Parodontologie 21.02.2011

Der vertikale Knocheneinbruch am Parodont



Der vertikale Knocheneinbruch am Parodont

Die Entscheidungsfindung im Rahmen der implantologischen und parodontologischen Therapieplanung muss sich in erster Linie am Maß des medizinisch Notwendigen, Sinnvollen und eventuell auch am Machbaren orientieren.

Der Wunsch des Patienten nach optimaler Ästhetik sollte ausreichend Berücksichtigung finden. Der vorliegende Fallbericht zeigt eindrucksvoll, wie erfolgreich eine regenerative Parodontaltherapie durch das Zusammenspiel umfassender Diagnostik und modernster Parodontalchirurgie verlaufen und dabei gleichzeitig den ästhetischen Anspruch des Patienten erfüllen kann.


Die Erkenntnis, dass es sich bei der Parodontitis um eine multifaktorielle Erkrankung handelt, sollte in der Behandlungsplanung parodontologisch tätiger Zahnärzte selbstverständlich Berücksichtigung finden. So hängen Etablierung und Progredienz der Parodontitis neben Konzentration und Pathogenität vorhandener parodontopathogener Bakterien auch von der genetischen Prädisposition des Patienten sowie dem Mundhygienestatus, dem Vorliegen von Allgemeinerkrankungen, Stress und Nikotinkonsum ab (Page und Kornman, 1997) (Abb. 1).

Um eine dem Patienten individuell angepasste Behandlung und Nachsorge gewährleisten zu können, ist es daher ratsam, eine möglichst umfassende Anamnese aller krankheits-fördernden Faktoren zu erheben und in der Behandlungsplanung zu berücksichtigen. Neben den klassischen klinischen und röntgenologischen Befunden zur Defektmorphologie etc., sollten auch allgemeinmedizinische und kieferorthopädische Informationen sowie die Einstufung des Interleukin-1-vermittelten Entzündungsrisikos und die Analyse der Subgingivalflora einbezogen werden (Kornman et al., 1997; Laine et al., 2001; Beikler et al., 2006; Socransky et al., 1998).

Anamnese

Eine 27-jährige Lehramtsanwärterin stellte sich im Februar 2008 wegen lockerem Frontzahn 21 sowie fortschreitendem Papillenschwund zwischen den Zähnen 21 und 22 in der Praxis vor (Abb. 2). Die Patientin war seit Mitte 2007 wegen zunehmender Mobilität der Frontzähne und damit einhergehender Lückenbildung in kieferorthopädischer Behandlung. Mit Bracketts wurde die Zahnwanderung gestoppt und der Zahn zurückgeführt, die eigentliche Ursache des Problems wurde damit aber nicht beseitigt. Der anhaltende Papillenschwund wurde von der Patientin als kosmetisch störend empfunden und ließ sie in der Praxis des Autors vorstellig werden. Die Patientin ist Nichtraucherin und befand sich während der Behandlung im Prüfungsstress.

Vorgehensweise

Die parodontale Eingangsuntersuchung ergab eine gute Mundhygiene (API < 25%, BOP < 25%). Das Röntgenbild zeigte bei der ersten Untersuchung einen tiefen Knocheneinbruch (8mm) an 21 (Abb. 3). Die Initialtherapie im April 2008 bestand in einer PZR nach Entfernung der Bracketts, einer Mundhygiene-Trainingsphase sowie einer Aufbiss-Schiene zur Stabilisierung der oberen Inzisivi. Der Parodontalbefund nach Initialbehandlung ergab eine Verschlechterung der Taschentiefe und eine weitere Schrumpfung der Papille zwischen den beiden Schneidezähnen. Der Verlust an Stützgewebe (Attachmentlevel, CAL) summierte sich auf 11mm (8mm Taschentiefe und 3mm Rezession).

Aufgrund des Nichtansprechens auf die Maßnahmen der Hygienephase sowie einer familiär bestehenden parodontalen Vorbelastung wurden eine mikrobiologische Analyse und eine Bestimmung der IL-1-vermittelten Entzündungsneigung mittels kommerzieller Testsysteme (micro-IDent® und GenoType® IL-1, Fa. Hain Life-science, Nehren) durchgeführt.

