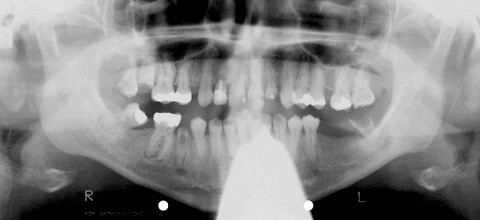
In der vorliegenden Kasuistik wird die oralchirurgische Behandlung einer durch einen Hirntumor körperlich und geistig behinderten Patientin geschildert, die anstatt einer ursprünglich empfohlenen Behandlung in Narkose eine Therapie unter kombinierter Lokalanästhesie/Hypnose wünschte. Trotz erheblicher ärztlicher Bedenken erwies sich die Patientin als ausgezeichnet trancefähig und erlebte die Behandlungssitzungen nahezu stressfrei. Eine ausgedehnte chirurgische Zahnsanierung konnte
Die moderne Anästhesie stellt sich heute in verschiedenen Formen für zahnmedizinische Maßnahmen dar.
Die moderne Anästhesie stellt sich heute in verschiedenen Formen für zahnmedizinische Maßnahmen...
Zur Schmerzreduktion werden heute vorwiegend lokalanästhesiologische Verfahren angewendet.
Zur Schmerzreduktion werden heute vorwiegend lokalanästhesiologische Verfahren angewendet.
Da Sie der Verwendung von Google Maps nicht zustimmten, kann leider keine Karte angezeigt werden.
Haben Sie schon unseren Newsletter abonniert?
Um bei unserer Anwendung Formulare zu verwenden, benötigen wir die Zustimmung um einen Token für das Absenden zu setzen.
Datenschutz und Nutzungserlebnis
Wir übermitteln Daten an Drittanbieter, die uns helfen, unser Webangebot zu verbessern und zu finanzieren. In diesem Zusammenhang werden auch Nutzungsprofile gebildet und angereichert, auch außerhalb des Europäischen Wirtschaftsraumes. Hierfür und um bestimmte Dienste zu nachfolgend aufgeführten Zwecken verwenden zu dürfen, benötigen wir Ihre Einwilligung.
Indem Sie "Alle Cookies akzeptieren" klicken, stimmen Sie diesen (jederzeit widerruflich) zu.
Unter "Manuell auswählen" können Sie die Datenverarbeitung individuell personalisieren.
Unter "Nur notwendige akzeptieren" können Sie die Datenverarbeitung ablehnen.
Indem Sie "Speichern" klicken, stimmen Sie diesen (jederzeit widerruflich) zu.
Um Kartendaten in unserer Anwendung darzustellen, nutzen wir den Kartendienst Google Maps. Willigen Sie der Nutzung von Google Maps ein, werden ggf. personenbezogene Daten (Ihre IP-Adresse) von Google erhoben.
Einbinden von Google Maps erlauben
Einige unserer Videoinhalte (bspw. Livestream) werden über die Videoplattform Vimeo bereitgestellt.
Inhalte von Vimeo erlauben
Einige Beiträge binden Inhalte von Instagram ein. Wenn Sie zustimmen, wird eine Verbindung zu Meta/Instagram aufgebaut und es können personenbezogene Daten wie Ihre IP-Adresse übertragen werden.
Inhalte von Instagram erlauben
Für ein besseres Benutzererlebnis können unsere Werbeanzeigen personalisiert werden. Um dies zu ermöglichen, wird das erstellen von Cookies vorausgesetzt. Sollten Sie diesem Dienst nicht zustimmen, werden Werbeanzeigen zufällig ausgeliefert.
Personalisierte Werbung erlauben
Um sich bei unserer Anwendung Formulare zu verwenden werden Tokens gesetzt die es uns ermöglichen Spam zu verhindern. Sollten Sie dies ausstellen, ist es Ihnen nicht mehr möglich sich bei uns anzumelden oder zu registrieren.
Anmeldeformulare absenden ermöglichen
Bei der Gestaltung unserer Anwendung benutzen wir Schriftarten von Adobe, diese werden über ein CDN geladen. Sollte Sie diesem Dienst nicht zustimmen wird die Standard Schrift des Systems benutzt. Außerdem könnte es zu Fehlern im allgemeinen Anwendungsdesign kommen.
Inhalte von Adobe erlauben
Sie können Ihre Auswahl jederzeit unter "Cookie-Einstellungen“ am Seitenende ändern.