Kieferorthopädie 06.05.2015

„Verlustrate geht gen Null“



„Verlustrate geht gen Null“

Im Rahmen der IDS präsentierte die Arno Fritz GmbH* eine modifizierte Variante ihrer LOMAS-Schraube, die ab Mitte 2015 erhältlich sein wird. Die LOMAS VEGAS verspricht neue Möglichkeiten der skelettalen Verankerung. KN sprach mit Entwickler Dr. Carlos Alberto Villegas Bateman.

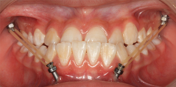
Sie kündigen an, mit der neu vorgestellten LOMAS VEGAS Minischraube „neue Wege“ in der skelettalen Verankerungbeschreiten zu können, die es so vorher nicht gab. Könnten Sie dies bitte kurz erläutern? Diese Ankündigung bezieht sich auf das intraorale System bei Anwendung skelettaler Verankerung und Gummizügen. Wir haben Minischrauben entwickelt, die länger sind als jene, die aktuell auf dem Markt erhältlich sind. Und zwar mit dem Ziel, diese in anatomischen Strukturen mit der besten Knochenquantität und -qualität nahe des Alveolarfortsatzes verankern zu können. Diese Strukturen sind der zygomatische Knochen (Jochbein) sowie die mandibuläre Symphysis. Beide bieten denVorteil, dass sich dort nicht so wichtige anatomische Strukturen wie beispielsweise Nerven oder Gefäße befinden.

Was ich nach Platzierung der ersten Prototypen festgestellt habe, ist, dass in diesem Bereich ein unglaublicher Heilungsprozess des die Schrauben umgebenen Weichgewebes zu beobachten ist, der auf den langen, glatten Schraubenhals zurückzuführen ist (Abb. 1a bis c).

Einer der Hauptvorteile der LOMAS VEGAS-Schraube ist, dass deren Verlustrate gegen Null gehen wird, da die Schrau- ben ca. 10 mm im Knochen verankert werden. Ich persönlich halte dies für einen wichtigen Fakt, da er widerspiegelt, was ich in meiner Praxis beobachtet habe. Geht eine Minischraube erst einmal verloren, müssen wir den Behandlungsplan ändern, was zum einen unsere Glaubwürdigkeit negativ beeinflussen und zum anderen eine gewisse Frustration sowohl beim Behandler als auch beim Patienten hervorrufen kann. Dies nun stellt eine stärkere Verankerung dar, welche sicherlich die Verlustrate auf ein Minimum reduzieren wird.

Vorteile gegenüber aktuell erhältlichen Systemen zur orthopädischen Behandlung von Klasse III-Patienten

Es wird empfohlen, eine orthopädische Klasse III-Behandlung so früh wie möglich zu beginnen (im Alter von sieben bis acht Jahren). Dennoch hat Prof. Dr. Hugo DeClerck aus Belgien, welcher der Pionier ist bei der Behandlung solcher Patienten mittels intraoraler Mechaniken bei Anwendung von Klasse III-Gummizügen, die in vier Knochenplatten verankert werden (zwei infrazygomatisch und zwei in der mandibulären Symphysis), dazu geraten, bei Anwendung dieses Systems vorzugsweise nicht mit der Behandlung zu beginnen, bevor bei Mädchen ein Alter von elf und bei Jungen ein Alter von zwölf Jahren erreicht sei. Und zwar aus zwei Gründen: Erstens sollten wir in der mandibulären Symphysis warten, bis der Durchbruch des bleibenden Eckzahns erfolgt ist, um das Risiko einer Schädigung des Keims zu reduzieren. Zweitens könnte es vor dem genannten Alter zu einer Lockerung der infrazygomatisch eingebrachten Knochenplatten kommen.

Mit der LOMAS VEGAS-Schraube hingegen kann die Behandlung bereits vor dem für Knochenplatten empfohlenen Alter erfolgen, da die Schrauben den Eckzahnkeim umgehend in der Symphysis auf Ebene des lateralen Schneidezahns platziert werden können. Zudem ist ihr Kopf in Nähe der Eckzahnkrone nach distal geneigt, um einen besseren Tragekomfort der Gummizüge zu ermöglichen. Darüber hinaus ist aus erwähnten Gründen das Verlustrisiko der im Jochbein verankerten Schrauben kleiner als bei Platten, die im infrazygomatischen Knochen platziert wurden (Abb. 2a, b).

Ein weiterer Vorteil bei Anwendung der LOMAS VEGAS bei orthopädischer Klasse III-Behandlung ist, dass beim Platzieren und Entfernen der Schrauben im Vergleich zu den mit zwei bis drei Schrauben fixierten Knochenplatten weniger Traumen ausgelöst werden. So muss z.B. auch zur Entfernung der Schrauben keine erneute OP stattfinden (da die Schrauben einfach herausgedreht werden können). Ein anderer wichtiger Faktor sind die Kosten bei Einsatz intraoraler, die Patientenmitarbeit verbessernder Systeme, was wiederum bei Anwendung extraoraler Apparaturen wie der Gesichtsmaske einen schwierigen Aspekt darstellt.