Diagnose

Die mikrobiologische Analyse zeigte eine stark erhöhte Belastung mit dem hochpathogenen Parodontalkeim Aggregatibacter actinomycetemcomitans (Aa) sowie erhöhte bzw. stark erhöhte Konzentrationen von Keimen des roten Komplexes Treponema denticola (Td) und Tannerella forsythia (Tf) (Abb. 4). Die Analyse der genetisch bedingten, IL-1- vermittelten Entzündungsneigung ergab das Vorliegen des Risikotyps C. Das Vorliegen dieser Genvariante stellt ein erhöhtes Risiko für die Entwicklung einer Entzündungsreaktion auf exogene Reize, wie z.B. parodontopathogene Bakterien, dar. Der multifaktoriellen Ätiologie der Parodontitis folgend ist die Patientin aufgrund des genetischbedingt erhöhten IL-1-Wirkspiegels bei gleichzeitiger Belastung mit stark pathogenen Parodontalkeimen (Aa+++) sowie vorliegender Stressbelastung als Hochrisiko-Patient einzustufen (Kornman et al., 1997; Laine et al., 2001; Van Winkelhoff und Winkel, 2005). Die Diagnose wurde als lokalisierte aggressive Parodontitis marginalis mit vertikalem Knocheneinbruch bei Lockerungsgrad II – III gestellt.

Behandlungsplan

Gemäß mikrobiologischer Analyse erfolgte zunächst eine geschlossene Kürettage (SRP = Scaling and Root Planning) unter Antibiose (Winkelhoff-Cocktail, 8 Tage). Die weitere Behandlungsplanung orientierte sich an der Frage, wie ein zahnmedizinisch sinnvolles und gleichermaßen ästhetisch optimales Behandlungsergebnis zu erzielen ist. Als limitierender Faktor stellte sich dabei der Faser- und Knochenansatz des benachbarten Frontzahnes 22 dar: eine Extraktion von 21 mit nachfolgendem Ersatz durch ein osseointegriertes Implanat würde eine weitere Papillenrezession aufgrund fehlenden Attachments am Nachbarzahn und somit ein kosmetisch inakzeptables Ergebnis zur Folge haben.

Die Entscheidung fiel daher zugunsten einer regenerativen Therapie mit Emdogain, Eigenknochen und Bio-Oss zum Aufbau neuen parodontalen Attachments und zur Weichteilstützung mit nachfolgendem Papillenaufbau. Kontrollierte klinische Studien konnten zeigen, dass eine Kombi- nation von Emdogain mit Eigenknochen zu verbesserten Ergebnissen der Hart- und Weichgewebsparameter führt. In der Behandlung von Rezessionsdefekten mit koronaren Verschiebelappen und Emdogain konnte eine Neubildung von Zement, Desmodont und Knochen erzielt werden. Auch die Breite der keratinisierten Gingiva schien sich signifikant zu vergrößern (Sculean et al., 2007).

Aufgrund einer sehr fragilen, dünnen Gingiva labial bestand bei Anwendung der Papillen-Erhaltungs-Technik nach Cortellini (Cortellini und Tonetti, 2007) die Gefahr einer Lappennekrose bei unterlegtem Eigenknochen. Aus diesem Grund war der Zugang zum bukkalen und approximalen Defekt über eine palatinale Schnittführung sowie einer Spalt- und Volllappenbildung (Murphy-Technik) notwendig.

Die Lappenbildung erfolgte im Gaumenbereich als „Split-Flap“ und im Defektbereich als Volllappen von palatinal mittels Papillenheber und Tunnelinstrument. Nach sorgfältiger Entfernung radikulärer Endotoxine wird die Naht vor der Applikation von PrefGel und Emdogain auf die trockene Wurzel gelegt. Die Auffüllung des Defektes (intra operationem gemessene 12 mm knöcherne und weichgewebige Defekttiefe) wurde anschließend mit retromolar (Regio 48) entnommenem kortikalen Eigenknochen sowie Bio-Oss als Weichteilstütze und Resorptionsschutz durchgeführt (Abb. 6, 7). Nach sofortigem Nahtverschluss diente ein Barricaid-Verband von palatinal als Wundschutz. Aufgrund des vorliegenden Lockerungsgrades II–III war zudem eine Verblockung der Zähne 21 und 22 als Fixierung notwendig.

