Zahntechnik 28.02.2011

Progenie funktionell und ästhetisch behoben



Progenie funktionell und ästhetisch behoben

Der umgekehrte Frontzahnüberbiss, die Progenie, wird meistens vererbt; ein berühmtes Beispiel hierfür ist das österreichische Adelsgeschlecht der Habsburger. Auch ein Verfehlen der normalen Verzahnung beim Durchbrechen der bleibenden Frontzähne führt zur Progenie, die gleich im Jugendalter kieferorthopädisch korrigiert werden müsste. Die moderne Implantattechnik bietet auch hier ästhetische und funktionell einwandfreie Lösungen an, wie ZTM Guido Kirchberg zeigt.


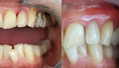
In dem vorliegenden Fall litt die Patientin seit ihrer Kindheit unter der progenen Stellung ihrer oberen Frontzähne. Vor einigen Jahren ließ sie sich die Zähne ziehen und trug fortan eine Prothese – die Progenie war zwar beseitigt, aber ästhetisch und funktionell war sie mit dem Ergebnis nie glücklich (Abb. 1 und 2). Um diese unbefriedigende Situation zu ändern, entschied die Patientin sich für fünf vollkeramisch überkronte Implantate im Oberkiefer. In Zusammenarbeit mit ihrem Zahnarzt wählten wir das ASTRA-Implantatsystem. Klinische Studien belegen, dass die biomechanischen Vorteile des ASTRA-Implantatdesigns für ein stabiles marginales Knochenniveau sorgen und somit ein langfristiger ästhetischer Erfolg gesichert wird. Das ASTRA-Implantat hat, als erstes Implantat überhaupt, eine chemisch modifizierte Titanoberfläche. Diese bewirkt eine schnellere Knochenheilung und Knochenregeneration – und das Mikrogewinde sorgt für eine optimale Belastungsverteilung. Die konische Implantat-Abutment-Verbindung ist sehr passgenau und durch eine Vielverzahnung in jeder Position bestens gegen Rotation geschützt. Das garantiert einen sicheren und stabilen Halt. Ästhetische Vorteile bringt die besondere Formgebung der Schnittstelle zwischen Implantat und Aufbau, wodurch der Implantathals beim ASTRA-System eng von der Schleimhaut umschlossen wird. Das schützt den marginalen Knochen gegen Eindringen von Bakterien und verhindert so einen Knochenabbau und ein Freiliegen der Implantathälse.

Freilegen der Implantate und Abdrucknahme

Nach der Einheilphase der Implantate wird im nächsten Schritt der Abdruck mit den Modellimplantaten genommen. Die Interimsprothese wird herausgenommen und als erstes stellen wir fest, dass die Mundhygiene unserer Patientin besser sein könnte – normalerweise sind die Implantate sauber (Abb. 3). Jetzt werden die Gingivaformer entfernt, die Abruckpfosten eingeschraubt und die Abdrucknahme vorbereitet (Abb. 4). Der individuell angefertigte Löffel ist auf das Wesentliche reduziert – der Gaumen ist dorsal frei gelassen und einen Griff benötigen wir dabei auch nicht. So ist der Indivlöffel einfach und bequem zu handhaben (Abb. 5). Die Schraubenkanäle werden mit Wachs verschlos- sen, damit kein Abdruckmaterial hineinläuft, und nun wird mit IMPREGUM der Abdruck genommen (Abb. 6). Der Abdruck ist gut gelungen und kann nun von uns im Labor weiterverarbeitet werden. Abbildung 7 zeigt auch sehr schön die konische Form und den sechskantigen Rotationsschutz des Implantatsystems. Im Labor schrauben wir die Laborimplantate in den Abdruck und fertigen als erstes die Zahnfleischmaske an. Hierfür verwenden wir das Material SHERAGINGIVAL. Dieses Zwei-Komponenten-Material wird mit einer Spe-zialkartusche und aufgesetzter Mischkanüle direkt in den Abdruck gespritzt. Vorher isolieren wir den Abdruck mit SHERASEPAL gegen Silikone und Polyäther, da die zahnfleischfarbene Silikonmaske sonst nicht vollständig aushärtet. Nach 15 Minuten ist das Material ausgehärtet und wir beschneiden die Enden mit dem Skalpell; so kann die Zahnfleischmaske leichter aus dem Modell genommen und wieder eingesetzt werden. Nun können wir unser Pindex-Modell wie gewohnt anfertigen (Abb. 8). Auf das fertige Modell werden nun die aufbrennfähigen Abutments geschraubt und man erkennt sofort, dass das Implantat für den Zahn 21 deutlich hinter dem Implantat 22 steht. Das erschwert leider unsere Arbeit, da wir für einen harmonisch verlaufenden Zahnbogen den Aufbau 21 nach vestibulär dicker gestalten und eventuell auf das Zirkonkäppchen 22 mehr Keramik aufbrennen müssen. Das lässt die Krone insgesamt sehr dick werden und kann außerdem zu Farbunterschieden der beiden Einser führen (Abb. 9).

