Zahntechnik 21.02.2011
Befestigungszement verfärbt, nicht die Keramik des Veneers
Die Dritte Generation – eine Übersicht
In der Vergangenheit war man nicht selten damit konfrontiert, seine zufriedenen Veneerpatienten Monate später bei einem Mundhygiene-Recalltermin wiederzusehen und festzustellen, dass sie die Farbe ihrer Keramikveneers infrage stellten. „Diese Zähne werden anscheinend dunkler!“ – das haben viele Zahnärzte im Laufe der Jahre von ihren aus kosmetischen Gründen behandelten Patienten gehört.
Hier ein typisches Beispiel. Wie viele andere erklärte auch ich, dass Keramikveneers ihre Farbe nicht verändern. „Keramik verfärbt sich nicht und behält seine Farbe“, sagte ich. Um meine Aussage zu beweisen, nahm ich einen Farbring heraus und verglich die Keramikveneers mit der Zahnfarbe, die der Patient bei der Anfertigung dieser Restaurationen ausgewählt hatte. Zu meiner Überraschung sah ich eine sehr subtile Veränderung. In der Tat zeigte sich ein leichtes Nachdunkeln der Restaurationen. Aus diesem Grund inspizierte ich die Ränder auf etwaige Mikro-undichtigkeiten, die zu einer Veränderung der Farbe beitragen könnten. Bei der Untersuchung fand ich jedoch keine offenen Ränder oder Undichtigkeiten irgendwelcher Art. Etwas verwirrt begann ich, in Artikeln und Fachzeitschriften nachzulesen und zu suchen. Ich fand heraus, dass es nicht die Keramik war, die ihre Farbe veränderte, sondern der Kompositzement.
In einer Studie von Nathanson „ergaben sich bei den getesteten Proben aus althergebrachtem dualhärtenden Kompositzement signifikant stärkere Veränderungen der Farbe als bei lichthärtenden Befestigungszementen. Selbst bei lichthärtenden Befestigungs-komposits gab es gewisse Schwankungen bei der Farbveränderung im Laufe der Zeit“. Ich stellte fest, dass die Literatur folgerte, dass die Aminreaktion einiger Kompositzemente mit der Zeit eine merkliche Gelbfärbung verursachte. Heute kümmern sich die Hersteller von Kompositzement um diese Probleme der Farbänderung. Tatsächlich hat Kerr vor Kurzem einen Kompositzement (NX3 Nexus® Dritte Generation) vorgestellt, der diesen Gesichtspunkt und noch weitere berücksichtigt. Laut Aussage des Produktmanagers von Kerr „machen das proprietäre aminfreie Initiatorsystem und die optimierte Kunstharzmatrix von Kerr dieses Produkt zum ersten echt farbstabilen, adhäsiven Kompositzement auf dem Markt“.
Das universell für alle indirekten Anwendungen (einschließlich Veneers) indizierte NX3 ist ein permanentes Kompositzementsystem mit einer innovativen Chemie für Ästhetik, Adhäsion und große Vielseitigkeit. Beim Entnahmesystem hat man die Wahl zwischen einer Automisch-Spritze für dualhärtende Indikationen und einem lichthärtenden Zement für mehrere Einheiten, bei denen eine unbegrenzte Verarbeitungszeit benötigt wird. Ich persönlich schätze das Lichthärtungs-Entnahmesystem, da es hier nicht nötig ist, Spitzen zu wechseln und die Größe der Spritze sehr anpassungsfähig ist. Egal, ob licht- oder dualgehärtet, das Material hat eine sehr angenehme Konsistenz, die sauberes Arbeiten ermöglicht und nicht klebt. Röntgenologisch gibt es aufgrund der guten Radioopazität dieses Materials keine Probleme, Diskrepanzen an den Rändern festzustellen. Laut Hersteller ist NX3 kompatibel mit selbstätzenden und Total-Etch-Adhäsiven und ergibt eine hohe Haftfestigkeit, unabhängig davon, ob der Zement licht- oder dualgehärtet wird. Ein Dualhärtungsaktivator für das Adhäsiv ist nicht mehr nötig. Und obwohl eine Lichthärtung stets empfohlen wird, selbst bei eingeschränkter Lichtzugänglichkeit (z.B. bei VMK-Kronen), wird auch bei Selbsthärtungs-Situationen eine gute Adhäsion erreicht. NX3 haftet an allen Substraten: Dentin, Schmelz, CAD/CAM-Blöcken, Keramik und Metall.
Die Try-In-Gele passen sowohl zu dual- als auch lichthärtenden Zementen, und ich habe keine Farbverschiebung festgestellt – ein großer Vorteil, wenn es um ästhetische Restaurationen geht. Nachdem inzwischen eine eher konservative Präparation für Veneers bevorzugt wird, ist es entscheidend, die endgültige Restauration aufhellen zu können. Bei Veneers mit minimaler Präparation hat mir NX3 ermöglicht, ein sehr gut vorhersagbares Resultat auf schnelle und einfache Weise zu schaffen. Das Intro-Kit enthält drei Farben – gelb, transparent und weiß; es sind jedoch auch andere Farbtöne erhältlich. In meiner Praxis verwende ich transparent, weiß und weiß-opak am häufigsten. Das Gelb nutzt mir nicht viel.
