Oralchirurgie 06.12.2013
Pathologie und histopathologische Prognosefaktoren oraler Karzinome
share
Neben dem histologischen Spektrum, den Subtypen der Plattenepithel- und Speicheldrüsenkarzinome, liefert dieser Artikel einen Überblick über die rezente wissenschaftliche Literatur zu histopathologischen und molekularen Prognosefaktoren oraler Karzinome.
Den Beitrag, den der Pathologe zur Diagnostik oraler Tumoren leisten muss, geht heute meist über die Festlegung der Dignität (gutartig oder bösartig) hinaus. Das Spektrum der Plattenepithelkarzinome umfasst genauso wie das Spektrum der Speicheldrüsenkarzinome Varianten mit eher gutartigem Verhalten, geringem Metastasierungsrisiko und Varianten mit aggressivem Verhalten. Gerade in den letzten Jahren sind viele altbekannte Tumorcharakteristika wie die Perineuralscheideninfiltration, die Gefäßinvasion und der Differenzierungsgrad, aber auch neue (immun)histologische und molekulare Marker in modernen klinisch-pathologischen Studien, die die aktuellen Therapiestrategien einbeziehen, analysiert worden, aus denen abzuleiten ist, welche Informationen ein histopathologischer Befund heute enthalten sollte und welche Parameter nur optional oder im Rahmen spezieller klinischer Fragestellungen von Bedeutung sind.
Histologische Subtypen des oralen Plattenepithelkarzinoms
Das orale Plattenepithelkarzinom ist der häufigste maligne Tumor des Kopf-Hals-Bereichs und das achthäufigste Malignom insgesamt. Etwa 2 % der Todesfälle gehen weltweit auf das orale Plattenepithelkarzinom zurück.67 Nach der aktuellen WHO-Klassifikation41 werden bis zu acht histopathologische Subtypen unterschieden (Tab. 1). Der bei Weitem häufigste Subtyp ist das konventionelle, verhornende Plattenepithelkarzinom (Abb. 1a). Hinsichtlich der Anwendung eines Graduierungssystems ist bislang international kein überzeugender Konsens gefunden worden. Dies liegt vermutlich daran, dass sowohl das historische vierstufige Graduierungssystem von Broders13,14 als auch später entwickelte Graduierungssysteme4,12 nur jeweils in wenigen Arbeiten eine prognostische Aussage lieferten,2,3,6,15,16,47 während in anderen Publikationen, darunter auch die aktuelle WHO-Klassifikation41, die Relevanz des Graduierens bezweifelt wird.43,57,62 Daher verlegen sich heute die meisten Pathologen darauf, fast jedem konventionellen Plattenepithelkarzinom einen mittleren Differenzierungsgrad (G2) zuzuordnen.

Vom konventionellen Plattenepithelkarzinom grenzen sich bis zu sieben weitere Subtypen ab, denen entweder ein hoher oder ein niedriger Malignitätsgrad – per definitionem – zugeordnet wird. Am bekanntesten ist sicherlich der sog. Ackerman-Tumor, den Lauren Ackerman 1948 erstmals beschrieben hatte.1 Schon damals zeigte Ackerman unterschiedliche morphologische Ausprägungen dieses Tumors: verruköse und papilläre Formen, die heute dem verrukösen oder papillären Karzinom zugeordnet werden können. Alle Ackerman-Tumoren sind durch ein prädominantes exophytisches Wachstumsmuster gekennzeichnet, gelten als hochdifferenziert und werden daher einem niedrigen Malignitätsgrad (G1) zugeordnet (Abb. 2a und b). Die minimalinvasiven Karzinome sind durch eine hohe Rezidivneigung charakterisiert, können aber – wenn auch selten – lymphogen metastasieren.44,53,60 Eine besondere Variante gut differenzierter Plattenepithelkarzinome der Mundhöhle stellt das Carcinoma cuniculatum dar (Abb. 2c und d). Dieser Subtyp zeigt ein organoides Wachstumsbild, sodass er in den oberflächlichen Abschnitten wie eine reaktive Plattenepithelveränderung imponiert und vom Pathologen als überschießende reaktive Plattenepithelproliferation im Sinne einer pseudoepitheliomatösen Plattenepithelhyperplasie fehlgedeutet werden kann, während die tiefen Abschnitte ein infiltratives, Fuchsbau-ähnliches Wachstumsmuster zeigen.