Individualisieren der Aufbauten

Nun wird die Arbeit einartikuliert und wir erkennen jetzt noch deutlicher, dass das Implantat in Regio 21 komplett falsch gesetzt wurde. Der Abstand zu 11 und 22 und die vestibuläre Ausrichtung stimmen hier überhaupt nicht. Die Stellung der anderen Implantate ist dagegen gut gewählt, besonders im Bezug auf den Übergang der Kronen 13 und 22 in den vorhandenen Kreuzbiss (Abb. 10). Die Aufbauten werden nun der Situation entsprechend gekürzt, zurückgeschliffen und zum Brennen vorbereitet. Danach brennen wir Keramik auf die Aufbauten; damit schaffen wir eine ideale Stumpfsituation für Zirkonkappen und die metallischen Aufbauten scheinen später nicht durch die vollkeramischen Kronen. Im Anschluss fräsen wir die keramisch verblendeten Aufbauten mit der wasserge-kühlten Turbine am Fräsgerät konisch und versehen sie mit einer Hohlkehle, ganz so wie es den Anforderungen an Zirkonoxidkäppchen entspricht (Abb. 11). Individualisiert haben die Aufbauten jetzt eine einheitliche Länge, der Aufbau in Regio 21 steht nicht mehr ganz so weit hinter dem Aufbau von Zahn 11 und auch die Abstände zu den Nachbarimplantaten konnten wir gut korrigieren (Abb. 12).

Anfertigen der Zirkonkappen

Die Zirkonkäppchen für die Kronen fertigen wir mit dem Cercon smart-System von DeguDent. Die Schraubenkanäle werden hierfür mit Scanwachs verschlossen, und mit dem Scanner Cercon eye werden die Aufbauten berührungslos und oberflächenschonend mit einer Laserlinie abgetastet. Mit der Software Cercon art modellieren wir die Käppchen virtuell und senden diese Daten dann an die Fräseinheit Cercon brain. Die Käppchen müssen in der virtuellen Modellation so weit aufgebaut werden, dass der Schwerpunkt der Kronen in Zirkon abgefangen wird und nicht von den Verblendungen – das würde unweigerlich zu Brüchen und Sprüngen in der Keramik führen (Abb. 13). In der computergesteuerten Fräseinheit werden die Käppchen mit einem groben und einem feinen Fräser aus einem passenden, kreidig-weichen Zirkonoxid-Rohling in kürzester Zeit ausgefräst.

Die Verbindungen der Käppchen zum Rohling werden anschließend mit einem Fräser entfernt und der dicke Rand der Zirkonkronenrohlinge wird vorsichtig ausgedünnt. Anschließend platzieren wir die Käppchen in dem Sinterofen Cercon heat. In einem mehrstündigen Sintervorgang erhalten die Zirkonkronen dann bei 1.350°C ihre ideale Festigkeit, wobei die Sinterschrumpfung im Vorfeld durch eine exakt berechnete Überdimensionierung beim Fräsen berücksichtigt wurde. Die gesinterten Käppchen werden nun auf ihre Passgenauigkeit hin überprüft und eventuelle Störstellen oder zu dicke Ränder mit der wassergekühlten Turbine korrigiert. Sind die Zirkonkäppchen fertig, wird die Zahnfleisch-maske wieder eingesetzt. Hier ist deutlich zu erkennen, dass die Stufe der keramisch individualisierten Aufbauten schön unter dem Zahnfleisch liegt und somit keine Übergänge von den Kronen zu den Implantataufbauten zu sehen sein werden (Abb. 14).

Verblenden der Zirkonkappen

Die Zirkonkappen sind für die Verblendung so vorbereitet, dass eine Mamelonstruktur schon im Gerüst zu erkennen ist und wir eine einheitliche Keramikschichtstärke auftragen können (Abb. 15). Die Kronen verblenden wir mit der speziell für Zirkon-oxid entwickelten Keramik Cercon ceram kiss von DeguDent. Dieses Keramiksortiment besteht aus nur 73 statt der marktüblichen 110 bis 120 Massen. Diese Massenreduzierung erreichte DeguDent durch eine neue Einfärbung der Dentinmassen und des Opaker, eine zielgenauere Zuordnung der Intensiv- und Inzisalmassen und mit einer neu entwickelten Lehrmethode, die Farben, Effekte und Werkstoffe intelligent kom-biniert und vom Anwender leicht umzusetzen ist. Das neue Komplettsystem passt in einen Koffer und alle Anforderungen an unsere Keramikrestaurationen können wir damit erfüllen.

