Kieferorthopädie 05.03.2012

Knochengestützte Distalisationsgeräte



Knochengestützte Distalisationsgeräte

Dr. Giovanni Oberti, Dr. Carlos Villegas, Dr. Diego Rey und Dr. Angela Sierra beurteilen in folgendem Beitrag die körperliche Bewegung maxillärer Molaren mithilfe verschiedener, knochengetragener Distalisationsapparaturen.

In der Literatur sind verschiede­ne therapeutische Alternativen mit und ohne Extraktionen zur Behandlung von dentalen Klasse II-Malokklusionen beschrieben. Bei den extraktionsfreien Verfahren, deren Fokus auf der Distalisierung der maxillären Molaren liegt, werden vielfach extra­orale Traktionstechniken eingesetzt und beschrieben.1–3 Da diese Verfahren eine gewisse Koope­ration erfordern und bei den betroffenen Patienten häufig nicht ausreichend akzeptiert sind, wurden eine Reihe intraoraler Dis­talisationsapparaturen entwickelt. Darunter finden sich su­perelastische NiTi-Federn4, Magnete5,6, der Distal-Jet7,8, die First Class-Apparatur9,10, der Jones Jig11,12 sowie die Pendelapparatur.13–18 Diese dental gestützten Apparaturen führen jedoch häufig zu Verankerungsverlusten, da die Distalisierungskräfte eine reaktive Kraft an den anterioren Zähnen auslösen, die zur Mesialisierung der Prämolaren und zur Labialisierung anteriorer Zähne führt und nachfolgend mittels festsitzender Apparaturen kor­rigiert werden müssen.19 Zusätzlich ist nach erreichter Distali­sierung eine weitere Apparatur erforderlich, die als Platzhalter fungiert.

Um diese Probleme in der an­terioren Region bzw. im Reaktionsbereich zu beheben, wurden Apparaturen entwickelt, die mithilfe knochenintegrierter Implantate verankert sind.20 Diese Verfahren verhindern effektiv die Verankerungsverlus­te, jedoch benötigen sie für die Knochenintegration eine gewisse Einheilungszeit, bevor Kräfte appliziert werden können. Daneben sind zusätzliche Laborarbeiten erforderlich. Mit der Entwicklung von Miniimplantaten als temporäre Verankerungen (TADs)21–24, die zur unmittelbaren Applikation von Kräften geeignet sind, wurden Kombinationen mit bereits vorhandenen Distalisationsapparaturen möglich, die eine ossäre Verankerung bieten und dabei nachteilige Effekte an den anterioren Zähnen vermeiden.19,25–33 Ziele dieser Studien waren Design und Analyse der klinischen und radiografischen Effekte verschiedener knochengestützter Distalisationsapparaturen. Zunächst wurde eine knochengestützte Pendelapparatur (Bone Supported Pen­dulum, BSP)30,32 (Abb. 1) untersucht, die zum Schutz vor Verankerungsverlusten eingesetzt wurde. Diese Apparatur wurde gewählt, da die zahngestützte Pendelapparatur10–15 eine der am häufigsten genutzten  Distalisationsapparaturen darstellt, deren Einsatz jedoch häufig mit einer mesialen Bewegung der Prämolaren und einer la­bialen Bewegung der maxil­lären Schneidezähne einhergeht. Die BSP wurde deshalb so designt, dass sie an zwei un­spezifischen Miniimplantaten im knöchernen Gaumen mit­tels Nance-Button und einer Doppelfeder-Modifizerung16 zur Distalisierung der maxillären Molaren fixiert werden konn­te.

