defaultContestImage

Leider kein Gewinn!

Suchen Sie weiter, die nächste Flasche könnte ein Gewinner sein.

rivetContestImage
Branchenmeldungen 18.07.2017

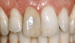
Ultradent Products feiert: Happy Birthday Opalescence!

Ultradent Products feiert: Happy Birthday Opalescence!

Foto: Ultradent products

Ultradent Products feiert den Geburtstag von Opalescence und blickt auf 27 Jahre Lächeln mit und dank Zahnaufhellung mit dem Opalescence-System zurück. Mit Opalescence PF und Opalescence Go sind gleich zwei marktführende Systeme für das Home-Bleaching am Start!

Zahnaufhellung zu Hause – aus der Hand des Zahnarztes

Viele Patienten sind dankbar, wenn man ihnen Wege zu helleren Zähnen aufzeigt. Die meisten ziehen bequeme Anwendungen in den eigenen vier Wänden vor; so lässt sich die Aufhellungsbehandlung und der Wunsch nach hellen Zähnen am besten in das persönliche Zeit- und Kostenbudget einpassen.

Mit Opalescence hat man die Wahl: Der „Klassiker“ dazu ist Opalescence PF. Flexible, individuelle Schienen kann der Patient nach Herstellung, Einweisung und Startbehandlung in der Praxis nach Hause mitnehmen, selbst mit Gel füllen und jeweils einige Stunden am Tag oder auch über Nacht tragen. Drei Aromen - Regular, Mint oder Melone – stehen zur Verfügung. Ist das Aufhellungsziel erreicht, können die Schienen für spätere Auffrischung aufbewahrt werden.

Eine Alternative stellt Opalescence Go mit gebrauchsfertigen UltraFit-Trays dar. Das Innentray, bereits mit 6%igem H2O2-Gel befüllt, formt sich ideal an, bleibt während der 60-90minütigen Tragezeit formstabil und sitzt sicher und komfortabel. Meist genügen schon 5-10 Behandlungen. Labor-Arbeiten entfallen, und der Patient freut sich über das günstige Honorar.

Außer dem Patienten, der seine schönen Zähne zu schätzen weiß, gewinnt auch die Praxis: In erster Linie besonders zahnbewusste, treue Patienten, mit guter Mundhygiene und verlässlich im Prophylaxe-Recall.

Mehr Informationen unter www.opalescence.com/de oder www.ultradent.com/de

Mehr News aus Branchenmeldungen

ePaper