Behandlungsergebnis

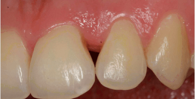
Bereits direkt nach OP zeigt das Röntgenbild eine deutliche radiologische Reduktion der Defekttiefe (Abb. 8b). Die Wundheilung verlief komplikationslos. 35 Tage nach regenerativer OP konnte eine Reduktion der Rezession von 2 mm dokumentiert werden (verbliebene Rezession von 1mm). Auch 240 Tage post OP präsentiert sich eine reizlose Gingiva. Die Rezession beträgt 0 mm, die Sondierungstiefe hat sich von 8 auf 4mm reduziert, was einem CAL-Gewinn von 7mm entspricht (4+3) (Abb. 8c).

Eine zu diesem Zeitpunkt durchgeführte mikrobiologische Kontrolluntersuchung zeigt ein unauffälliges subgingivales Keimspektrum ohne Nachweis von Aa (Abb. 5). Das Ergebnis ist sowohl ästhetisch als auch medizinisch sehr zufriedenstellend. Die Patientin kann den geschienten Zahn (Lockerung 0–I) problemlos belasten. Mit dem ästhetischen und funktionellen Ergebnis ist sie sehr zufrieden (Abb. 9).

Fazit

Die Risiken einer parodontalchirurgischen oder implantologischen Behandlung sind im sichtbaren Frontzahnbereich nicht zu unterschätzen. Knochenaufbauten zum Zahnerhalt und zur Papillenstütze sind dann möglich, wenn der Isthmus interdental mindestens 3 mm breit ist. Während der OP ist unbedingt darauf zu achten, dass die Wurzeloberflächen möglichst frei von Konkrementen sind und der „Füllungsvorgang“ strikt eingehalten wird. Für eine gute Wundheilung sollte die notwendige „primäre Deckung“ erzielt werden. Auch präoperativ können bereits die Weichen für eine erfolgreiche regenerative Therapie gestellt werden. So unterstützt die sorgfältige Anamnese aller individuellen Risikofaktoren eine fundierte Behandlungsplanung. Der Einsatz molekularbiologischer Testsysteme zum Nachweis von parodontopathogenen Markerkeimen und des erblich bedingten Parodontitisrisikos dient als wichtiger Baustein für ein evidenzbasiertes, individuelles und daher maximal erfolgreiches Behandlungskonzept. Vor allem aufwendige Sanierungen wie im geschilderten Fallbereich sollten erst bei nachgewiesener Keimfreiheit erfolgen, um einem mikrobiologisch indizierten Behandlungsmisserfolg vorzubeugen. Eine drei bis sechs Monate nach erfolgter geschlossener Therapie durchgeführte Kontrolluntersuchung dient zur Erfassung potenzieller Reinfektionen.

Verschiedene wissenschaftliche Veröffentlichungen haben außerdem gezeigt, dass ein Zusammenhang zwischen dem Auftreten von IL-1-Veränderungen und einem schwerwiegenden Krankheitsverlauf bzw. dem Auftreten von Komplikationen besteht. Wenn weitere Risikofaktoren, wie z.B. Rauchen und Stress und bestimmte Keimkonstellationen, hinzukommen, wird diese Tendenz zusätzlich verstärkt (Laine et al., 2001; Scapoli et al., 2005, Mc Guire und Nunn, 1999). Die Kenntnis des individuellen IL-1-Genotyps erlaubt dem behandelnden Zahnarzt – vor allem in Kombination mit eventuell weiteren vorhandenen Faktoren – das Risikopotenzial eines Patienten für auftretende Komplikationen während der Behandlung abzuschätzen (Simon et al., 2007). In Absprache mit dem Patienten kann dann eine Behandlung geplant werden, die für alle Beteiligten maximale Zufriedenheit verspricht.

Das Behandlungsergebnis ist sehr techniksensitiv und nach Erfahrung des Autors nur unter mikrochirurgischen Kautelen wie speziellem Instrumentarium und adäquater Vergrößerung und Ausleuchtung (mithilfe des Varioscopes HM 500 dental, Leica) zu erreichen.

Eine ausführliche Literaturliste finden Sie hier.

Autoren: Dr. med. dent. Wolfgang Dirlewanger M.M.Sc. (Implantologie und Parodontologie) und Dr. rer. nat. Sylke Dombrowa



Mehr Fachartikel aus Parodontologie

ePaper