorliegt. Die Abbildungen 2 und 3 zeigen Aufnahmen eines elfjährigen Patienten, der eine große Zyste an der Wurzelspitze des oberen linken mittleren Schneidezahns als eine pathologische Folge der Ex­traktion eines Mesiodens aufwies. Die Zyste wurde zusammen mit der Wurzel des oberen linken mittleren Schneidezahns chirurgisch entfernt, um nichtentzündliche Bedingungen für eine Autotransplantation zu schaffen und den fehlenden Zahn zu ersetzen. Zwei Wochen nach dem chirurgischen Eingriff wurde der nicht durchgebrochene obere rechte zweite Prämolar (Abb. 2c) transplantiert. Drei Monate nach der Transplantation war die Hei­-lung des Knochendefekts deutlich sichtbar (Abb. 2d). Auch im Verlauf der nächsten Monate, besonders nach fünf und neun Monaten (Abb. 2e, f), wurden diese beobachtet. Wurzelwachstum und Pulpaobliteration waren ebenfalls zu erkennen und deuteten auf eine normale Entwicklung des Transplantats hin. Weil der Platz im Implantationsbereich nicht ausreichte, wurde der Spenderzahn während der Operation um 180° gedreht (Abb. 2h). Vier Monate nach der Transplantation wurde ein temporärer Kompositaufbau angepasst, um die Morphologie des Schneidezahns nachzubilden (Abb. 2i). Die kieferorthopädische Behandlung ist nach dem Durchbruch aller bleibenden Zähne vorgesehen.

Bei Fällen mit starker Verla­gerung nicht durchgebrochener Prämolaren kann eine andere Implantatart verwendet werden, die transalveoläre Transplantation. Sie bezeichnet das chirur­gische Aufrichten eines Zahns von seiner anfänglich ektopischen zu einer normalen Position. Abbildung 3 zeigt eine Aufnahme eines verlagerten unte­-ren zweiten Prämolaren bei einem Mädchen von zwölf Jahren und fünf Mo­na­ten. Weil der Winkel zwischen der langen Zahnachse des ver­lagerten Zahns und den langen Achsen der Nachbarzähne mehr als 45° betrug, wurde eine transalveoläre Transplantation gewählt, um den unteren zweiten Prämolaren aufzurichten (Abb. 3a b). Dabei ist es für ei­ne erfolgreich verlaufende Zahnheilung entscheidend, den Spen­derzahn vorsichtig zu entfernen, ohne ein Trauma beim Spen­der­folli­kel zu verursachen. Dies ist aber bei transalveolären Trans­plan­tationen aufgrund der ursprünglichen ektopischen Positionierung des Spen­der­zahns besonders schwierig (Abb. 3e–g). Spenderzähne mit kürzeren Wurzeln und maximal der Hälfte der end­gültigen Wurzellänge werden be­­vorzugt, weil eine atraumatische Entfernung bei diesen Zähnen einfacher umzusetzen ist. Im vorliegenden Fall wird eine normal verlaufende Knochenheilung nach der Transplantation erwartet. Auch eine normale Entwicklung des transplantierten Prä­molaren einschließlich Wurzelwachstum und Zahndurchbruch ist zu erwarten (Abb. 1b–d, h, i). Ein weiterer Vorteil dieser Behandlungsalternative ist die signifikante Verringerung der Behandlungsdauer in Relation zur kieferorthopädischen Traktion. Bei Fällen mit stark verlagerten, nicht durchgebrochenen Prämolaren und einer schlechten Prog­nose für die kieferorthopädische Traktion stellt sie sogar die einzige Alternative zur Zahnextraktion dar. Die Autotransplantation von sich im Wurzelwachstum befindenden Prämolaren kann erfolgreich bei Patienten mit fehlenden An­lagen für Prämolaren oder aufgrund eines Traumas fehlenden oberen Schneidezähnen durch­geführt werden, sofern entsprechende kieferorthopädische und chirurgische Indikationen vorliegen. Die transalveoläre Transplantation kann im Falle eines chirurgisch aufgerichteten verlagerten Prämolaren angewendet werden. Eine gute Kommunikation und Zusammenarbeit zwischen Kieferorthopäde und Oralchirurg ist maßgeblich für ein erfolgreiches Ergebnis. Bei einer Transplantation von sich im Wurzelwachstum befindenden Prämolaren zur anterioren Maxilla sollte auch ein Prothetiker einbezogen werden. Eine umfassende Nachsorge nach erfolgter Transplantation kann zudem wertvolle Informationen über die Heilung von Pulpa und Zahnfleisch vermitteln.

Mehr Fachartikel aus Kieferorthopädie

ePaper