Neben diesen niedrigmalignen Formen sind hochmaligne Subtypen des Plattenepithelkarzinoms (G3) beschrieben worden, die morphologisch teilweise nur im Entfernten an ein Plattenepithelkarzinom erinnern. Das basaloide Plattenepithelkarzinom (Abb. 1b) ist ein nicht keratinisierender Tumor, der Zellen mit stark zugunsten des Kerns verschobener Kern-Plasma-Relation und eine hohe proliferative Aktivität mit zahlreichen, gut erkennbaren Mitosefiguren aufweist. Das basaloide Plattenepithelkarzinom gilt zwar als aggressiver Tumor, ein signifikanter prognostischer Unterschied zum konventionellen Plattenepithelkarzinom konnte bislang jedoch nicht gezeigt werden.21 Das Spindelzellkarzinom ist ein Tumor, dessen Zellen morphologisch eher an ein Sarkom als an ein Karzinom erinnern (Abb. 1c), der jedoch als Subtyp des Plattenepithelkarzinoms gilt, weil er sich aufgrund seiner Neigung zur lymphogenen Metastasierung wie ein Karzinom und nicht wie ein Sarkom verhält. Oft findet man in Nachbarschaft des Tumors prämaligne Vorstufen der Schleimhaut, z.B. ein Carcinoma in situ des überkleidenden Plattenepithels. Nur ein Teil der Spindelzellkarzinome exprimiert Zytokeratine, die immun-histochemisch nachgewiesen werden können.36,63 Weitere Subtypen sind das akantholytische Plattenepithelkarzinom (Abb. 1d), bei dem die Tumorzellen aufgrund von Mutationen in den Genen, die für desmosomale Strukturproteine kodieren, ihre Zell-Zell-Kontakte verlieren, sodass die Zellverbände „aufreißen“, und das adenosquamöse Karzinom (Abb. 3a), das eine partiell plattenepitheliale und partiell drüsige Differenzierung aufweist.
Die Mischdifferenzierung lässt sich gut in immunhistochemischen Färbungen nachweisen. So zeigt eine Färbung für Zytokeratin 5 (Abb. 3b) eine positive Reaktion basaler Epithelien mit plattenepithelialer Differenzierung, während die luminalen Epithelien sich in der Färbung für Zytokeratin 7 (Abb. 3c) darstellen lassen. Auch diese beiden letzteren Subtypen gelten als hochmaligne (G3).
