Branchenmeldungen 26.05.2023
Experten-Seminar: Implantatprothetik mit ZTM Andreas Kunz
Dental Balance (Potsdam) lädt für den 21. Juni 2023 zu einem praxisorientierten Seminar-Abend ein. Mit dem versierten Zahntechnikermeister Andreas Kunz als Gastreferent wird eine besondere Gelegenheit geboten, Kompetenzen zu erweitern und Lösungsansätze für die tägliche Arbeit in Zahnarztpraxis und Dentallabor zu erhalten.
Implantatprothetik wird immer komplexer und die steigende Vielfalt an Systemen kann überfordern. Genau an diesem Punkt setzt Dental Balance mit dem praxisorientierten Experten-Seminar zur Implantatprothetik an. Der Referent Andreas Kunz (Berlin), ein versierter und anerkannter Zahntechnikermeister, präsentiert konzeptionelle Lösungen und geht auf spezielle Problematiken ein, die sich aus der zunehmenden Beliebtheit implantologischer Versorgungen ergeben. Immer mehr Patienten entscheiden sich für diese Art der Zahnersatztherapie. Dies stellt das Arbeitsteam vor neue Herausforderungen, insbesondere in Bezug auf die naturkonforme Rekonstruktion fehlender Gewebe. Hier ist die interdisziplinäre Kommunikation zwischen Zahnarztpraxis, Dentallabor und Patient entscheidend. Diese Interaktion wird wichtiger Teil des Seminars sein, denn Andreas Kunz plädiert seit vielen Jahren für die Wichtigkeit eines effektiven Informationsaustausches.

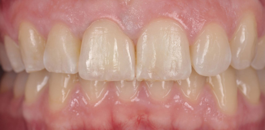
Ideal ausgeformtes Emergenzprofil als Ergebnis einer abgestimmten interdisziplinären Zusammenarbeit und vollkeramische Implantatkrone, die optisch kaum eine Unterscheidung zum natürlichen Nachbarzahn zulässt (© ZTM Andreas Kunz).
Im Laufe des Seminar-Abends werden viele Aspekte der Implantatprothetik diskutiert – von der Planung über die Konditionierung periimplantärer Gewebe, das Langzeitprovisorium, die Abformung und das Herstellen einer okklusal verschraubten oder zementierten Implantatversorgung. Der Referent stellt einen klaren und praktischen Leitfaden für einen qualitätsbewussten Behandlungsablauf vor. Auch für zahnlose Kiefer erörtert er verschiedene Versorgungsmöglichkeiten. Hierzu zählen sowohl festsitzende als auch herausnehmbare Lösungen wie Locator, Teleskope und Stege. Jede Methode hat Vor- und Nachteile und das Seminar soll dabei helfen, individuell die richtige Wahl für den Patienten zu treffen. Seine theoretischen Ausführungen ergänzt Andreas Kunz mit einigen praktischen Hands-on-Übungen. So können Teilnehmende erlerntes Wissen in einem praxisnahen Umfeld vertiefen. Nach dem Seminar steht der Referent für Fragen zur Verfügung. Abgerundet wird der Abend mit einem gemütlichen Catering, welches Raum für weiterführende Gespräche und Networking bietet.
Melden Sie sich für dieses exklusive Seminar an und nutzen Sie die Chance, einen erfahrenen und deutschlandweit bekannten Experten auf dem Gebiet der Implantatprothetik kennenzulernen und von seinem Wissen zu profitieren. Das Seminar findet am 21. Juni 2023 in Potsdam (17:00 bis 19:30 Uhr) statt.
Im Laufe des Seminar-Abends werden viele Aspekte der Implantatprothetik diskutiert – von der Planung über die Konditionierung periimplantärer Gewebe, das Langzeitprovisorium, die Abformung und das Herstellen einer okklusal verschraubten oder zementierten Implantatversorgung. Der Referent stellt einen klaren und praktischen Leitfaden für einen qualitätsbewussten Behandlungsablauf vor. Auch für zahnlose Kiefer erörtert er verschiedene Versorgungsmöglichkeiten. Hierzu zählen sowohl festsitzende als auch herausnehmbare Lösungen wie Locator, Teleskope und Stege. Jede Methode hat Vor- und Nachteile und das Seminar soll dabei helfen, individuell die richtige Wahl für den Patienten zu treffen. Seine theoretischen Ausführungen ergänzt Andreas Kunz mit einigen praktischen Hands-on-Übungen. So können Teilnehmende erlerntes Wissen in einem praxisnahen Umfeld vertiefen. Nach dem Seminar steht der Referent für Fragen zur Verfügung. Abgerundet wird der Abend mit einem gemütlichen Catering, welches Raum für weiterführende Gespräche und Networking bietet.
Melden Sie sich für dieses exklusive Seminar an und nutzen Sie die Chance, einen erfahrenen und deutschlandweit bekannten Experten auf dem Gebiet der Implantatprothetik kennenzulernen und von seinem Wissen zu profitieren. Das Seminar findet am 21. Juni 2023 in Potsdam (17:00 bis 19:30 Uhr) statt.
Weitere Informationen: www.dental-balance.eu
Quelle: Dental Balance
Pola For Aligners
TRIOS 6
CYTECpro + CONTECpro
BeautiLink SA
mμILLUSION Color Malfarben und -pasten
breCAM.multiCOM+
PALA Mill&Cast
Luxatemp MaxProtect
breCAM.base
Leaf Expander® Hybrid