Neben dem Basis-System stehen uns mit der „Ästhetik-Line-Individuell“ eine Vielzahl von zusätzlichen Farbnuancen zur Verfügung, mit der wir jede Zahnfarbe naturgetreu wiedergeben können. Die fertiggeschichteten Kronen stellen wir für den ersten Brand in den Ofen (Abb. 16). Die Brennparameter hier anzugeben scheint mir nicht interessant zu sein, da sich jeder Techniker seine eigene Brandführung erarbeitet und auch alle Öfen unterschiedlich brennen. Nur zur Information: DeguDent hat in seiner Gebrauchsanweisung für die Cercon ceram kiss eine Brennempfehlung für jeden handelsüblichen Ofen an-gegeben. Nach dem Brand schleifen wir die approximalen Kontaktpunkte ein und arbeiten die Form der Kronen heraus (Abb. 17). Mit dem zweiten Brand legen wir die endgültige Form und Länge der Kronen fest, und nachdem wir die Oberflächenstruktur eingearbeitet haben, sind die Kronen fertig für den Glanzbrand (Abb. 18). Mit dem Ergebnis nach dem Glanzbrand sind wir sehr zufrieden. Der leichte Überbiss der Kronen und der Verlauf der Schneidekanten wirken sehr natürlich (Abb. 19). Die Inzisalkanten sind dezent nach labial geneigt und bilden einen Kreisbogen zur Unterkieferumschlagfalte (Abb. 20 und 21). Und dass die Inzisalkanten von Ober- und Unterkiefer parallel zueinander verlaufen, rundet das ästhetische Erscheinungsbild ab (Abb. 22). Um die Implantate bei der Anprobe in der Praxis analog der Modellsituation positionieren zu können, fertigen wir einen Übertragungsschlüssel aus Pattern Resin an. Aufgrund der Divergenzen der Implantate 12 und 13 mussten wir den Übertragungsschlüssel hier trennen. Eine Markierung mit einem wasserfesten Filzschreiber ermöglicht dem Behandler trotz der Trennung die korrekte Position der Implantate zu finden (Abb. 23).

Einprobe in der Praxis

Bei der Einprobe in der Praxis stellten wir fest, dass die Schneidekanten der Kronen 11, 12 und 13 nicht dem Verlauf der Lippenschlusslinie folgten und wir sie dementsprechend etwas verlängern müssten. Zurück im Labor, wurde diese Korrektur auch gleich vorgenommen (Abb. 24 und 25). Im Verhältnis zum Ge-genbiss und bei leicht geöffnetem Artikulator ist die Korrektur gut zu erkennen (Abb. 26 und 27). Nachdem die Implantataufbauten bei der zweiten Einprobe eingeschraubt waren, konnte man sehr gut anhand der Anämie bei den beiden Einsern erkennen, wie viel Druck die Aufbauten auf das Zahnfleisch ausüben (Abb. 28). Dieser Druck ist aber auch nötig, damit die Papillen zwischen den Kronen kommen und die Lücken gut ausfüllt werden.

Ansonsten würden gerade die Einser zu breit und unnatürlich wirken. Direkt nach der Einprobe sind die Lücken schon sehr gut geschlossen (Abb. 29 und 30). Als kleine Korrektur wurde der Zahn 22 noch etwas gekürzt und außer Funktion gestellt, nur leider haben wir davon kein Bild gemacht.

Fazit

Gesunde Zähne ziehen zu lassen, um die Gebisssituation mit Implantaten und vollkeramischen Kronen ästhetisch und funktional zu verbessern, mag nicht jeder als sinnvoll erachten.
Aber in der heutigen Zeit, in der Schönheit und Ästhetik den sozialen Stellenwert bestimmen, kann man Patienten verstehen, die ihre Progenie durch eine solche Maßnahme beseitigen möchten. Die moderne Implantatprothetik bietet die Möglichkeit, auch solchen Patienten wieder zu einem strahlenden Lachen zu verhelfen – und wir Zahntechniker haben einen großen Anteil daran.

Mehr Fachartikel aus Zahntechnik

ePaper