Klinische und histopathologische Prognosefaktoren des Plattenepithelkarzinoms
Wie schon in der Vergangenheit in zahlreichen Arbeiten belegt worden ist, konnte gerade in jüngster Zeit in einer von Rogers et al. publizierten Studie anhand von 489 Patienten wieder einmal gezeigt werden, dass das Union Internationale contre le Cancer (UICC)-Stadium auch vor dem Hintergrund moderner multimodaler Therapien ein wichtiger Prognosefaktor des oralen Plattenepithelkarzinoms ist (Tab. 2).61 Dabei ist die Resektabilität des Primärtumors von entscheidender Bedeutung für das Überleben der Patienten. Kann die Resektion des Tumors weit im Gesunden erfolgen, ist ein Fünf-Jahres-Überleben von bis zu 90 % erreichbar, bei knapper Resektion in sano liegt das Fünf-Jahres-Überleben bei 60 %, bei Non-insano-Resektion darunter (etwa 40–50 %). Molekular nachweisbare Veränderungen im Resektatrand können einer Metaanalyse von Braakhuis zufolge ein Lokalrezidiv mit einer generellen Sensitivität von 70 % und einer Spezifität von 68 % vorhersagen. Die Autoren werteten hierzu 15 Studien, die unterschiedliche Methoden angewandt hatten (DNA-Ploidie, Mikrosatellitenanalytik, p53-Mutationsanalyse, Protoonkogen EIF4E-Immunhistochemie), mit einer Gesamtfallzahl von 282 aus.11

Auch ein Verlust der Heterozygotie (loss of heterozygosity, LOH) von 9p und eine p53-Expression im Resektatrand sind einer Studie von Graveland et al. zufolge mit einem erniedrigten rezidivfreien Überleben assoziiert.34 In der aktuellen Literatur fallen mehrere sehr interessante Arbeiten zum Management von Patienten mit wenig fortgeschrittenen oralen Karzinomen, zur prognostischen Bedeutung der Gefäßinvasion und der Perineuralscheideninfiltration auf. Eine Studie mit 212 Patienten, bei denen pT1cN0-Tumoren vorlagen, ergab, dass eine Infiltrationstiefe des Tumors von 4 mm eine Indikation für eine elektive Neck-Dissektion darstellt, während bei einer geringeren Infiltrationstiefe die Patienten von einer elektiven Neck-Dissektion nicht profitierten.54 In der Arbeit von Grimm konnte erstmals gezeigt werden, dass die mikrovaskuläre Invasion (V1) ein unabhängiger Prognoseparameter beim oralen Plattenepithelkarzinom ist.35 Auch die Perineuralscheideninfiltration ist mit einem kürzeren Gesamtüberleben und einem kürzeren kranheitsspezifischen Überleben assoziiert.61 Bei lymphogen metastasierten Tumoren wies bereits die grundlegende Arbeit von Woolgar im Jahre 2003 nach, dass eine extrakapsuläre Tumorausbreitung bei Lymphknotenmetastasen mit einem kürzeren Überleben verbunden ist.71
Die Bedeutung des Humanen Papillom-Virus
25 % aller Plattenepithelkarzinome des Kopf-Hals-Bereichs sind mit dem Humanen Papillom-Virus (HPV) assoziiert, wobei die Häufigkeiten je nach Primärlokalisation erheblich differieren und die ätiopathogenetische sowie prognostische Bedeutung ebenfalls sehr variabel erscheint.45 Die HPV-Assoziation ist am stärksten bei Tonsillenkarzinomen (87 %, n = 157) und bei Oropharynxkarzinomen (73 %; n = 120), am niedrigsten bei Larynxkarzinomen (10 %; n = 156) ausgeprägt. Für das orale Plattenepithelkarzinom wird eine Frequenz von 30 % (n = 993) angegeben. Dabei erscheint die HPV-Assoziation am stärksten bei Tumoren im UICC-Stadium II (p = 0,004; Odds Ratio 9,375).18 Jüngst konnte sogar gezeigt werden, dass bei Patienten mit einem Tumor im Frühstadium (UICC-Stadien I und II) dann besonders schnell ein Rezidiv oder Zweittumor auftritt, wenn der Tumor mit HPV 18 assoziiert ist.38 Bei fortgeschrittenen Stadien (UICC-Stadien III und IV) gilt einer anderen Arbeit zufolge eine Assoziation mit HPV 16 als negativer prognostischer Parameter hinsichtlich Überleben und Metastasierungsrisiko.46
