Zur Übersicht
Profil
authorImage

Dr. Carlos Alberto Villegas Bateman

Vibart Dental Clinic
Edificio Medical
Calle7 # 39-107 Consultorio 202-205
Medellín
Kolumbien
Vita anzeigen

Kurzvita

  • 1981–1986 DDS, Instituto de ciencias de la Salud CES Medellín/Kolumbien
  • 1988–1991 Kieferorthopäde, Universidad Militar Nueva Granada, Centro de Investigación y Estudios Odontológicos (CIEO), Bogotá/Kolumbien
  • 1991–1995 Mund-Kiefer-Gesichts-Chirurg, Universidad El Bosque Bogotá/Kolumbien
  • seit 7/1995 Tätigkeit als MKG-Chirurg sowie Kieferorthopäde in Privatpraxis in Medellín/Koumbien
  • seit 8/1995 Associate Professor im Fachbereich KFO sowie im MKG-Chirurgieprogramm
  • seit 8/1995 Tätigkeit als MKG-Chirurg sowie Kieferorthopäde, Congregación Mariana Medellín
  • 8/1996–6/2000 Leiter der Abteilung MKG-Chirurgie am Hospital General de Medellín/Kolumbien
  • internationale Referententätigkeit
  • Autor zahlreicher Artikel, veröffentlicht in internationalen Fachpublikationen

Artikel auf ZWP online

articleImage
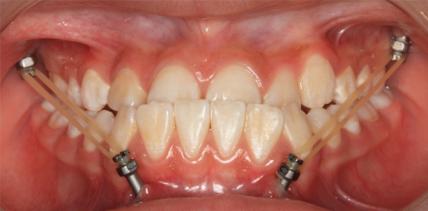
Kieferorthopädie 06.05.2015

„Verlustrate geht gen Null“

Im Rahmen der IDS präsentierte die Arno Fritz GmbH* eine modifizierte Variante ihrer LOMAS-Schraube, die ab Mitte 2015 erhältlich sein wird. Die LOMAS VEGAS verspricht neue Möglichkeiten der skelettalen Verankerung. KN sprach mit Entwickler Dr. Carlos Alberto Villegas Bateman.

Artikel in Publikationen

Erwähnungen in Publikationen

ePaper