Prophylaxe 08.12.2022

Hat Parodontitis eine autoimmune Komponente?



Hat Parodontitis eine autoimmune Komponente?

Foto: © DDr. Christa Eder

Parodontitis und Autoimmunerkrankungen

Parodontale Entzündungen werden durch eine Destabilisierung des oralen Mikrobioms mit Überhandnehmen aggressiver, meist anaerober oder fakultativ anaerober Keime und einer daraus resultierenden inadäquaten Immunreaktion ausgelöst und aufrechterhalten.1 Der nachfolgende Beitrag gibt einen Überblick über die Zusammenhänge von Parodontitis und autoimmunen Krankheiten.

Die spezifischen und unspezifischen Abwehrmechanismen der lokalen Gewebe führen, getriggert durch Virulenzfaktoren und toxische Stoffwechselprodukte der Keime, zu einer überschießenden Freisetzung proinflammatorischer Enzyme sowie zur Aktivierung und Migration von Leukozyten aus den gingivalen Gefäßen (Abb. 1). Diese eigentlich zur Eliminierung oder zumindest zur Reduktion der pathogenen Bakterien rekrutierten Abwehrzellen richten sich aber bei gestörtem biologischen Gleichgewicht zwischen Mikrobiom und Wirtsgewebe auch gegen körpereigene Strukturen.2 Häufig verselbstständigt sich das Entzündungsgeschehen trotz guter Plaquekontrolle und die Destruktion von Weichgewebe und Knochen schreitet voran.

 Orale Läsionen – Erstmanifestationen vieler Autoimmunerkrankungen

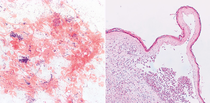
Sowohl lokale gewebespezifische als auch systemische Autoimmunität ist die Folge eines Fehlers der Immunabwehr mit Verlust der Selbsttoleranz. Derart fehlgeleitete Prozesse sind das Resultat einer Kombination aus angeborener genetischer Disposition und exogenen Noxen, zu welchen in nicht unerheblicher Weise chronische Infektionen zählen. Die Genese einer Autoimmunisierung verläuft über die Aktivierung der B-Lymphozyten und ihrer Produkte.3 Es kommt zu einer alterierten T-Zellfunktion und vermehrter Bildung von Autoantikörpern, die entweder gewebespezifisch wie bei Diabetes mellitus Typ 1 oder systemisch wie beim Lupus erythematodes gegen körpereigene Strukturen gerichtet sind. Zahlreiche Autoimmunerkrankungen, wie rheumatoide Arthritis, Psoriasis, Morbus Crohn, Sklerodermie, Pemphigoid (Abb. 2) und Pemphigus vulgaris, zeigen chronisch-entzündliche Verläufe und gehen mit oralen Läsionen, wie desquamativer Gingivitis und schwerer Parodontitis, einher.4,5 Beim systemischen Lupus (Abb. 3) entstehen bereits in der Frühphase der Erkrankung typische diskoide, asymmetrisch angeordnete Läsionen auf dem harten Gaumen und der Wangenschleimhaut. Bei mehr als 50 Prozent der Erkrankten kommt es zu persistierenden Petechien, diffusen Erythemen, Krusten- und Blasenbildungen auf der Mukosa und den Lippen sowie zu Osteonekrosen des Kieferknochens.6

Bakterielle Enzyme verändern das Immunprofil des Wirtsorganismus

Jede chronische Infektion führt zu einer andauernden Überstimulation der Abwehr. Auf diese Weise wird ein permanenter lokaler, in vielen Fällen auch systemischer immunologischer Respons ausgelöst. Es ist daher naheliegend, dass chronisch verlaufende bakterielle, fungale und virale Infektionen, zu denen auch die Parodontitis zählt, durch fehlgerichtete Reaktionen zu exogenen Triggern für Autoimmunerkrankungen werden. Die Möglichkeit einer autoimmunen Komponente bei Genese und Progression parodontaler Erkrankungen wurde bereits 1965 von Brandtzaeg und Kraus diskutiert.7 Neue Studien bestätigen diese Annahme und gehen von einem Zusammenspiel unterschiedlicher Komponenten aus. Sowohl bei chronischer als auch bei aggressiver Parodontitis werden Autoantikörper gegen Typ 1-Kollagen und gegen die doppelsträngige DNA der Wirtszellen gebildet. Kollagen ist ein wichtiges Struktureiweiß des Binde- und Knochengewebes. Seine Zerstörung hat entsprechend fatale Folgen für Gingiva und Parodontium.8 Verursacher dieser destruktiven Vorgänge sind die entzündungsfördernden Lipopolysaccharide der gramnegativen Keime im Sulkus, was den Zusammenhang zwischen Infektion und Autoimmunität bestätigt.9 Als Reaktion auf parodontalpathogene Keime treten vermehrt antineutrophile Antikörper (ANCA) auf.10,11 Die Ursache liegt in einer durch die parodontale Entzündung hervorgerufenen Verschiebung der Anteile innerhalb der Lymphozytenpopulation zugunsten von B-Zellen. Dadurch werden die T-Helferzellen drastisch reduziert und die T-Suppressoraktivität gefördert. Das führt zu einer polyklonalen Expansion eines B-Zellpools, der auch im gesunden entzündungsfreien Zustand in geringer Menge autoreaktive Antikörper (natural antibodies) produziert, die der Regulation von Vorgängen beim natürlichen Zelltod dienen. Im Übermaß führt dieser Prozess zum Angriff auf die körpereigenen Gewebe.