Dennoch sind die Aussagen zur prognostischen Bedeutung von HPV beim oralen Plattenepithelkarzinom nicht einheitlich. In der Arbeit von Duray et al. korrelierte der Nachweis von HPV-DNA in oralen Plattenepithelkarzinomen streng mit einer schlechteren Prognose (n = 147; 44 % high risk, 26 % low risk; p = 0,007),23 während in der Studie von Zhao et al. HPV ein positiver Prognoseparameter war (n = 52; 40,4 % HPV-positiv, p = 0,002).73 In der aktuellen Diskussion zu HPV muss auch berücksichtigt werden, dass die nicht keratinisierenden Karzinome des Oropharynx die stärkste HPV-Assoziation aufweisen, sodass fraglich bleibt, ob bei den meist keratinisierenden Plattenepithelkarzinomen der Mundhöhle eine HPV-Assoziation auch ätiopathogenetisch bedeutsam ist, zumal hier 80–90 % der Karzinome mit Tabak- oder Alkoholabusus, also Noxenassoziiert sind.19 Die Frage, ob man ein generelles HPV-Screening empfehlen soll, beantworten Bertolus und Mitarbeiter in einer aktuellen Studie folgendermaßen: „Given our current knowledge, a systematic search for HPV in oral squamous cell carcinoma (OSCC) is therefore a waste of health service resources, and is only relevant in the research environment, such as in organized research protocols. However, further studies continue to search for other infectious agents, including viruses, in OSCC.“8
Prothesen-, implantatassoziierte Karzinome
Ein bislang nur am Rande diskutiertes Thema betrifft das Auftreten von oralen Plattenepithelkarzinomen im Kontext mit Prothesen bzw. Implantaten. In der jüngsten Literatur findet sich hierzu nur eine einzige Arbeit, die in einer kleinen Serie von 19 Patienten eine mögliche Assoziation mit Prothesen/Implantaten einerseits und bekannten Noxen andererseits untersuchte.40 Den Überlegungen zu einer ätiopathogenetischen Bedeutung von Prothesen/Implantaten liegt die Beobachtung zugrunde, dass im Übergangsbereich des Implantats zur Gingiva eine chronische Entzündung vorherrscht. Dabei kann von Entzündungsmediatoren wie Prostaglandinen, Interleukin-1, Interleukin-6 und dem Tumor-Nekrose-Faktor eine destabilisierende Wirkung auf das Epithel der Mundschleimhaut ausgehen. Als Tumorprogressionsmodell wäre dabei das Auftreten einer prothesenassoziierten Leukoplakie mit Entwicklung einer Dysplasie bis hin zur Entstehung eines In-situ- oder invasiven Karzinoms denkbar. Die Autoren registrierten zwischen 1996 und 2009 19 Fälle eines prothesen-/implantatassoziierten Karzinoms. Zehn Patienten hatten jedoch schon zuvor ein orales Plattenepithelkarzinom oder eine prämaligne leukoplakische Läsion entwickelt, sodass das prothesen-/implantatassoziierte Karzinom nunmehr als Zweitkarzinom einzustufen war. Bei fast allen Patienten waren Alkohol und Tabak als zusätzliche Risikofaktoren eruierbar. Vor diesem Hintergrund kommen die Autoren zu dem Schluss: „OSCC is more likely to arise around osseointegrated dental implants in patients with a previous history of cancer. However, the role of other factors including tobacco and alcohol usage cannot be disregarded.“
Molekulare Prognosefaktoren
Jährlich erscheinen in anerkannten Fachzeitschriften mindestens zehn Artikel zu neuen Prognosefaktoren bei oralen Plattenepithelkarzinomen, wobei die meisten Arbeiten methodisch auf immunhistochemischen Studien und/oder RNA-Expressionsanalysen basieren. Von den in den vergangenen zehn Jahren untersuchten neuen Markern – seien es Einzelmarker oder Kombinationen verschiedener Marker, die mit Algorithmen weiter analysiert worden sind – hat es bislang kein einziger in die Standarddiagnostik geschafft; selbst mögliche therapeutische Zielstrukturen wie die Rezeptoren der Wachstumsfaktorrezeptor-Familie werden angesichts mangelnder Signifikanz nicht systematisch untersucht. Ob sich in Anbetracht neuerer Entwicklungen beim Plattenepithelkarzinom der Lunge64 auch neue Perspektiven für das orale Plattenepithelkarzinom ergeben, wird erst in den kommenden Jahren zu entscheiden sein. Tabelle 3 gibt hierzu einen Überblick. In der Arbeit von Lin et al.49 wurde in einem großen Patientenkollektiv gezeigt, dass eine hohe Expression des Erythropoetin-Rezeptors mit einem aggressiveren Verhaltens des Tumors und einem kürzeren Überleben der Patienten assoziiert ist. Die Expression des Erythropoetin-Rezeptors mag Ausdruck einer hypoxischen Situation der Tumorzellen sein und lässt sich mit der Beobachtung korrelieren, dass hypoxische Tumoren weniger strahlen- und chemosensibel sind. Allerdings war die Expression des Erythropoetin-Rezeptors nur in univariaten Überlebensanalysen, nicht aber in einer multivariaten Cox-Regression statistisch signifikant. HOX-Gene kodieren für Transkriptionsfaktoren, welche die Morphogenese steuern, indem sie Proliferation, Apoptose, Adhäsion, Invasion und die epithelial-mesenchymale Transition regulieren.