Sie sprechen von einer „sicheren Lösung“, um auch im Unterkiefer erfolgreiche und stabile Behandlungsergebnisse zu erhalten. Gibt es hierzu irgendwelche Vergleichsstudien? Aufgrund der Neuheit dieser Entwicklung konnten wir diesbezüglich noch keine endgültigen Schlussfolgerungen ziehen. Jedoch arbeiten wir bereits an solchen Studien. Was ich feststellen kann, ist, dass nach Einsatz der LOMAS VEGAS-Prototypen bislang eine 100%ige Erfolgsquote bei meinen Patienten hinsichtlich Stabilität erreicht werden konnte (kein Verlust, keine erhöhte Mobilität). Ich hatte einige Fälle, bei denen Schmerzen in Verbindung mit dem Einsatz der Schrauben aufgetreten waren. Der Grund hierfür war, dass die Schrauben zu nah an der Mukosa platziert wurden. In diesen Situationen müssen längere Schrauben inseriert werden, um deren Kopf fern von beweglichem Gewebe und näher am zervikalen Bereich des Zahns zu haben. Deshalb bin ich davon überzeugt, dass längere Schrauben platziert werden sollten.

Können mit Einsatz der neuen Schraube gezieltere Zahnbewegungen durchgeführt werden und hat dies irgendeinen Effekt in Bezug auf die Stabilität des Behandlungsergebnisses? Vermutlich ist die Distalisation eine der Bewegungen, die unterstützt durch skelettale Verankerung eine stabilere Behandlung zeigt als beispielsweise eine Expansion. Nichtsdestotrotz glaube ich, dass es nicht genügend Forschungsergebnisse gibt, die das bereits beweisen.

Sie sagen, dass die Schrauben auch infrazygomatisch inseriert werden können. Gibt es hier denn genügend Knochenangebot für derart lange Schrauben? Bevor ich diese Frage beantwor- te, möchte ich darauf hinweisen, dass es wichtig ist, die Bedeutung des infrazygomatischen Bereichs neu zu definieren. Die Literatur zeigt, dass verschiedene Autoren die „infrazygomatische Zone“ einem Bereich zuweisen, der knapp oberhalb der Wurzel des ersten oder zweiten oberen Molaren liegt. Von meinem Standpunkt aus betrachtet, glaube ich, dass dieser Bereich als supra-alveolär bezeichnet werden sollte. Der wahre infrazygomatische Bereich ist vielmehr der Knochen unterhalb des Jochbeins oder Molarenknochens (Abb. 3a). Nach dieser Klarstellung können wir uns dem wahren infrazygomatischen Bereich widmen, allerdings benötigen wir hier längere Schrauben als die bisher existierenden. Deshalb haben wir für diesen spezifischen Bereich längere Schrauben (15, 17, 20, 25 oder sogar 30 mm) entwickelt. Hinsichtlich der Platzierung der Schrauben im Jochbein benötigt es eines chirurgischen Eingriffs. Was ich hierbei empfehle, ist zunächst ohne Schleimhaut-Lappenbildung (flapless) in den infrazygomatischen Bereich zu gehen. Wenn man merkt, dass die Primärfixation sehr gut ist, dann nutzt man sie zur skelettalen Verankerung. Stellen Sie jedoch fest, dass die Primärfixation schlecht ist, oder die infrazygomatische Schraube sich löst, dann platzieren Sie besser die Jochbeinschraube. In diesem Fall benötigt es eines kleinen chirurgischen Eingriffs, doch mit Sicherheit wird die Primärstabilität weitaus besser sein.

In unserer anatomischen Studie haben wir festgestellt, dass der kortikale Knochen im infrazygomatischen Bereich durchschnittlich 2,4 mm stark ist, sowohl bei Frauen als auch bei Männern. Wir hatten sogar einige Fälle mit einem dickeren infrazygomatischen Bereich, wo die Schrauben aufgrund des vorliegenden Knochenangebots zur Schraubenverankerung mit Sicherheit sehr stabil sein sollten (Abb. 3b).

Ich habe von meinen kieferorthopädischen Kollegen gehört, dass sie sehr zuversichtlich sind, Minischrauben im supraalveolären Bereich zu platzieren. Sie fühlen sich sicherer, je weniger sie sich vom alveolaren Prozess entfernen aufgrund des Fakts, dass dort keine anatomischen Strukturen vorhanden sind, welche sie verletzen könnten. Ich persönlich glaube, dass dies ein hervorragender Grund ist. Deshalb haben wir zudem kurze Schrauben (9, 11, 13 mm) mit einem längeren Hals entwickelt, um die Heilung des Weichgewebes zu verbessern.

Adresse*
Arno Fritz GmbH (AFM)
Am Gewerbering 7
78570 Mühlheim an der Donau
Tel.: 07463 99307-60
Fax: 07463 99307-66
info@arno-fritz.com
www.arno-fritz.com

Mehr Fachartikel aus Kieferorthopädie

ePaper