Parodontale Leitkeime als Trigger der Autoimmunität

Porphyromonas gingivalis (P. g.), ein typischer Leitkeim der aggressiven Parodontitis, spielt eine nicht zu unterschätzende Rolle bei der Entstehung von Autoantikörpern. Der Keim ist ein direktes Bindeglied zwischen rheumatoider Arthritis und parodontalen Erkrankungen. 80 Prozent der Rheumapatienten leiden auch an schwerer Parodontitis. Antikörper gegen P. gingivalis finden sich nicht nur im Sulkus, sondern auch in der Synovialflüssigkeit der vom Rheuma betroffenen Gelenke.12 Das Bakterium kann an beiden Lokalisationen über bestimmte Enzyme Autoantikörper gegen citrullinierte Proteine (APCAs) bilden, die typisch für rheumatische Erkrankungen sind und auch die Gewebe des Zahnhalteapparats angreifen.Bei Parodontitis werden als Antwort auf die meist anaerob-bakteriellen Reize reaktive Sauerstoffverbindungen (ROS) freigesetzt. Letztere binden an Proteine und Lipide des Wirts und verändern dadurch deren Strukturen und Epitope. Diese Neoepitope werden dann von der Immunabwehr als „fremd“ eingestuft und angegriffen. Zudem besteht die Gefahr eines sogenannten „Epitop spreadings“, das heißt, einer Übertragung der Strukturveränderungen auf andere Proteine – ein Mechanismus, der von der autoimmunen HashimotoThyreoiditis bekannt ist (Abb. 4).13

P. gingivalis und Aggregatibacter actinomycetemcomitans alterieren bestimmte T-Helferzellpopulationen im parodontalen Gewebe und bewirken eine massive Freisetzung segmentkerniger Granulozyten aus den gingivalen Gefäßen.14 Die Neutrophilen induzieren eine Zytokinkaskade mit hohen Leveln an Interleukin-17. Letzteres steht in engem Zusammenhang mit einem autoimmunen Immunrespons. Die neutrophilen Granulozyten haben zudem die Fähigkeit zur Generierung sogenannter „traps“ aus mitochondrialer und/oder nukleärer Desoxyribonukleinsäure (NETs), welche in die extrazellulären Räume freigesetzt werden. Diese Fragmente von Erbsubstanz sind mit antimikrobiellen Peptiden beladen, die aber nicht nur die Bakterien angreifen, sondern auch zu autoimmunen Reaktionen führen können, da sie im entzündungsfreien Zustand nicht extrazellulär vorliegen.

Molekularer Mimikry täuscht das Immunsystem

Produkte von parodontalpathogenen Bakterien können sogar direkt zur Auslösung autoimmuner Reaktionen führen. So bilden viele Anaerobier auf bestimmte Stressfaktoren, wie Temperaturerhöhung, pH-Wertänderungen, Stoffwechselgifte oder Alkohol, sogenannte Hitzeschockproteine zur Stabilisierung und zum Schutz der zelleigenen Eiweiße vor Denaturierung. Hitzeschockproteine werden aber auch von den Wirtszellen gebildet und haben in den körpereigenen Geweben wichtige Funktionen für die Faltung der Eiweiße und für den Abbau toxischer Proteine. Durch molekularen Mimikry ähneln die Eiweiße der Bakterien jenen des Wirtsorganismus und führen so zu einer Kreuzreaktivität.15–17

Bei vielen Formen der Autoimmunität spielen genetische Faktoren eine wichtige Rolle.18 Eine Reihe von Autoimmunerkrankungen sind mit unterschiedlichen Spezifitäten des HLA-Systems (human leukocyte antigen-system) korreliert. Humane Leukozytenantigene sind zellmembranständige Glykoproteine, welche für die Unterscheidung von körpereigen und fremd verantwortlich sind und damit unsere Gewebe vor der Zerstörung durch die eigene Immunabwehr schützen. Bei der autoimmunen Dünndarmerkrankung Zöliakie (glutensensitive Enteropathie) ist dieser Mechanismus gestört und es werden vermehrt Gewebeantigene exprimiert, die modifiziertes Gluteneiweiß an die T-Helferzellen präsentieren. Die darauffolgende inadäquate Immunreaktion führt zu einer massiven Ausschüttung von Entzündungsmediatoren mit fatalen Folgen für die Darmschleimhaut. Ganz ähnlich bestehen auch für die aggressive juvenile Parodontitis enge Verbindungen zu bestimmten HLA-Typen (z. B. HLA-A8–A9 und HLA-A27), die überschießende selbstdestruktive Abwehrreaktionen schon bei geringen mikrobiellen Reizen auslösen können (Abb. 4).19,20

Der Haupt-Gewebeverträglichkeitskomplex (MHC, Major Histocompatibility Complex) codiert für Moleküle, welche für die Erkennung von körpereigenen Strukturen verantwortlich sind. MHC II befindet sich an der Oberfläche bestimmter Immunzellen und auch an den basalen Saumepithelien des gingivalen Sulkus. Dort werden aber die von pathogenen Keimen zerstörten und veränderten Gewebekomponenten des Zahnfleischs präsentiert und damit der Prozess der Autoimmunität vorangetrieben.

Fazit

Die Rolle des Immunsystems in Wechselwirkung mit dem oralen Mikrobiom und die Auslöser autoimmuner Reaktionen bei der chronischen Parodontitis sind zentrale Fragestellungen in der interdisziplinären Erforschung der Krankheit. Die zu erwartenden Ergebnisse könnten zukunftsweisende Ansätze zur Diagnose und Therapie der Parodontitis ermöglichen.

Eine Lieraturliste steht hier zum Download für Sie zur Verfügung.

Dieser Beitrag ist im Prophylaxe Journal erschienen.

Mehr Fachartikel aus Prophylaxe

ePaper