Endodontologie 18.08.2016

Bleaching devitaler Zähne – Zusatzleistung Endodontie



Bleaching devitaler Zähne – Zusatzleistung Endodontie

Foto: © Ultradent Products

Die Endodontie hat in erster Linie den Erhalt des Zahns und seiner Funktion im Blick. Dabei steht die Ästhetik oftmals zurück. Sie ist jedoch ein wichtiger Faktor für die Zufriedenheit des Patienten und ein wesentlicher Baustein einer ganzheitlichen Versorgung. Es lohnt sich daher, das Spektrum der endodontischen Leistungen um Methoden wie das interne Bleaching zu ergänzen, mit denen das ästhetische Bild wiederhergestellt werden kann.

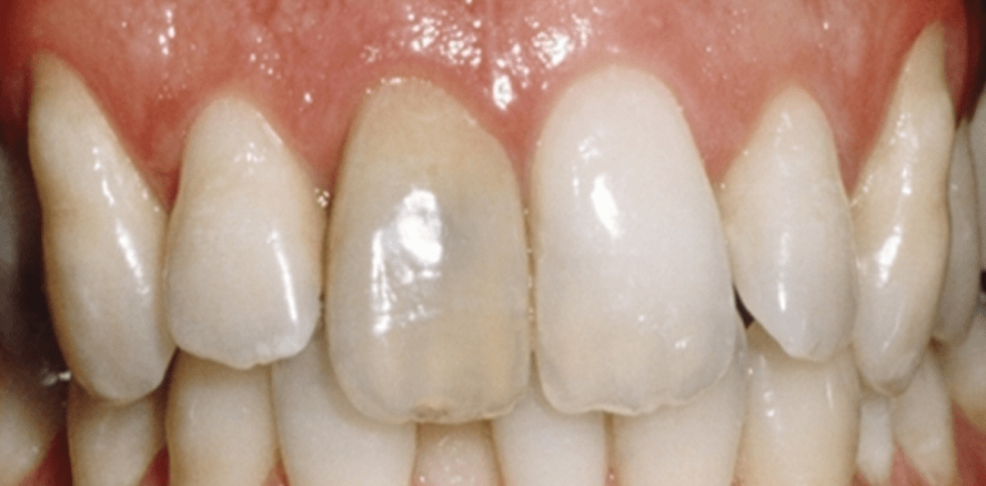
Mit einer endodontischen Behandlung geht oftmals eine Beeinträchtigung der Zahnästhetik einher. Devitale und wurzelbehandelte Zähne verfärben. Vor allem im Frontzahnbereich können die sogenannten grauen oder schwarzen Zähne störend wirken. Wünscht sich der Patient die Wiederherstellung der ursprünglichen Zahnfarbe, bieten sich dem Zahnarzt verschiedene Möglichkeiten, die sich vor allem in Hinsicht auf ihre Invasivität unterscheiden.

Interne Zahnverfärbungen

Interne Verfärbungen des Zahns durchdringen von innen Dentin und Schmelz. Sie sind in der Regel entweder genetisch bedingt oder Folge von Traumata, Entzündungen, Zahnbildungsstörungen, Allgemeinerkrankungen, Mangelernährung, Fluorose, zahnärzt- lichen Maßnahmen sowie der Einnah- me bestimmter Medikamente. Sub- stanzen wie Tetrazykline (antibiotisch wirksame Arzneistoffe), Blutfarbstoffe oder nekrotisches Gewebe können die Hartsubstanz durchdringen und die Zahnfarbe abdunkeln. Bei intrapulpalen Blutungen, unsachgemäßen Trepanationen oder unzureichender Säuberung und Desinfektion des Kanals, während der Wurzelbehandlung etwa, kommt es zur Freisetzung von Eisen, das mit – von Bakterien gebildetem – Schwefelwasserstoff zu schwarzem Eisensulfit reagiert und den Zahn grau färbt. Mitunter sind aber auch die Wurzelfüllungsmaterialien selbst Auslöser für die Verfärbung.1

Schonende Walking-Bleach-Methode

Ist die Ursache der Verfärbung abgeklärt, kann der Zahn zum Beispiel mithilfe von Veneers und Kronen überdeckt werden. Bei restaurativen Verfahren ist jedoch immer eine vergleichsweise starke Präparation der Zahnsubstanz notwendig. Eine weniger invasive Alternative ist hier das interne Bleaching, das unter anderem in der wissenschaftlichen Stellungnahme der Deutschen Gesellschaft für Zahn-, Mund- und Kieferzahnheilkunde (DGZMK) empfohlen wird und sich mittlerweile zum State of the Art entwickelt hat. Im Rahmen der Walking-Bleach-Technik wird Bleichmittel direkt in das Pulpakavum eingebracht. Langsam freiwerdender Sauerstoff lässt die störenden Farbpigmente im Zahn nach und nach oxidieren.