Es wurden fünfzehn Patienten im durchschnittlichen Alter von 13 Jahren untersucht. Zu Beginn und nach Abschluss der Zahnbewegungen wurden Studienmodelle sowie FRS und OPG zur Dokumentation der dentalen und skelettalen Veränderungen durchgeführt. Die mittlere Behandlungsdauer lag bei 7,8 Monaten. Die durchschnittliche distale Bewegung der maxillären Molaren betrug 6mm und die Inklination 11°. Die zweiten Prämolaren wurden ebenfalls um durchschnittlich 4,85 ± 1,96mm bei einer Inklination von 8,6° distalisiert. Die maxillären anterioren Zäh­ne wurden retrudiert und palatinal um 2° inkliniert. Die Mandibularebene wurde posterior um durchschnittlich 1,27° rotiert. Während der Distalisationsbewegungen31 konnten kei­ne Verluste der dentalen Verankerung festgestellt werden. Das BSP bietet einen einfachen Weg der für Distalisierungen erforderlichen  Verankerungskontrolle. Besonders vorteilhaft sind die minimalinvasive chirurgische Platzierung bzw. Entfernung und die unmittelbar mögliche Applikation von Kräften. Allerdings sind spe­zifische biomechanische Vor­bereitungen erforderlich, um nachteilige Reaktionen wie distales Tipping und distale Rotation der oberen Molaren zu vermeiden. Während der molaren Dista­lisierung wurde eine simultane Distalisierung der Prämo­laren beobachtet, wodurch sich der anteriore Engstand spontan verbesserte, was zur Verkürzung der Behandlungszeit mit festsitzenden Apparaturen führte. Die Apparatur wurde während der Retraktion der Eckzähne als Retainer belassen, wodurch der Nance Button-Haltebogen zur Verbesserung der Verankerung eingespart werden konnte.  Wenn die Miniimplantate und das BSP manuell ohne Anästhesie entfernt wurden, konnte eine leichte Irritation der palatinalen Mukosa beobachtet werden, die der bei Entfernung des Nance-Buttons vergleichbar war. Diese Irritation war auf Schwierigkeiten bei der Gewährleistung optimaler Hygiene zurückzuführen und heil­te ohne weitere Maßnahmen innerhalb von zwei bis drei Tagen ab.

Zusammenfassend lässt sich feststellen, dass das BSP sich als valide klinische Option für die Distalisierung maxillärer erster Molaren erwiesen hat, wenn eine effiziente Verankerung erwünscht ist.33 Zu seinen Vorteilen gehören die reduzier­te Behandlungszeit, die auf ei­ne Spontanverbesserung des anterioren Engstandes und die spontane distale Migration der Prämolaren zurückzuführen ist. Allerdings kann durch die Pendelbewegung eine unerwün­sch­te distale Neigung und Rota-tion der Molaren eintreten und in einigen Fällen führt die Apparatur zum posterioren Kreuzbiss, der zusätzliche kieferorthopädische Maßnahmen erforderlich macht. Zudem sollte berücksichtigt werden, dass die Apparatur nicht über einen distalen Stopp zur Verhinderung einer Überkorrektur im Fall von Non-Compliance oder vergessenen Behandlungsterminen verfügt. Dieser Fall ist im weiteren Verlauf am Beispiel eines Patienten beschrieben, der das Department of Orthodontics der CES University mit einem überkorrigierten Pendel, schweren distalen Neigungen des linken oberen Molaren und einer Impaktierung des zweiten linken oberen Molaren konsultierte (Abb. 2).

Wenn das Timing zur Distalisierung festgelegt wird, sollte die Position des zweiten Molaren berücksichtigt werden, um ein zusätzliches Kippen zu verhindern. Dieses Kippen geschieht durch einen Drehpunkt, welcher durch zu frühes Distalisieren entsteht, wenn der zweite Molar sich apikal des Zervikalrandes des ersten Molaren befindet.19 Den Patienten wird die Anwendung nicht steroidaler Analgetika in den ersten drei Tagen nach der Platzierung empfohlen, dazu eine adäquate Mundhygiene und die regelmäßige Anwendung einer Mundspüllösung während der kieferorthopädischen Behandlung, um Irritationen der Mundschleimhaut vorzubeugen.

Dual Force-Distalisationsapparatur (DFD)

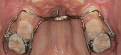
Mit Blick auf die Einschränkungen des BSP wurde eine neue knochengestützte Apparatur zur Distalisation von Molaren, die Dual Force-Distali­sationsapparatur (DFD), entwickelt31 (Abb. 3). Sie ermöglicht eine körperliche distale Bewegung der oberen Molaren und verfügt über einen distalen Stopp bei Anwendung simpler Biomechanik. Diese Apparatur bietet die Vorteile ossärer Verankerungen, die durch zwei unmittelbar belastbare Miniimplantate gewährleistet sind, die einen Acrylbutton gegen den Gaumen drücken, während die distalisierende Kraft nach bukkal und palatinal auf die ersten Molaren mittels bilateraler Nickel-Titan-Spiralfedern aufgebracht werden. Ziel ist die körperliche Bewegung dieser Zähne unter absoluter Verankerung.