Einige der Merkmale von NX3:
- Vereinfachte Entnahme. Automisch-Mix-Spritze für Dualhärtung eliminiert Anmischen von Hand.
- Lichthärtende Anwendungen. Zement für Veneers und andere Indikationen, die unbegrenzte Verarbeitungszeit erfordern.
- Haftet an allen Substraten. Hervorragende Adhäsion an Dentin, Schmelz, CAD/CAM-Blöcke, Keramik, Komposit und Metall.
- Selbstätzend oder Total-Etch. Bondingprotokoll-Kompatibilität. Kein Dualhärtungsaktivator erforderlich. Überlegene Farbstabilität. Langlebige Ästhetik sowohl bei dual- als auch lichthärtenden Zementen.
- Optimale Handhabung. Einfaches Versäubern im Gelzustand.
Ein Fallbeispiel
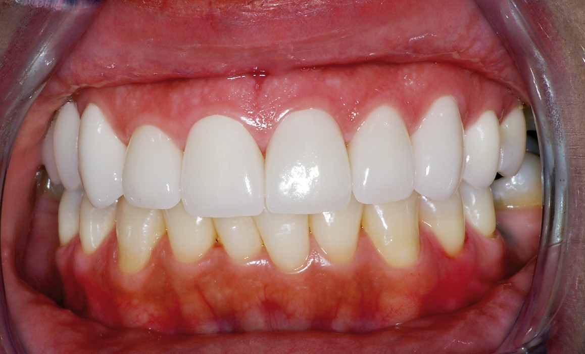
Eine Patientin Mitte Vierzig zeigte sich unzufrieden mit ihren vorhandenen Zähnen und zahnlosen Abschnitten in ihrem Gebiss. Sie wünschte sich ein jugendlicheres Lächeln mit gerade stehenden, weißen Zähnen und ohne Lücken. Alle Risiken, Vorteile und Alternativen wurden mit der Patientin ausführlich besprochen. Sie entschied sich für eine Versorgung mit sechs Frontzahnveneers von 13 bis 23, einer viergliedrigen Brücke von 14 bis 17 und einer Krone auf 24. In der ersten Behandlungssitzung anästhesierten wir die Patientin und präparierten ihre Zähne für Restaurationen mit Empress (Ivoclar Vivadent) von 13 bis 23 sowie an 24 und eine Metallkeramik-Verblendbrücke (IPS d.SIGN, Ivoclar Vivadent) von 14 bis 17. Vor der Abformung wurde das Gingivagewebe mit ExpasylTM-Paste behandelt (Abb.1).
Die Abformungen wurden mit einem Polyvinylsiloxan-Material genommen und Provisorien eingesetzt. Abformungen, Diagnostikmodelle, eine Bissregistrierung und Fotos wurden an das Dentallabor geschickt, wo anhand dieser Unterlagen die endgültigen Restaurationen hergestellt wurden. Nach Rücksendung der fertigen Arbeit zur Eingliederung wurden die Provisorien entfernt und die Präparationen gereinigt. Die Restaurationen wurden zur Überprüfung von Passform und Ästhetik einprobiert, wobei die Patientin mit dem Aussehen zufrieden war. Zuerst wurde die Metallkeramik-Verblendbrücke von 14 bis 17 mit MaxcemTM Zement (Kerr) eingesetzt und dessen Aushärtung abgewartet. Das Versäubern erfolgte schnell und problemlos während des Gel-Stadiums mit einem Scaler durch Ablösen jeglicher Zementüberschüsse.
Anschließend wurden die Restaurationen für die Zähne 13–23 und 24 gereinigt, geätzt und mit einem Silanisierungsmittel beschichtet, während die entsprechenden Präparationen mit Optibond® All-In-One (Kerr) selbstätzendem Adhäsiv gemäß Herstelleranweisungen behandelt und für 15 Sekunden lichtgehärtet wurden. Die Keramikveneers wurden mit weiß-opak NX3 (Kerr) Kompositzement beschickt und auf die präparierten Zähne gesetzt, beginnend von der Mittellinie nach distal, und zuletzt folgte die Kronenversorgung für Zahn 24. Die Restaurationen wurden punktförmig ausgehärtet und jegliche Zement-überschüsse entfernt. Nach vollständiger Versäuberung wurden alle Restaurationen jeweils zehn Sekunden sowohl von fazial als auch lingual lichtgehärtet. Die postoperativen Fotos unmittelbar nach dem Einsetzen zeigen ein gefälliges ästhetisches Aussehen, und die Patientin war äußerst glücklich und zufrieden (Abb.1).

Abb.1: Präoperative Ansicht: untere Zahnreihe. Postoperative Ansicht: obere Zahnreihe. Unten rechts: Präparierte Zähne mit ExpasylTM.
Fazit
In unserer Gesellschaft sucht jeder nach Dingen, die schneller und besser funktionieren. Die Zahnheilkunde macht keine Ausnahme — wir suchen nach Wegen, unsere Behandlungen schnell und effizient durchzuführen. Kerr hat kürzlich ein neues Kompositzementsystem namens NX3 herausgebracht, das diese und noch weitere Anforderungen erfüllt. Mit dem NX3-System haben Zahnärzte alles, was sie zum Zementieren von Kronen, Veneers, Inlays, Onlays, CAD/CAM-Restaurationen usw. benötigen.
Autor: Ara Nazarian, DDS
Seitenanfang