Zur Übersicht
Profil
authorImage

Dr. Huub van’t Veld

Engelstraat 3
6922 JG DUIVEN
Nierderlande
Vita anzeigen

Kurzvita

Artikel auf ZWP online

Artikel in Publikationen

issueImage
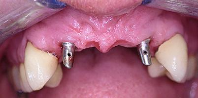
Implants

The use of narrow implants

Jahr 2016, Ausgabe 04, Seite 24 Autoren: Dr Huub van’t Veld, Netherlands

ePaper  |  PDF

Erwähnungen in Publikationen

ePaper