Ziel der prospektiven Studie war die Beschreibung der klinischen Effekte der DFD in einer Gruppe von 16 Patienten, die im Durchschnitt 14 Jahre alt waren und sich mit molaren Klas-se II-Verhältnissen vorstellten. Zu Beginn und nach Abschluss der Zahnbewegungen wurden Studienmodelle sowie FRS und OPG zur Dokumentation sig­nifikanter dentaler und skelettaler Veränderungen durchgeführt. Die Toleranz zwischen den Drähten und dem Durchmesser des Tubes führt zur ini­tialen Korrektur der Rotation der Molaren und in der Folge zur Verringerung der Reibung während der Zahnbewegungen. Nach der Installation der Apparatur wurden im Abstand von sechs Wochen Kontrollen durchgeführt, bei denen die NiTi-Spiralfedern zur Reaktivierung bei Bedarf mit crimpbaren Stopps versehen wurden. Durch Einsatz der DFD konnte innerhalb von fünf Monaten eine durchschnittliche Distalisation von 6mm im Kronenbereich und 4,5mm auf Höhe der Wurzelgabelung erreicht werden. Die anterior der ersten Molaren befindlichen Zähne bewegten sich ebenfalls nach distal, wodurch sich ein anteriorer Engstand spontan auflöste. Die zweiten Prämolaren wurden im Durchschnitt 4,26mm distalisiert und die Schneidezähne um 0,53mm retrudiert.

Zusammenfassend lässt sich feststellen, dass die DFD sich als valide Alternative erwiesen hat, die eine besser kontrollierte molare Distalisierung bei adäquater Bewegungsrate oh­ne Verankerungsverluste generiert.31 Ist mittels Distalisierung eine Super Klasse I-Molarenrelation erreicht, werden die bukkalen Arme entfernt und die Apparatur verbleibt in ihrer Position, wo sie als Platzhalter während der Distalisation der Prämolaren und der Eckzähne mittels festsitzender Apparatur fungiert (Abb. 4). Der Korrelationskoeffizient nach Spearman zeigte, dass die mittels DFD generierte Bewegung der Molaren überwiegend körperlich war. Die molare Inklination (5,6° bei 5,9mm Dis­talisation in fünf Monaten) lag unterhalb der Inklination, die durch Einsatz der Pendelapparatur oder anderer Apparaturen erzeugt wird, die mit unilate­ralen Distalisationskräften arbeiten.12–15,20,34,35 Die überwiegend körperliche Bewegung mithilfe der DFD kann durch die kons­tante, paarige Stärke der Kraft erklärt werden, die von der Apparatur von bukkal und palatinal auf die maxillären Molaren appliziert wird. Damit gestattet sie eine besser kontrollierte distale Bewegung bei geringerer Zahninklination und -rotation im Vergleich zu anderen Ap­paraturen, die nur auf eine Sei-te des Zahnes distalisierende Kräf­te ausüben.10–16 Wie bereits in früheren Publikationen zu knochengestütz-ten Distalisationsapparaturen beschrieben,20–36 ist für Appa­raturen mit intraossärem Halt im Gegensatz zu zahngestützten Apparaturen13–19 charakteristisch, dass anterior der ersten Molaren befindliche Zähne sich durch transseptale Fasern distal in die gleiche Richtung bewegen wie die Molaren (Abb. 4).13–19 Die Distalisierung der Molaren konnte ohne signifikante Mo­difikation der Inklination der Mandibularebene (0,5°) erreicht werden. Dieser Wert ist weder statistisch noch klinisch signifikant und deckt sich mit den Befunden anderer Studien zu knochengestützten Distalisationsapparaturen.20–36 Zusammenfassend lässt sich feststellen, dass die DFD-Ap­paratur eine valide Therapieoption für Patienten mit Klasse II-Malokklusionen darstellt, bei denen die Distalisierung der maxillären Molaren therapeutisches Mittel der Wahl ist, da sie durch die Applikation bila­teraler Kräfte eine körperliche distale Bewegung generiert.