Tabelle als Vollbild.
Bitu et al.9 konnten zeigen, dass HOXA1 in Plattenepithelkarzinomen überexprimiert wird und die Zellproliferation stimuliert. In einer Studie mit 127 Patienten war eine Überexpression von HOXA1 mit hohem Tumorstadium (T-Stadium, N-Stadium), geringer Differenzierung (G3) und hohem proliferativem Potenzial (Ki-67) assoziiert und stellte sich in der multivariaten Analyse als negativer Prognosemarker dar. Ein weiterer negativer Prognosefaktor war das Vorliegen von Lymphknotenmetastasen (N+), während das T-Stadium, die Tumorgraduierung und die proliferative Aktivität des Tumors nicht signifikante Parameter blieben. Der in die Chromatin-Umstrukturierung eingebundene Faktor RSF-1 (remodeling and spacing factor) scheint einer neueren Arbeit zufolge zusammen mit anderen Faktoren des Chromatin-remodellierenden Komplexes in der Tumorigenese eine Rolle zu spielen und wird in der Mehrzahl der oralen Plattenepithelkarzinome überexprimiert.30 In einer Serie von 98 Fällen konnten die Autoren zeigen, dass eine Überexpression von RSF-1 zusammen mit einem hohen T-Status (T3, T4) und einem positiven Lymphknotenstatus (N+) ein auch in der multivariaten Analyse signifikanter negativer Prognosemarker ist (hazard ratio 33,97). Patienten mit Tumoren, die nur eine geringe RSF-1-Expression aufwiesen, hatten mit einem 15-Jahres-Überleben von etwa 90 % eine sehr gute Prognose. Proteine der B-Zell-Lymphom-(B cell lymphoma-, bcl-)2-Familie sind in die Steuerung und Auslösung der Apoptose eingebunden. Dabei gilt das bcl-2-assoziierte Protein X (Bax) als proapoptotisch. In einer Studie mit 69 Fällen ist jüngst gezeigt worden, dass eine auf Basis einer fluoreszenten immunhistochemischen Markierung eine hohe Expression von Bax auf Tumorzellen als Hinweis auf eine verstärkte Apoptose und damit auf einen beschleunigten Tumorzelluntergang interpretiert werden kann.10 Patienten mit einem Tumor, der vermehrt Bax exprimierte, hatten folglich einen Überlebensvorteil gegenüber Patienten mit geringer Bax-Expression der Tumorzellen. In der Arbeit von Hsu et al.37 ließ sich nachweisen, dass die erhöhte Expression von NBS1 (Nijmegen breakage syndrome), einem DNA-Doppelstrang-Reparaturenzym, mit einem aggressiven Verhalten des Tumors (hohes T-Stadium, hohes N-Stadium, kürzeres Überleben) assoziiert ist. In einer Arbeit, die verschiedene in die Chromatin-Umstrukturierung und die DNA-Reparatur involvierte Proteine wie den CAF (Chromatin assembly factor)-1/p60, PARP (poly[ADP-ribose]polymerase)-1 und Nestin neben CD133, CD44, CD166 und p16 analysierte, ließen sich CAF-1, PARP-1 und Nestin als negative Prognosemarker ermitteln.52 Neben diesen meist auf immunhistochemischen Methoden basierenden Arbeiten sind in jüngster Zeit auch molekulare Genexpressionsanalysen größerer Fallserien publiziert worden. In den Arbeiten aus der Arbeitsgruppe um Mendez50,55,56 (2009–2012) wurde zunächst in einer Serie