Klinische Vorgehensweise

Um eine Schädigung des Parodonts oder Zahnhalses durch H2O2 auszuschließen, ist eine dichte Wurzelfüllung Voraussetzung für das interne Bleaching. Anhand von Kleinbildröntgen-aufnahmen kann abgeklärt werden,ob zervikale Defekte oder periapikale Läsionen vorhanden sind. Ist dies nicht der Fall, kann mit dem Wiedereröffnen der Zugangskavität und der vorsichtigen Entfernung der Wurzelkanalfüllung im koronalen Bereich begonnen werden. Die Zugangskavität wird so weit extendiert, dass eine umfassende Reinigung von Füllresten und eventuell nekrotischen Pulpaanteilen möglich ist (ca. 1 bis 2 mm apikal der Schmelz-Zement-Grenze). Werden vor dem Bleichvorgang nicht alle Pulpareste entfernt, ist unter Umständen das Aufhellungsergebnis nicht nachhaltig. Nach der Säuberung muss die Kavität sicher nach apikal zur Wurzelfüllung hin abgedichtet werden. Hierzu wird üblicherweise eine Deckschicht aus Glasionomerzement mit einer Dicke von ca. 1 bis 2 mm unterhalb des Gingivasaumes gelegt. Nun kann das Aufhellungspräparat eingegeben und mit einem kleinen Wattepellet abgedeckt werden. Dann wird die Kavität provisorisch mit eugenolfreiem Zement oder Komposit verschlossen. Mitunter ist bereits nach wenigen Tage das gewünschte Aufhellungsergebnis erreicht. Je nach Bedarf muss jedoch die Einlage mehrmals erneuert werden. Ist die Aufhellung abgeschlossen, wird die Einlage entnommen. Bevor die Zugangskavität mit Komposit oder Zement endgültig verschlossen werden kann, sollten etwa zwei Wochen vergehen. Diese Zeit ist notwendig, damit das Überangebot an Sauerstoff abgebaut werden kann, das die Aushärtung beeinflussen und dadurch das Bonding adhäsiver Restaurationsmaterialien schwächen würde. Der Zeitraum kann genutzt werden, um mittels Kalziumhydroxidsuspension den pH-Wert zu neutralisieren und so zervikalen Resorptionen vorzubeugen.

Innovative Materialien

Als klinischer Standard in der Walking-Bleach-Technik gilt bisher ein Gemisch aus 30 Prozent pulverförmigem Natriumperborat und destilliertem Wasser, in dem das Natriumperborat zu Wasserstoffperoxid und Natriumhydrogencarbonat zerfällt. Diese Verbindung wird manuell angemischt und schließlich mit Spatel appliziert. Hierbei besteht jedoch einerseits das Risiko, dass das Mischverhältnis nicht bei jeder Anwendung exakt gleich ist und so die Behandlungsergebnisse divergieren. Andererseits können durch einen unpräzisen Auftrag des Bleichmittels Weichgewebsstrukturen verletzt werden.

Präziser lässt es sich mit gebrauchsfertigen Produkten wie Opalescence® Endo arbeiten. Das Aufhellungsgel aus dem Hause Ultradent Products enthält 35 Prozent Wasserstoffperoxid und kann dank Spritzenapplikation sauber, sparsam und schnell in die Pulpahöhle eingebracht werden. Durch die besondere Viskosität von Opalescence® Endo – das Gel ist fester als selbst angemischte Suspensionen – lässt es sich gezielt einsetzen und optimal mit Verschlussmaterial abdecken. In der Regel reichen eine einzige Applikation und eine Einwirkzeit von etwa ein bis drei Tagen aus, um einen devitalen Zahn aufzuhellen. Ist der Aufhellungsfortschritt noch nicht ausreichend, kann die Prozedur gegebenenfalls wie beschrieben wiederholt werden. Opalescence® Endo ermöglicht eine unkom- plizierte Anwendung, deren Effizienz sich für den Zahnarzt im Besonderen in der Zeit- und Materialersparnis äußert. Der Patient wiederum profitiert von einem lang anhaltenden ästhetischen Ergebnis und reduzierten Kosten im Vergleich mit Restaurationen.

Fazit

Die Walking-Bleach-Methode kann invasive restaurative Behandlungen mit Kronen und Veneers in den meisten Fällen auf sinnvolle Weise ersetzen, um die natürlichen Strukturen des Zahns weitgehend zu erhalten. Mithilfe von Aufhellungsmitteln wie Opalescence® Endo erfährt der Anwendungskomfort und die Effizienz beim internen Bleaching ein neues Level.

1 http://www.dgzmk.de/uploads/tx_szdgzmkdocuments/Das_Bleichen_verfaerbter_Zaehne.pdf (Zugriff vom 7. Juli 2016)

Mehr Fachartikel aus Endodontologie

ePaper