Kortikale Dual Force-Distalisationsapparatur (C-DFD)

Zur Bereitstellung eines hy­gienischeren Systems wurde schließlich eine weitere klinische Studie konzipiert, um die Effekte der Kortikalen Dual Force-Distalisationsapparatur, ei­ner knochengestützten Apparatur zur Distalisierung der Molaren, zu untersuchen (Abb. 5, 6). Als Modifikation der DFD31 verfügt diese nicht über den Nance-Acrylbutton und kommt ohne Miniimplantate aus. Die C-DFD nutzt eine anterio-re kortikale Verankerung, die aus 5mm langen, zugespitzten, anterioren Stäben besteht, die in die anteriore palatinale Mukosa eindringen. In diesem Bereich distal der oberen Eckzähne befindet sich die dickste palatinale Mukosa. Diese Kons­truktion stützt sich auf dem kortikalen Knochen des anterioren Gaumens ab, der ca. 2mm stark ist, und wird somit zur intraoralen, kortikal gestützten Distalisationsapparatur. Die Toleranz zwischen den Drähten und dem Durchmesser der Tubes führt zur initialen Korrektur der Rotation der Molaren und in der Folge zur Verringerung der Reibung während der Zahnbewegungen. Die Patienten wurden monatlich zur Kontrolle einbestellt und die NiTi-Spiralfedern zur Reaktivierung bei Bedarf mit crimpbaren Stopps versehen. Nach erfolgter Distalisierung und dem Erreichen einer Klasse I-Molarenrelation wurden die bukkalen Arme entfernt und der palatale Teil der Ap­paratur verblieb als Platzhalter (Abb. 6). Die durchschnittliche Distalisierung der Molaren mittels C-DFD betrug nach 6,5 Monaten im Kronenbereich 5mm und 4mm im Bereich der Wurzel­gabelung, wobei die Inklination der Molaren bei durchschnittlich 2° lag.

Die kontrollierte körperliche Bewegung ist auf die von lingual und bukkal auf die Molaren applizierten Kräfte zurückzuführen. Die durchschnittliche Distalisierung der zweiten oberen Molaren betrug 3,5mm und ist damit vergleichbar mit der Wirkung anderer knochengestützter Distalisationsapparaturen, die oben beschrieben wurden. Der zentrale Schneidezahn zeig­te ein Retrusion von 0,81mm. Diese Befunde zeigen die spontane Auflösung des anterioren Engstandes während der Distalisierung und waren besonders für Patienten mit impaktierten Eckzähnen von Vorteil, da sie Raum für deren Durchbruch schufen. Ist durch die Distali­sation eine Super Klasse I-Molarenrelation erreicht, werden die bukkalen Arme entfernt und die Apparatur verbleibt in ihrer Position als Platzhalter während der Distalisierung der Prämo­laren und der Eckzähne mittels festsitzender Apparatur (Abb. 7).

Schlussfolgerungen

Die C-DFD ist eine knochen­ge­stützte Distalisationsapparatur ohne Miniimplantate, die anterior im stärksten Bereich des anterioren Gaumenknochens verankert ist. Dies qualifiziert sie als exzellente Therapieoption für Patienten mit dentalen Klasse II-Malokklusionen, für die eine Distalisierung die Therapie der Wahl ist. Aufgrund der bilateral applizierten Kräfte und der auszuschließenden Verankerungsverluste im anterioren Bereich bietet die C-DFD eine mehr körperliche Molarenbewegung mit einer leichten Inklination der Molaren. Somit stellt die C-DFD eine ef­fiziente Distalisationsapparatur dar, die ohne Acrylbutton auskommt und dadurch komfortabler und leichter zu handhaben ist. Das verbesserte Design gestattet zudem eine verbesserte Oralhygiene. Wir danken der CES University, dem Congregación Mariana Dental Center, RP dental, der Mondeal Medical Systems GmbH, Imax, Daniel Yarce, Gonzalo Alvarez sowie allen am Projekt beteiligten Ärzten.

Mehr Fachartikel aus Kieferorthopädie

ePaper