von 45 Patienten Laminin-2 (LAMC) als Marker ermittelt, der Patienten mit schlechtem Überleben identifiziert,55 später in einer Serie von 113 Fällen ein Modell aus vier Genen (MYO5A, RFN145, FBXO32 und CTONG2002744) entwickelt, das besser als die Tumorgröße bei Patienten das Vorliegen okkulter Lymphknotenmetastasen vorhersagen soll und in der multivariaten Analyse mit einem kürzeren Überlegen assoziiert sei, wobei die Autoren betonen, dass einer dieser vier Faktoren, CTONG2002744, nicht über-, sondern unterexprimiert war.56 Dieselben Autoren haben zuletzt in einer Serie von 167 Patienten eine Gruppe von zunächst 20 Genen ermittelt, die entsprechend einer Risikostratifizierung in drei Risikogruppen eine Krankheitsprogression vorhersagen konnte (multivariat p < 0,0007), und in einer Validierungsstudie mit 69 Patienten univariat eine statistische Signifikanz erreichte (p = 0,019).50
Orale Speicheldrüsenkarzinome
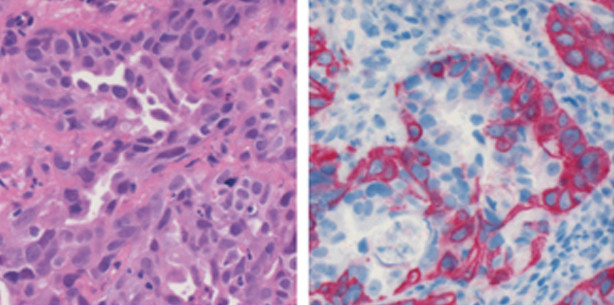
Maligne Tumoren der kleinen Speicheldrüsen der Mundhöhle sind zwar im Vergleich mit den Plattenepithelkarzinomen selten, ihre korrekte Diagnose aber bedeutsam, da sie sich meist prognostisch günstiger verhalten und/oder andere therapeutische Maßnahmen erfordern. 2–3 % aller Neoplasien des oberen Aerodigestivtraktes sind orale Speicheldrüsenkarzinome, bis zu 20 % aller Speicheldrüsenkarzinome entstehen dabei in der Mundhöhle.29 Das Mukoepidermoidkarzinom (MEK) gilt als häufigster maligner Speicheldrüsentumor der Mundhöhle (50 %; Abb. 4a), gefolgt vom adenoid-zystischen Karzinom (AZK, 25 %; Abb. 4b) und dem polymorphen niedrigmalignen Adenokarzinom (PNMAK, 20 %; Abb. 4c). Azinuszellkarzinome, nicht weiter klassifizierbare hochmaligne Adenokarzinome und myoepitheliale Karzinome der Mundhöhle stellen absolute Raritäten dar.17,22,39,70,72 Nach seiner Erstbeschreibung 1983 durch Freedman und Lumerman32 sowie Batsakis et al.7 als „lobuläres Karzinom“ bzw. „Schaltstückkarzinom“ wurde 1984 durch Evans und Batsakis27 die Bezeichnung “polymorphes niedrigmalignes Adenokarzinom” geprägt und bis in die aktuelle WHO-Klassifikation übernommen.51 Aufgrund ihrer morphologischen Besonderheit ist in der Vergangenheit vielfach auf die Differenzierung des PNMAK und des AZK fokussiert worden, weil beide Tumoren sich vom Schaltstück ableiten und durch verschiedene Wachstumsmuster charakterisiert sein können.5,59 Einer der wichtigsten Marker zur Unterscheidung dieser Entitäten ist c-Kit (CD117), das im AZK exprimiert wird, während es im PNMAK fehlt.24,25,58 Dabei mag ihm sogar eine prognostische Bedeutung zuzuschreiben sein.26
