Zahntechnik 10.04.2015
Katana Zirkon (transluzent) im Seiten- als auch im Frontzahnbereich
Mit der Einführung des transluzenten Katana Zirkons Ende 2014 können biodentis-Kunden sowohl im Seiten- als auch im Frontzahnbereich eine ästhetisch anspruchsvolle, sehr stabile und zudem klassisch zementierbare Versorgungsalternative in Anspruch nehmen. Nach den positiven Erfahrungen der ersten biodentis-Anwender mit Katana Zirkon berichtet im Folgenden Dr. Thomas Kindermann von seiner Praxisroutine damit.
Als Pionier des CAD/CAM-gefertigten Zahnersatzes erweiterte biodentis Ende 2014 seine Produktpalette mit dem Material des Katana Zirkons. Neue, innovative Keramikwerkstoffe ermöglichen nun auch die Versorgung im ästhetisch anspruchsvollen Frontzahnbereich mittels CAD/CAM-gefertigter Kronen. Das neu entwickelte Fräsverfahren und die Verarbeitung von polychromatischen Keramikwerkstoffen sorgen für eine im CAD/CAM-Bereich noch nie erreichte natürliche Farbgebung.
Somit steht nun auch einer Komplettsanierung bis in den Frontzahnbereich mittels CAD/CAM-gefertigten Zahnersatz in gewohnter biodentis-Qualität nichts mehr im Wege.
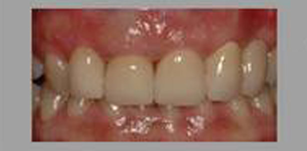
Ein exemplarischer Patientenfall soll als Anwendungsbeispiel dienen:

Eine typische Indikation stellt die Versorgung von stark kompromitierten bzw. lückenhaften Frontzahnregionen dar. Eine 41-jährige Patientin mit multiplen ausgedehnten Frontzahnfüllungen und okklusalen Differenzen wünscht eine möglichst ästhetische Versorgung der Oberkieferfrontzahnpartie.
Vor einigen Wochen wurde der Zahn 23 auf Grund seiner starken Zerstörung und seiner schlechten endodontischen/parodontologischen Prognose entfernt. Fehlende suffiziente Hart- und Weichgewebe und finanzielle Möglichkeiten der Patientin ließen keine implantologische Rehabilitation zum Lückenschluss regio 23 zu. Zudem war die Indikation für vollkeramischen Zahnersatz mittels Glaskeramik auf Grund der mangelhaften Okklusion und des Stützzonenverlustes nicht gegeben. Somit musste eine konventionelle Zahnersatzversorgung mit einem geeigneten Material unter den gegeben Umständen geplant werden.
Langfristigen Erfolg gepaart mit einer ansprechenden Ästhetik im Frontzahnbereich versprechen dabei das neue polychromatische Zirkonoxidmaterial Katana Zirkon. Dank dieses Werkstoffes und des Verarbeitungs-Know-hows von Seiten der Zahntechnik konnte eine für die Patientin zufriedenstellende und sehr haltbare Zahnersatzversorgung realisiert werden.
Die Vorteile auf einen Blick:
- Kein Chipping (sehr stabile Zirkonoxidkeramik)
- Zahnhartsubstanzschonend auf Grund minimaler Schichtstärken
- Konventionelles Zementieren möglich (keine Adhäsivtechnik notwendig!)
- Einfache Farbgestaltung, da die Zirkonkeramik lichtundurchlässig ist und die oftmals verfärbten Stümpfe im Frontzahnbereich nicht „durchscheinen“
Autor: Dr. Thomas Kindermann