Zum PNMAK existiert bislang nur eine einzige große, 40 Fälle umfassende Studie, nach der Patienten mit PNMAK eine bessere Prognose als Patienten mit AZK zu zeigen schienen.28 Dennoch gibt es bislang keine Studie, die im direkten Vergleich einen überzeugenden Unterschied belegte. Auch in der eigenen Arbeit zum oralen Speicheldrüsenkarzinom konnte ein signifikanter Unterschied im Überleben der Patienten nicht herausgearbeitet werden.65 Für das Mukoepidermoidkarzinom (MEK) bleibt festzuhalten, dass das von der WHO-Klassifikation vorgeschlagene Graduierungssystem auch bei allen Mundhöhlentumoren vom Pathologen anzuwenden und vom klinischen Kollegen einzufordern ist.33,66 Bei strikter Anwendung der Kriterien lässt sich zeigen, dass gut differenzierte (G1) Tumoren, insbesondere bei einer Größe < 2 cm (entsprechend T1-Stadium) sich praktisch gutartig verhalten und nicht oder nur sehr selten rezidivieren oder metastasieren. Die Anwendung eines Graduierungssystems bei den adenoid-zystischen Karzinomen ist hingegen immer noch strittig. Ausgehend von den drei wesentlichen Architekturmustern, dem tubulären, dem kribriformen und dem soliden Wachstumsbild, war in der Vergangenheit ein dreistufiges Graduierungssystem für die AZK postuliert worden. In der zuletzt von de Cruz-Perez et al. vorgestellten Überlebensanalyse zeigte sich allerdings, dass sich die tubulären und kribriformen Karzinome nicht wesentlich unterschieden, während die soliden mit einem schlechteren Überleben verbunden waren.20 Berücksichtigt werden muss jedoch, dass die soliden Formen oft dedifferenzierten Tumoren mit erhöhter proliferativer Aktivität entsprechen.68 Insofern erscheint gerechtfertigt, die soliden AZK als hochmaligne (G3) zu interpretieren und alle anderen AZK einem intermediären Malignitätsgrad (G2) zuzuordnen.42 Eine Rarität und ganz besondere klinisch-pathologische Entität stellt das niedrigmaligne kribriforme Adenokarzinom der Zunge (Abb. 4d) dar, das als Variante des PNMAK durch eine sehr frühe lymphogene Metastasierung, aber eine dennoch gute Prognose charakterisiert ist. Der Tumor ist durch ein kribriformes und solides Wachstumsmuster gekennzeichnet und erinnert morphologisch entfernt an ein papilläres Schilddrüsenkarzinom. In der jüngst hierzu publizierten Studie69 mit 23 Patienten waren 14 Tumoren in der Zunge, drei am weichen Gaumen, drei an der Zungentonsille, zwei in der retromolaren Wangenschleimhaut und einer an der Oberlippe lokalisiert, sodass die Autoren die Bezeichnung „Kribriformes Adenokarzinom der kleinen Speicheldrüsen“ vorschlagen. Obwohl 15 Patienten synchrone zervikale Lymphknotenmetastasen (davon drei bilateral) aufwiesen, lag das Zwei-Jahres-Überleben bei über 80 %.
Zusammenfassend lässt sich darlegen, dass sich die histopathologische Diagnostik der Speicheldrüsenkarzinome der Mundhöhle, ihre Typisierung, aber auch die sichere Abgrenzung gegenüber benignen Läsionen, schwierig gestalten können, sodass bei zweifelhaften Fällen stets ein auf dem Gebiet der Speicheldrüsenpathologie ausgewiesener Konsiliarius hinzugezogen werden sollte.
Die Literaturliste finden Sie hier.
Seethrough
Synea Power Edition
Sprayschlauchsysteme
NovaBone
BaLUPO 3 HD
CS 2100
CS 1500
CS 1200
Striate+™
Xylonor Spray N 15 %